dxy logo
首页丁香园病例库全部版块
搜索
登录

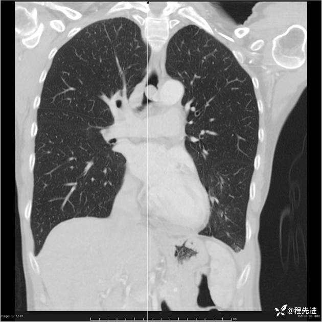
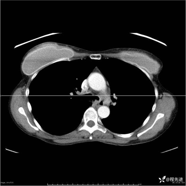
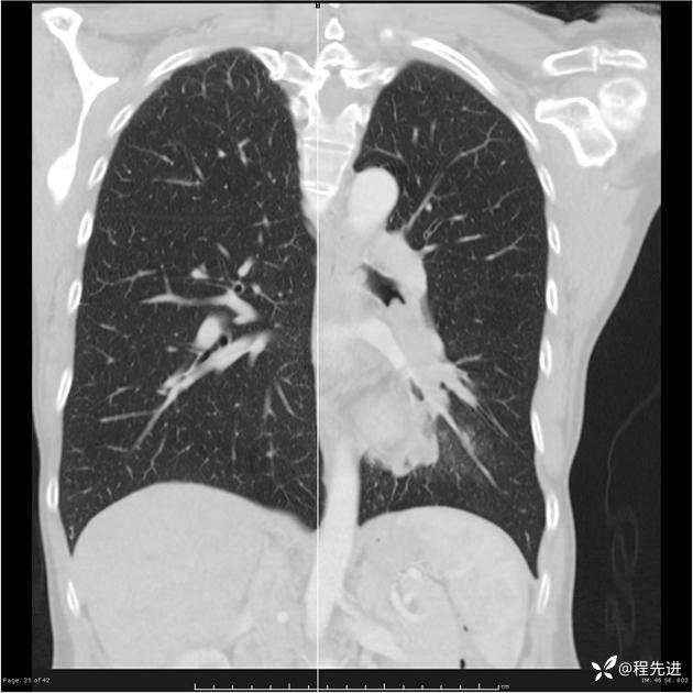
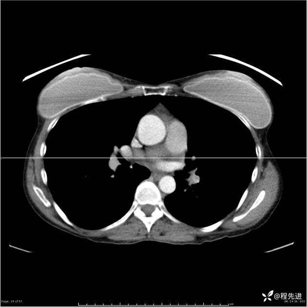
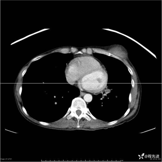
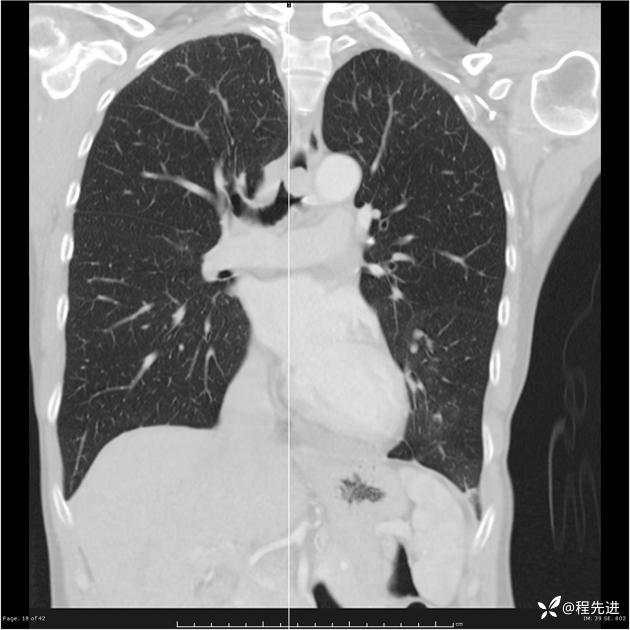
