陈旧性穿刺伤后腹腔玻璃碎片残留
李梦杰huxi 达人已点赞笔记要点
1 皮肤创伤表现轻微也不能忽视腹部穿刺伤的可能
2 当怀疑有外伤后异物时,影像学检查是一种重要的诊断方法
3 玻璃碎片异物不应被视为“透X线的异物”
==========
病例介绍
患者,女,52岁,因髋关节疼痛来诊。
9个月前因工作不慎,跌落到玻璃桌上,玻璃碎裂划伤腹部,腰部出现4厘米长的裂伤。经急诊室体格检查和伤口探查,未发现异物。裂伤缝合时未作X线影像学检查。
查体
患者腹壁上的受伤后瘢痕

影像学检查
髋关节X线检查

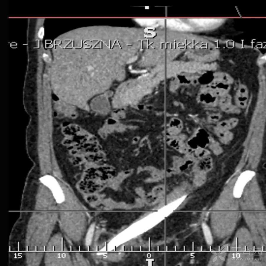
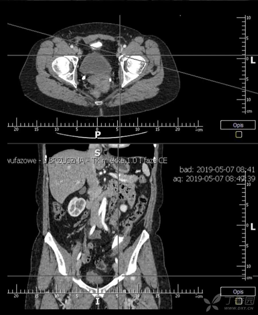
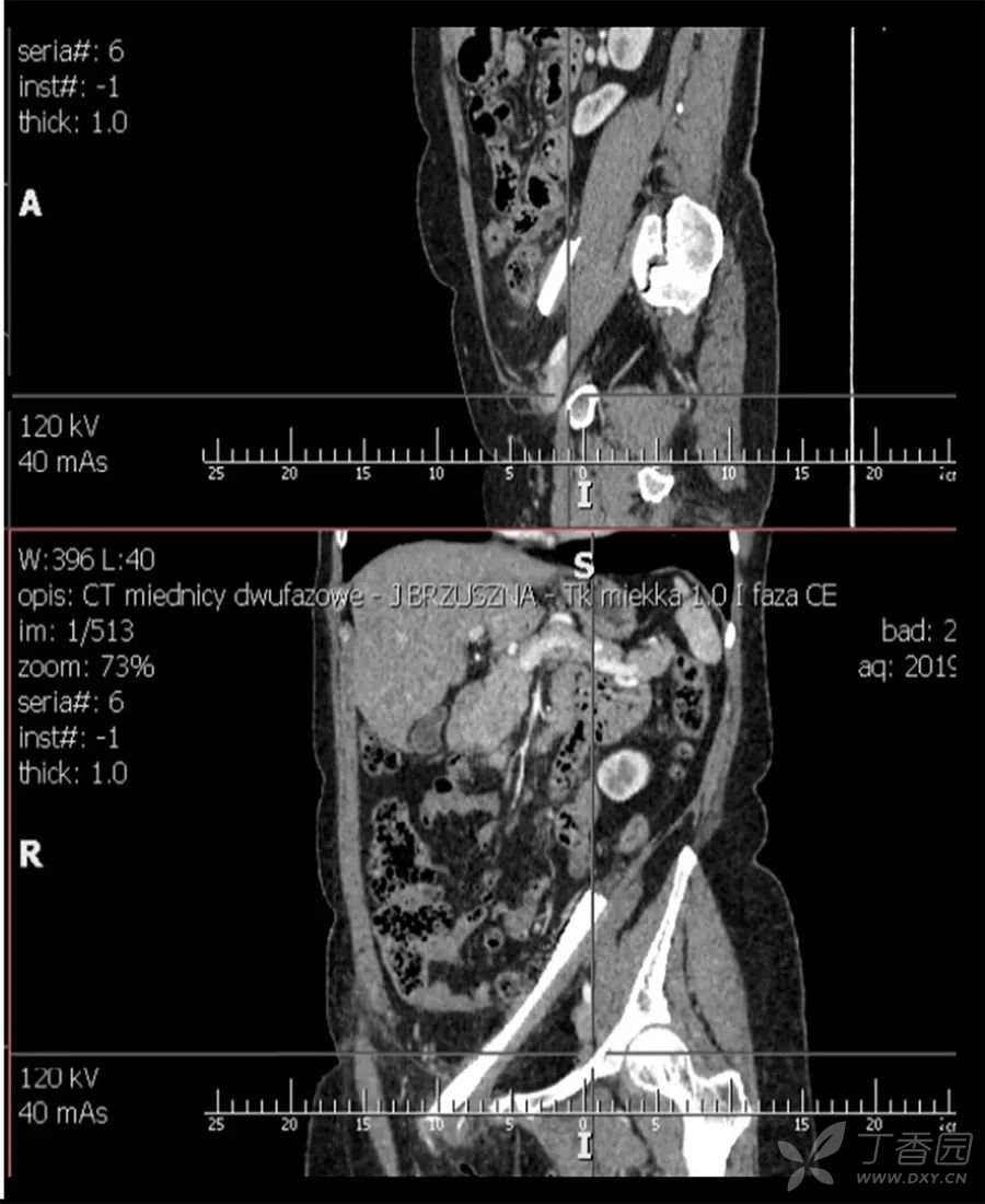
腹腔CT
在腹腔内发现一块19厘米长的玻璃碎片,在盆腔内呈环状。




剖腹手术,异物被发现并取出。没有腹部器官受伤。

=====
病例述评
玻璃碎片异物不应被视为“透X线的异物”
在一些急诊医生的印象中,伤口玻璃碎片异物会被视为“透X线的异物” 。这是一个错误的认识,会导致未能及时对受伤部位进行X线检查。
在接触玻璃的劳动中发生外伤、交通肇事以及震灾等创伤的伤口内,玻璃碎片是较常见的异物。因为大部分玻璃都是透明的,所以有些医师简单地认为玻璃碎片在X线检查时不显影,在处理可能被玻璃碎片异物污染的伤口时常常忽略X线检查,导致伤口内玻璃异物存留。
事实证明,不仅含铅或染色剂的玻璃在X线片上可显示,而且在创口内普通的玻璃碎片异物,甚至小到0.5 mm的细小玻璃碎片也可在X线片上显示;较大的玻璃碎片(2 mm或更大)即使在有骨骼重叠的情况下也能较清楚的显示。
因此把伤口内玻璃碎片异物视为“透X线的异物”,容易引起误解,甚至产生误导作用。在临床工作中,对于可能被玻璃碎片异物污染的伤口应该进行认真的X线检查,以免遗漏玻璃类异物。















































