肺间质病变导致严重低氧血症,救治经验全分享
患者,女,71岁,2022年7月19日入院。
主诉: 反复胸闷气急1月,加剧1天。
现病史: 患者一月前无明显诱因出现胸闷气急,间断性咳嗽,咳少量白粘痰,无畏寒发热及胸痛咯血,无腹痛腹泻,在外院住院诊断为“肺部感染、心房扑动、心功能不全、低钾血症、胸腔积液”;予以比阿培南联合左氧氟沙星抗感染,利伐沙班抗凝,胺碘酮控制心律(在平时基础上加量),口服托拉塞米与氨氯地平等对症治疗,6月30日复查胸部CT示“肺部炎症稍好转”。2022年7月12日症状好转出院,出院后继续口服胺碘酮与利伐沙班。7月19日上午再次出现胸闷气急并明显加重,当地医院急诊复查胸部CT示两肺多发斑片实变阴影伴双侧胸腔积液,鼻导管吸氧(4L/min)下SPO2波动在90%左右,为进一步诊治转入我科。
既往史: 2021年初开始反复出现心悸,有时伴气促,无明显咳嗽及胸痛,急性发作时心电图多次检查提示心房扑动或心房颤动,静脉滴注胺碘酮可转服窦性心律,复律后改口服胺碘酮维持(100~200mg/日)。高血压病史10年。否认糖尿病及哮喘病史史。
否认药物及食物过敏史。
个人史、婚育史、家族史无特殊。
入院查体
T 36.5℃,HR 150次/分,R 30次/分,BP 124/80 mmHg,一般状态可,营养良好,急性面容,神志清楚,查体合作。胸廓对称,呼吸急促、节律规则,双侧呼吸运动对称。双肺呼吸音增强,双下肺闻及少量湿啰音。心音强弱不等,律欠齐,各瓣膜听诊区未闻及病理性杂音。腹壁柔软,无压痛,肝脾肋下未触及。病理体征未引出。
入院初步检验检查
2022-07-19
血常规:白细胞计数13.37*109/L↑,中性粒细胞百分比87.80%↑,淋巴细胞百分比6.10%↓,嗜酸性粒细胞百分比0.10%↓,红细胞计数5.19*1012/L↑,血红蛋白测定155.00 g/L↑,血小板计数243*109/L。
超敏CRP 28.66 mg/L↑。红细胞沉降率23 mm/h↑。
凝血功能:INR 1.29,凝血酶原时间16.30秒↑,活化部分凝血活酶时间29.10秒,纤维蛋白原6.68 g/L↑,D-二聚体试验1.80 μg/ml↑。
生化:肌钙蛋白I<0.02 ng/ml,B型脑尿钠肽261.42 pg/ml↑,肌酸激酶同工酶12.64 U/L;丙氨酸氨基转移酶14.00 U/L,天门冬氨酸氨基转移酶27.00 U/L,乳酸脱氢酶422.00 U/L↑,总胆红素26.10 μmol/L↑,直接胆红素10.00 μmol/L↑,总蛋白62.55 g/L↓,白蛋白32.77 g/L↓,前白蛋白138 mg/L↓;钾4.05 mmol/L,氯101.90 mmol/L,钠134.00 mmol/L↓,总二氧化碳17.90 mmol/L↓;尿素4.37 mmol/L,肌酐84.10 μmol/L,尿酸328.00 μmol/L;葡萄糖6.41 mmol/L↑;总钙2.01 mmol/L↓,镁0.70 mmol/L。
