这个病例似乎不需要病理就能明确诊断吧
hyy838等 2人推荐患者:女63岁(2024.2.15日病历)
女 63岁
现病史:半月前无明显诱因出现全身乏力,伴食欲减退及阵发性心慌不适,站立及行走尚稳,无头晕头痛,无胸闷、胸痛,无烧心、反酸,无呕血及黑便,无胸痛,无神志不清、双眼凝视,无口吐泡沫,无口中异叫,无大小便失禁等,院外未行任何治疗,在家休息后症状无明显缓解,在“XXX中医院”查“甲功三项”未见异常,上述症状持续存在伴纳差,不思饮食,为求进一步诊治,急来我院,急诊以“乏力待查”收入我科。发病来,神志清楚,精神欠佳,食欲差,睡眠尚可,大小便正常,体重无明显下降。
既往史:既往患“脑部占位”病史3年,未定期复查;有高血压病史4年,最高血压达170/115mmHg,间断口服降压药物“硝苯地平缓释片 1片 bid”稳定血压,血压未监测,3年前有“脑梗塞”病史,遗留言语不利;20余年前因“阑尾炎”在XX镇卫生院手术治疗,有先天智力低下,否认外伤史、输血史、献血史以及药物、食物过敏史。预防接种史不详。

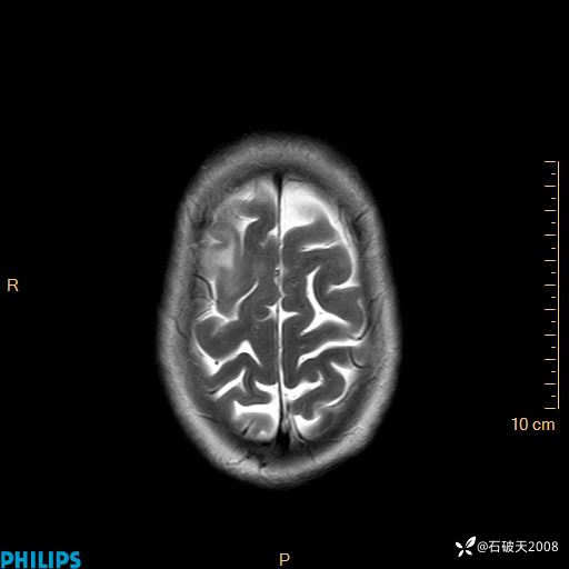
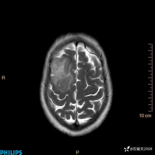
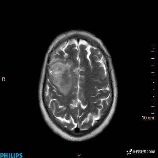
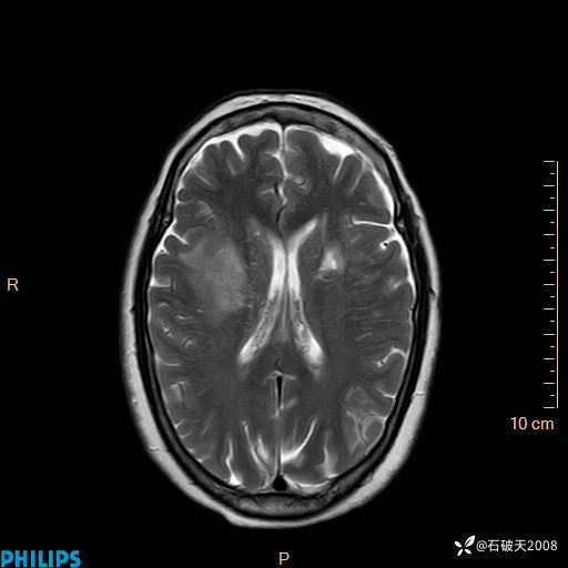
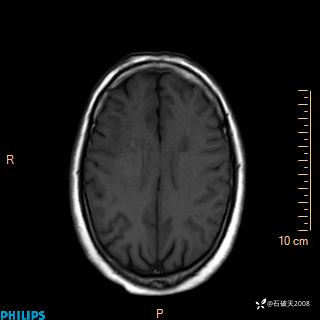
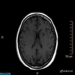
