消化系统少见病(一百十二):少见的外科急腹症
一名65岁男性因“撞车致高处跌落后上腹痛”而急诊就诊。
既往有慢性酒精中毒。
查体:全腹压痛、反跳痛及肌紧张,移动性浊音阳性,肠鸣音弱。
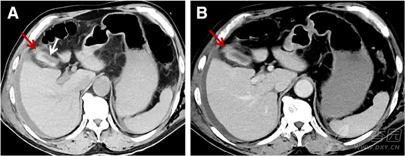
辅助检查:贫血(Hb 91g/L),肝功能异常(AST 254 U/L,ALT138 IU/L)。诊断性腹穿抽出血性及胆汁性腹水。腹部CT如下图:
请问:诊断是什么?
A 肝破裂 B 胆囊破裂 C 十二指肠破裂 D 腹腔内金属异物刺入

(Gastro,22-Oct)
上一期:消化系统少见病(一百十一):肝、眼、脑多发病变,一元还是多元? - 消化内科 - 专业医生社区,医学、药学、生命科学、科研学术交流 (dxy.cn)
下一期:消化系统少见病(一百十三):奇特的手术并发症(回帖讨论赢丁当) - 消化内科 - 专业医生社区,医学、药学、生命科学、科研学术交流 (dxy.cn)















