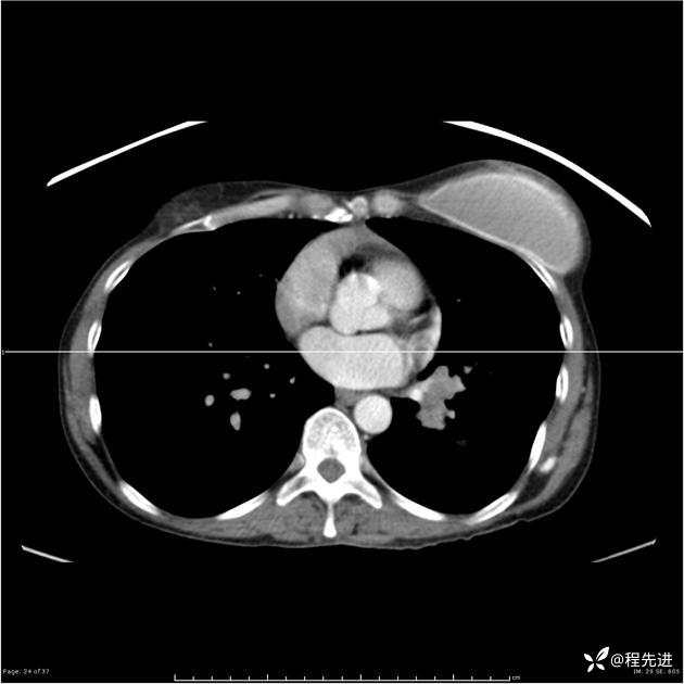
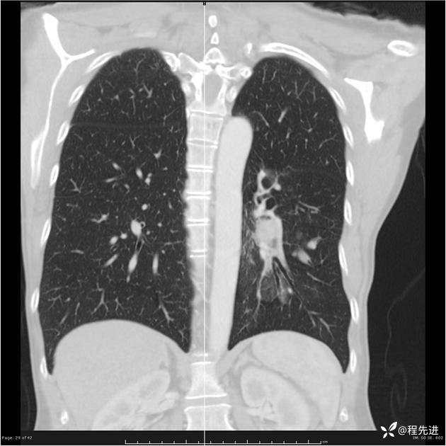
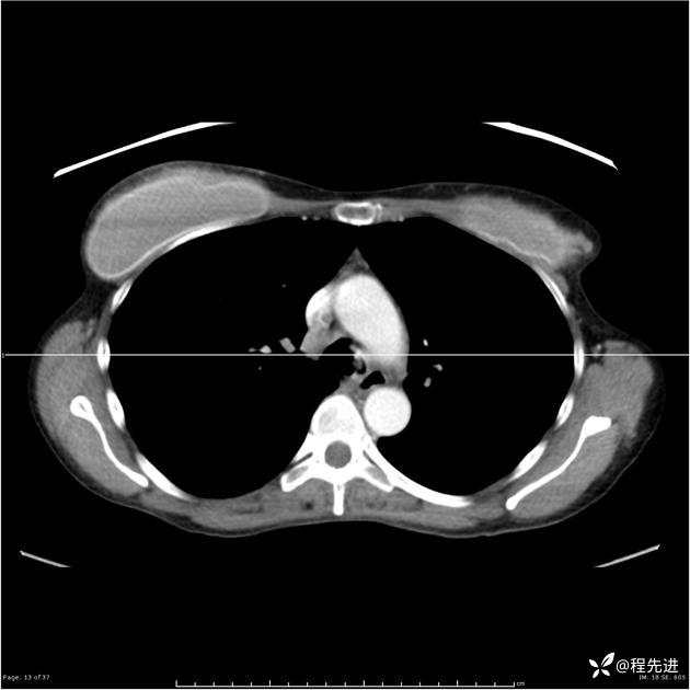
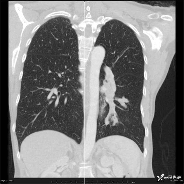
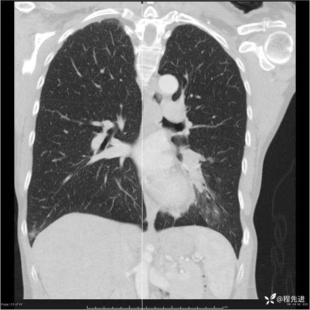
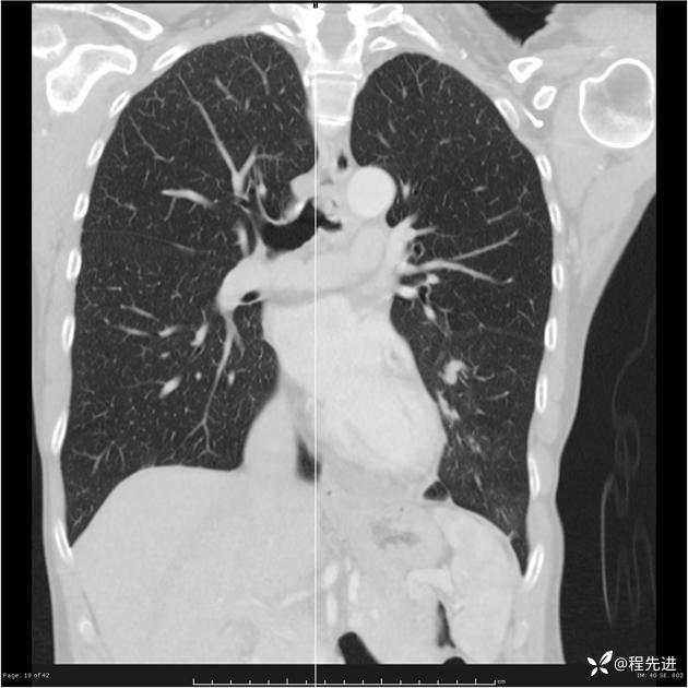
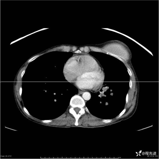
