又见胸闷气急,你怎么考虑?(认真分析,这个病例还是蛮有意思的)(答案已公布)
患者性别:女
患者年龄:57岁
简要病史:因“车祸致左大腿肿痛、活动受限5小时”于夜间入院。患者于5小时前骑电瓶车被拖拉机撞倒,左大腿及左侧头部受伤,无意识障碍,无恶心呕吐,无大小便失禁等,左下肢肿痛、活动受限。被送到医院急诊科就诊,查X片:“左股骨下段粉碎性骨折”,查头颅CT:“左额颞部硬膜下少量积液”。入住骨科。既往史:否认高血压、糖尿病、冠心病等病史。
体格检查:生命体征平稳,神志清,左眼青紫,耳鼻无血液流出,瞳孔正常,心肺腹(–),双上肢及右下肢肌力5级,双侧巴氏征(–)。左股骨骨折骨科专科查体(+)。
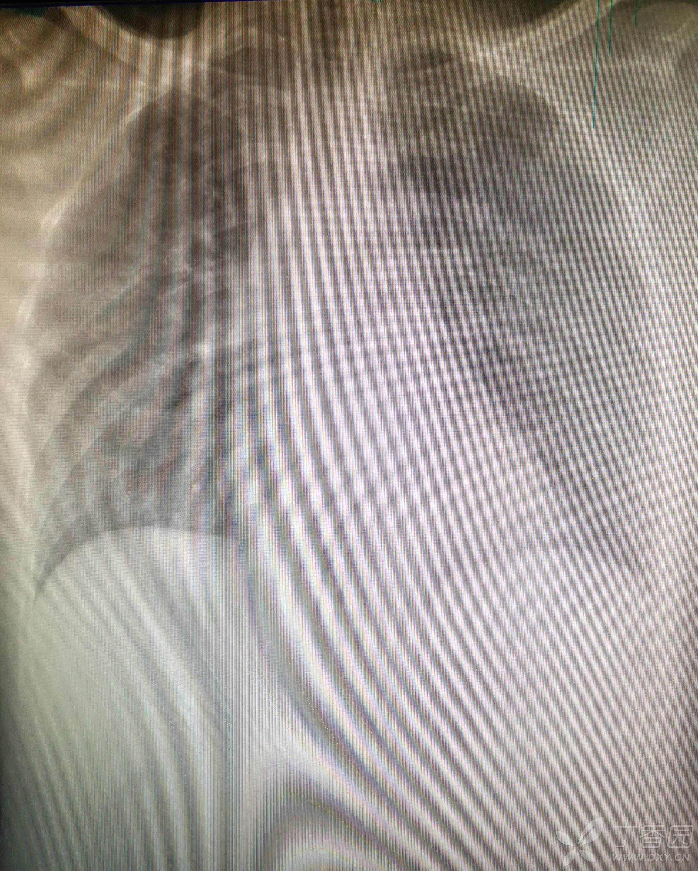
辅助检查:急诊X片:“左股骨下段粉碎性骨折”。急诊头颅CT:“左额颞部硬膜下少量积液”。急诊胸片:

临床诊断:1.左股骨下段粉碎性骨折 2.左额颞部硬膜下少量出血。
