多系统萎缩—慢性行走不稳/共济失调的诊疗梳理
青鹊词 推荐病例信息
48岁男性
主诉:行走不稳1年余
现病史:1年余来出现行走不稳,双小腿酸痛,8月来出现双足热,行走不稳加重,伴行走晃动。
既往史:饮酒20余年,约每天7-8两,近1年已戒酒。
查体:神志清楚,轻度构音障碍,眼动充分,无眼震,双侧鼻唇沟对称,伸舌居中,四肢肌张力正常,四肢肌力V级,宽基步态,双侧指鼻试验、跟膝胫试验欠稳准,并足站立不能(睁眼、闭眼均不能站立),浅感觉检查无明显异常,双侧babinski征阴性,脑膜刺激征阴性,无不自主运动。
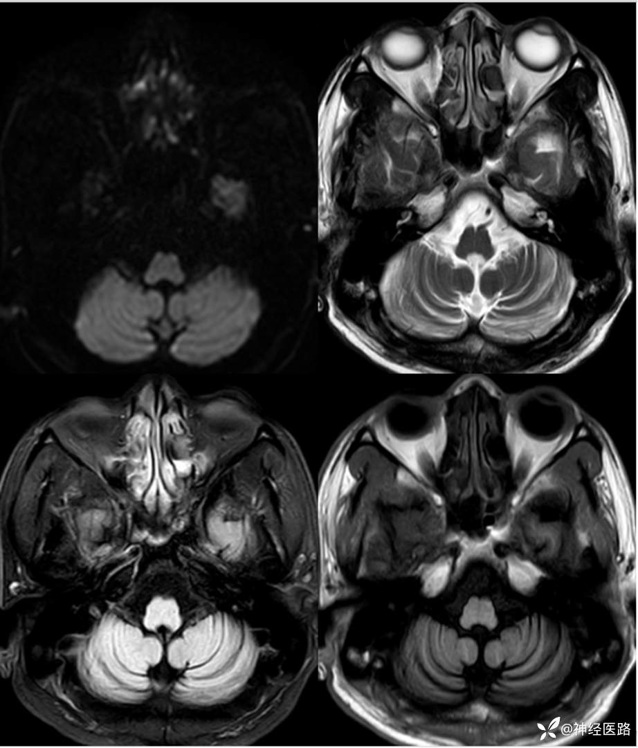
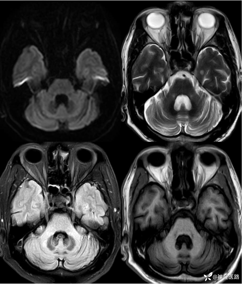
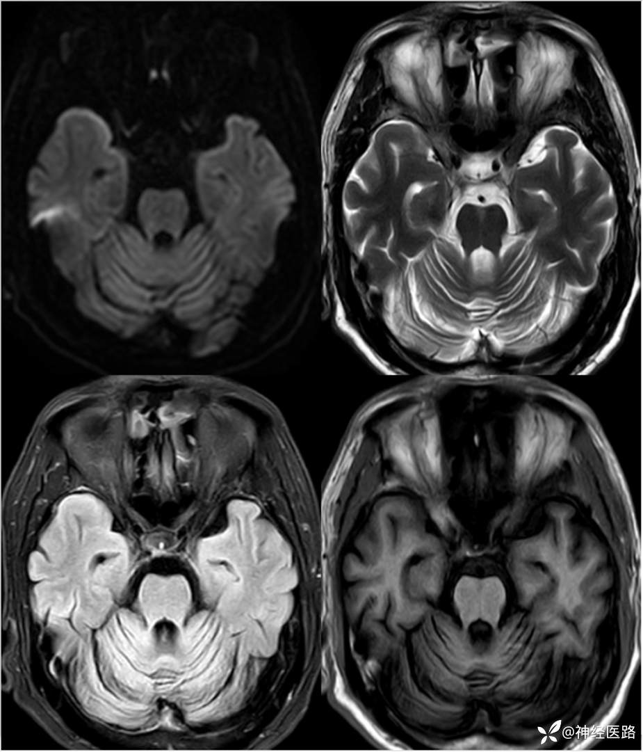
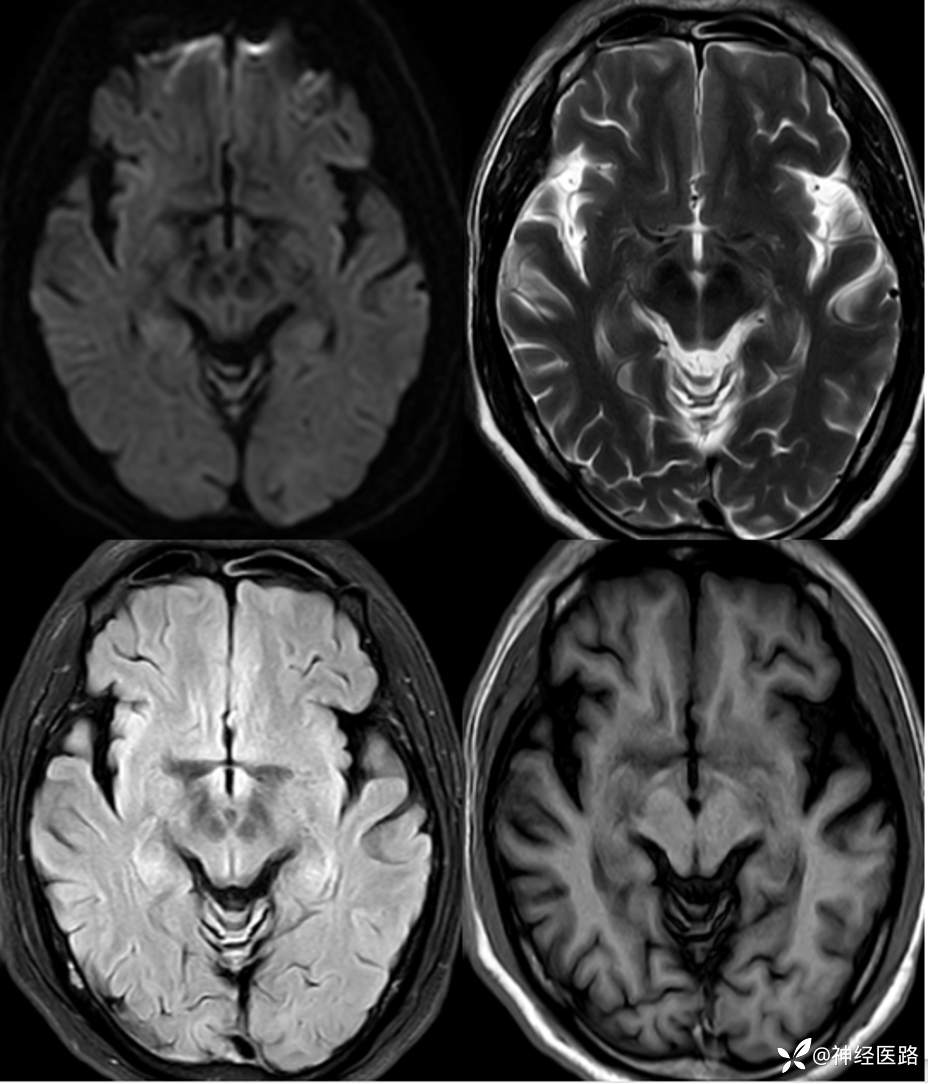