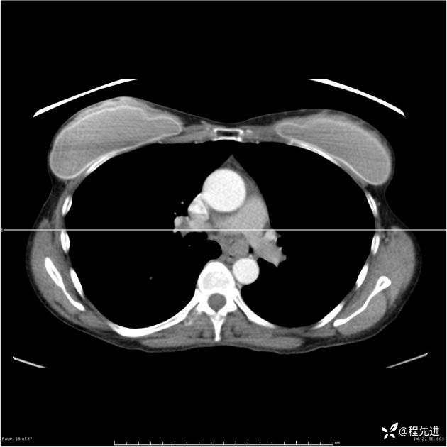
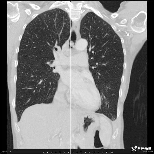
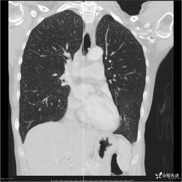
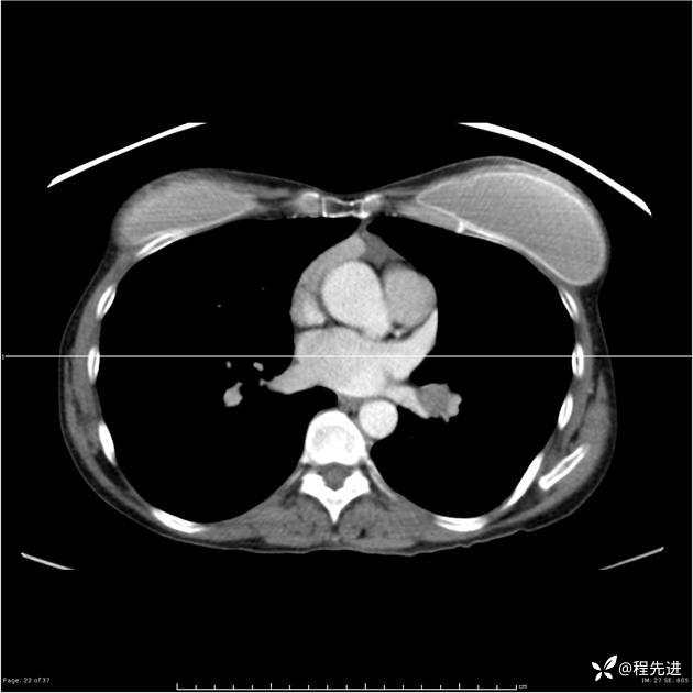
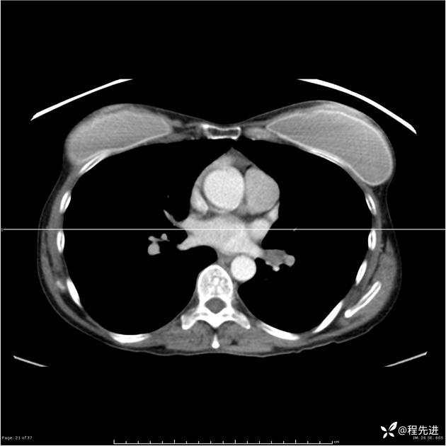
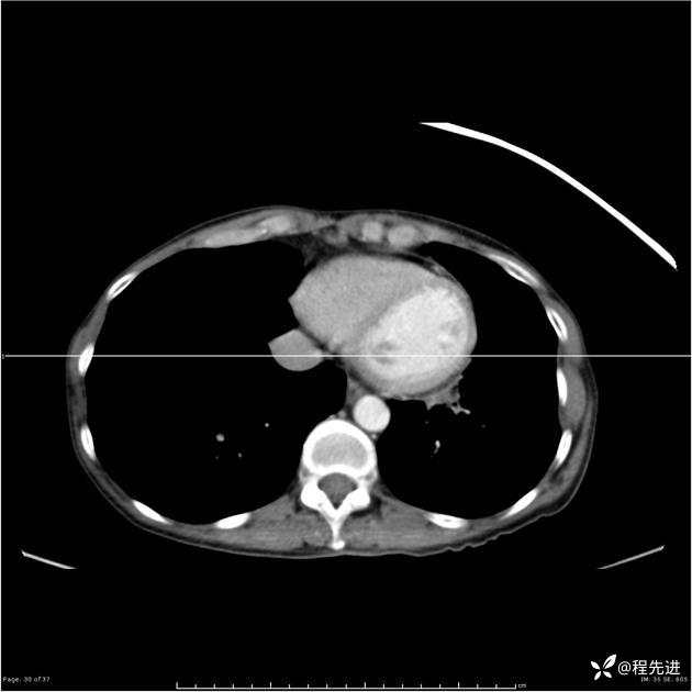
