腊月二十七特别精彩病例|咳嗽、胸痛1周,新手注意看肺一定要看支气管
呱呱叫了 等 2 位达人已点赞腊月二十七:宰年鸡、赶大集,春节所需物品都在置办之中。
民谣中有“腊月二十七,杀只鸡”的说法,为什么要在二十七杀鸡呢?这其实还是取得谐音,“鸡”同“吉”,有吉利、吉祥如意的意思。杀好的鸡,不在当天吃,要一直放到除夕才能吃,而且,除夕夜吃的时候也不能吃完,要一直留一点。
因为,本身代表了大吉大利,所以节日期间,天天都要在餐桌上见到鸡,这样才算圆满。另外,因为老理讲究初一不能动刀,所以,这些东西当然也就要提前准备好了。

---------------------------------------我是快乐读片的分割线---------------------------------------
患者性别:男
患者年龄:49岁
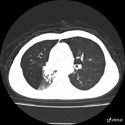
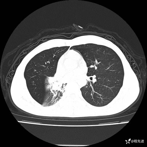
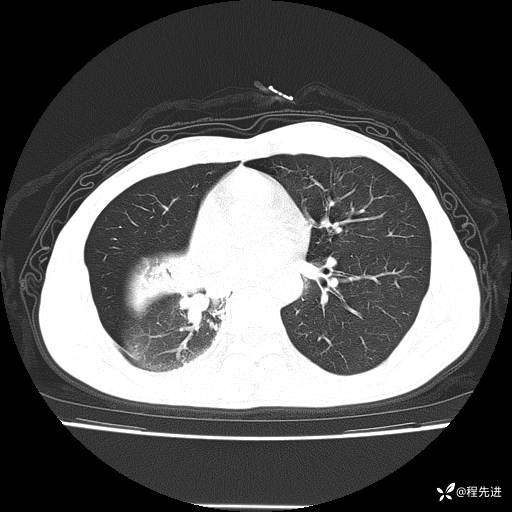
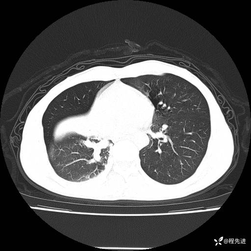