治疗经过:入院后查血常规:白细胞11.6×109/L,血红蛋白108g/L,血小板在正常范围。凝血功能:纤维蛋白原降解产物43.48mg/L,D二聚体13630ug/L,余无明显异常。生化:白蛋白37g/L,余无明显异常。心电图:

腹部彩超:肝回声欠均匀,右shen集合管系上级局限性分离,胆、胰、脾、左shen、输尿管未见明显异常。左侧大腿CT+三维重建:左股骨下段粉碎性骨折。
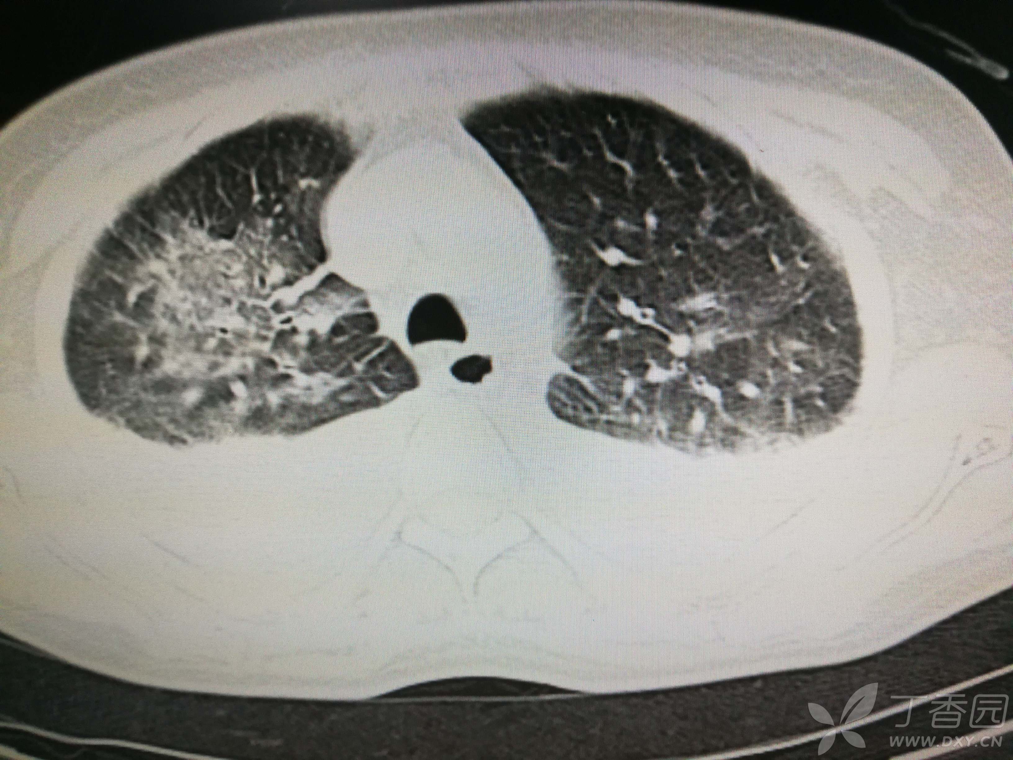
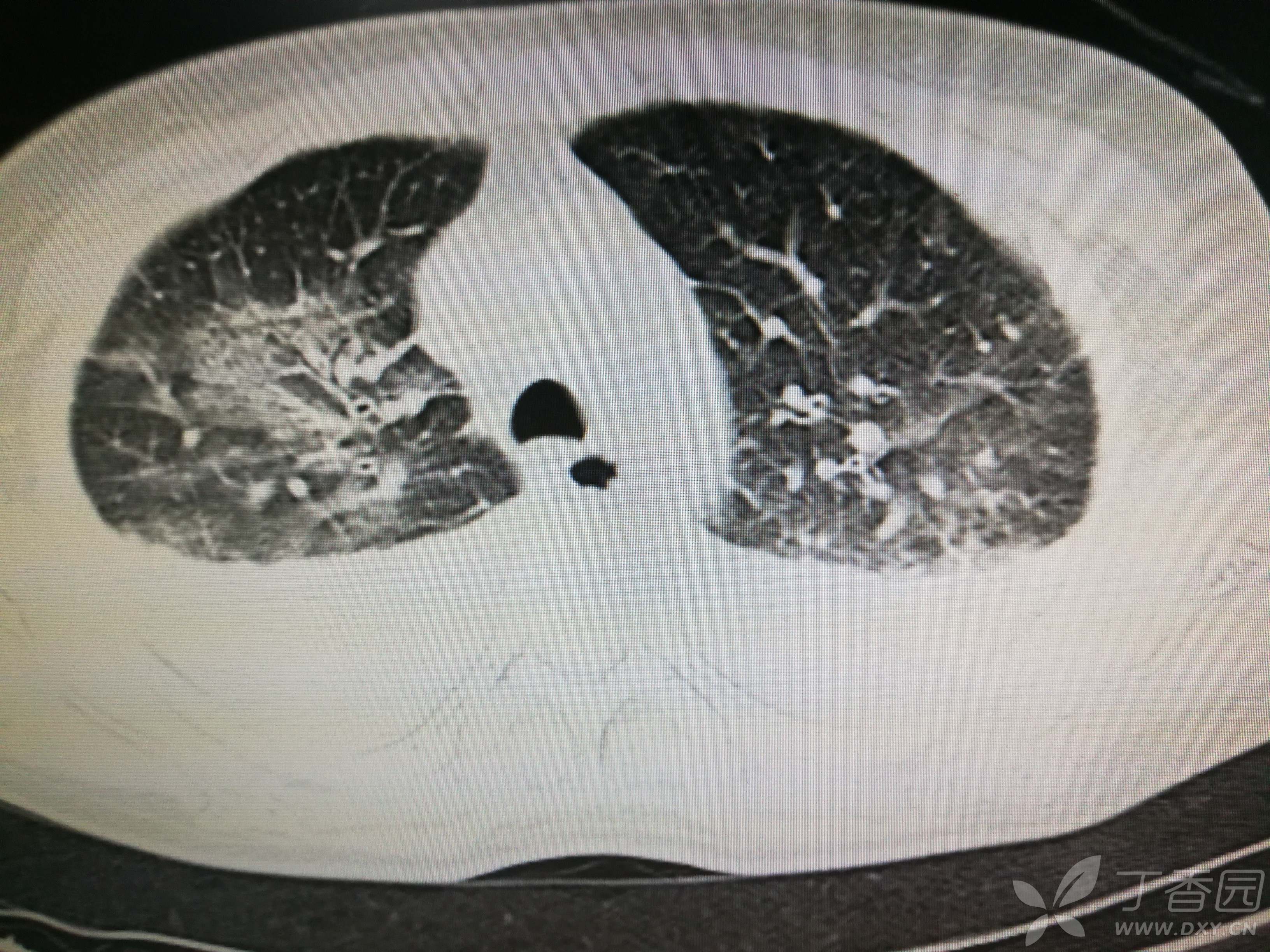
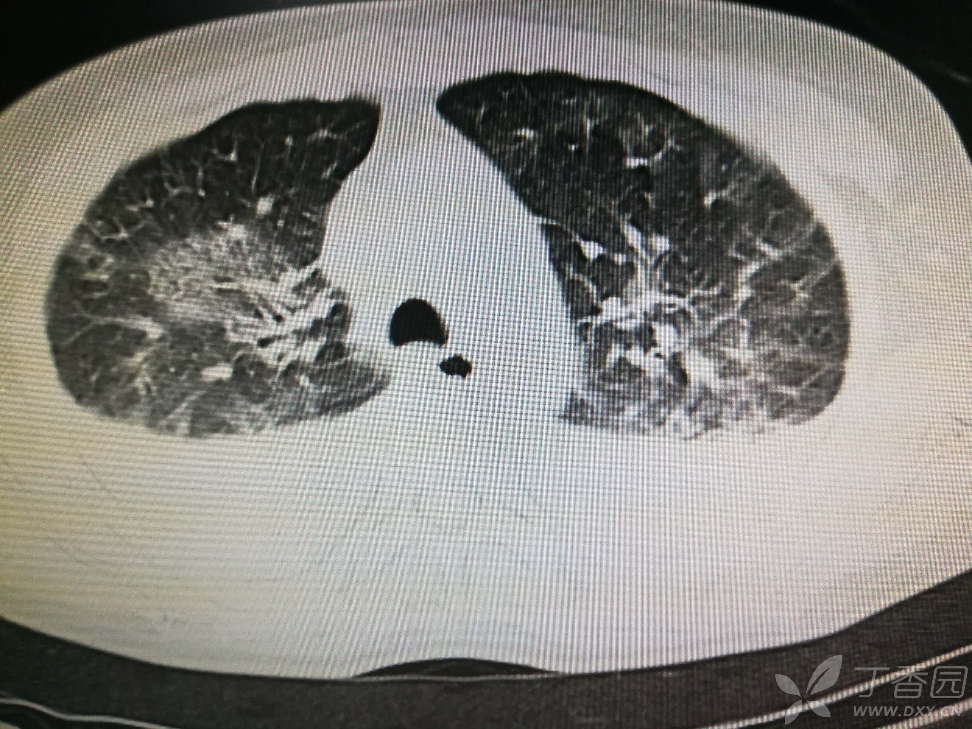
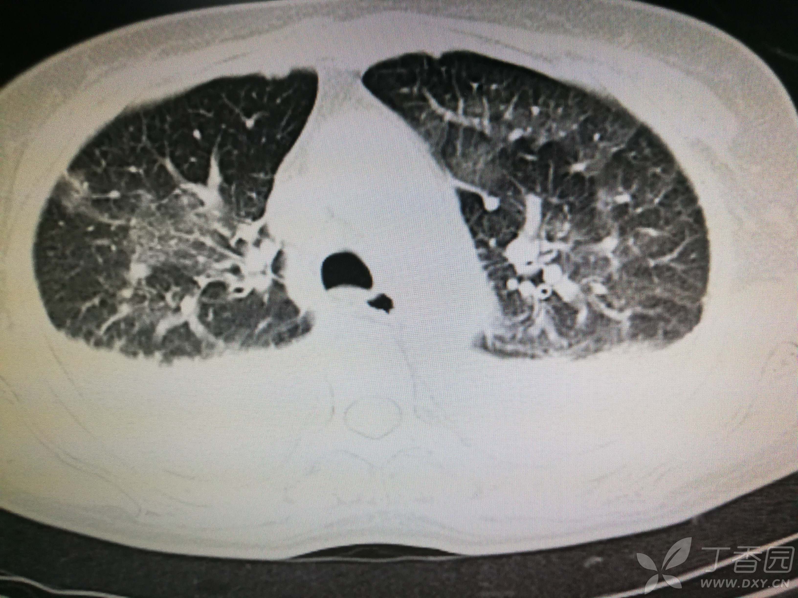
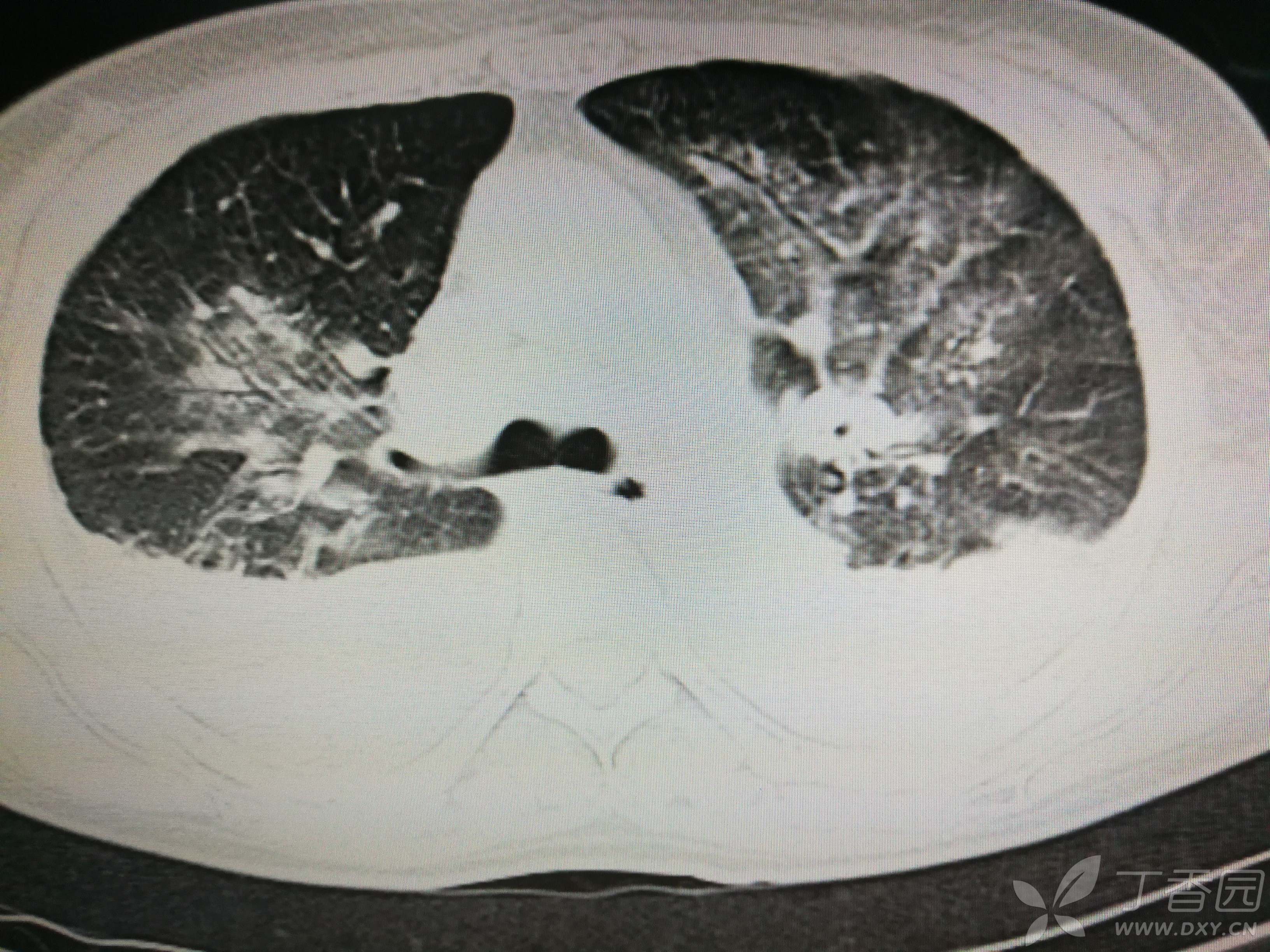