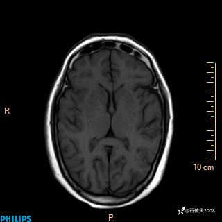
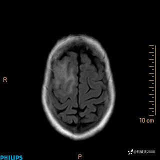
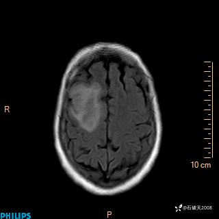
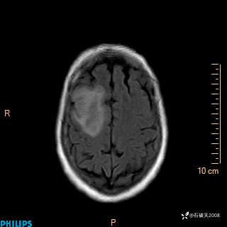
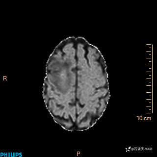
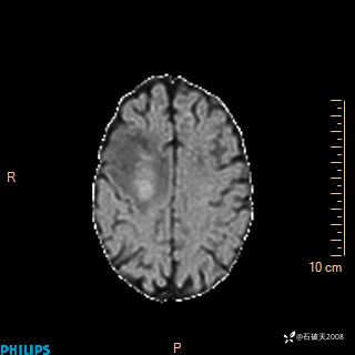
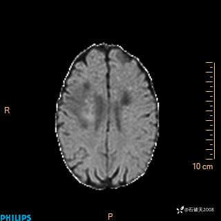
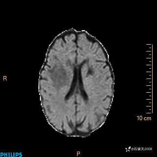
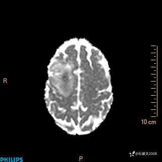
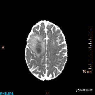
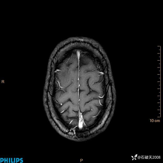
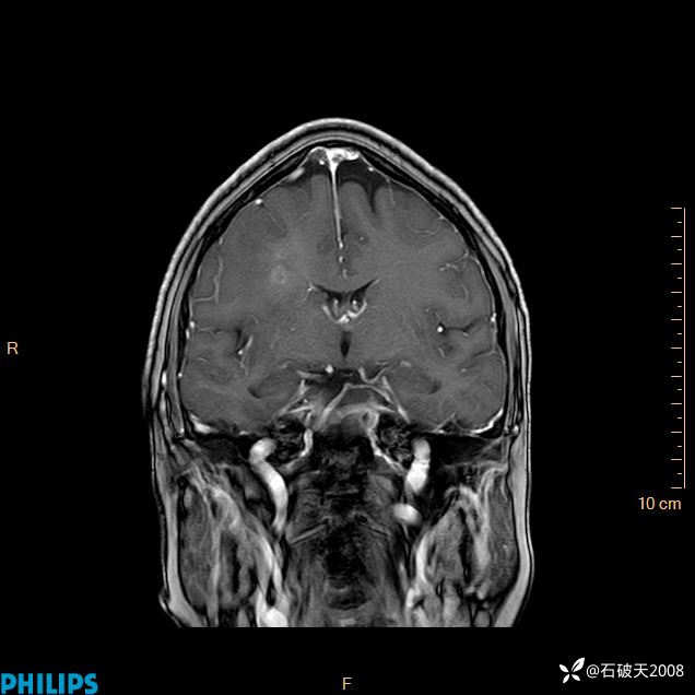
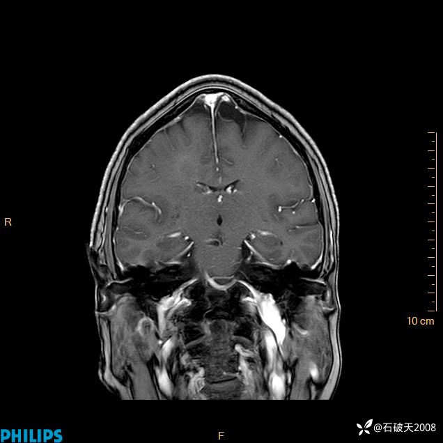
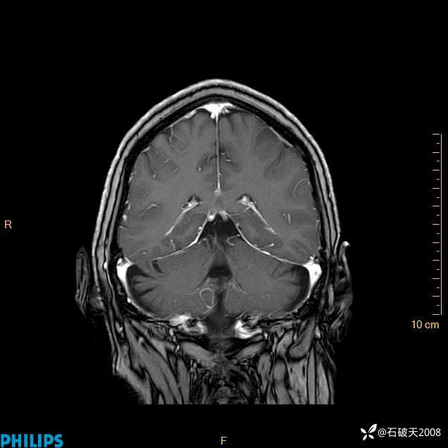
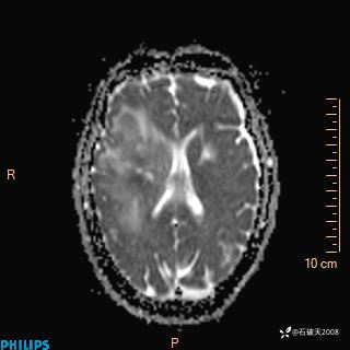
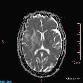
2020.11.14MR
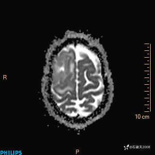
T2









