消化系统少见病(一百十三):奇特的手术并发症
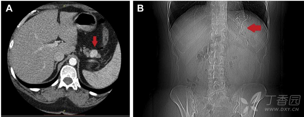
一名45岁女性因子宫肿瘤及胰尾神经内分泌肿瘤(图A)而行腹盆腔手术。
术后因子宫肿瘤病变局限、神经内分泌瘤无功能,患者未行化疗。
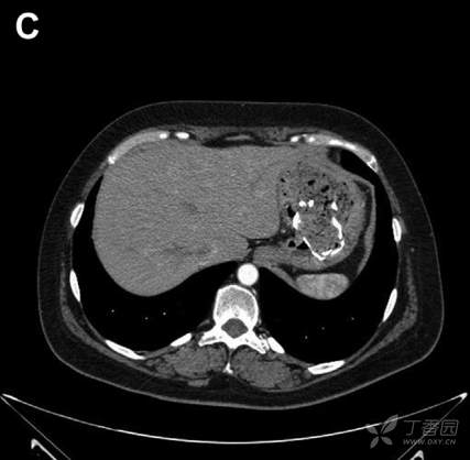
术后患者出现恶心、呕吐、食欲减退、乏力及发热,病情逐渐加重。术后2月腹部CT提示胰瘘及左侧腹壁局限性脓肿,遂给予针对性治疗。但患者全身情况进一步恶化,出现上腹痛、恶心呕吐、食欲减退及体重下降(超过30Kg)。6个月后复查CT提示胃内幽门前区团块状物质,内含高密度线状影(图B,C)。
请问:诊断是什么?
A 手术异物遗留 B 胃肿瘤 C 胃脓肿钙化 D 胰瘘侵及胃


(CGH,22-Aug)
上一期:消化系统少见病(一百十二):少见的外科急腹症 - 消化内科 - 专业医生社区,医学、药学、生命科学、科研学术交流 (dxy.cn)
下一期:消化系统少见病(一百十四):肠镜检查后腹痛(回帖讨论赢丁当) - 消化内科 - 专业医生社区,医学、药学、生命科学、科研学术交流 (dxy.cn)















































