指骨骨折6周后旋转畸形
患者沈某,男,52岁,“右中指外伤骨折后旋转畸形6周”入院。
据其描述当时打了石膏,后来自行拆除
入院诊断:
1.右手中指近节指骨基底陈旧骨折
2.右中指旋转畸形并伸屈功能障碍
术前



屈指后旋转交叉指


指骨骨折6周愈合情况,愈合相当牢固

打开部分关节囊见骨折涉及软骨面,基本平整,原痕迹小心凿开,近折端爆裂了,还好软骨完整

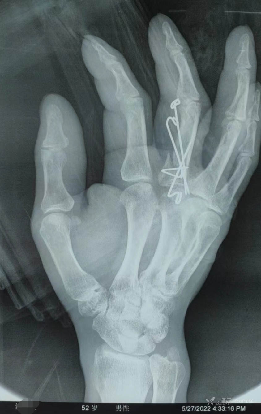
复位费了点事,4枚针植入后相对稳固

旋转畸形矫正

屈曲位石膏制动,早期屈指锻炼,赞同吗?




如果当时一个握拳位绷带固定应该不至于此
第一次处理很关键,患者依从性也很重要
















































