【面颈】特别精彩病例|左眼视力下降20余天,左颞下窝占位期待您的精彩解读!
胡志勇HZY 等 3 位达人已点赞病例信息
患者性别:男
患者年龄:20岁
简要病史:左眼视力下降20余天,伴肿胀疼痛不适半月
CT平扫:
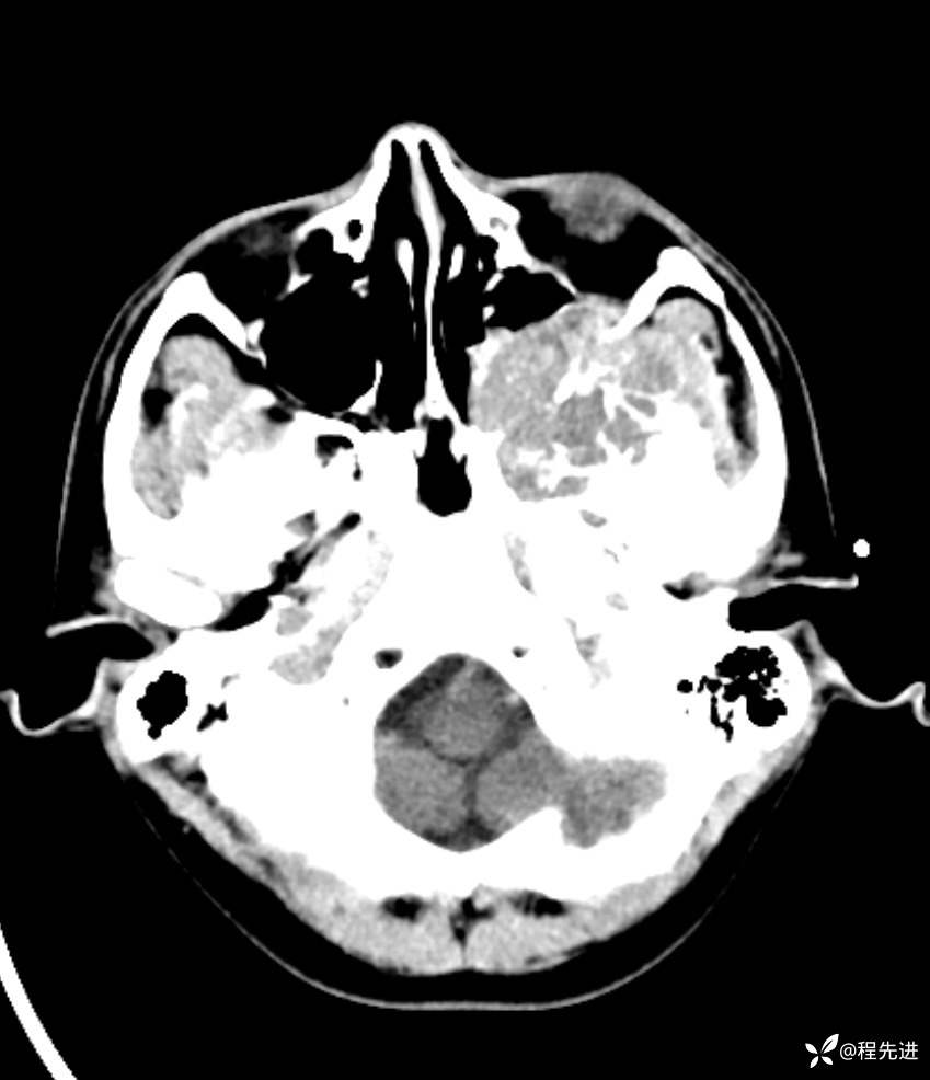
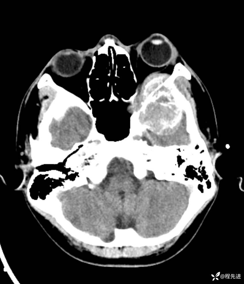
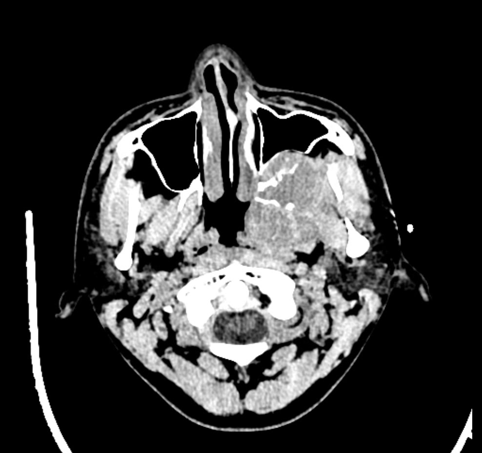
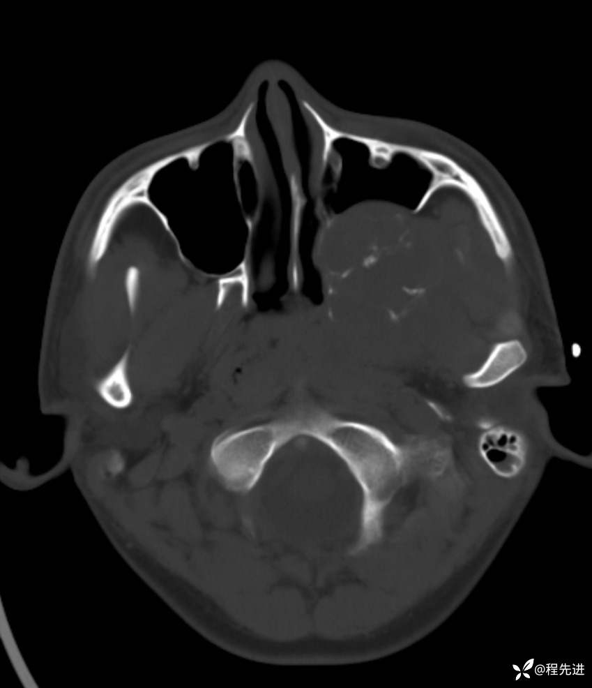
脑组织窗:





