已做过手术,病理已出,你的判断对吗?
2023年9月份病历:
男 73岁 主 诉:骶尾部占位术后7个月,间断发热2天余。
现病史:7个月前患者因骶尾部占位就诊于北京大学人民医院,MRI示:骶骨右侧及右骶前占位,考虑骨巨细胞瘤可能,动脉瘤样骨囊肿可能,神经源性肿瘤待排。行手术治疗,术后病理回示:XXXXX。术后给予对症治疗,具体不详,恢复良好。近几个月反复出现发热,伴骶尾部不适,多次住院给予对症治疗,2天前患者无明显诱因再次发热伴骶尾部不适,无大小便失禁,为求进一步治疗,遂门诊来我院,在门诊初步检查后,以“骶尾部肿物”为诊断收入我科。入院来患者神志清,精神一般,饮食睡眠可,大小便无明显异常,体重无下降。
既往史:平素体健,8年前因“二尖瓣脱垂”在XXXX第一附属医院就诊,并口服“倍他乐克”治疗,否认“高血压病、糖尿病”等其他慢性病史,否认“肝炎、结核”等传染病病史及密切接触史。无其他重大外伤史,无输血史、献血史,无药物及食物过敏史。预防接种史随当地。
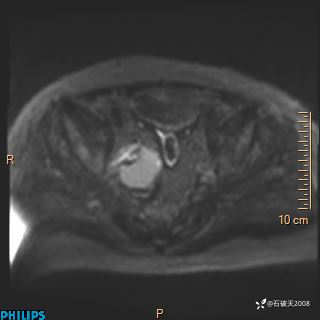
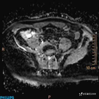
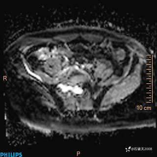
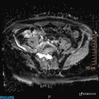
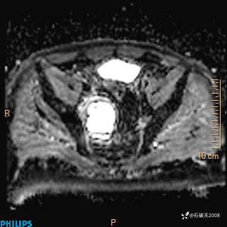
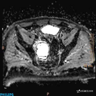
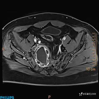
2023年3月份MRI影像
T2矢状位



















T2矢状位压脂



















T1矢状位



















DWI


















ADC


















T2压脂冠状位




















增强轴位




































