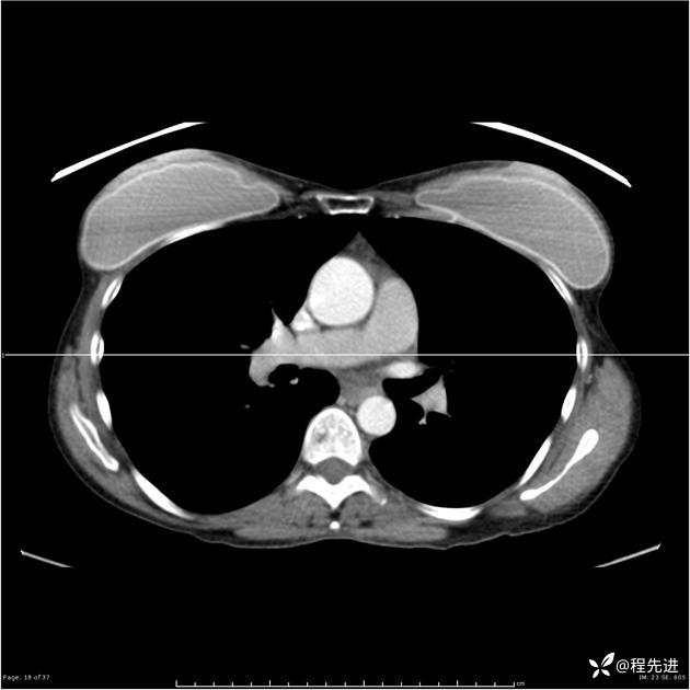
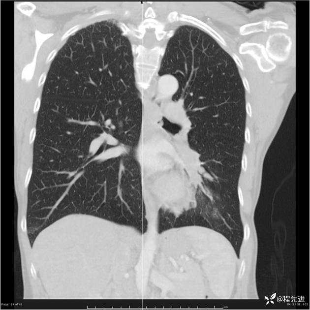
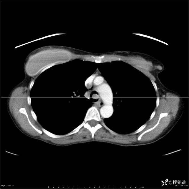
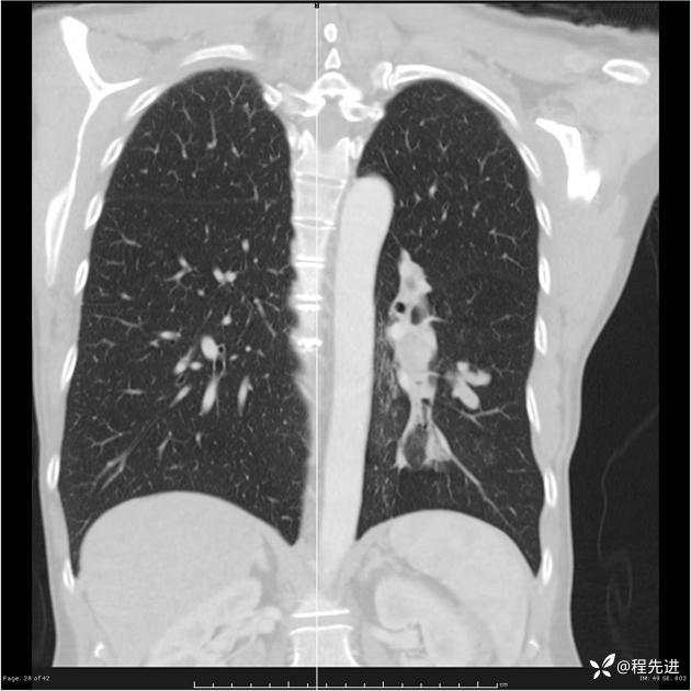
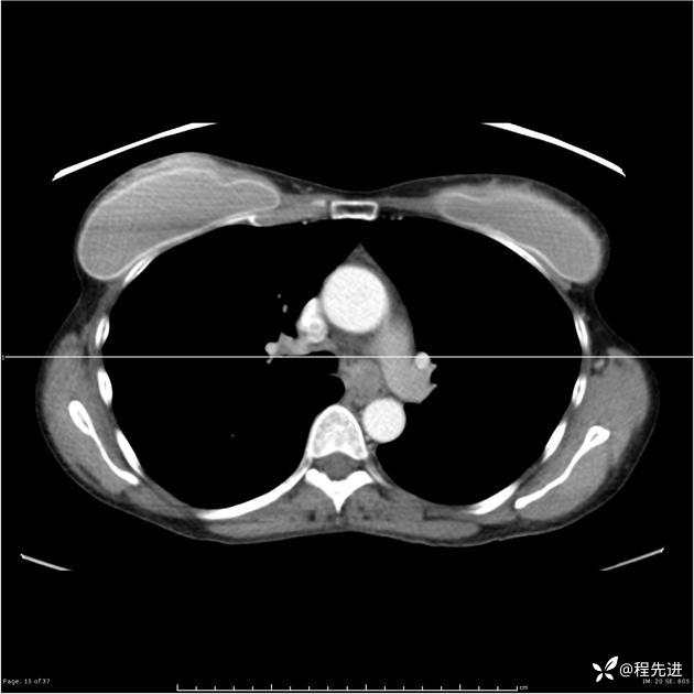
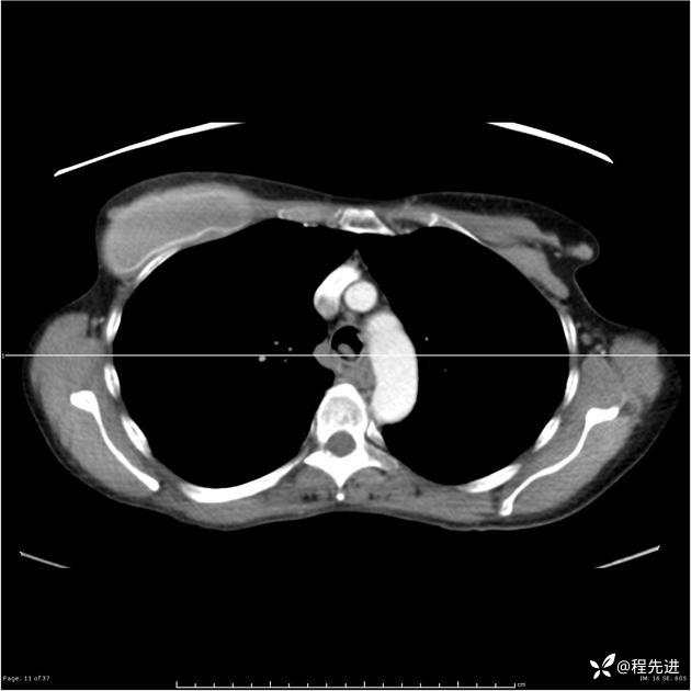
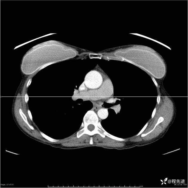