薄层完整视频:


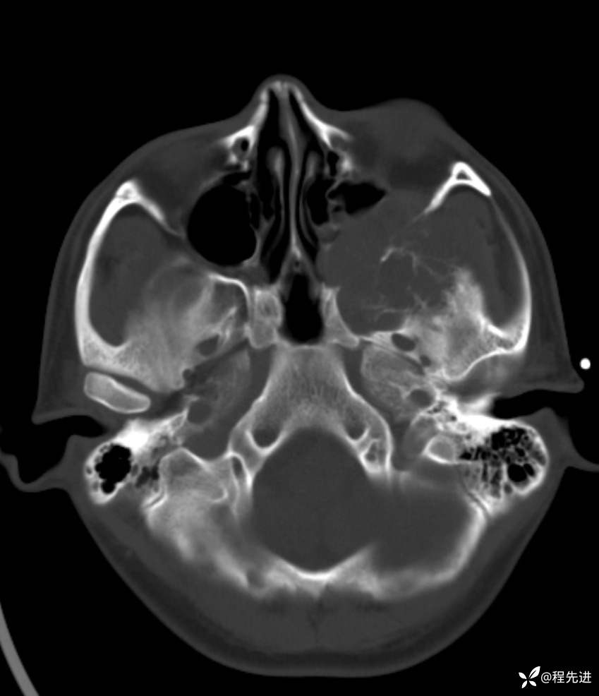
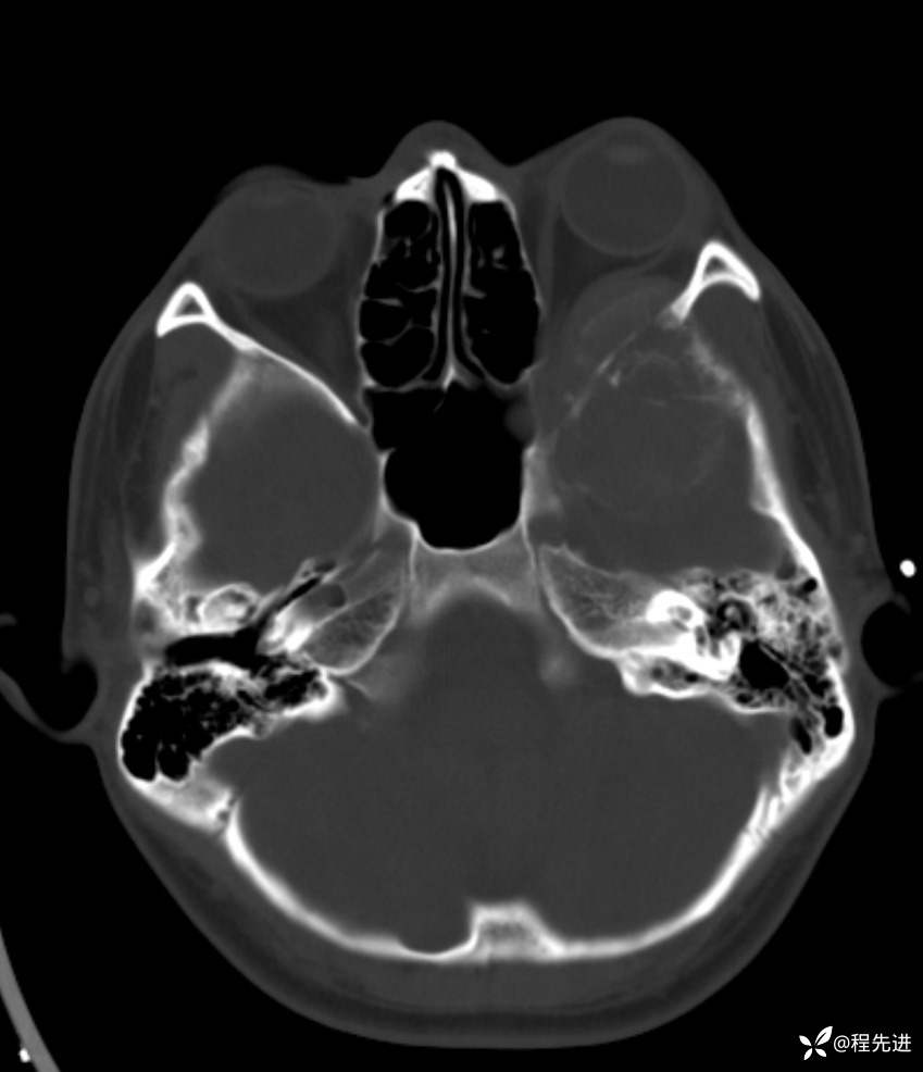
骨窗:





薄层完整视频:


CT增强:

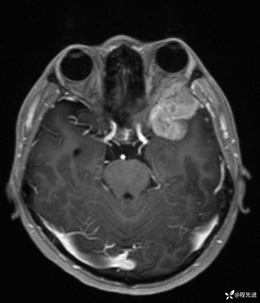
MR平扫+增强:
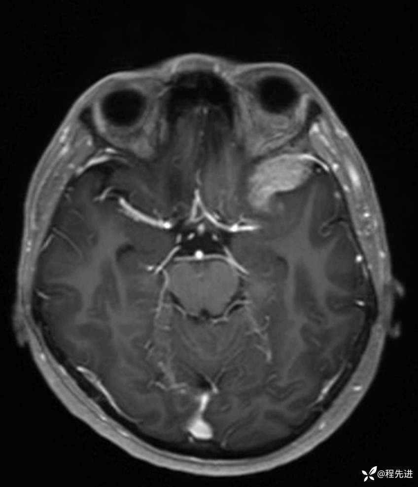
FLAIR:


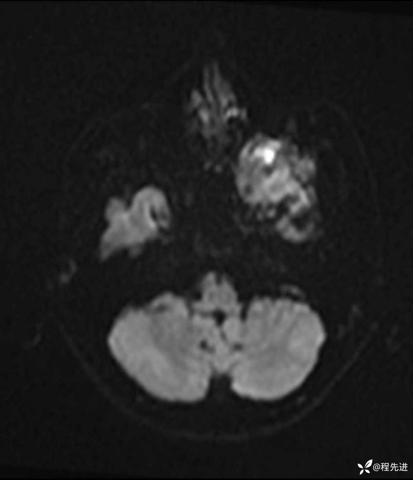
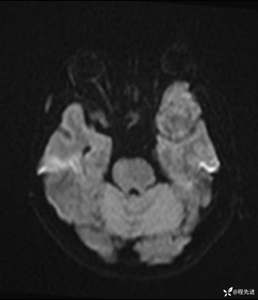
DWI:


T1增强:











期待您的点赞支持!
期待您的精彩解读!
胡志勇HZY 等 3 位达人已点赞病例信息
患者性别:男
患者年龄:20岁
简要病史:左眼视力下降20余天,伴肿胀疼痛不适半月
CT平扫:
脑组织窗:





薄层完整视频:


骨窗:





薄层完整视频:


CT增强:

MR平扫+增强:
FLAIR:


DWI:


T1增强:











期待您的点赞支持!
期待您的精彩解读!
