一例比较有意思的病例,属于常见病例,但此部位真是第一次见,欢迎赏析!留言看答案!
患者,男,59岁
主诉:“体检发现胸膜占位5+月”
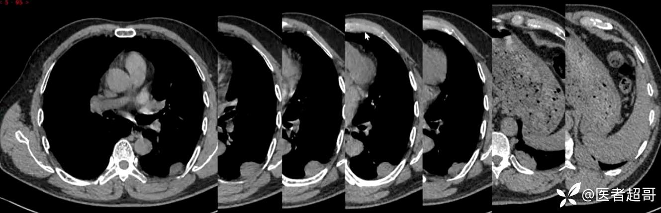
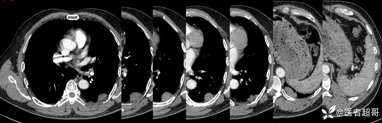
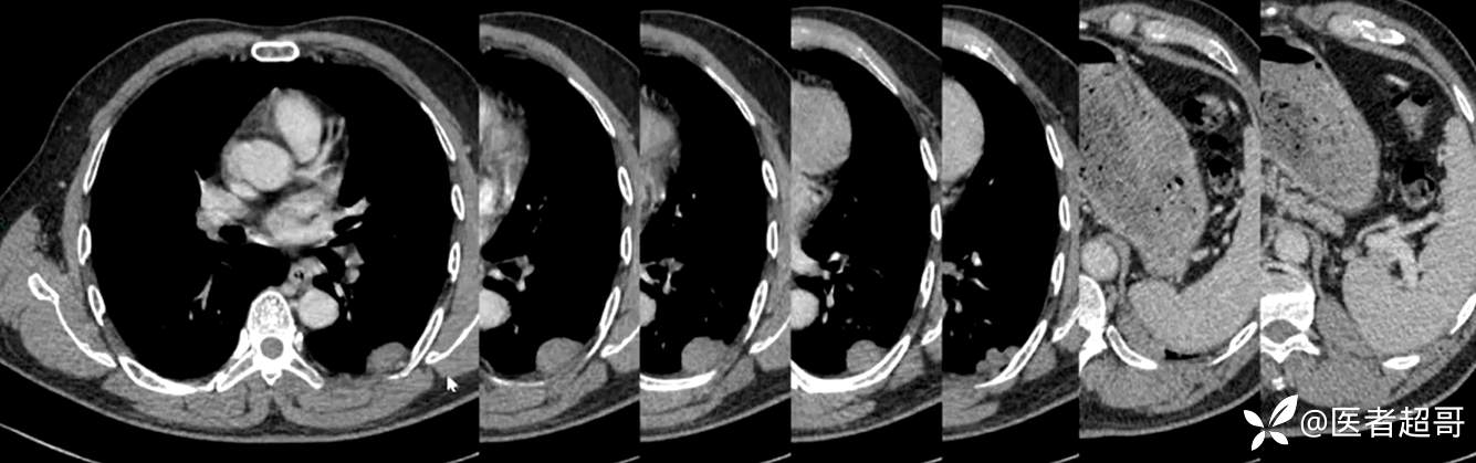
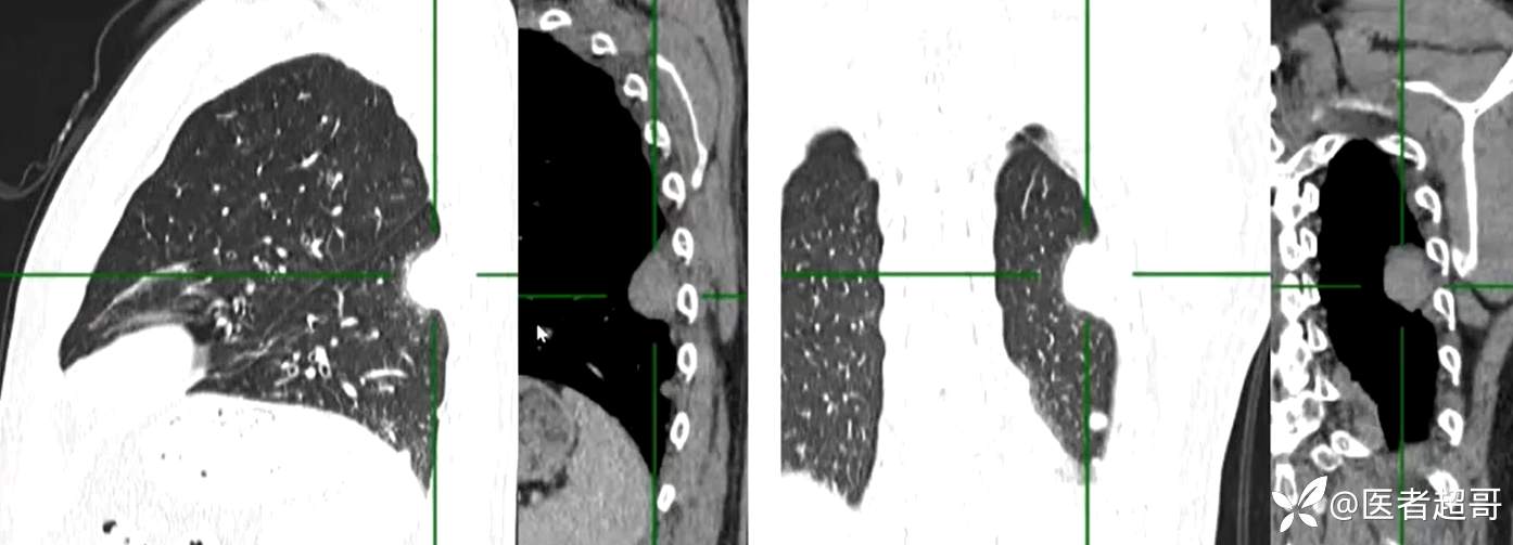
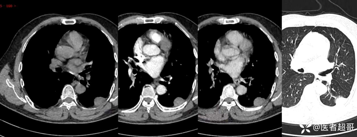