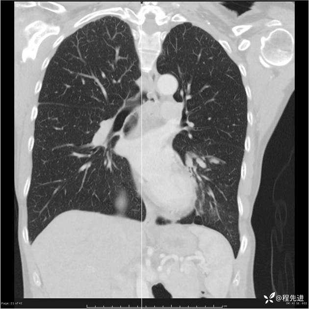
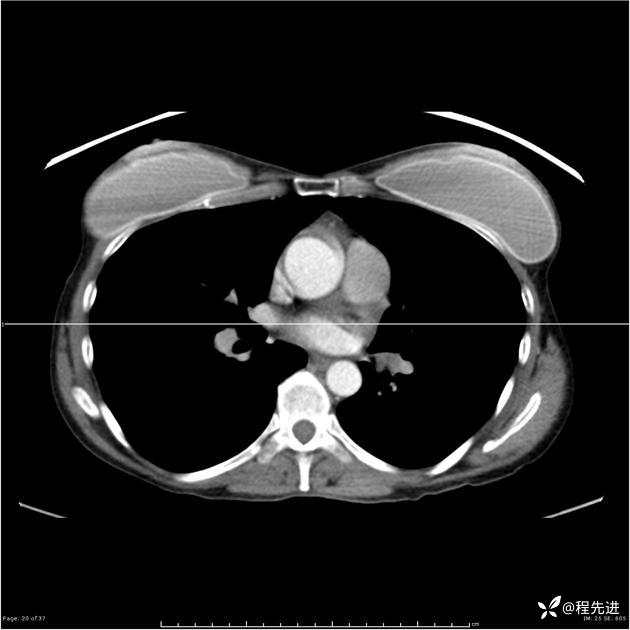
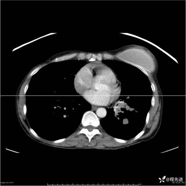
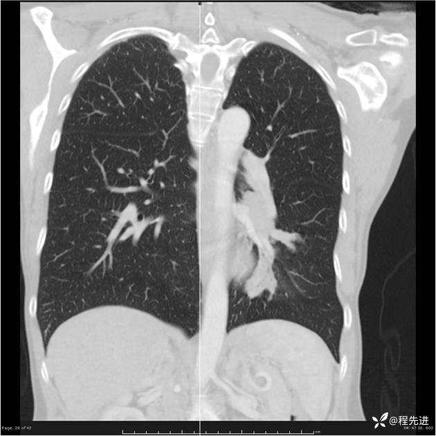
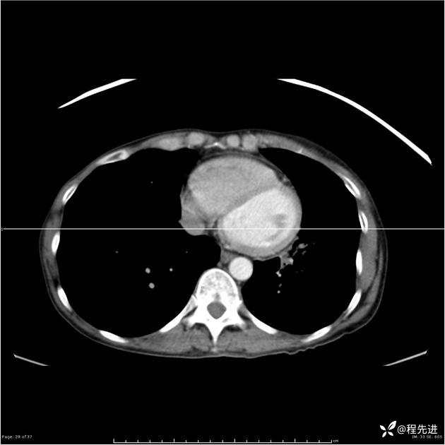
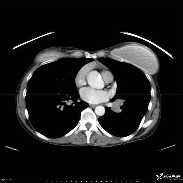