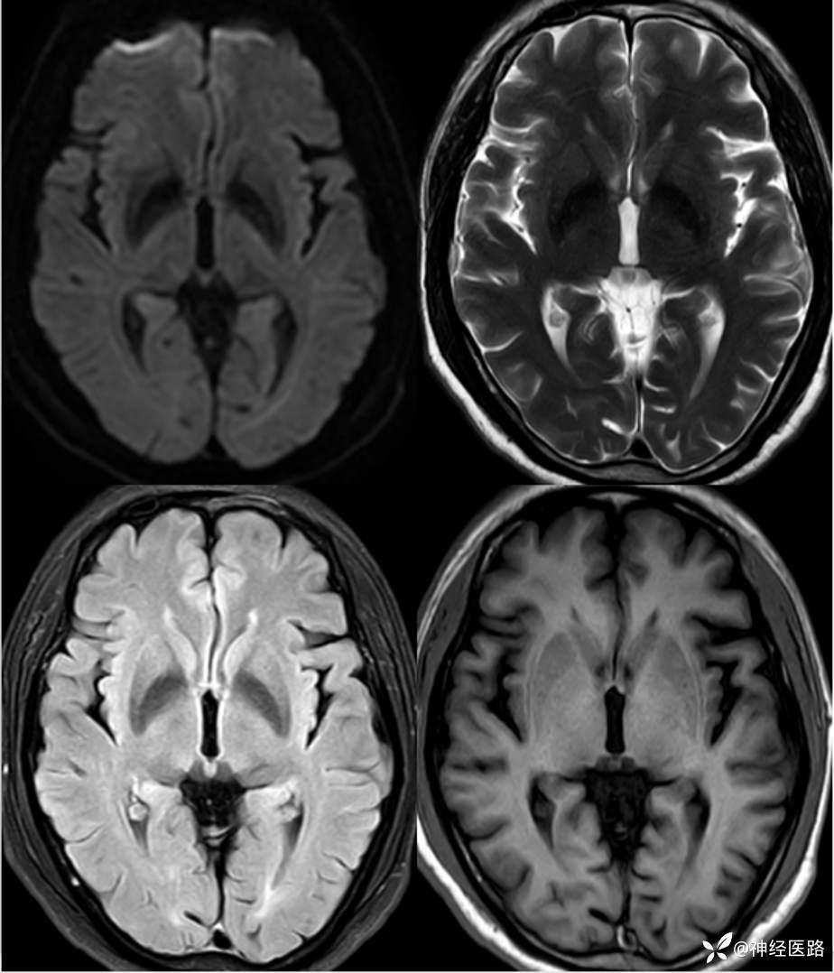
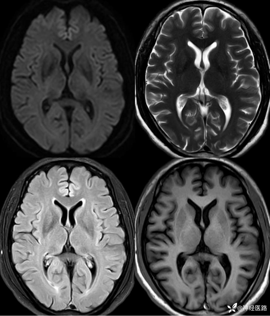
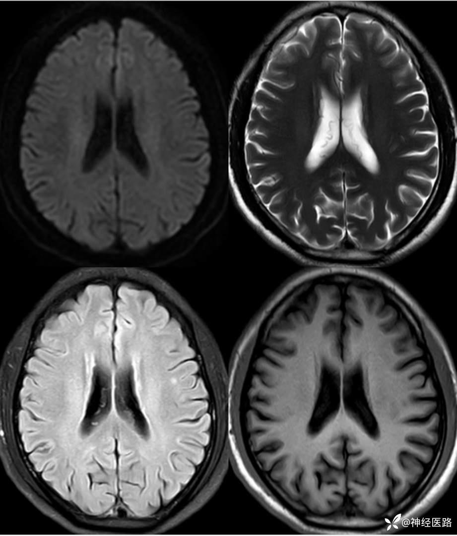
辅助检查:头部磁共振:1.颅脑DWI未见明显异常扩散受限。 2.脑白质高信号,脑萎缩。3.双侧上颌窦、双侧筛窦、双侧额窦炎。