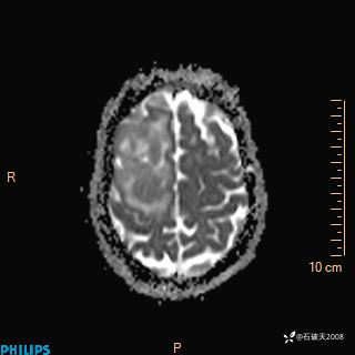
T1









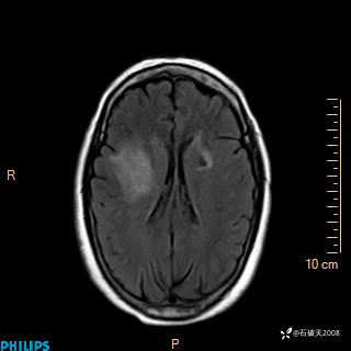
FLAIR









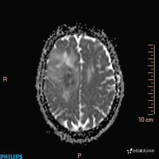
DWI








ADC









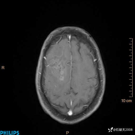
增强轴位









增强矢状位












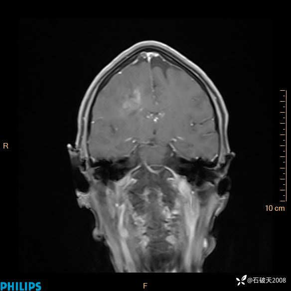
增强冠状位
















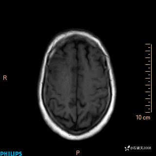
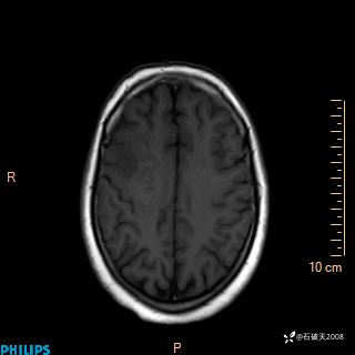
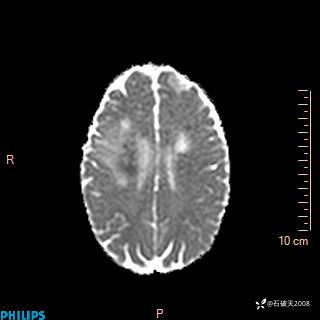
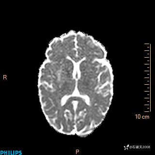
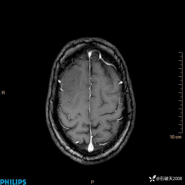
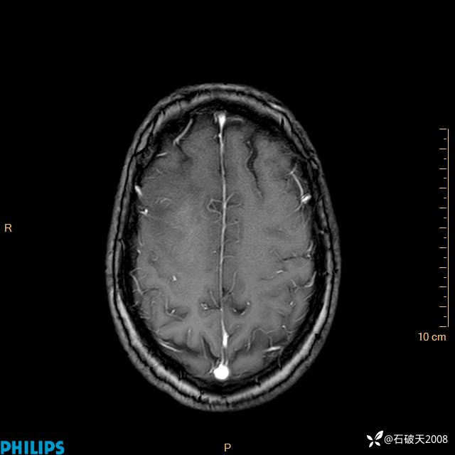
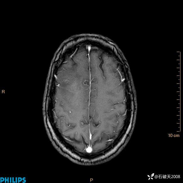
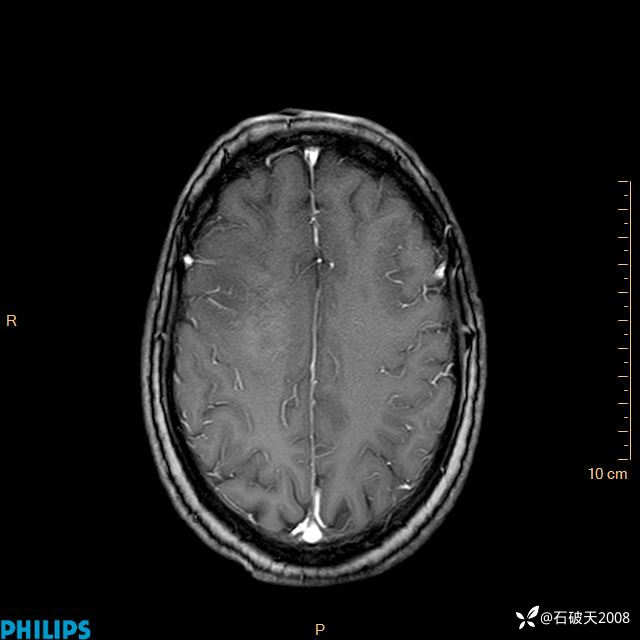
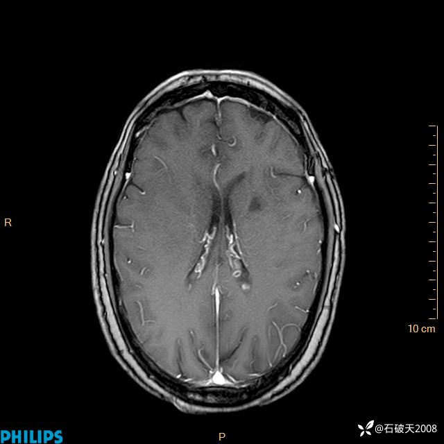
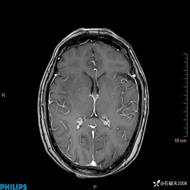
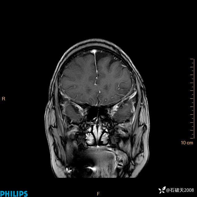
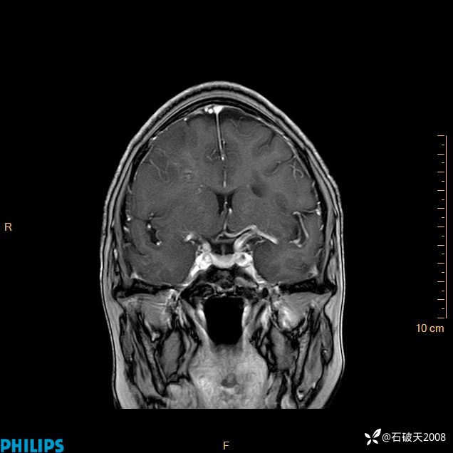
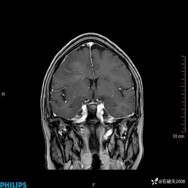
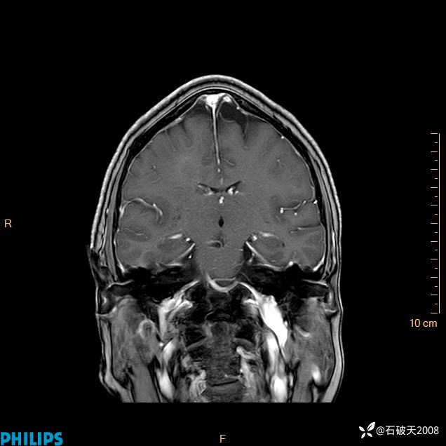
