【腹盆】特别精彩病例|腹胀2月余,发现腹腔占位10天
呱呱叫了 等 2 位达人已点赞病例信息
【患者信息】:女,63岁
【主诉】:腹胀2月余,发现腹腔占位10天
【现病史及既往史】:患者2月余前出现腹胀,胃反酸,无寒战发热胸闷胸痛、恶心呕吐、腹痛腹泻等不适伴随症状。10天前患者自查发现腹腔占位
既往史:高血压15年余,口服氨氯地平,倍他乐克控制良好
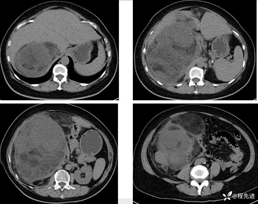
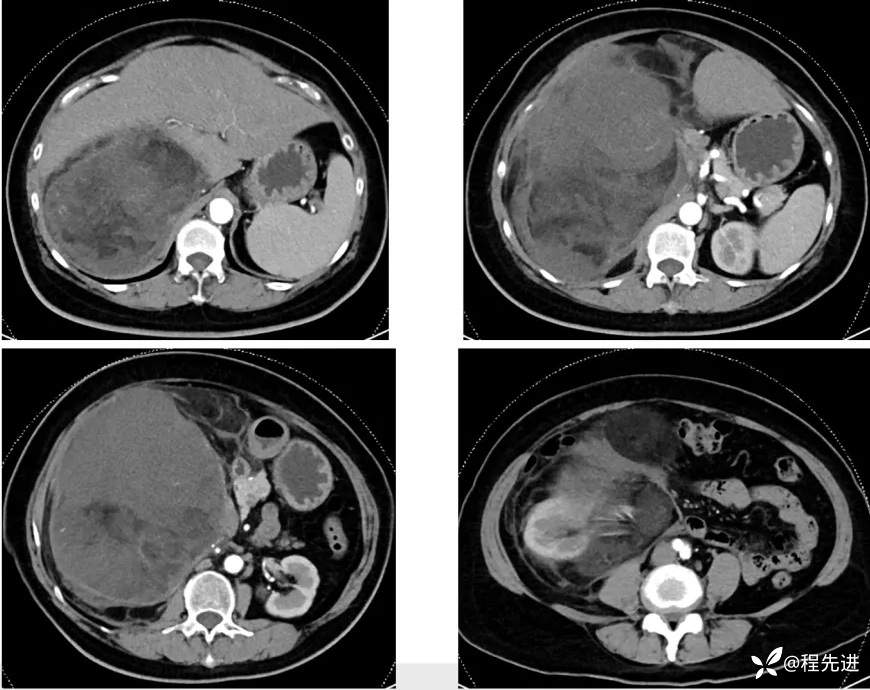
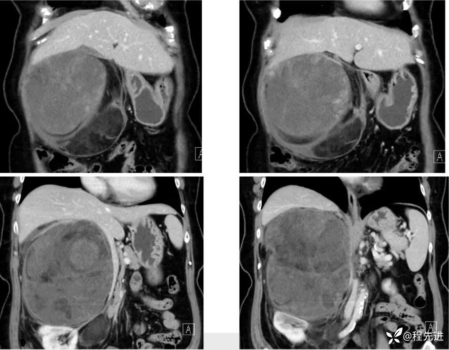
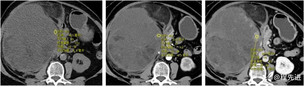
【检查】:





呱呱叫了 等 2 位达人已点赞病例信息
【患者信息】:女,63岁
【主诉】:腹胀2月余,发现腹腔占位10天
【现病史及既往史】:患者2月余前出现腹胀,胃反酸,无寒战发热胸闷胸痛、恶心呕吐、腹痛腹泻等不适伴随症状。10天前患者自查发现腹腔占位
既往史:高血压15年余,口服氨氯地平,倍他乐克控制良好
【检查】:





