奇妙病例杂谈|起初只是低烧和无力,怎么就发展成了癫痫发作和认知能力恶化?
患者,女性,31岁,就诊主要症状为间断低热,随后出现全身无力,主要是近端和对称性无力,持续一周。
既往两年前产后有低钾无力史,经对症治疗后好转。在本次发病期间,她出现发烧、口渴加剧和尿频持续 1 周,考虑为泌尿道感染。入院检查时,患者出现意识丧失,格拉斯哥昏迷评分为 E4V3M5,瞳孔对光反射正常,四肢活动可,脑膜刺激征阴性。
诊断评估:血液检查显示阴离子间隙正常、代谢性酸中毒、低钾血症、钠水平正常。血清钾水平为 2.7mmol/L,给予静脉内纠正和口服补钾。血常规、肾功能和甲状腺功能检查、钙、镁、病毒标志物和抗甲状腺过氧化物酶抗体均在正常范围内。红细胞沉降率 (ESR) 为 43 毫米/小时,连续检测显示轻度血小板减少症。因患者认知能力不断恶化,给予头颅CT检查,结果显示正常。动脉血气显示高氯性代谢性酸中毒,阴离子间隙(AG)正常。血清皮质醇和醛固酮水平正常。总体情况提示远端肾小管酸中毒(RTA),腹部超声检查显示多尿和肾脏高回声,给予对症治疗。后进一步给予头颅MRI检查,结果显示 T2 和 FLAIR 高信号涉及两个内侧颞叶,没有任何扩散限制,并且有最小的对比增强提示边缘脑炎(图1)。随后,她出现间歇性局灶性癫痫发作,主要涉及面部,伴有眼睑、嘴唇和右上肢抽搐。脑电图显示偶尔出现左颞尖峰。然而,在癫痫发作期间,她有定向力和服从性,没有局灶性缺陷,因此排除了癫痫持续状态。脑脊液 (CSF) 研究显示淋巴细胞增多,有 20 个细胞(P5、L95),无糖过多和蛋白质轻度升高(62mg/dl)。脑膜脑炎脑脊液 (CSF) 聚合酶链反应 (PCR) 检测结果显示细菌和病毒呈阴性。她的血液和脑脊液培养物是无菌的。脑脊液和血清的自身免疫病因包括 NMDA-R 抗体、LGI1、CASPr2、GAD-65、GABABR、Anti Hu、Ri、Ma-2 均为阴性。

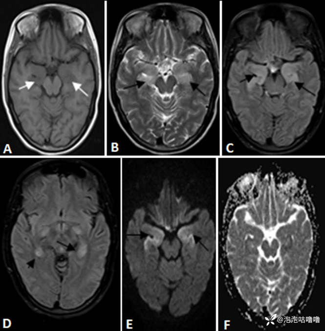
大脑磁共振成像显示 T1 加权图像上双侧内侧颞叶低信号(图 A 标有白色箭头); T2 加权双侧内侧颞区高信号(图 B); FLAIR序列(图C和D用黑色箭头标记),无扩散限制; (图E,扩散加权图像和F,表观扩散系数图像)
治疗干预:治疗上给予患者静脉注射甲基泼尼松龙。同时给予口服四种足够剂量的抗癫痫药物(奥卡西平、丙戊酸钠、氯巴扎姆和吡仑帕奈),但患者仍然出现复发性局灶性癫痫发作。鉴于其对类固醇的反应不足,进行了 5 个周期的血浆置换。患者副肿瘤检查包括氟脱氧葡萄糖 (FDG)-正电子发射断层扫描 (PET) 扫描,结果均阴性。
问题:患者出现的低烧、无力及癫痫发作、认知功能恶化等症状考虑与其确诊的边缘脑炎(LE)有关,那患者边缘脑炎的病因又是什么呢?
有没有同仁可以抽丝剥茧的分析分析呢?静待你们的意见!
-------------
图片、病例来源于国外医学网站
















































