发病 4 天多脏器衰竭,亚胺+莫西都无效!这类肺炎千万别误诊
病例信息
病例 1
年龄/性别:40 岁女性。
基础疾病:既往体健。
主诉:因发热 4 天。
起病情况:4 天前起发热畏寒,无寒战,伴头痛、全身不适,咳嗽轻微,无咽痛、鼻塞,无胸闷、气急。无尿频、尿急,无腹痛、腹泻。
前期治疗:外院考虑发热待查,门诊予头孢西丁 + 依替米星输液治疗 2 天仍有发热。
实验室检查:
- 血常规:白细胞计数 3.02 × 109/L↓,N% 85.4%, CRP 120 mg/L↑;
- 血生化:AST 83 U/L↑,ALT 91 U/L↑,LDH 351 U/L↑;
- 新冠核酸检测(-)、流感核酸检测(-);
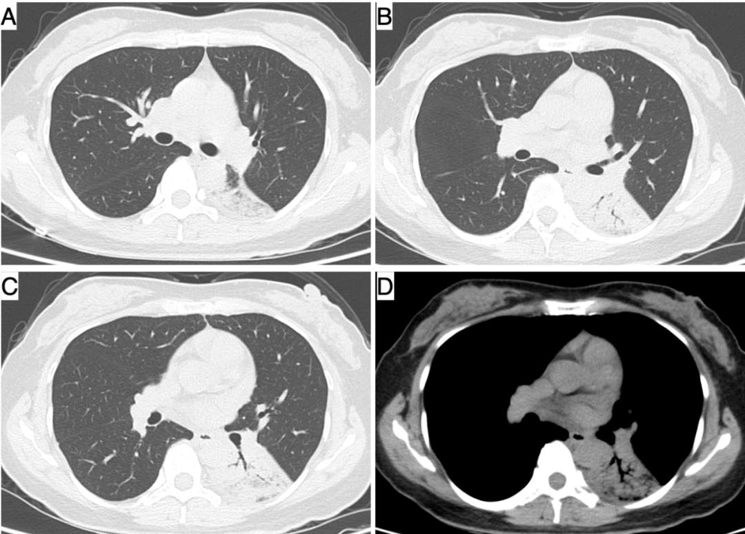
- 胸部 CT:左下肺实变(图 1)。

图 1 胸部 CT 示:左下肺实变伴支气管充气征,纵隔窗(D)实变中心未见低密度液性暗区(坏死)。
入院诊断:社区获得性肺炎(CAP)
进一步检查:考虑到门诊予头孢等治疗仍高热不退,予气管镜肺泡灌洗,肺泡灌洗液送 mNGS,结果报检出鹦鹉热衣原体(序列数 173 个)。
追问病史:家中饲养有 6 只小鹦鹉!!!