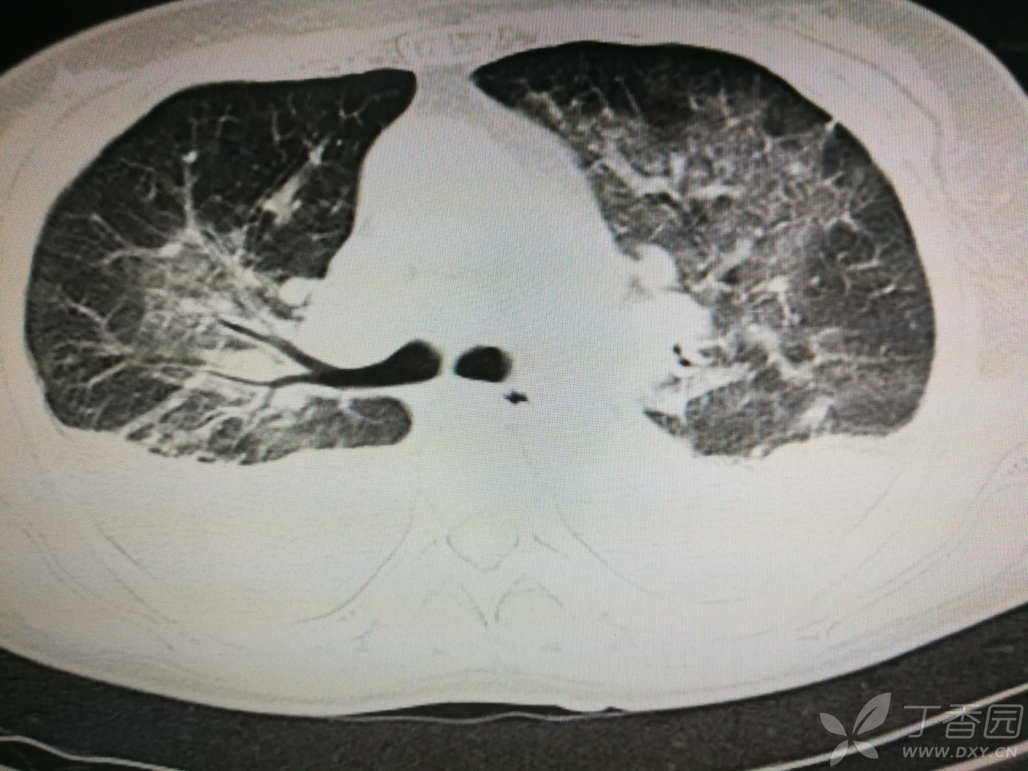
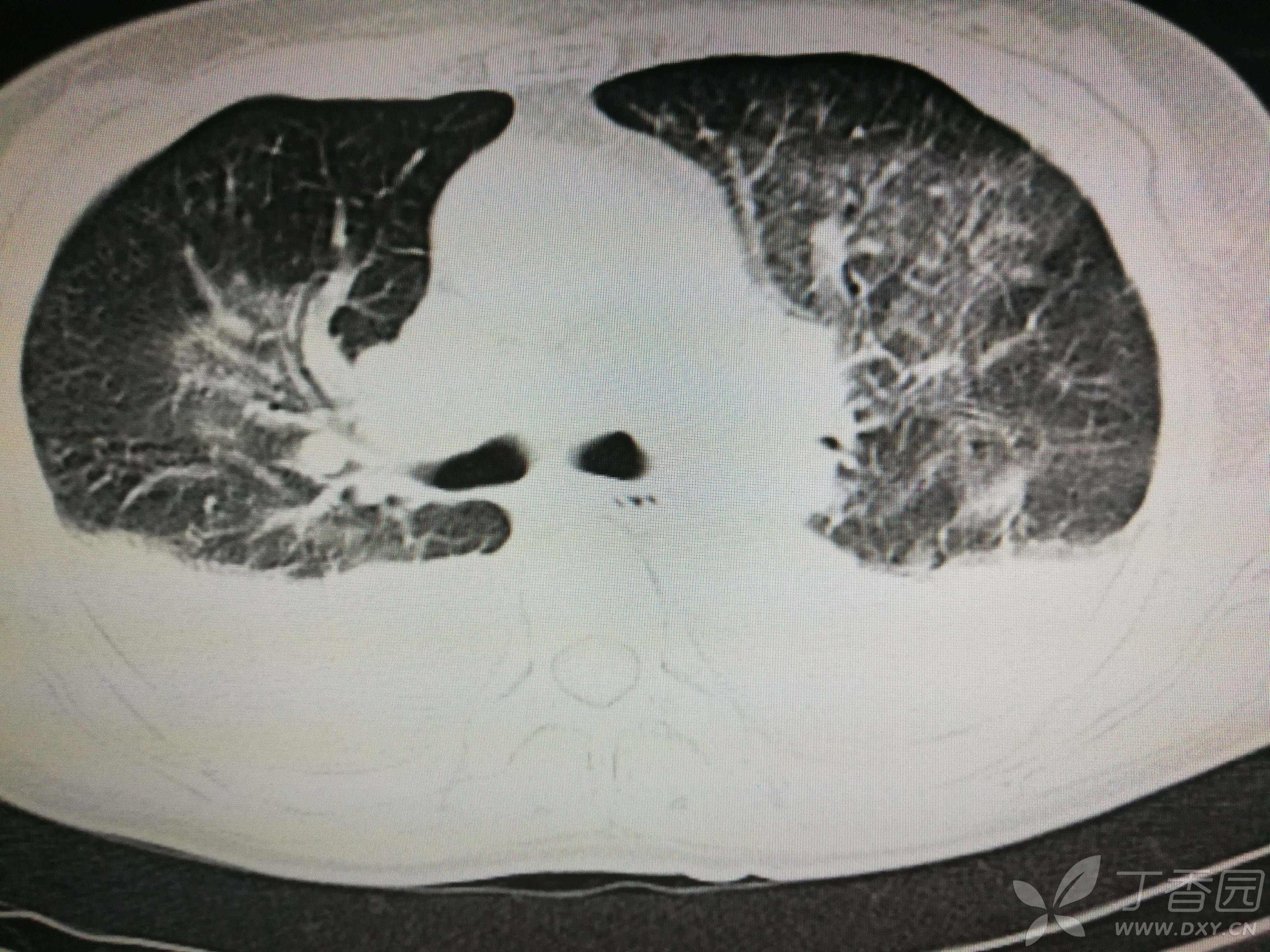
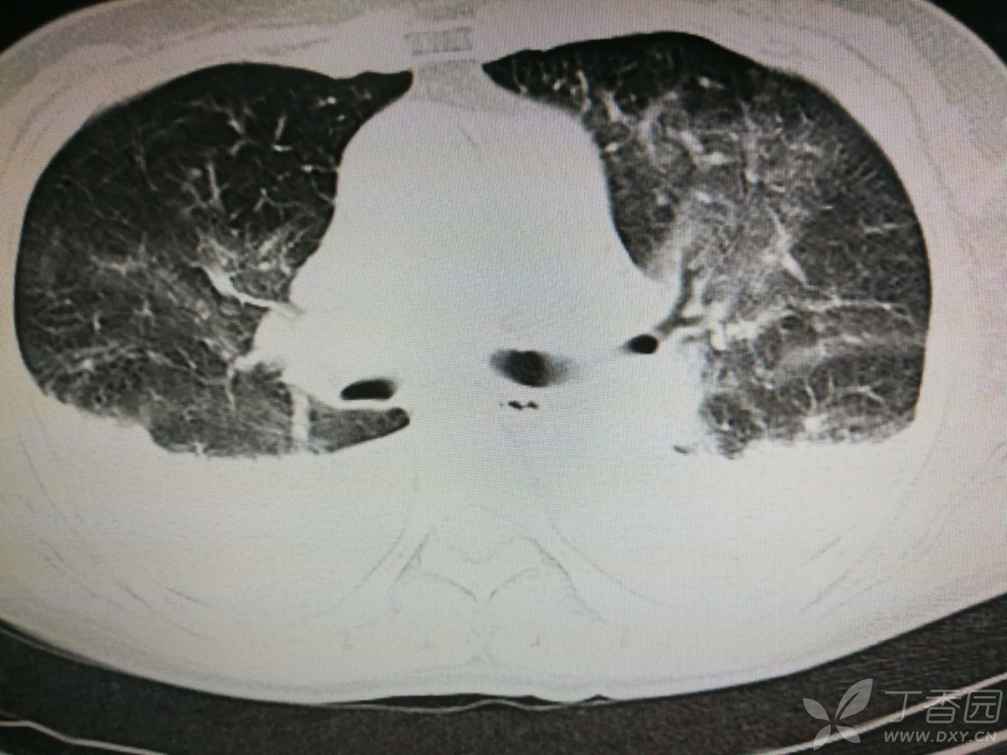
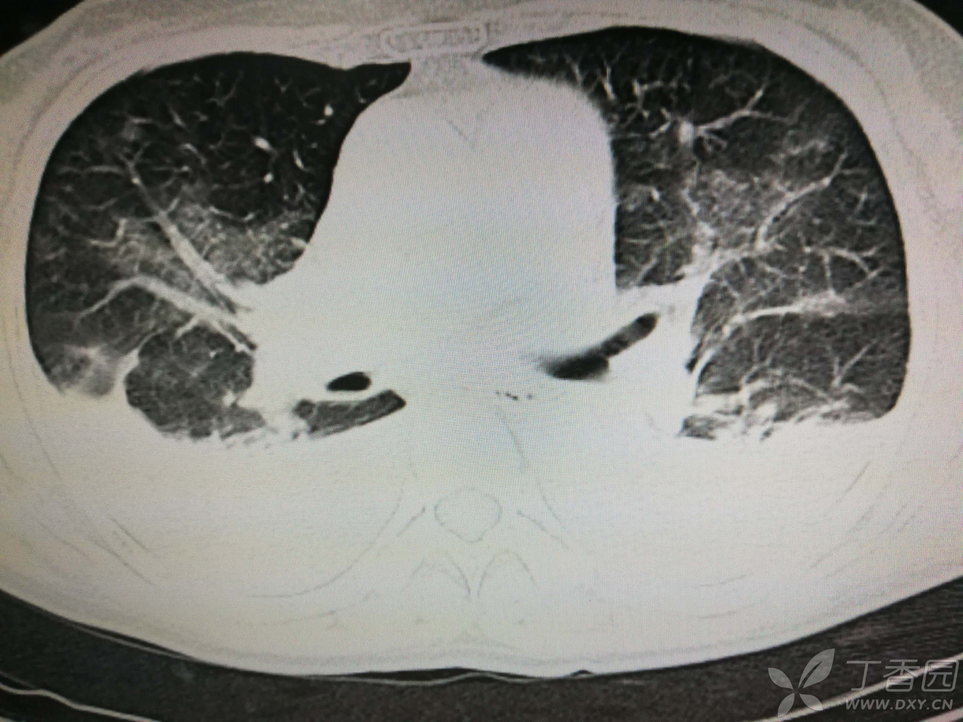
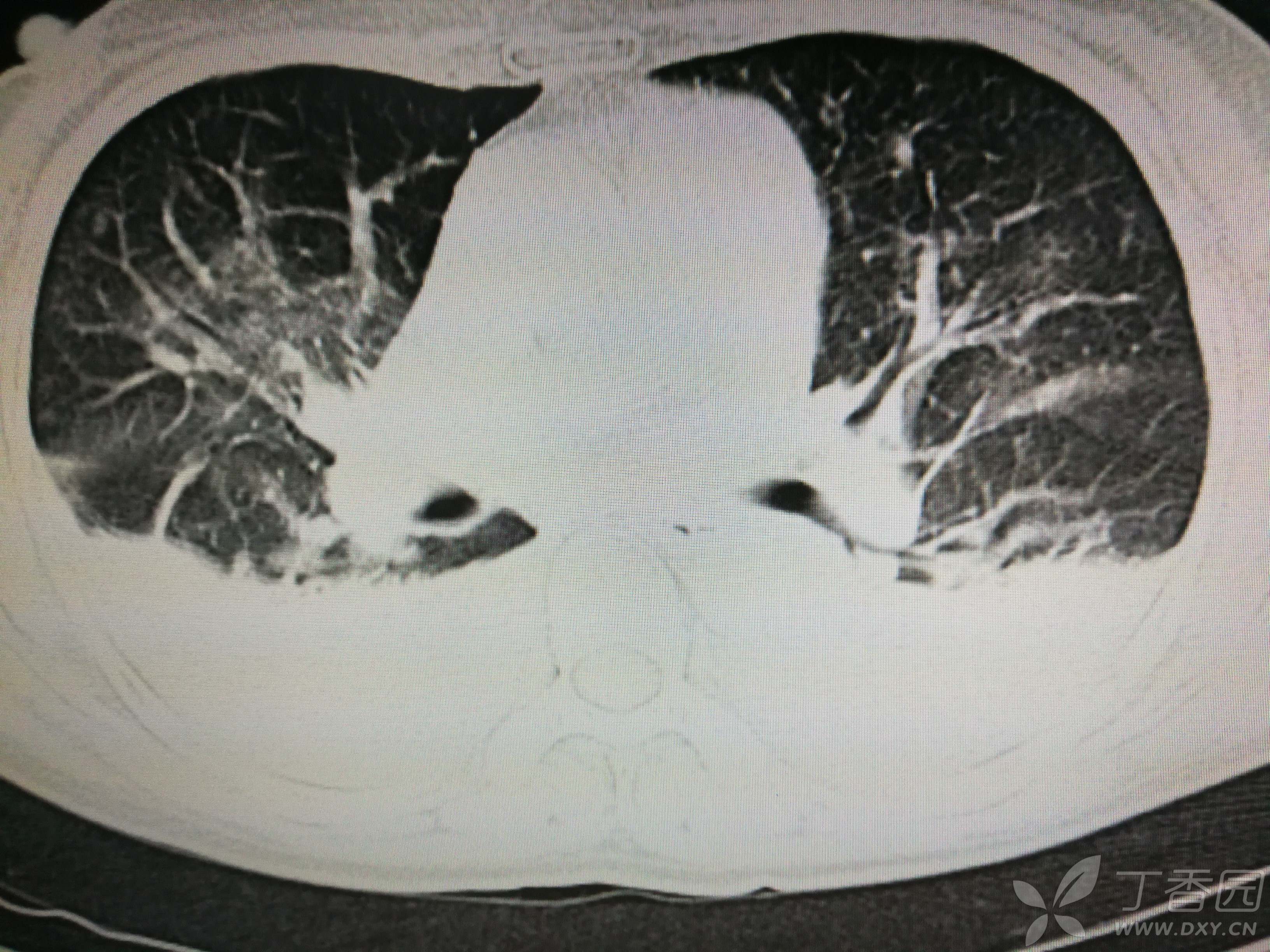
