dxy logo
首页丁香园病例库全部版块
搜索
登录

病例【面颈】特别精彩病例,工作业绩不突出,眼球突出,期待您的精彩解读

影像核医学版版主 · 发布于 2024-03-09 · 来自 iOS · IP 江西江西
952 浏览
推荐、达人点赞 2 项荣誉
这个帖子发布于 1 年零 257 天前,其中的信息可能已发生改变或有所发展。

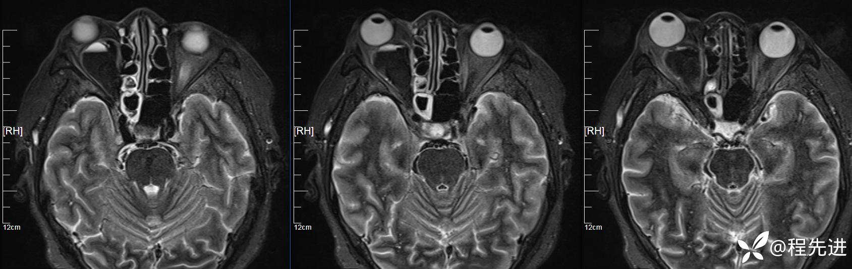
患者性别:女

患者年龄:64岁

简要病史:右眼突出10天

MR平扫+增强:

T2矢状位:

img


T2压脂矢状位:

img


T2压脂横断位:

img


T1:

img


T2冠状位:

img


增强:

img


img


img


期待您的精彩解读!

该帖还没有疾病标签去添加
16 4 25
同行评议(0)
已评议
不开通精选
开通精选
精选已授权,待上线
评议结果暂未公布
参与评议
去邀请
NaN
病例完整NaN
临床实用NaN
诊疗科学NaN
学术价值NaN

全部讨论(0)

默认最新
avatar
16
分享帖子
share-weibo分享到微博
share-weibo分享到微信
认证
返回顶部