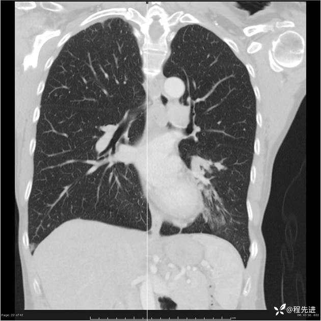
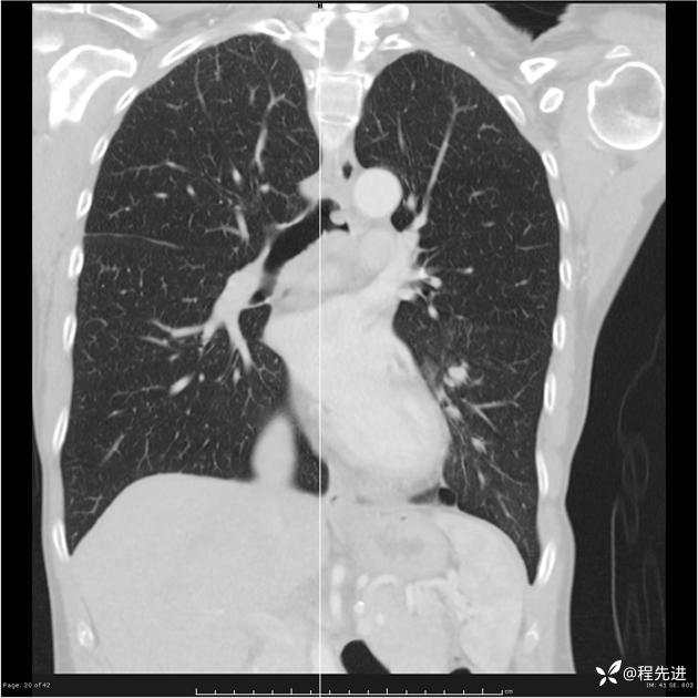
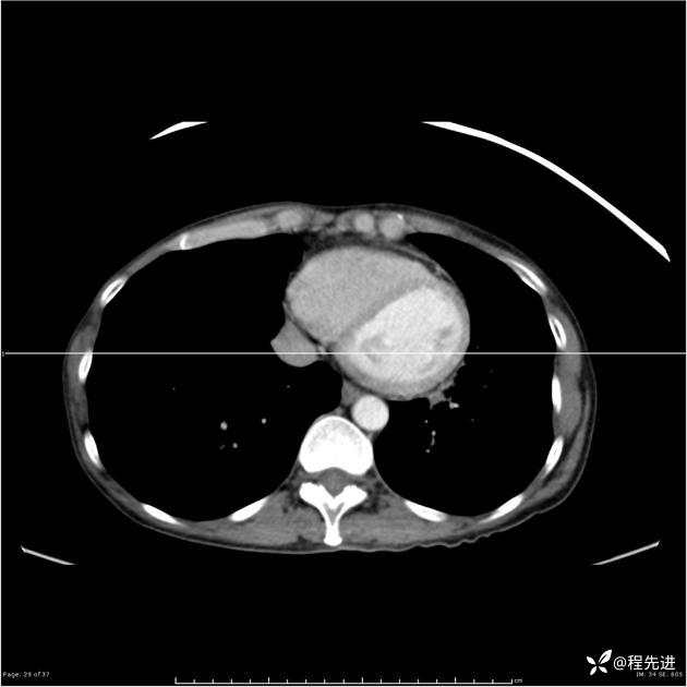
病例女,53岁,气管、左主支气管、下叶支气管内结节,乳头状瘤?期待你的精彩解读

影像核医学版版主 · 发布于 1 天前 · 来自 iOS · IP 江西江西
366 浏览
icon呱呱叫了 等 2 位达人已点赞

病例信息

女,53岁

乳头状瘤?

img


img


img


img


img


img


img


img


img


img


img


img


img


img


img


img


img


img


img


img


img


img


img


img


img


img


img


img


img


img


img


img


img


img


img


img




该帖还没有疾病标签去添加
9 3 8

全部讨论(0)

默认最新
avatar
9
分享帖子
share-weibo分享到微博
share-weibo分享到微信
认证
返回顶部