补充1年余前直立倾斜试验、肌电图及头部磁共振检查资料。






两次影像对比
病例讨论
一、相关知识:共济失调基础知识及异常步态图示



二、鉴别诊断
1.脊髓小脑性共济失调(SCA):常染色体显性遗传神经退行性疾病,大多数的SCA患者的发病年龄一般在第3个或者第4个十年。根据基因的突变类型,可将SCA分为两类:①重复扩展型SCA,此类又可分为多聚谷酰胺SCA(即由翻译区CAG动态重复突变引起,又称翻译区重复扩展型SCA):包括SCA1、SCA2、SCA3、SCA6、SCA7、SCA17、齿状核红核苍白球路易体萎缩症(DRPLA),非翻译区重复扩展型SCA:包括SCA8、SCA10、SCA12、SCA31、SCA36、SCA37;②非重复扩展型 SCA(由错义、缺失、插入等传统突变引起):SCA5、SCA11-16、SCA27-29、SCA35。
多聚谷酰胺SCA最为常见,在我国汉族人群中SCA各亚型出现的频率从高到低依次为SCA3、SCA2、SCA1、SCA6、SCA7、SCA12。
SCA的临床表现是进行性共济失调,主要源于小脑病变,但也可由感觉性和前庭性引起。患者首先表现为步态不稳,随着病情进展,出现书写困难(常表现为“书写过大症”)及精细运动障碍,几乎所有的SCA患者会出现言语障碍及吞咽问题。眼部症状可表现为眼震(垂直性、水平性或混合性)、眼球扫视运动和追踪运动缓慢、复视等。此外,SCA还存在复杂多样的非共济失调症状,包括运动症状(痉挛和肌萎缩)、运动障碍(帕金森病、肌张力障碍和舞蹈症)、与脑干功能障碍有关的眼球运动异常(快速眼球运动减慢或凝视麻痹)、感觉症状、癫痫、肌阵挛、认知和智力障碍、泌尿症状及睡眠障碍(包括不宁腿综合征、快速眼动睡眠行为障碍、日间过度睡眠、失眠和睡眠呼吸暂停)。非共济失调症状在多聚谷酰胺SCA(SCA1、SCA2、SCA3/MJD、SCA7、SCA17和 DRPLA)中特别突出,而SCA6可能仅表现为单纯性小脑共济失调。
在最常见的多谷氨酰胺SCA中,SCA1进展速度最快,SCA2、SCA3/MJD进展速度中等,SCA6进展速度最慢。