确诊:鹦鹉热肺炎
治疗:多西环素 100 mg bid 口服。建议鹦鹉放生。
后续:热退,顺利出院。6 周后复查 CT 左下肺渗出基本吸收(图 2)。

图 2 胸部 CT 左下肺渗出(图 A、C)经治疗后出院,6 周后复查 CT 已明显吸收(图 B、D)。
这个患者鹦鹉热肺炎较轻,治疗比较顺利,下一位患者就比较严重了:
病例 2
年龄/性别:85 岁男性。
基础疾病:高血压(控制良好)、2 型糖尿病(空腹血糖 10~11 mmol/L)、矽肺病史 30 年(未影响生活)。
流行病学史:长期饲养家禽(7~10 只鸟,持续 10 年)。
主诉:间断发热、咳嗽伴气喘 4 天。
起病情况:受凉后出现高热(峰值 41.6℃),伴寒战、乏力、咳脓痰(难咳出)、胸闷。
前期治疗:社区医院予头孢类抗生素治疗,症状无改善。
急诊检查(入院时):
1. 生命体征
体温 37℃(此前高热)、心率 169 次/分、血压 140/93 mmHg、SpO284%(未吸氧,提示呼吸衰竭)。
2. 实验室检查
血气分析:pH 7.227、PO2 43 mmHg(提示Ⅰ型呼吸衰竭)。
炎性指标:WBC 13.32 × 109/L↑、中性粒细胞比例 95.2%↑、CRP 334.04 mg/L↑、PCT 20.80 ng/mL↑。
3. 影像学
胸部 CT:双肺斑片状实变影及磨玻璃影(图 3A)。

图 3 患者胸部 CT。入院时 CT(A)示右肺中叶实变伴炎性渗出,伴气管充气征,左下肺 GGO;入院治疗后第 7 天复查 CT(B)示实变与 GGO 有减少;2 个月后复查 CT(C)已完全吸收。
病情进展与 ICU 救治:
转入 ICU 原因:氧合难以维持(SpO2 波动)、意识障碍(嗜睡 → 昏迷)、休克(血压 69/47 mmHg)。
危重度评分:APACHE II 37 分、SOFA 14 分(提示多器官功能障碍)。
初始治疗:
1. 气管插管 + 有创通气、液体复苏、血管活性药物。
2. 经验性抗感染:亚胺培南 + 莫西沙星。
3. 病原学送检:血/痰/尿/粪便培养、支气管镜肺泡灌洗液(BALF)mNGS 检测。
确诊与治疗方案调整:
确诊依据(入院第 3 天):BALF-mNGS 检出鹦鹉热衣原体(序列数 2210 条),血液 mNGS 弱阳性(序列数 4 条),统检测(培养、血清学、PCR 等)均为阴性。
调整治疗:停用原方案,改用米诺环素+阿奇霉素联合抗感染。
治疗反应:
炎性指标迅速下降(图 1):PCT 由 20.8 → 0.5 ng/mL(第 7 天)。
氧合改善:4 天停血管活性药,10 天脱机拔管。
影像学吸收:2 个月后 CT 示病灶完全吸收(图 2C)。
预后:
住院 14 天后转康复医院,10 天后出院。
6 个月随访:生活恢复常态(但未按医嘱处理家禽)。
1 鹦鹉热病因
病原体:鹦鹉热是一种由鹦鹉热衣原体 (Chlamydia psittaci,Cps) 引起的人畜共患病,主要通过接触鸟类和禽类传播给人类,专性细胞内寄生菌。
传染源:Cps 的主要传染源是鸟类,如鹦鹉等,以及禽类如鸡、鸭、鹅、鸽子等。另外,野生禽类,甚至哺乳动物也可能成为潜在的传染源 [2]。国内有研究报告,某地花鸟市场鹦鹉的 Cps 检出阳性率为 5.3%[3]。
传播途径:人类一般通过吸入受 Cps 感染的鸟类或禽类的尿液、粪便或其他排泄物污染的气溶胶而感染,人际传播风险相对较低,偶有人传人报道 [4]。潜伏期 5~14 天 [5]。
2 临床表现
- 典型表现:高热、干咳、呼吸困难、疲乏、畏寒、头痛等,但缺乏特异性。
- 其他表现:肌痛、恶心、呕吐、肝、肾功能异常等。
- 重症表现:ARDS、休克、多器官衰竭等。
3 实验室检查
