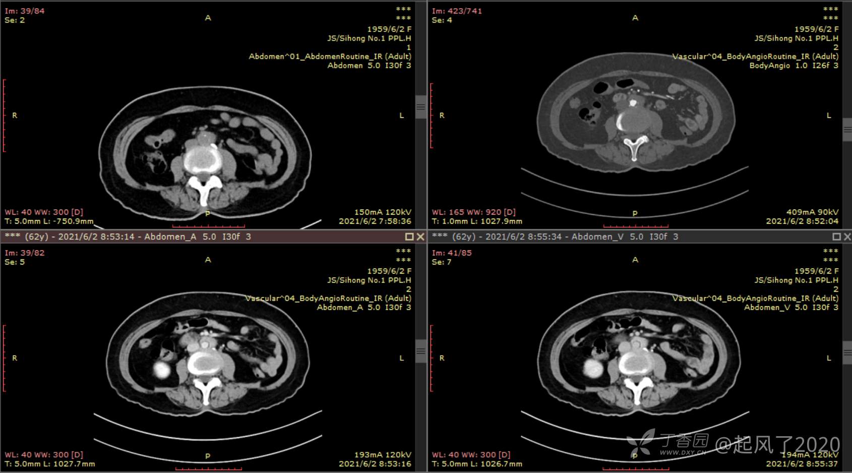
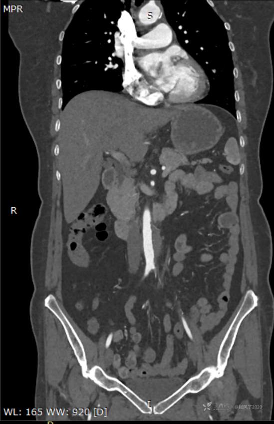
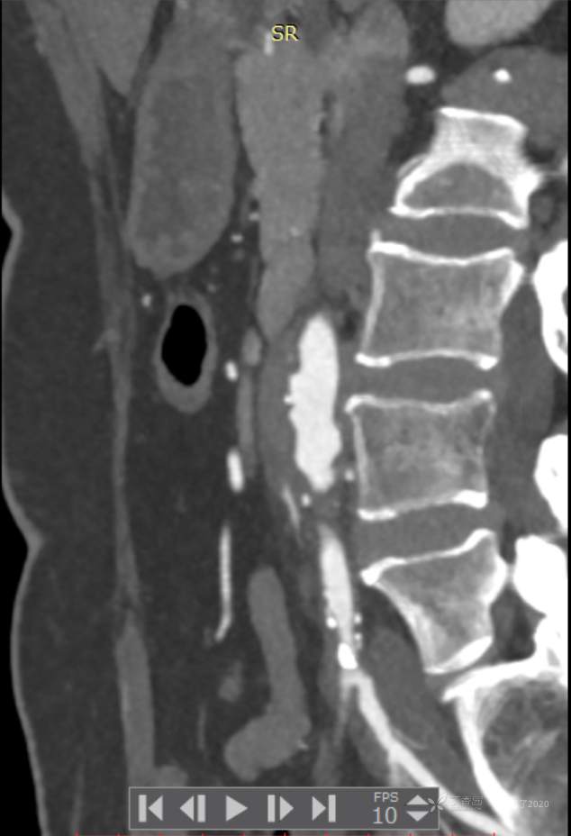
求助 | 女,61岁,下腹部、腰及双髋关节隐痛1月余
II型糖尿病10年余,既往饮食控制血糖在7~8左右,今年1月份开始服用二甲双胍;2009年4月因“子宫肌瘤、双侧输卵管慢性炎症”行子宫及附件切除术;2021年1月体检发现双侧甲状腺多发结节,较大者12*7mm;高血脂10余年,近1月开始规律服药,控制不理想;无高血压












II型糖尿病10年余,既往饮食控制血糖在7~8左右,今年1月份开始服用二甲双胍;2009年4月因“子宫肌瘤、双侧输卵管慢性炎症”行子宫及附件切除术;2021年1月体检发现双侧甲状腺多发结节,较大者12*7mm;高血脂10余年,近1月开始规律服药,控制不理想;无高血压