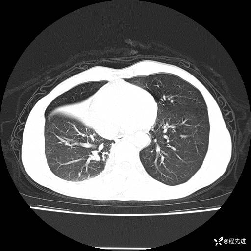
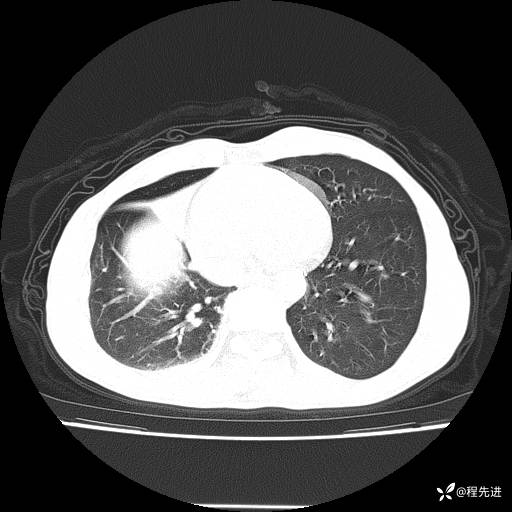
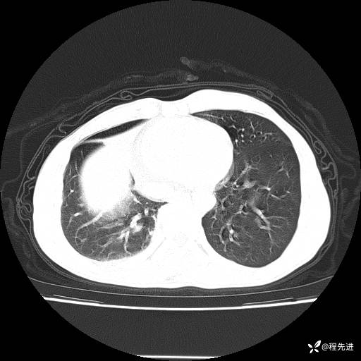
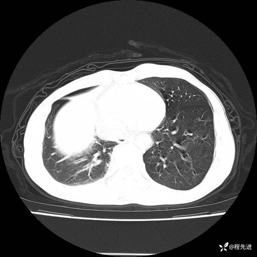
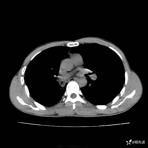
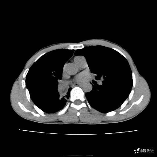
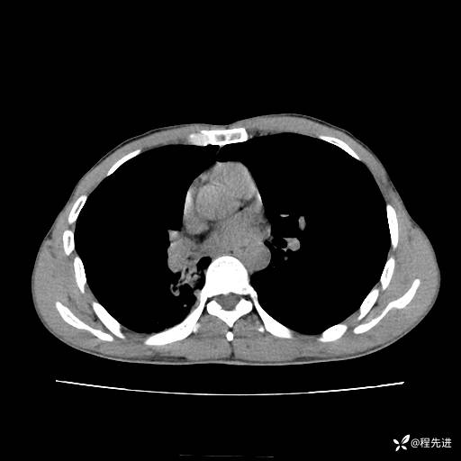
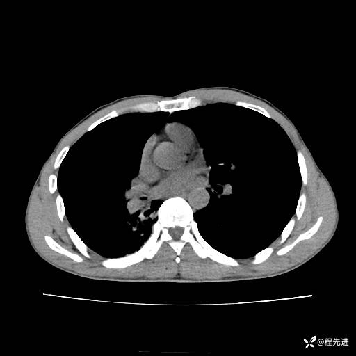
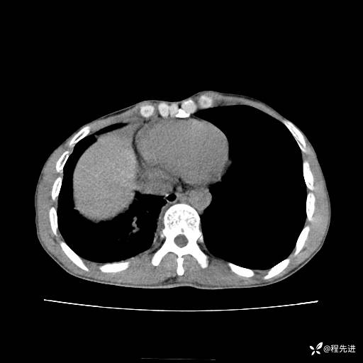
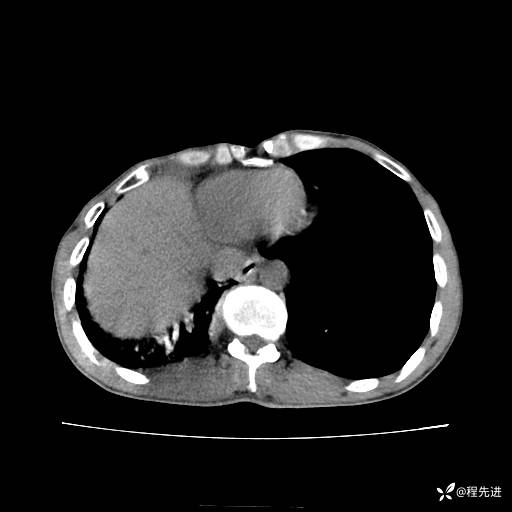
主诉:咳嗽、胸痛1周
简要病史:1周前受凉感冒后开始出现咳嗽症状,阵发性连声咳,痰多,黄白痰,不易咳出,伴胸痛、气紧、胸闷,右侧为主,活动用力、呼吸时胸痛明显,曾在当地诊所贴敷膏药仍疼痛