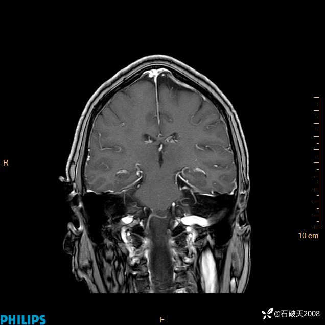
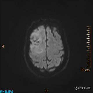
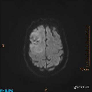
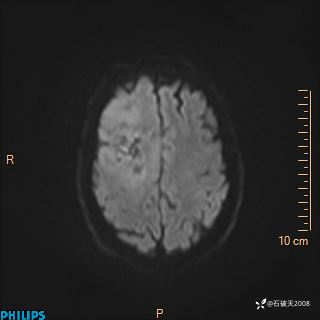
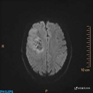
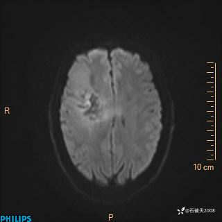
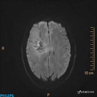
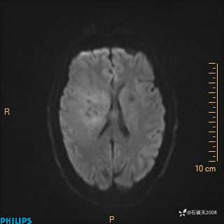
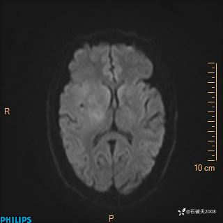
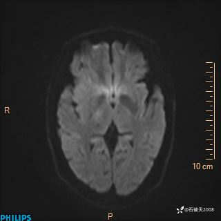
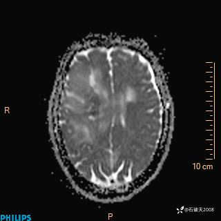
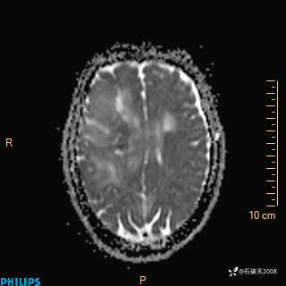
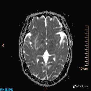
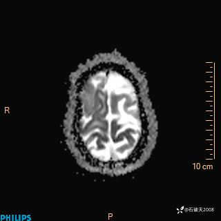
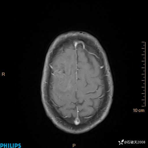
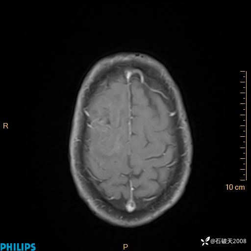
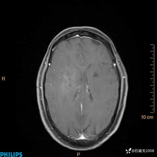
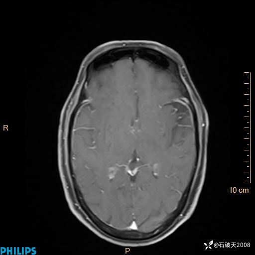
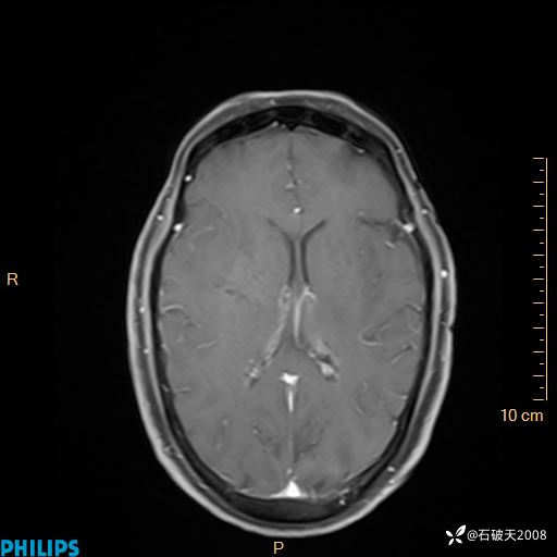
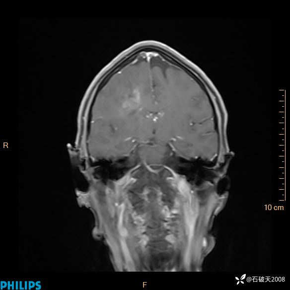
2024.2.21MR
DWI











