解剖丨腹后壁和腹膜后间隙
李梦杰huxi 达人已点赞
左侧腹膜后间隙上部的分区和筋膜

左侧腹膜后间隙中部的分区和筋膜

左侧腹膜后间隙下部的分区和筋膜
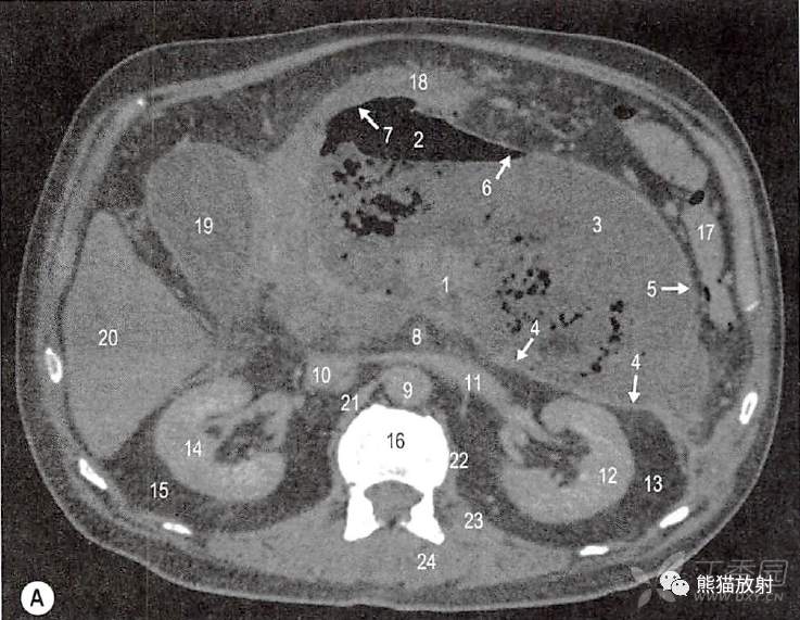
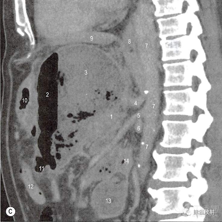
一例58岁慢性胰腺炎和胰周假性囊肿男性患者。
口服和静脉注射增强对比剂计算机扫描(CT轴位和矢状位)。
假性囊肿,包含气体和液体,胰周间隙扩大。融合筋膜的边界因为慢性炎症增厚,容易可见。

A.第2腰椎水平横断面;1.胰颈;2.前部气体的集聚(描述出胰周间隙);3.后部集聚的积液和碎片(描绘出胰周间隙);4.胰腺后融合筋膜(肾前筋膜融合十二指肠系膜右叶);5.胰周筋膜与左结肠系膜右叶融合;6.胰周筋膜深面到左结肠系膜前和收缩的小网膜囊;7.胃床上胰周前筋膜与小网膜囊腹膜融合;8.肠系膜上动脉;9.腹主动脉;10.下腔静脉;11.左肾静脉;12.左肾实质;13.左肾周间隙(不能与左肾后旁隙区分开);14.右肾实质;15.右肾周间隙(不能与右肾旁后间隙区别);16.第2腰椎体上部;17.脾曲;18.胃(被积液抬起或挤压);19.胆囊;20.肝右叶(5和6段);21.右膈脚;22.腰大肌起点;23.左侧腰方肌;24.左竖脊肌。