- 常规检查:WBC 正常或轻度升高,CRP/ESR 显著增高,肝酶升高(AST/ALT),乳酸脱氢酶和肌酸激酶水平升高等。
- 确诊依据:
1)病原学培养:传统 Cps 的培养条件苛刻且耗时长,无法常规开展,一般不推荐将其作为首选检测方法。
2)血清学:血清中的免疫球蛋白 M(IgM) 抗体水平 ≥ 1:16 或抗体水平增加 4 倍,并伴随相应的临床表现,是鹦鹉热诊断的重要证据。
3)分子生物学:包括 PCR、宏基因组测序(mNGS)与靶向下一代测序(tNGS)等,BALF 是最佳样本。Cps 是胞内菌,mNGS 检出低序列数仍较有意义 [6]。
4 影像学特点
- 早期:单侧肺段或亚段磨玻璃影(GGO)(100%)。
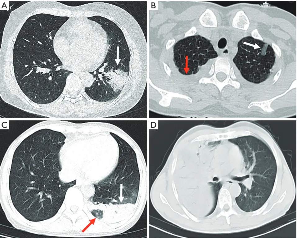
- 进展期:病变进展迅速,实变(98%)伴支气管充气征(80%),可伴细网格征(Fine mesh sign)(74%),实变周围 GGO(晕征)(10%),单侧肺累及多见(62%),可累及双肺(图 4),无坏死、空洞与树芽征,胸腔积液(66%),以单侧居多,部分可伴纵隔淋巴结肿大(36%)[7]。(注:鹦鹉热肺炎病灶累及间质,细网格征对应的就是小叶间隔增厚)
- 特征性表现:病变范围与症状严重程度不匹配(症状重而影像学轻)。

图 4 鹦鹉热患者的胸部 CT。(A)病灶沿支气管血管束分布,与支气管血管束平行(白箭头),可见支气管充气征,中心可见实变,外周有 GGO。(B)病灶表现为次级肺小叶 GGO(白箭头),伴双侧胸腔积液(红箭头)。(C)病灶沿胸膜分布(白色箭头),实变病灶内有部分正常肺实质(pulmonary lobule idling sign,肺叶空置征)(红色箭头),提示病灶内部分次级肺小叶未累及,CT 表现为低密度影。(D)整个肺叶病灶弥漫,伴支气管充气征,支气管受压狭窄但仍未完全阻塞。
5诊断标准(2024 年中国专家共识)
- 禽类暴露史 + 流感样非典型肺炎临床表现(是 Cps 临床诊断的主要依据);
- 影像学表现;
- 病原学证据(mNGS/PCR/培养阳性或血清学确诊)。
6 治疗
- 首选药物:多西环素 100 mg bid po/iv(一线治疗方案),疗程 10 天左右。一项纳入 135 例 Cps 的回顾研究显示,92% 的四环素类治疗患者在 48 h 后退热 [8]。
- 替代方案:阿奇霉素、莫西沙星等。
注意:β-内酰胺类抗生素(青霉素、头孢类、碳青霉烯类等)无效(无典型细胞壁)。
重症管理:脏器支持、早期氧疗,必要时机械通气等。
7 预后
- 轻症患者治疗后 48~72 小时退热,预后良好。
- Cps 患者病死率约 1%,未及时治疗的重症患者病死率可达 15%~20%[9],我国重症社区获得性肺炎(sCAP)患者中 Cps 检出率约 8.0%[10]。
8 预防
鹦鹉热的主要传染源为携带 Cps 的鸟类或禽类,对其进行适当的管理至关重要,包括:
- 严格规范化管控鸟类或禽类的进口和交易,防止疫情传播;
- 选择正规的、经过检疫的场所购买鸟类或禽类;
- 对鸟类或禽类进行定期检疫,及时发现携带 Cps 的个体并采取隔离及治疗措施。
- 对于养鸟爱好者、鸟禽类饲养者等与禽类密切接触的人群,应提高对鹦鹉热的认识,增强自我防护意识。
9 总结与警示
1. 鹦鹉热是一种由鹦鹉热衣原体引起的人畜共患病,虽不常见,但易进展为重症肺炎,构成严重威胁,对不明原因肺炎需详细询问禽类接触暴露史。
2. mNGS 显著提高诊断效率。
3. 重症肺炎经验性抗菌治疗一定要覆盖非典型病原体,避免单用 β-内酰胺类药物。
4. 鹦鹉热首选多西环素治疗。
5. 禽类从业者、饲养者建议注意通风、佩戴口罩并定期清洁笼舍。















































