【腹盆】特别精彩病例|下腹痛20余天,男性病人腹腔巨大肿块该如何诊断
过去的时光难忘怀 等 3 位达人已点赞病例信息
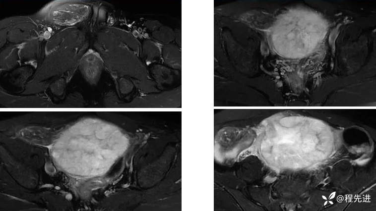
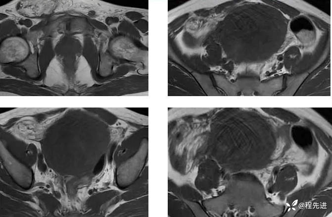
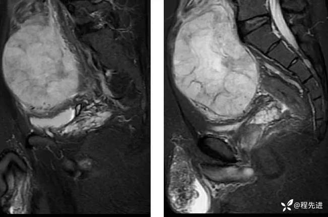
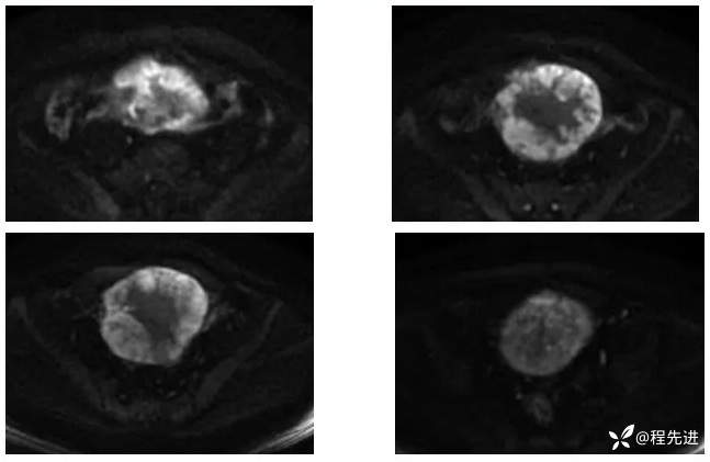
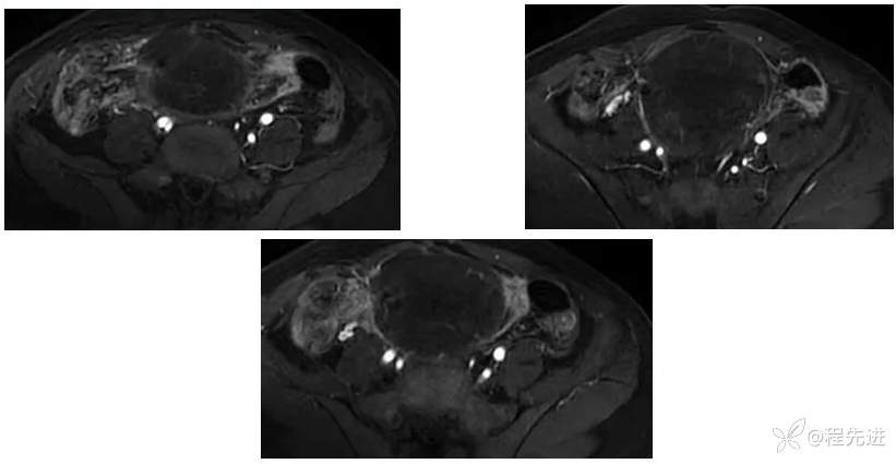
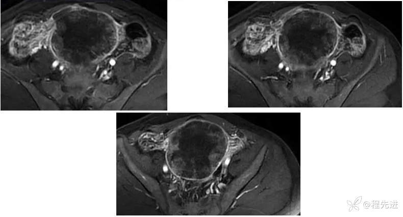
【患者信息】:男,41岁
【主诉】:下腹痛20余天
【现病史及既往史】:患者20余天前无明显诱因下出现下腹部疼痛,呈阵发性闷痛,无恶心,无呕吐,无腹泻,无尿频、尿急,无黄疽,无发热、畏寒,无胸闷、气促,一直未予就诊,症状反复发作,今为进一步诊治,于外院行相关检查后,到我院就诊,门诊拟“盆腔包块"收入本科。起病以来,患者精神、胃纳、睡眠好,大小便正常。
既往史:隐睾
【检查】:
肿瘤标志物:甲胎蛋白(AFP)>10000





增强:



















































