看到这,捏把汗啊!尿毒症遇到心肌梗死,又遇到主动脉弓溃疡,还鼓了个包!



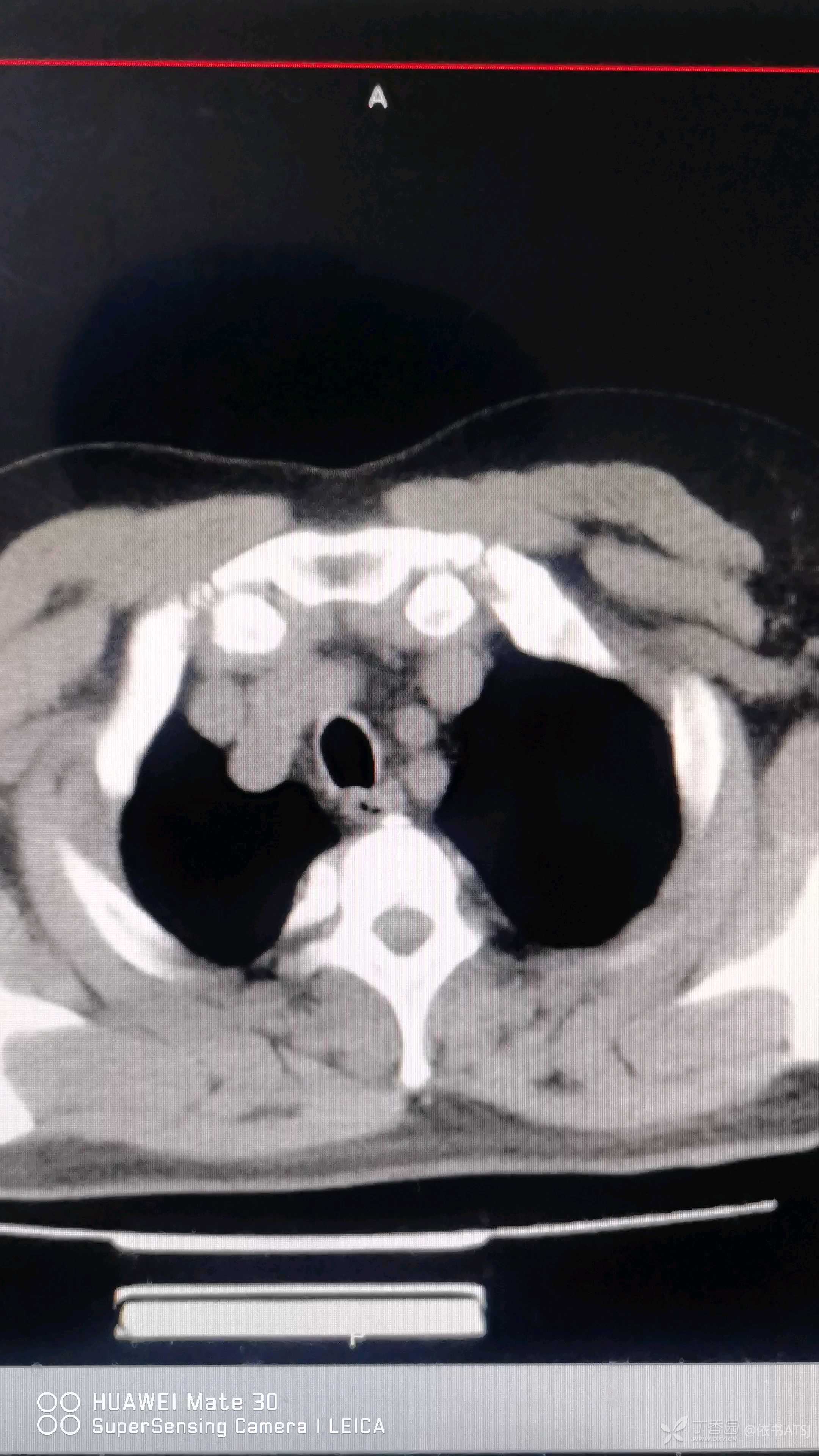
主动脉弓局限性外凸,密度不均匀,考虑溃疡形成,这个主动脉弓外凸的那个包,因溃疡形成,是个极度危险的信号啊!

又遇到了急性非ST段抬高性心肌梗死
简直是雪上加霜啊!
大家看看主动脉弓的地方,有溃疡,有凸出,就是主动脉弓鼓了个包!



主动脉弓局限性外凸,密度不均匀,考虑溃疡形成,这个主动脉弓外凸的那个包,因溃疡形成,是个极度危险的信号啊!

又遇到了急性非ST段抬高性心肌梗死
简直是雪上加霜啊!
大家看看主动脉弓的地方,有溃疡,有凸出,就是主动脉弓鼓了个包!