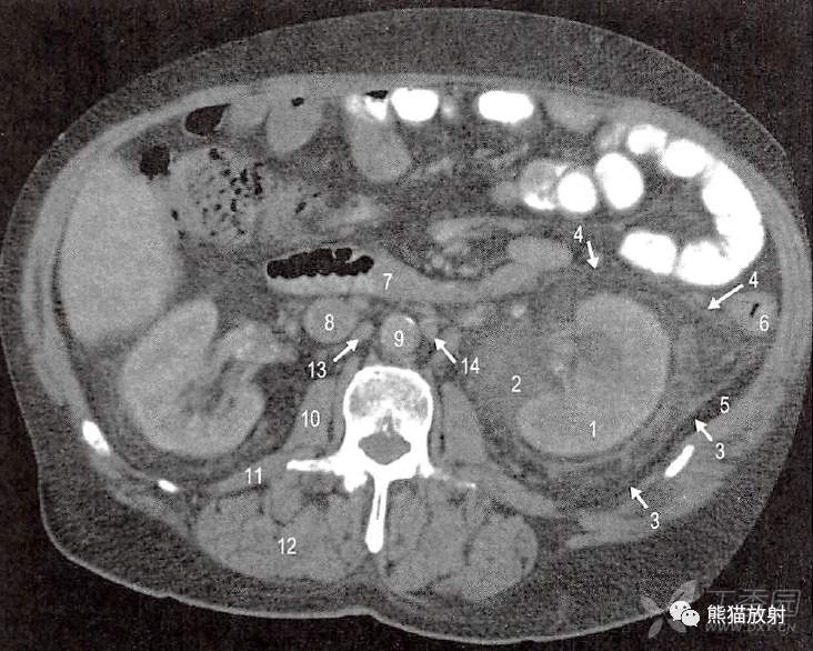
B.第4腰椎水平横断面;1.胰体的下部和胰钩突;2.十二指肠降部远端;3.十二指肠水平部;4.胰周积液(胰腺和十二指肠周围和前面);5.肠系膜上静脉;6.肠系膜上动脉;7.肠系膜;8.横结肠系膜的部分积气;9.横结肠系膜(与大网膜融合);10.横结肠;11.升结肠后面积液;12.升结肠;13.降结肠后积液(带气体);14.降结肠;15.左肾实质;16.左肾周间隙;17.左肾后筋膜(正常厚度,故较小);18.左肾旁后间隙;19.右肾实质;20.右肾周间隙;21.右肾后筋膜;22.右肾旁后间隙;23.肾前筋膜(因慢性炎症而增厚);24.第4腰椎体上部;25.腹主动脉;26.下腔静脉;27.右腰大肌;28.左侧腰方肌;29.左侧竖脊肌群。

C.矢状切面;1.胰颈;2.前部积气;3.后部积液;4.腹腔干;5.肠系膜上动脉;6.左肾静脉;7.腹主动脉;8.膈脚;9.肝左叶;10.胃窦;11.横结肠系膜的部分积气;12.横结肠;13.渗入肠系膜的部分积液;14.十二指肠水平部。

D.经左肾门矢状切面;1.胰体;2.积液;2.左肾实质;3.胃底(口服对比剂);4.胃体;5.左上肾周筋膜与胰腺后筋膜融合;6.左肾前筋膜与左结肠系膜右叶融合(Toldt筋膜) ;7.十二指肠升部;8.左肾实质;9.脾


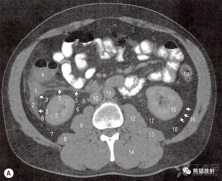
43岁男性盲肠后位阑尾炎。右结肠周隙炎性积液和粘连。可见右上肾周筋膜和右结肠系膜(Toidt’s筋膜) 融合
A.经过阑尾的横断面;1.增厚和发炎的阑尾;2.右结肠周隙后面的炎性积液,右肾周间隙前部;3.肾周前筋膜(与结膜后筋膜/结肠系膜融合);4.盲肠/升结肠;5.右肾实质;6.右肾周间隙;7.右肾旁后间隙(肾后筋膜难以辨认);8.右腰方肌;9.右腰大肌;10.下腔静脉;11.腹主动脉;12.左腰大肌;13.左腰方肌;14.左竖脊肌组;15.左肾实质;16.左肾后筋膜;17.左肾周间隙;18,左肾旁后间隙;19.降结肠。
B.经过阑尾的冠状面;1.增厚发炎的盲肠后位阑尾;2.炎性液体和水肿沿右结肠系膜到肠系膜扩展;3.增大的回肠结肠淋巴结;4.右结肠系膜的炎性积液;5.下腔静脉一肝后段;6.下腔静脉一肝下腹膜段;7.下腔静脉一肾段;8.下腔静脉一肾下段;9.左肾静脉;10.肠系膜上动脉;11.腹腔干;12.腹主动脉;13.右髂总动脉;14.左髂总动脉;15.胰尾

61岁男性,中部输尿管结石造成左侧输尿管梗阻,尿液从左肾门外渗。口服和静脉注射增强对比剂CT扫描。经左肾门的横断面(结石在此平面下方)
1.左肾实质;2.左肾周间隙渗出的尿液;3.肾后筋膜;4.肾前筋膜;5.左肾旁后间隙;6.降结肠;7十二指肠水平部;8.下腔静脉;9.腹主动脉;10.右腰大肌;11.右腰方肌;12.右竖脊肌群;13.主动脉腔静脉淋巴结(轮廓增大);14.左主动脉旁淋巴结(轮廓增大)

骨骼和腹后壁深层肌
左腰大肌和膈肌已被移除

腹主动脉和下腔静脉

腹主动脉的分支



下腔静脉的属支和腰静脉
只清晰显示左腰静脉系统



主动脉前淋巴结组

腹后壁肌和神经

腰丛及其分支

↓ 内容节选自:
《格氏解剖学:临床实践的解剖学基础》
丁自海,刘树伟 主译
















