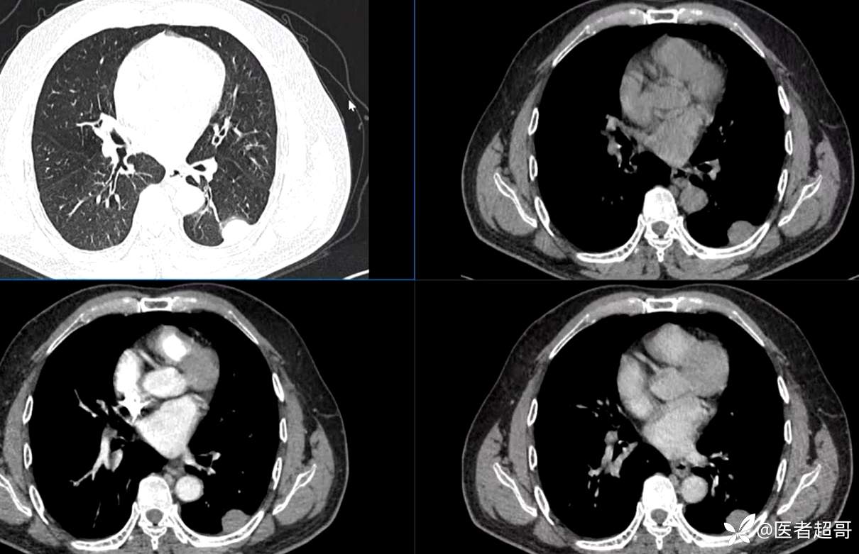
现病史:患者5月前因咳嗽、咳痰于当地医院就诊,完善胸部CT提示:胸膜多发占位,期间患者无胸闷、气紧、咳嗽、咳痰、心慌等不适,患者于我院门诊行胸部CT提示:左下胸膜增厚并见多个软组织密度结节影局限性凸起,较大者大小约3.5x2.2cm,增强扫描呈持续性轻度强化,考虑肿瘤性病变可能性大;门诊遂以:胸膜肿瘤收入我科。
既往史:无










源自:中影联盟。旨在学习交流,如有侵权,请联系删帖。
















