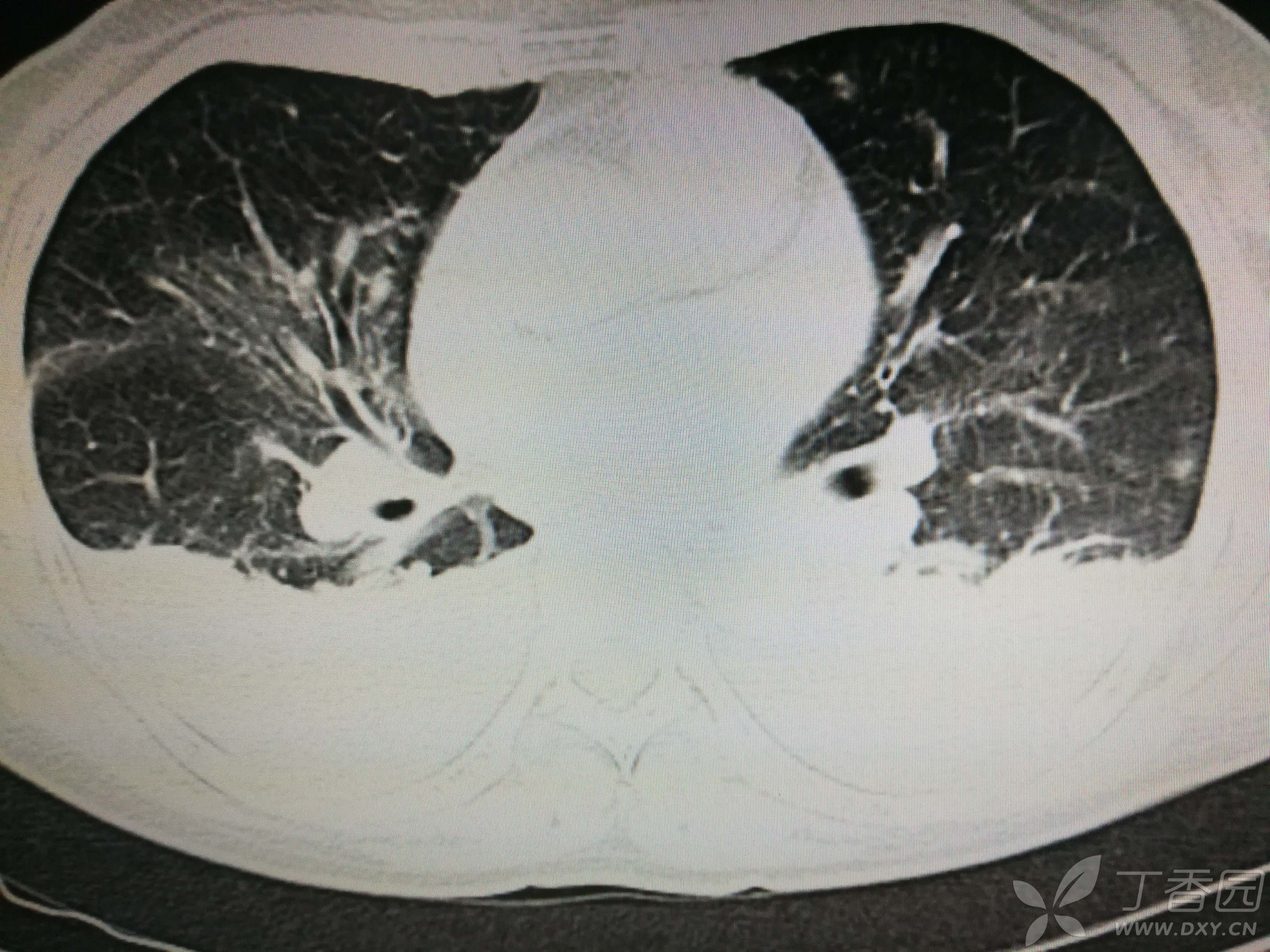
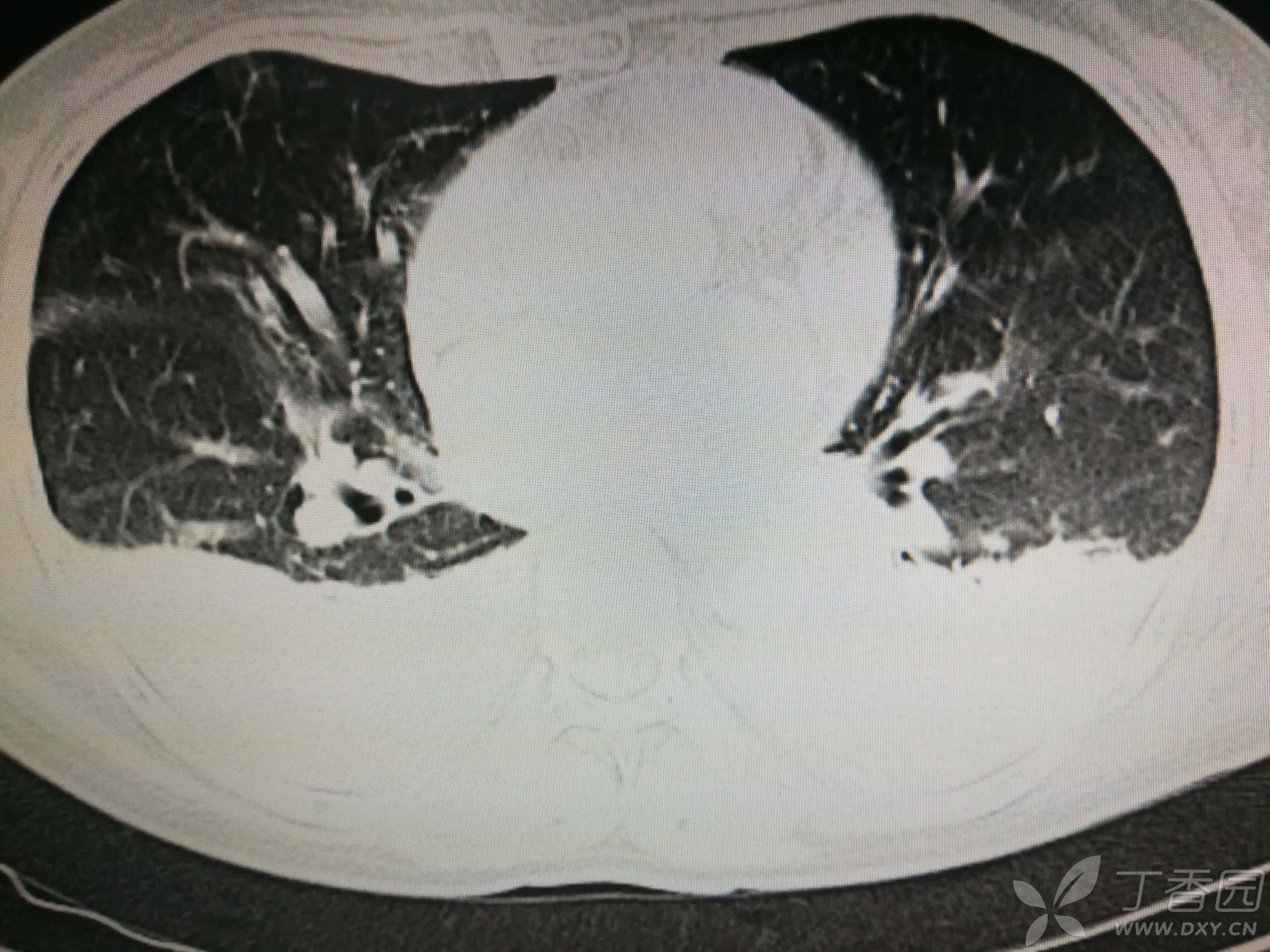
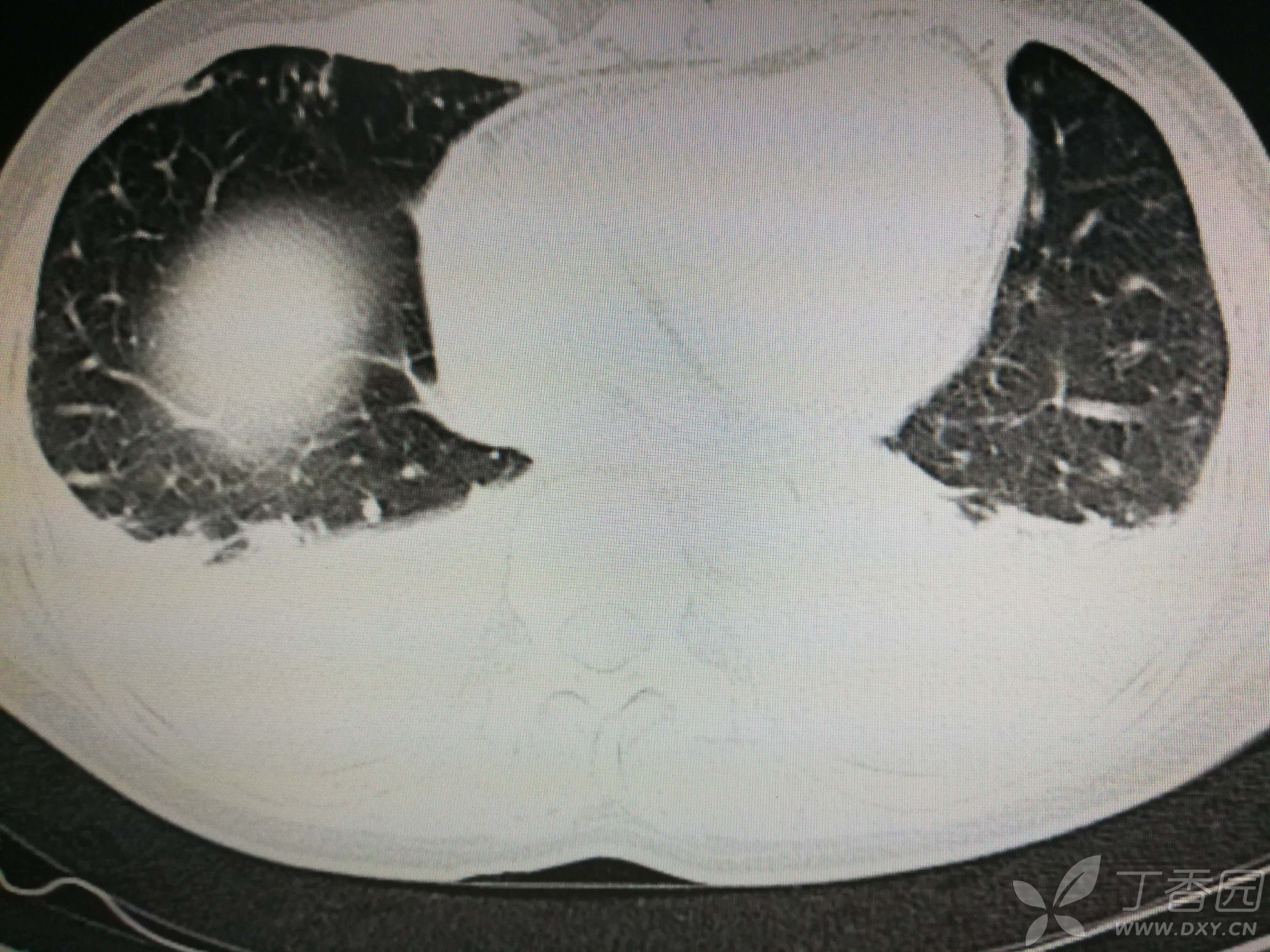
给予低分子肝素钙针抗凝、七叶皂苷钠针消肿及骨牵引固定等等治疗。入院后第四天行“左侧股骨下段骨折切开复位内固定术”(术前查双下肢彩超:双下肢深静脉血流通畅),手术顺利,术后予预防感染、预防血栓形成等治疗。术后患者无明显发热,生命体征平稳。术后第四天复查血常规:白细胞13.4×109/L,血红蛋白84g/L,血小板在正常范围。生化:白蛋白35.7g/L,余无明显异常。当天,患者开始出现轻度胸闷气急,可耐受。术后第五天患者胸闷气急加重,无胸痛,无背痛,无咯血,无意识障碍,无头晕头痛,无恶心呕吐等,急查凝血功能:纤维蛋白原降解产物12mg/L,D二聚体4000ug/L,余无明显异常。查动脉血气分析:pH7.52,氧分压62mmHg,二氧化碳分压30mmHg,碱剩余1.8mmol/L,乳酸1.0mm/L,血红蛋白86g/L。查胸部CT见下(先视频后图片):












































对于该患者胸闷气急,你怎么考虑?
















