免疫:免疫球蛋白A 3.04 g/L,免疫球蛋白G 11.80 g/L,免疫球蛋白M 0.87 g/L,补体C3 1.11 g/L,补体C4 0.28 g/L,类风湿因子13.60 IU/ml。抗环瓜氨酸肽抗体<0.5 U/ml。免疫球蛋白E 163.00 IU/ml↑。ENA14项阴性。
肿瘤标志物:细胞角蛋白19片段测定5.27 ng/ml↑,神经元特异烯醇化酶NSE 32.12 ng/ml↑,CA125 251.90 U/ml↑,CA153 33.45 U/ml↑,癌胚抗原11.17 ng/ml↑,其他肿瘤标志物未见异常。
降钙素原0.04 ng/ml。
甲状腺功能:三碘甲状腺原氨酸0.48 nmol/L↓,甲状腺素101.59 nmol/L,游离三碘甲状腺原氨酸2.59 pmol/L,游离甲状腺素14.04 pmol/L,促甲状腺素4.256 U/ml。
微生物:GM实验0.119。隐球菌抗原检测阴性。真菌D-葡聚糖检测<10.0000 pg/ml。
结核检测:T-SPOT阴性,痰荧光染色抗酸杆菌涂片阴性。
心电图检查报告:心房颤动。
入院诊断:肺部感染、呼吸衰竭、胸腔积液、心功能衰竭、心律失常(心房颤动)、高血压病。
入院治疗
经鼻高流量氧疗(HFNC):GasFlow 50L/min,FiO2=80%(P/F=110);
抗感染治疗:美罗培南1g静滴q8h,伏立康唑0.2g静滴q12h;
强心、控制心室率:西地兰;
利尿:托拉塞米+螺内酯;
抗凝:利伐沙班;
营养支持及其他对症支持治疗。
复查评估调整
2022-07-25
血常规:白细胞计数12.78*109/L↑,中性粒细胞百分比73.10%,淋巴细胞百分比12.20%↓,超敏CRP 10.11 mg/L↑。
生化检测:肌钙蛋白I检测<0.02 ng/ml,B型脑尿钠肽检测150.16 pg/ml↑。肝肾功能、电解质、血糖未见明显异常。
凝血功能:凝血酶原时间15.00秒↑,D-二聚体试验1.31 μg/ml↑。
免疫检测:抗心磷脂抗体IgG 2.86 GPLU/mL,抗肾小球基底膜抗体测定<2.00 AU/ml,抗中性粒细胞胞质抗体测定阴性(-),抗中性粒细胞核周抗体测定阴性(-)。
免疫检验报告:嗜肺军团菌抗体LP-Ab阴性,肺炎支原体抗体IgM阴性。
其他检验:呼吸道病毒核酸检测均阴性。人巨细胞病毒DNA测定<400 copies/ml。
治疗调整
患者心功能及感染指标好转,P/F=160,床旁超声提示肺泡间质水肿,加用甲强龙;调整HFNC参数,改GF 60L/min,FiO2=80%。