CT和MRI等影像学检查可见小脑、脑干及脊髓等部位程度不一的萎缩,亦有报导小脑、脑干及脊髓等部位体积未见明显缩小,但患者临床有典型小脑共济失调症状。

SCA的诊断依据如下:①以进行性共济失调为主要临床表现,并除外获得性病因导致的共济失调;②上一代有类似疾病的病史;③SCA基因检测呈阳性。
脊髓小脑性共济失调不出现严重的自主神经功能障碍,影像上SCA与MSA-C有重叠,可通过基因筛查明确诊断。
2.亚历山大病(AxD):一种罕见的胶质纤维酸性蛋白(GFAP)基因突变导致的常染色体显性遗传性脑白质病,可分为I型及II型。
I型多为早发,表现癫痫、巨颅、发育迟缓,病情阵发性加重,有典型的影像学脑白质病变,进展较快,生存期短。
II型多为晚发,多为散发病例,无家族史,无明显的性别差异,平均起病年龄为 40 岁左右,表现脑后部症状,如头晕、自主神经功能障碍、眼球运动异常、球麻痹等。进展较缓慢,一般不伴有明显发育异常,生存期相对较长。2021年中华神经科杂志一篇文章总结10例病例,6例出现自主神经功能障碍,7例出现锥体束征,6例出现球麻痹,2例出现共济失调。有资料认为成人型 Alexander 病临床表现的核心三联征,包括:延髓功能障碍、锥体束受损症状体征、共济失调。较为少见的临床表现,包括:自主神经功能障碍、眼运动异常、腭肌阵挛。
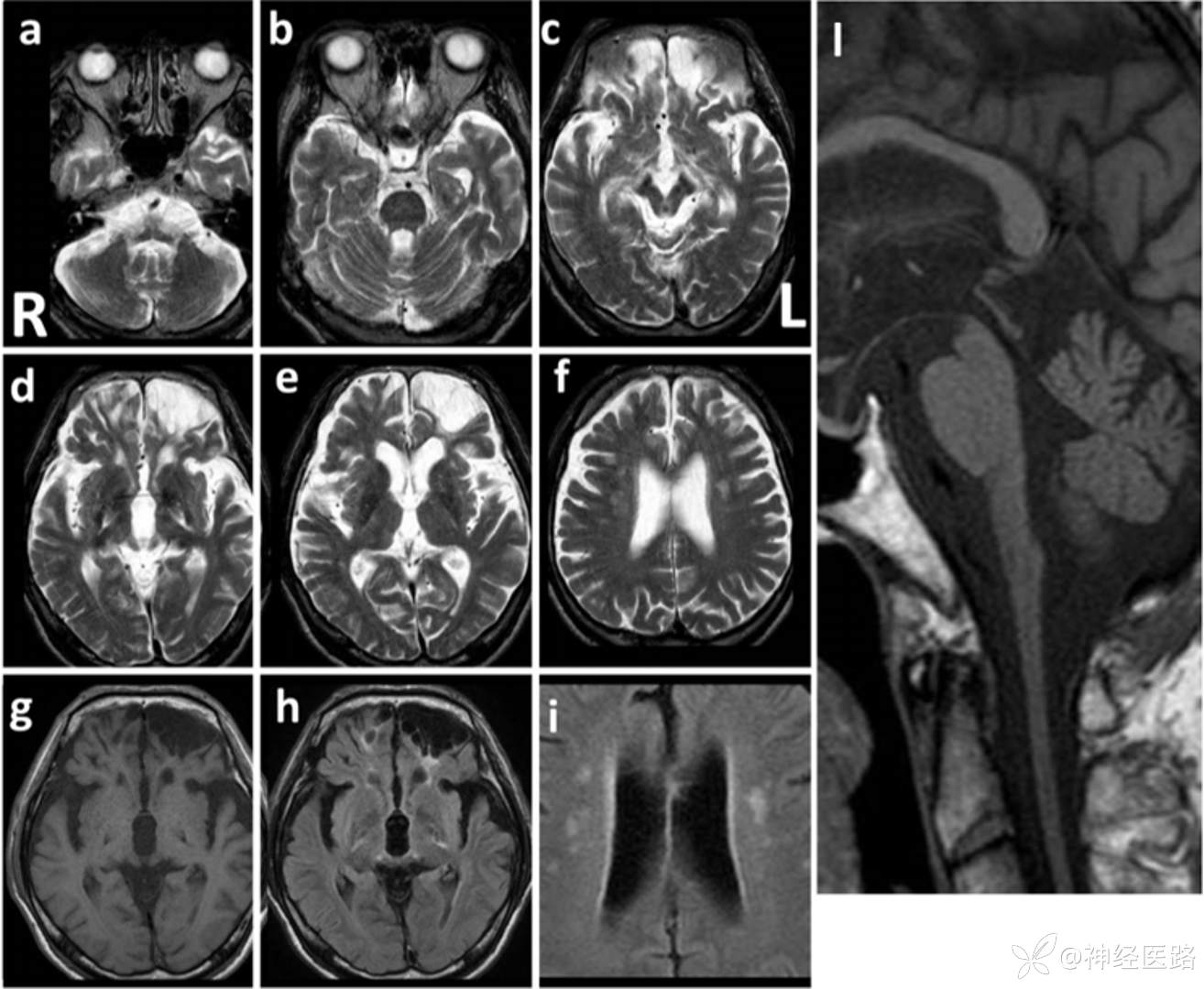
AxD脑磁共振最典型表现是额叶为主的脑白质营养不良,在婴儿型中最为典型。但II型成人多见,影像学表现不典型,幕上脑白质改变不突出,表现为下位脑干至颈髓萎缩,表现“蝌蚪征”。桥臂基本不萎缩。

a:延髓明显萎缩 a、b:小脑轻度萎缩 c:中脑背部萎缩 l:典型的蝌蚪样脑干萎缩(构成包括延髓颈髓明显的萎缩、完整的桥脑基底部)









