指骨骨折小细节,指甲需要回植吗?
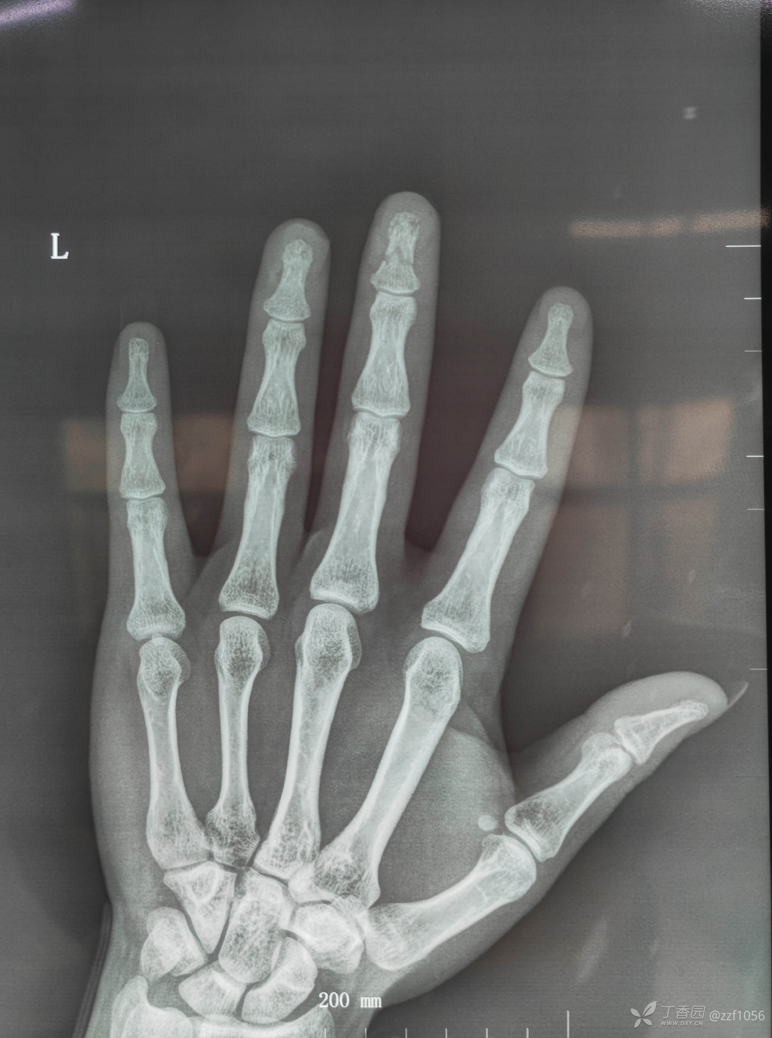
武医生 等 3 位达人已点赞齐某某,男,29岁,夹伤,急诊手术


背侧成角折端嵌插千万不要以为直接就可整复,经验告诉我们闭复肯定会失败

甲床根部破裂嵌入折端,清理后撬拨复位,怎么固定?克氏针一枚还是两枚?纵行还是交叉?需要外固定吗?




指甲是否需要回植?回植的优势?回植的技巧?回植后就安全吗?回植的必要性?
指骨骨折临床多见,不算复杂,但是小病例也不简单,做好也需要小技巧,分享给手外初学者的兄弟。
武医生 等 3 位达人已点赞齐某某,男,29岁,夹伤,急诊手术


背侧成角折端嵌插千万不要以为直接就可整复,经验告诉我们闭复肯定会失败

甲床根部破裂嵌入折端,清理后撬拨复位,怎么固定?克氏针一枚还是两枚?纵行还是交叉?需要外固定吗?




指甲是否需要回植?回植的优势?回植的技巧?回植后就安全吗?回植的必要性?
指骨骨折临床多见,不算复杂,但是小病例也不简单,做好也需要小技巧,分享给手外初学者的兄弟。
