dxy logo
首页丁香园病例库全部版块
搜索
登录

病例1月特别精彩病例|咳嗽不适1月余,痰中带血7天,左肺下叶占位期待你解密【病理公布】

影像核医学版版主 · 发布于 2023-01-15 · IP 江西江西
3067 浏览
icon呱呱叫了 达人已点赞
这个帖子发布于 2 年零 314 天前,其中的信息可能已发生改变或有所发展。

患者性别:男

患者年龄:70岁

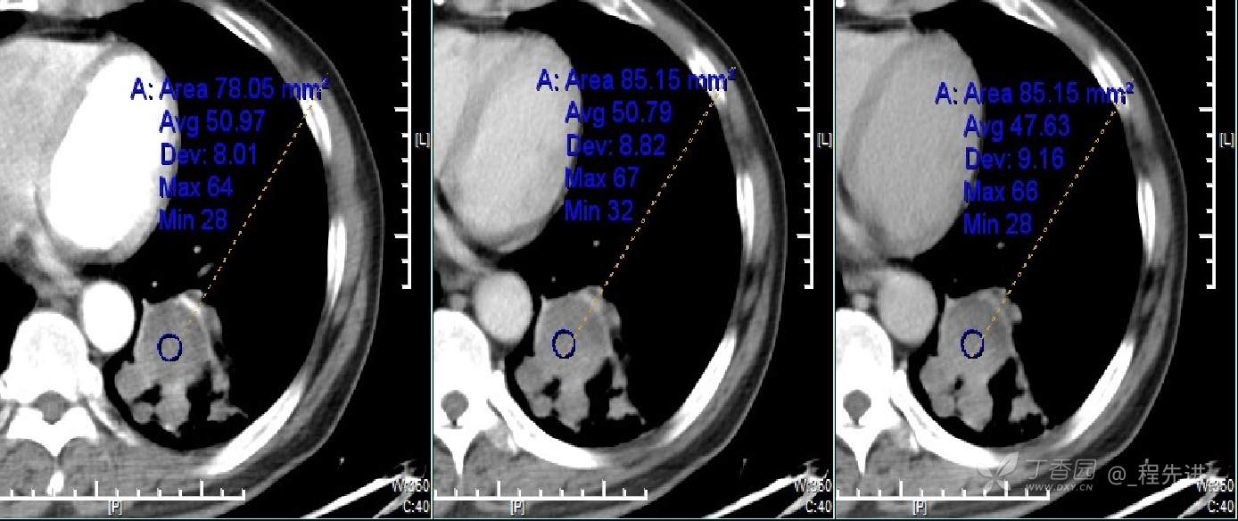
简要病史:咳嗽不适1月余,痰中带血7天,胸片发现左肺下叶占位直接做CT增强扫描


img
img
img
img
咳嗽||成人咳嗽|咳嗽病 (1145)
纠错
48 3 12
同行评议(0)
已评议
不开通精选
开通精选
精选已授权,待上线
评议结果暂未公布
参与评议
去邀请
NaN
病例完整NaN
临床实用NaN
诊疗科学NaN
学术价值NaN

全部讨论(0)

默认最新
avatar
48
分享帖子
share-weibo分享到微博
share-weibo分享到微信
认证
返回顶部