dxy logo
首页丁香园病例库全部版块
搜索
登录

肺占位一例,谁能精准狙击病理?已公布结果!

影像核医学版版主 · 发布于 2021-12-18 · 来自 Android · IP 山东山东
2903 浏览
推荐、达人点赞 等 3 项荣誉
这个帖子发布于 3 年零 339 天前,其中的信息可能已发生改变或有所发展。

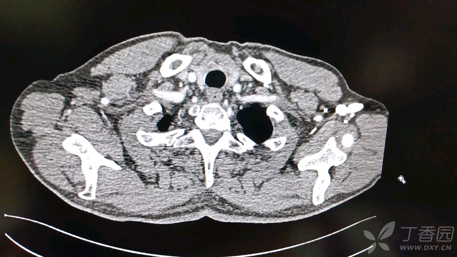
男性,68岁,查体发现肺占位5天。既往发现血糖增高4年余,甲亢病史20余年,曾口服碘治疗后复查甲功示甲减。

previewplay video
img
img


img


img
40 15 13

全部讨论(0)

默认最新
avatar
40
分享帖子
share-weibo分享到微博
share-weibo分享到微信
认证
返回顶部