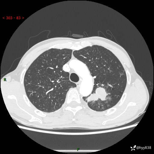
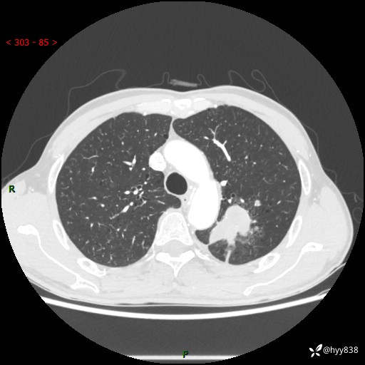
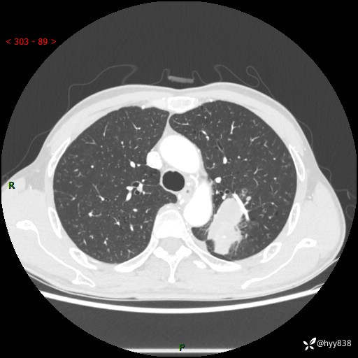
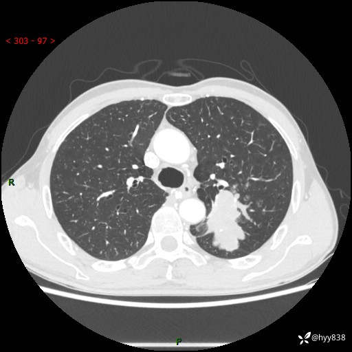
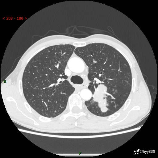
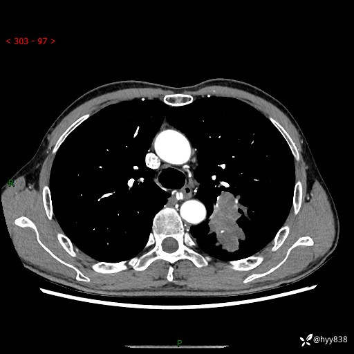
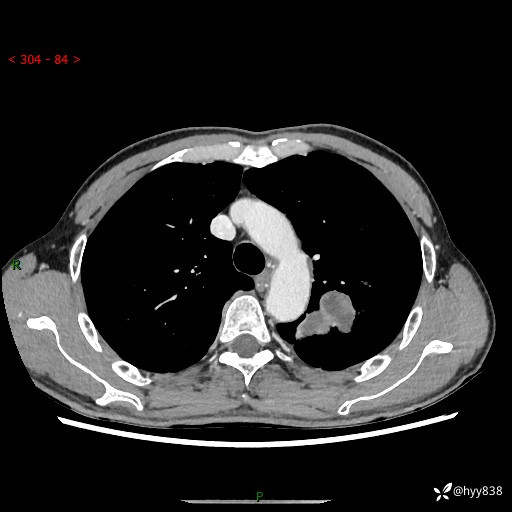
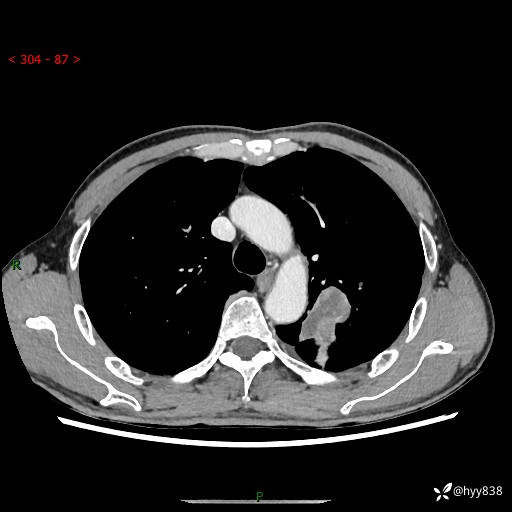
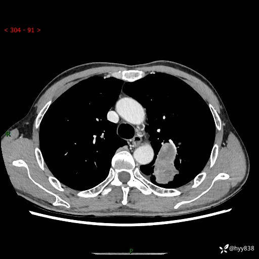
老年男性,咳嗽咳痰伴痰中带血4月。沿支气管铸形生长的不多---结果公布~
华夏览雄 达人已点赞病例信息
性别:男
年龄:61岁
主诉:咳嗽咳痰伴痰中带血4月余。
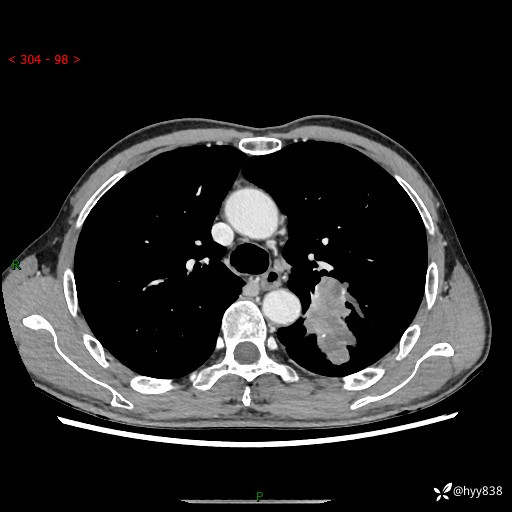
