跖骨远端骨折
骨外狂徒张三 推荐病例信息
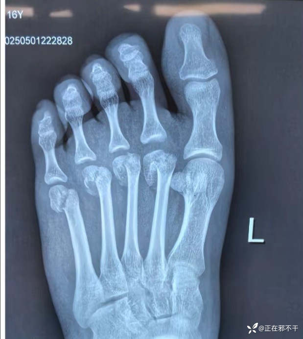
【患者信息】:女,16岁。
【主诉】:骑电动车摔伤之后导致左侧足部疼痛骨折。
【现病史及既往史】:左侧足部疼痛骨折,外伤之后。既往史体健。
【检查】:足部正侧位x光片


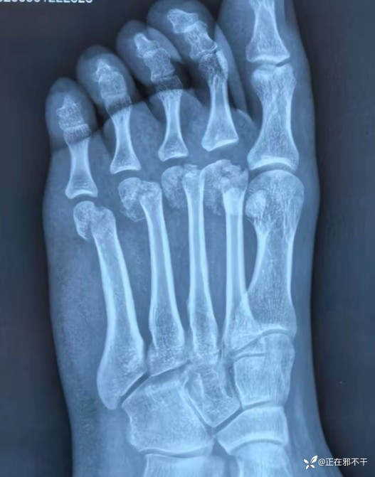
左足第二到第五跖骨远端骨折。
【临床诊断】:左足第二到第五跖骨远端骨折
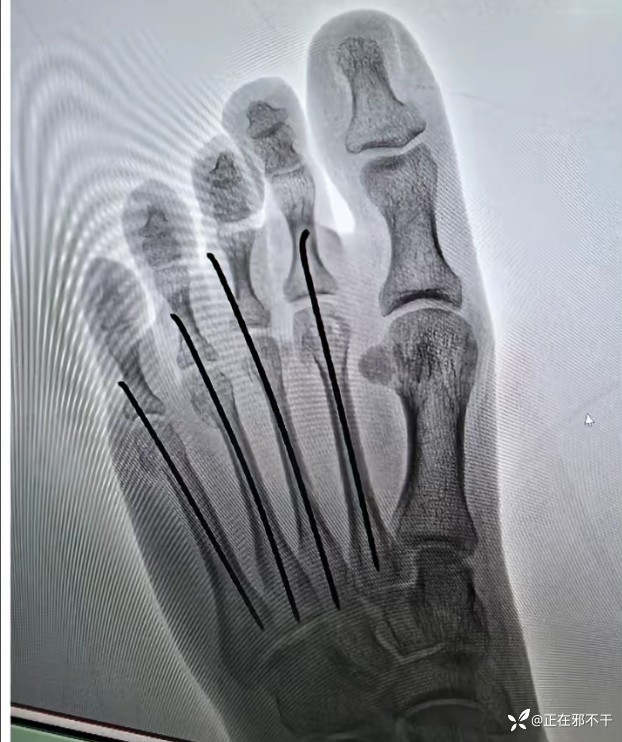
【治疗经过及结果】:给予克氏针闭合复位内固定


这种固定看似简单,做起来是需要技术的。
总结与讨论
借助C型臂X射线机的监视与诱导,能够实现精确的解剖复位。此手术方式微创且无手术切口,从而显著减少甚至规避患者并发感染的风险。其稳定性亦相当出色,能够有效预防医源性的神经损伤,进而降低并发症的发生率。更为重要的是,它还能加速骨折的愈合进程,为患者节省医疗费用。
















































