病例分享|41岁男性肠镜示结肠水肿,考虑什么?
患者性别:男
患者年龄:41岁
主诉:间断上腹痛2天。
简要病史:患者2天前无明显诱因出现腹痛,表现为间断上腹部隐痛,持续时间叙述不清。伴恶心,未吐。伴反酸,烧心,伴腹胀,有肛门排气排便,无头晕、头痛,无胸闷、气短,无胸痛,肩背部放射痛,无夜间阵发性呼吸困难,无血便及黏液脓血便,未予以特殊治疗,就诊于我院门诊,为进一步治疗,门诊以“腹胀”收入我科。
患者自发病以来精神、睡眠、饮食可,小便正常,大便1次/天,近期体重下降5kg。
既往体健。吸烟史20余年,20支/天,戒烟7年。
体格检查:查体:神清语利,双肺呼吸音清,未及明显干湿性啰音,心率90次/分,律齐。腹软,上腹部压痛,无反跳痛及肌紧张,肝区及双侧肾区无叩痛,肠鸣音正常,双下肢无水肿。
辅助检查:
入院糖化血红蛋白7.6%,血常规、凝血、肝肾功能、电解质、甲功、便常规等未见异常。
胃镜:



腹部核磁:



下腹盆CT:



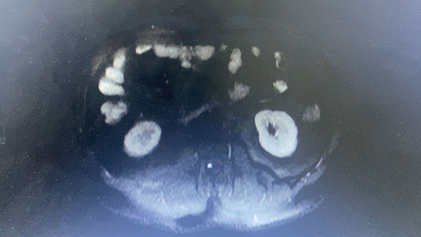
肠镜:



患者入院第四天(8.10)发热,最高体温37.7摄氏度,伴头痛,右侧腹痛。完善检查示:



肠镜病理示:(升结肠)轻-中度粘膜慢性炎,伴表面糜烂,活动度(+++),散在少许嗜酸性粒细胞浸润,未见明显隐窝炎。
临床诊断:腹痛待查
治疗经过:入院后予以抗感染,抑酸保护胃黏膜、降糖等治疗。
讨论:
患者出院2周复查增强CT



















