ADC











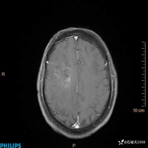
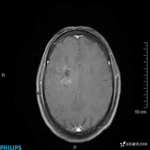
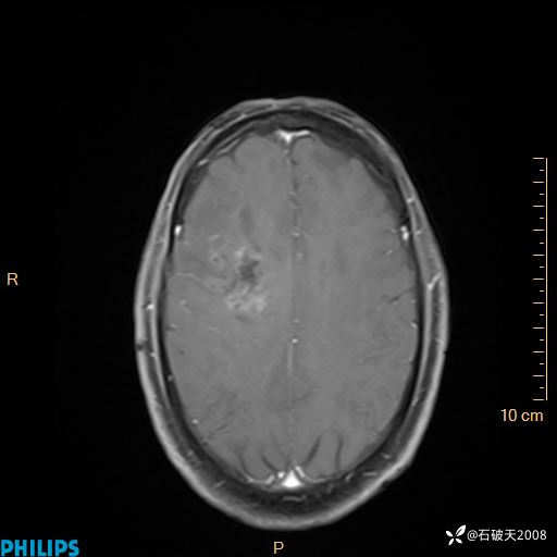
增强轴位











增强冠状位
















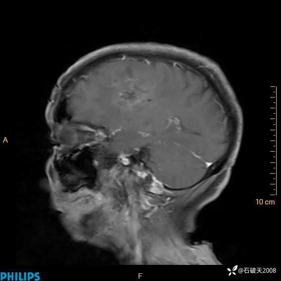
增强矢状位




























