成人亚历山大病临床表现多样,影像以延髓和高颈髓萎缩为特点。
3.X连锁肾上腺脑白质营养不良(ALD):X连锁隐性遗传病,一种最常见的过氧化物酶体病,主要累及肾上腺和脑白质。大约2/3患者出现肾上腺皮质功能不全,可与神经系统表现先后出现,约85%神经系统表现先于肾上腺皮质功能不全。神经系统表现不同程度的视力下降、听力障碍、智能减退、行为异常和精神障碍,肾上腺皮质功能不全表现疲劳、食欲下降、体重减轻、血压低、全身皮肤色素沉着。90%患者脑白质和肾上腺同时受累。可分为儿童脑型(CCALD)、青少年脑型、成人脑型、肾上腺脊髓神经病(AMN)、艾迪逊型、无症状型和杂合子型。我国儿童患者以CCALD最常见,成人患者以AMN最常见,两者占ALD的70-80%。
AMN临床表现
①脊髓损害:常累及侧索和后索,表现逐渐进展的双下肢无力、肌张力增高、深感觉障碍、括约肌功能障碍。
②周围神经损害:四肢远端感觉障碍、腓神经麻痹
③肾上腺皮质功能不全
④性功能障碍
⑤少数患者可累及脑部,表现癫痫、视力减退、听力减退、性格改变等
AMN中罕见表型可以脑干和(或)小脑表现为主,命名有多种,包括以脊髓小脑变性为表现的AMN、橄榄桥脑小脑型、小脑型、共济失调型、脊髓小脑型等。
成人脑型临床表现
急性炎症性脱髓鞘疾病,约占2-5%,发病年龄多大于21岁,相较于儿童脑型和青少年脑型的快速进展,其发病相对缓慢,早期很难发现认知功能下降,随着疾病进展,逐渐出现精神、认知及行为改变,平均在7.5年达到植物人状态和死亡。





脊髓小脑变异型肾上腺脊髓神经病小脑病变多表现实质内异常信号,而非萎缩。
4.小脑性共济失调伴周围神经病和前庭反射消失综合征(CANVAS):一种以进行性共济失调为主要表现的神经系统变性疾病,散发和遗传性病例均见于报道,遗传模式符合常染色体隐性遗传。该病通常起病年龄50~60岁,进展缓慢,通常约10年才会满足典型三联征:小脑萎缩性共济失调、前庭功能减退和非长度依赖性感觉神经病。其小脑功能损害表现为小脑性构音障碍、眼球活动障碍、四肢及轴性共济失调;前庭功能损害表现为消失或减弱的前庭眼反射;感觉性周围神经损害多符合非长度依赖性模式,其中以深感觉异常常见,部分也存在神经病理性疼痛。除典型三联征外也可见以直立性低血压、口干或眼干为主的自主神经损害。此外,研究报道在64%的患者中存在的慢性咳嗽也属于自主神经损害表现之一。整体病程相对其他类型共济失调具有起病晚、进展慢、预后较好的特点。诊断CANVAS需要对RFC1基因中的AAGGG重复序列扩增进行基因检测。然而,标准的共济失调检测套餐或全外显子组测序无法检测到RFC1序列扩增,这使得CANVAS成为迟发性共济失调和感觉性神经病的一个易被忽视的病因。也可能存在RFC1基因变异以外其他致病基因。
5.酒精性小脑变性:通常在数周至数月内较快进展,也可能缓慢进展。神经科特征包括严重的下肢和步态共济失调,上肢轻度受累。语言和眼球运动不受影响。影像学表现小脑蚓部萎缩。常伴周围神经病和后索病变。治疗包括戒酒和补充维生素B1。
6.弗里德赖希共济失调(FRDA):25%病例于25岁以后起病,常表现为痉挛性共济失调而非经典反射消失。其中25-40岁发病称为晚发型FRDA(LOFA),40岁以后发病称为极晚发型FRDA(VLOFA)。若并存痉挛性共济失调、感觉性周围神经病及心脏受累,则首选FRDA检测。FRDA的MRI可正常,但上蚓部萎缩+颈髓萎缩是晚发型LOFA重要提示(需薄层扫描)。周围神经病为轴索性神经病。

