dxy logo
首页丁香园病例库全部版块
搜索
登录

病例一秒钟读片系列178|四个气管支气管病变对比读片|结果已公布

影像核医学版版主 · 发布于 2023-11-04 · IP 江西江西
1910 浏览
推荐、达人点赞 2 项荣誉
这个帖子发布于 2 年零 23 天前,其中的信息可能已发生改变或有所发展。

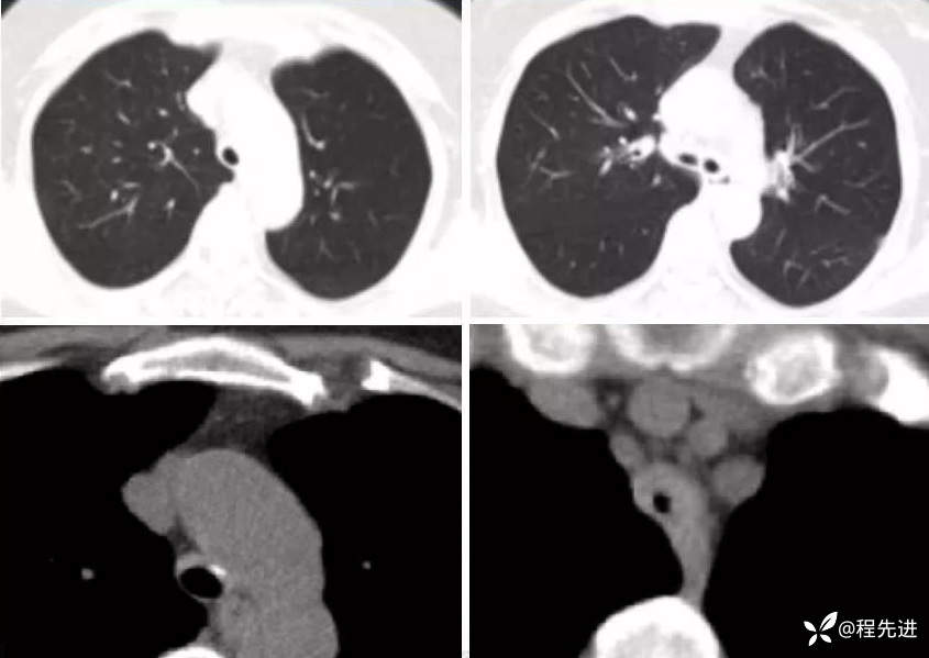
病例一:

患者性别:女

患者年龄:49岁

简要病史:声音嘶哑2年余

img

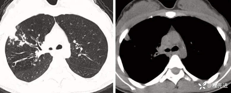
病例二:

看图说话

img

病例三:

看图说话

img

病例四:

看图说话

img
声嘶 (46)
纠错
33 20 13
同行评议(0)
已评议
不开通精选
开通精选
精选已授权,待上线
评议结果暂未公布
参与评议
去邀请
NaN
病例完整NaN
临床实用NaN
诊疗科学NaN
学术价值NaN

全部讨论(0)

默认最新
avatar
33
分享帖子
share-weibo分享到微博
share-weibo分享到微信
认证
返回顶部