55岁男性,上腹疼痛3月余,竟然是晚期胃癌,是姑息治疗还是争取根治性手术治疗?
患者基本信息:
55岁,男
主诉:上腹部间断疼痛3月余。
现病史:患者于3月余前无明显诱因下,出现上腹部间断疼痛(餐后疼痛明显),伴腹胀、呕吐1次(呕吐物为胃内容物),起病后病情持续性发作。
1天前于当地行胃镜提示:食管:粘膜光滑,血管纹理清晰,扩张度好。贲门:粘膜光滑,齿状线清晰,开闭尚可。胃底:粘膜水肿,粘液湖浊,量中等。胃窦、胃体:胃窦小弯前后壁可隆起型新生物,表面充血糜烂,病变跨过胃角延伸至胃小弯上段,覆污苔,质脆,触之易出血,活检。大弯侧皱襞部分缺失,充气欠佳。幽门:呈圆形,开闭可,粘膜光滑。十二指肠:球部及降段未见明显异常。
镜下诊断:1.食管粘膜未见明显异常。2.胃部占位性病病变。病理:低分化腺癌。未行治疗。纳差,睡眠正常,二便正常,体重无明显变化。
既往史、家族史、个人史:无特殊。
查体:剑突下按压痛,余无明显异常。
辅助检查:
肿瘤标志物:CEA:151.20ng/ml; CA724:258.8U/ml; CA199:6.3U/ml。
尿常规、大便常规、凝血常规、甲功五项、大便常规、肝肾功均未见明显异常。
胃镜:胃底:粘膜水肿,粘液湖浊,量中等。胃窦、胃体:胃窦小弯前后壁可隆起型新生物,表面充血糜烂,病变跨过胃角延伸至胃小弯上段,覆污苔,质脆,触之易出血,活检。大弯侧皱襞部分缺失,充气欠佳。幽门:呈圆形,开闭可,粘膜光滑。十二指肠:球部及降段未见明显异常。
胃镜病理:(胃体下段小弯)印戒细胞癌,低分化腺癌。
免疫组化:MSS,HER-2(0), Ki-67:60%,PD-1<1%,PD-L1 CPS:5。
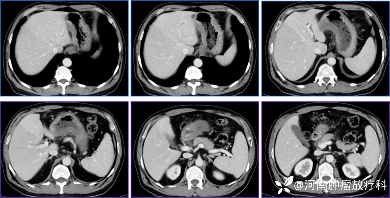
CT:2022.09.12(颈部至盆腔):胃壁增厚,粘膜层强化明显,胃窦显著。胃窦周围多发小淋巴结。

PET-CT(2022.9.12):胃体小弯侧及胃窦不均匀增厚,代谢高,符合胃癌表现。腹腔、肝胃间及胃壁周围多发软组织结节影,淋巴结转移不除外。余未见明显异常。

2022.9.16 腹腔探查:术中可见肿瘤位于胃体后壁延续至胃窦幽门,呈皮革状,质硬,侵出浆膜,侵及胰腺上缘,周围系膜内可触及多枚肿大淋巴结,无覆膜转移。
临床诊断:胃腺癌cT4bN+M0 Iva期
思考:
1. 患者下一步治疗:姑息治疗?转化治疗?
2. 具体治疗方案:化疗、放疗、手术、免疫治疗?
本期内容分享:河南省肿瘤医院放疗科 主治医师 王婷
















