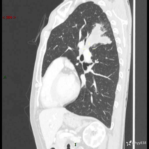
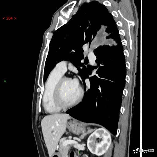
现病史:患者余4月前发现咳嗽咳痰伴痰中带血,无胸闷、胸痛、头晕、恶心、呕吐等不适,2天前因体检发现肺部结节遂于当地市第一人民医院行胸部CT薄层平扫+三维重建示:1.左肺上叶尖后段占位性病变考虑肿瘤性病变伴阻塞性肺炎,右肺上叶后段磨玻璃结节。2.肝内多发囊性灶、左肾结石。现患者为求进一步治疗,于我院门诊就诊,门诊以“肺结节”收入院。 自患病以来,精神、饮食、睡眠尚可,大小便正常,体力体重无明显减轻。
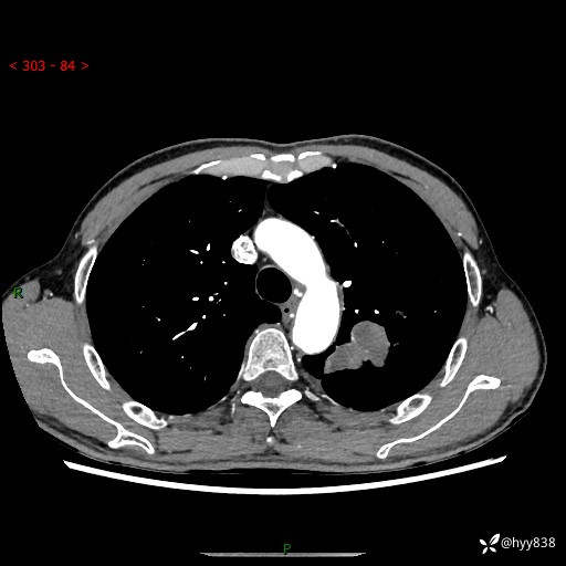
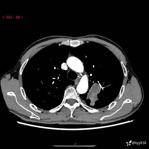
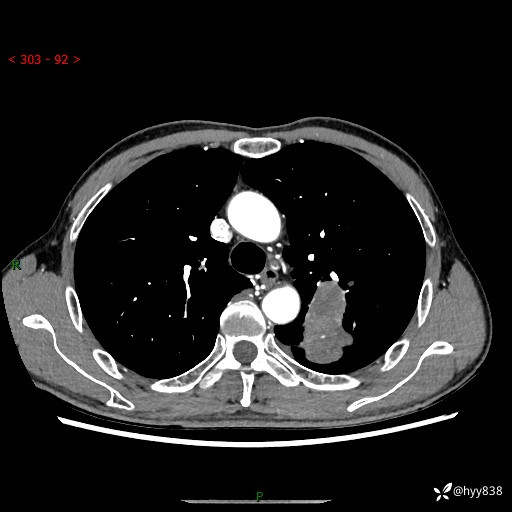
胸部CT增强扫描(外院平扫)




































































