分享一例髓内钉治疗股骨近端骨折病例
男,66岁,摔伤致左大腿疼痛活动受限三小时就诊,门诊以“左股骨干骨折”为诊断收住入院,上图



股骨近端骨折,老先生挺瘦,很奇怪的是,大腿几乎无肿胀,入院后骨牵引,老先生也没怎么感觉骨折部位特别疼痛。
只是嫌卧床不能活动,强烈要求手术,科室讨论,择期安排。
常规侧卧位,定位


合适入针点,开口,对位差,手法复位


利用金手指置入导针,扩髓,步骤省略
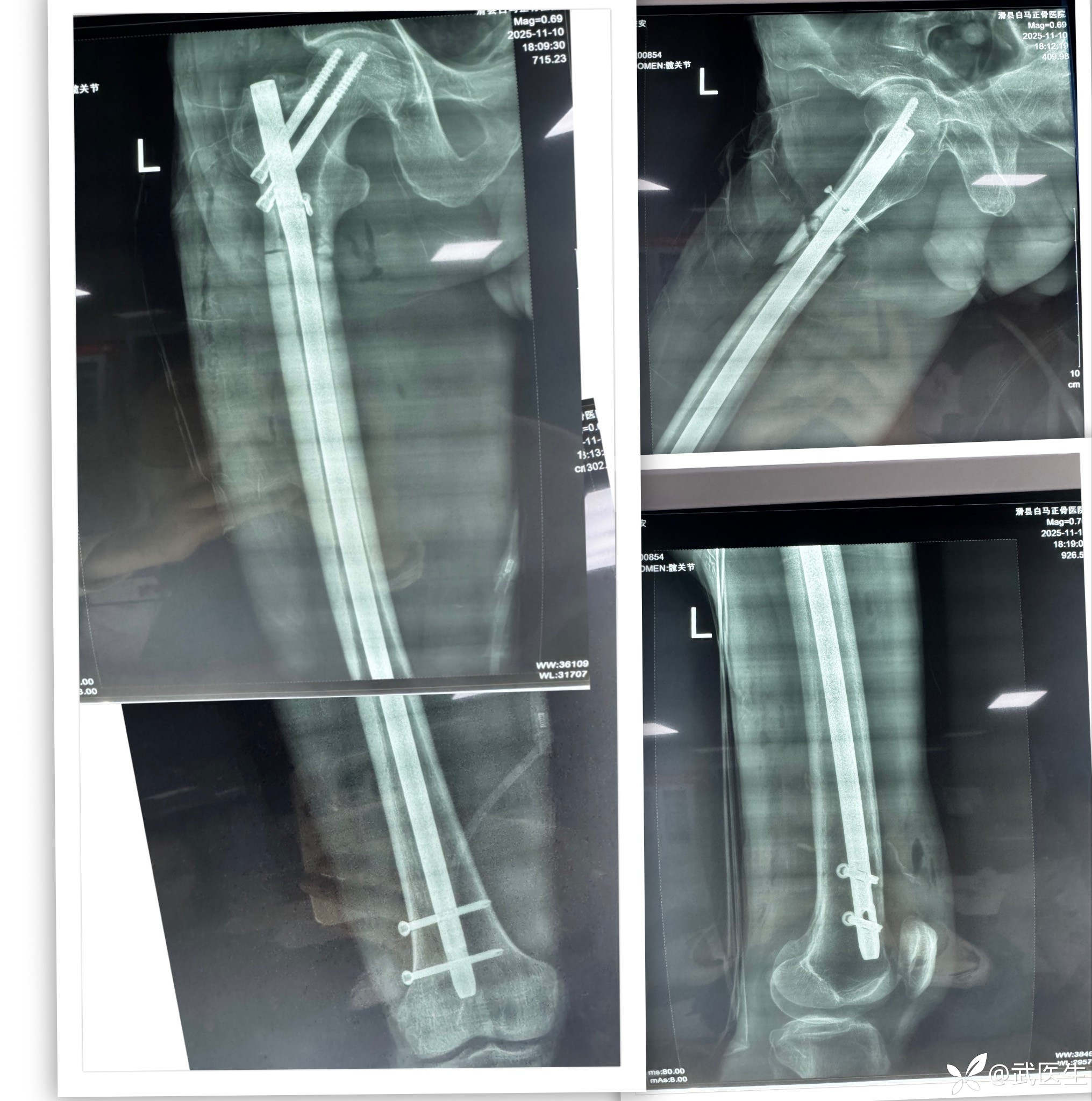
置入合适髓内钉,如下

断端向外成角,对位不好,经常出现的问题,退出髓内钉,打阻挡克氏针,

置入


成角纠正,断端间隙有点大

捶足底,纵向挤压

间隙缩小
侧位前方出现蝶形骨块

髓内钉已经很深了,头钉有点偏上,不再更换短钉了

阻挡克氏针更换为阻挡钉


最终

头钉有点偏上,髓内钉也算顶天立地。
改日奉上切口图。
股骨近端骨折髓内钉经常遇到向外侧成角,不好纠正,即便复位良好情况下扩髓后,置钉位置能不满意,此时阻挡克氏针是一个不错的办法。
发帖留念,欢迎拍砖。















































