dxy logo
首页丁香园病例库全部版块
搜索
登录

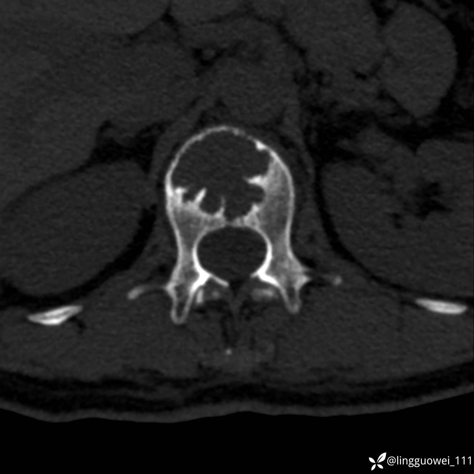
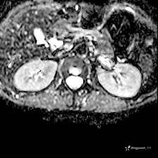
病例女,39岁,腰痛来诊,只有CT可能要鉴别诊断,而MR可以定性吗?

影像核医学版版主 · 发布于 2023-11-27 · IP 广东广东
4231 浏览
丁香风云榜、推荐 等 3 项荣誉
这个帖子发布于 1 年零 362 天前,其中的信息可能已发生改变或有所发展。

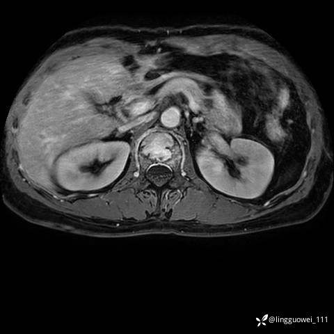
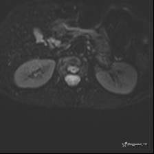
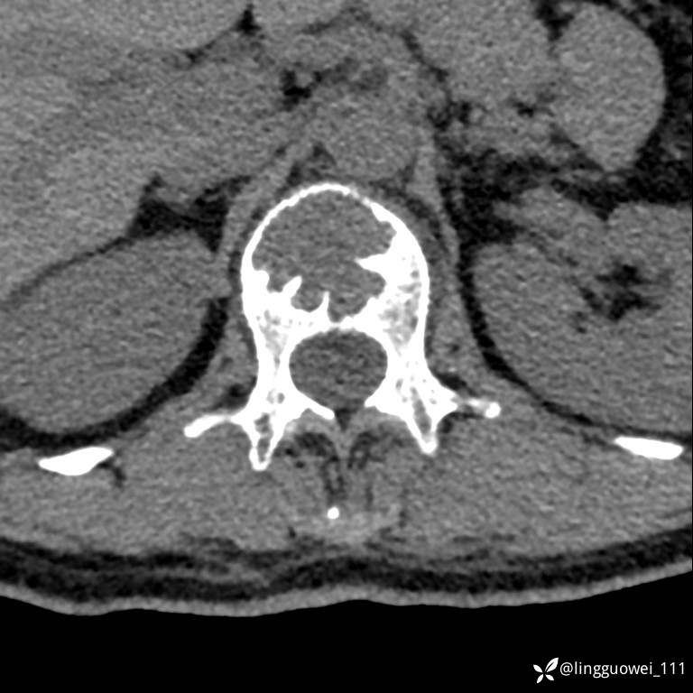
患者性别:女

患者年龄:39岁

主诉:腰痛

img
img
img
img
img
img

T1

img

T2

img
img

T2+FS

img

T1+C

img
img

DWI ADC

img
img
腰痛病 (152)
纠错
54 16 31
同行评议(0)
已评议
不开通精选
开通精选
精选已授权,待上线
评议结果暂未公布
参与评议
去邀请
NaN
病例完整NaN
临床实用NaN
诊疗科学NaN
学术价值NaN

全部讨论(0)

默认最新
avatar
54
分享帖子
share-weibo分享到微博
share-weibo分享到微信
认证
返回顶部