体格检查:T:36.3 ℃ P:80 次/分 R:20 次/分 BP:120/88 mmHg,指脉氧饱和度97%,意识清晰,呼吸平稳,右侧第二、三肋骨压痛,可见膏药贴敷,皮肤无异常,双肺呼吸音粗,未闻及干湿性啰音。心率80次/分,节律整齐,无杂音。腹平软,全腹无压痛无反跳痛
辅助检查:待回报
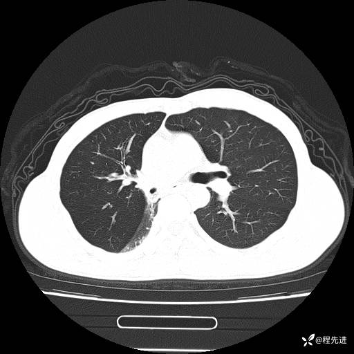
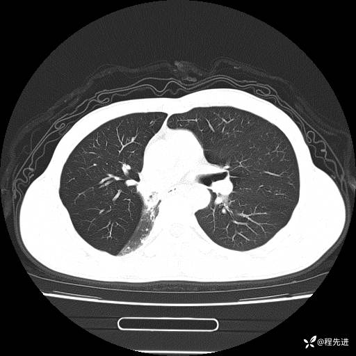
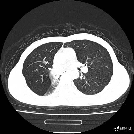
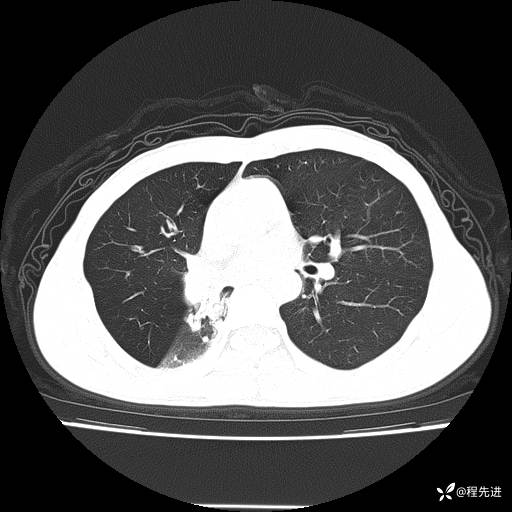
临床诊断:社区获得性肺炎
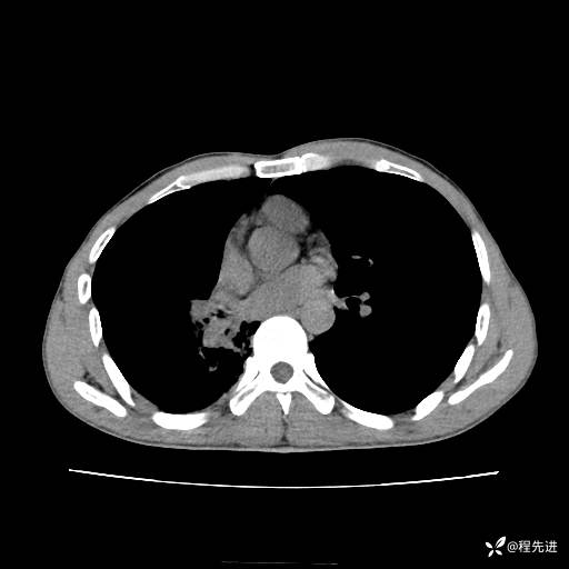
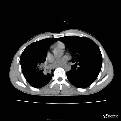
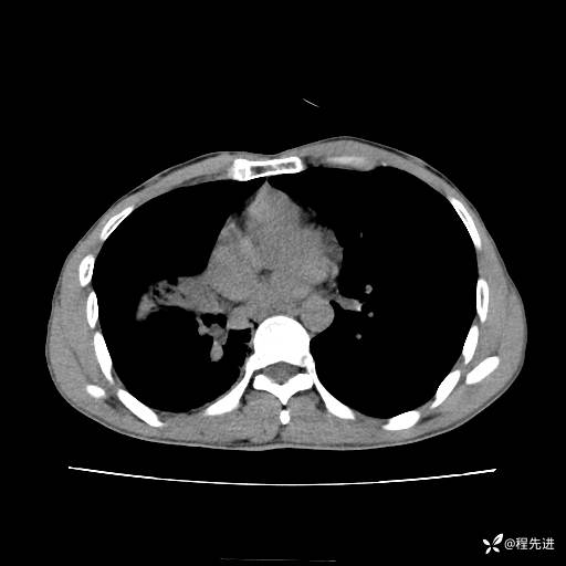
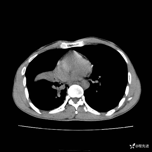
CT平扫:











































期待您的精彩解读!















