7月28日
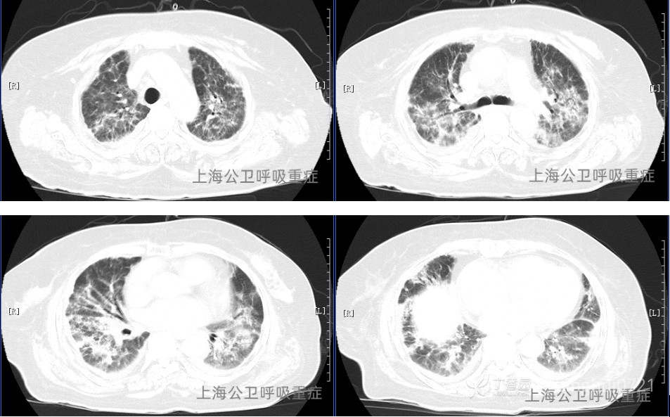
胸部CT:两肺感染,合并间质性水肿可能,两侧少量胸腔积液。纵隔淋巴结稍大。心脏增大。(见图1)CT两肺炎症较外院(07-19)相仿。

图1
2022-08-01
血常规:白细胞计数21.70*109/L↑,血红蛋白测定149.00 g/L,血小板计数205*109/L,超敏CRP 0.74 mg/L。
生化:丙氨酸氨基转移酶171.00 U/L↑,天门冬氨酸氨基转移酶113.00 U/L↑,总胆红素11.10 μmol/L,直接胆红素5.00 μmol/L,尿素14.29 mmol/L↑,肌酐62.00 μmol/L。B型脑尿钠肽检测116.62 pg/ml↑。
降钙素原0.02 ng/ml。
2022-08-04
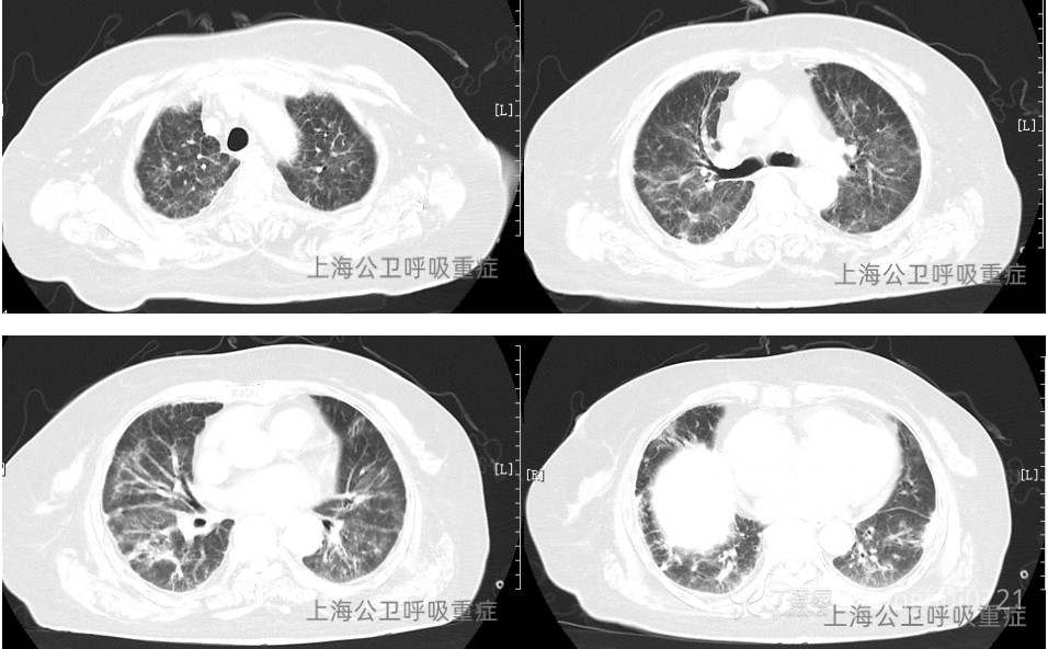
胸部CT:两肺散在多发炎症,合并间质性肺水肿可能,两侧少量胸腔积液,较前2022-7-28片明显好转,心脏增大,心包少量积液。(见图2)

图2
心超:左室各节段收缩活动减弱(LVEF47%),中度三尖瓣反流,主动脉瓣钙化。
患者气促好转,少量咳嗽,胃纳改善,心室率控制在80~90 bpm。肝功能、BNP等异常检验指标逐步好转,CRP、PCT保持正常范围。
后续治疗:停用伏立康唑。抗菌药物降阶梯治疗。激素继续逐步减量。高流量氧疗参数逐步下降。氧合继续好转。
2022-08-18
血常规:白细胞计数15.53*109/L↑,红细胞计数5.08*1012/L,血红蛋白测定147.00 g/L,超敏CRP 4.42 mg/L。
生化:肝功能未见异常,尿素9.81 mmol/L↑,肌酐68.90 μmol/L,葡萄糖4.48 mmol/L,B型脑尿钠肽检测45.28 pg/ml↑。
凝血功能:凝血酶原时间12.20秒,活化部分凝血活酶时间29.10秒,D-二聚体试验2.39 μg/ml↑。
2022-08-19
心脏冠脉CTA:未见明显异常。(见图3)
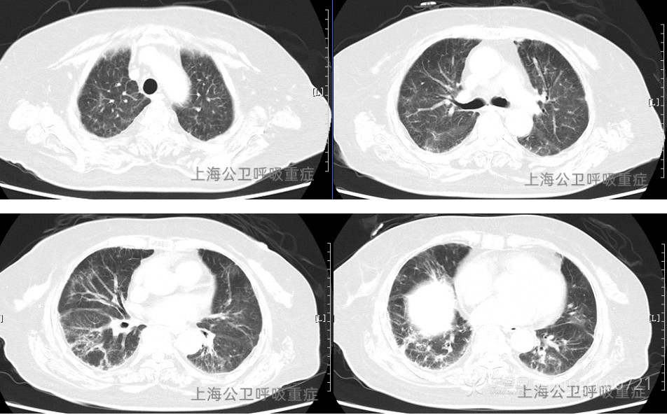
胸部CT平扫:两肺散在多发炎症,两侧少量胸腔积液,较前片继续好转。心脏增大,心包少量积液。(见图4)

图3

图4
2022-08-22
患者无发热,无胸闷、胸痛,无明显咳嗽,胃纳改善。鼻导管吸氧3L/min,SPO2 98~99%,神清,双肺呼吸音粗,未闻及啰音,心率76bpm,律不齐,双下肢不肿。患者病情好转,予以出院。
















