7.中枢神经系统表面铁沉积症(SSCNS):其中的经典型幕下型表面铁沉积症表现慢性共济失调、听力下降、锥体束征临床三联征,但只有39%的患者表现为上述三联征。其他临床表现包括认知障碍、膀胱功能障碍、嗅觉障碍、瞳孔不等大、感觉体征,少见表现包括颈痛、背痛、吞咽困难、双侧坐骨神经痛及下运动神经元体征等。

8.不明原因的散发性成年起病型共济失调(SAOA):主要指成年发病的、没有明确家族史的进展性共济失调患者,疾病进展相对较慢,不出现严重的自主神经功能障碍。MSA-C型患者可早期出现进展性的自主神经功能障碍,可资鉴别鉴别。
9.脆性X相关震颤/共济失调综合征(FXTAS):典型表现是50岁以后发生的运动性震颤和小脑共济失调。其他临床表现包括认知能力下降、痴呆、精神障碍、周围神经病变和自主神经功能障碍。受影响的女性通常病情较轻。FXTAS最常见的特征是MCP征(小脑中脚T2高信号),见于60%的男性患者和13%的女性患者。第二个主要影像学特征是胼胝体压部T2高信号,与MCP征一样常见,也更常见于男性。

FLAIR(患者1,A和B;患者2,C和D):胼胝体压部下部(A和C)和双侧小脑中脚(B和D)高信号,患者2相应的创伤性硬膜下血肿(共济失调相关的跌倒)。
10.进行性共济失调和腭震颤(progressive ataxia and palatal tremor,PAPT):最突出的症状包括视觉异常、构音障碍、吞咽困难、四肢和步态共济失调以及其他与小脑综合征相关的特征。
下图示
A、T2WI;B、T1WI;C、T1增强:MRI可见双侧下橄榄核T2高信号伴肥大和斑片状强化。
D、T2WI;E、T1WI:13年后复查MRI可见双侧下橄榄核萎缩并残留T2高信号。

三、诊断和治疗
1.多系统萎缩:成年期发病,50-60岁多见,平均发病年龄54.2岁,男性发病率稍高,缓慢起病,逐渐进展首发症状多为自主神经功能障碍、帕金森综合征、小脑性共济失调,少数以肌萎缩起病。不论以何种症候起病,当疾病进一步进展都会出现两个或多个系统的神经症候。既往MSA包括SDS、SND、OPCA。目前MSA主要分为两种亚型,MSA-P和MSA-C型。


2.改善能量代谢:艾地苯醌、胞磷胆碱、叶酸、维生素B6、甲钴胺
改善排尿:坦索罗辛、非那雄胺、米拉贝隆
改善共济失调:丁螺环酮、金刚烷胺
参考文献:1.BMC Neurology 2010, 10:21.
2. AJNR Am J Neuroradiol 29:1190 –96.
3. J Korean Soc Radiol 2023;84(3):736-744.
4. BMC Neurology (2025) 25:428.
5. Pract Neurol 2025;25:507–515.
6. Pract Neurol 2019;19:196–207.
7. Tremor Other Hyperkinet Mov (N Y). 2019 Sep 26;9.
8. Neurology. 2020 Mar 31;94(13):e1445-e1447.
9. Ann Indian Acad Neurol. 2024 Nov 1;27(6):738-740.
10. Neurology. 2015 Jun 2;84(22):e194.
11. Mov Disord Clin Pract. 2022 Oct 13;9(8):1105-1113.
12. 中华神经科杂志, 2023, 56(1): 15-29.
13. 河南大学学报:医学版, 2018, 37(4):6.
14. 中华神经科杂志, 2021,54(5) : 470-478.
















































