不灭狂雷!|沃利贝尔的熊掌
病例信息
有一款游戏叫英雄联盟,里面有个角色叫沃利贝尔,大概长这样

(应该很多老师都没玩过听过😂)
没事 先来另一张图片

像不像沃利贝尔的熊掌 😱😱
那么患者到底怎么了呢?
患者本次因在家胸闷入院,入院查BNP和心超提示有个心衰症状,询问患者平时活动量,自诉在家都平躺,日常无法劳动。追问病史得到,患者既往有 痛风,类风湿性关节炎
查体发现肢体布满痛风石。
痛风是因血尿酸水平过高导致尿酸
结晶沉积在关节内而引发的一种疾病,沉积的结晶导致关节内和关节周围出现疼痛性炎症。
痛风石是痛风的特征性临床表现,常见于耳廓、跖趾、指尖、掌指、肘等关节、跟腱、髌骨滑囊等处。


手掌和正常人的一个对比


双下肢水肿 膝关节抽出关节积液100ml😥
考虑这个病人也会有淋巴回流障碍。淋巴水肿
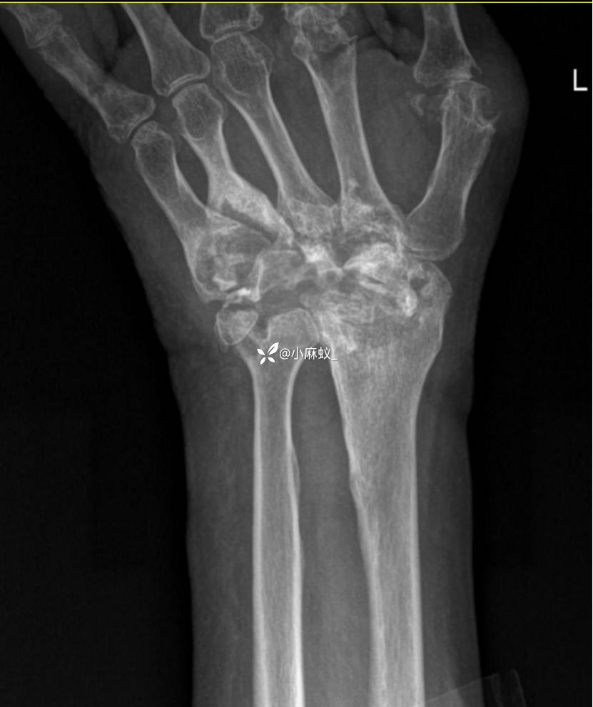
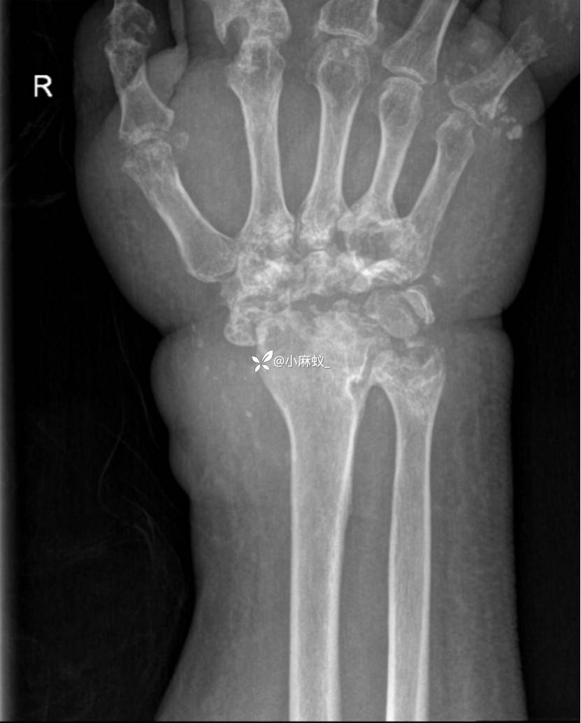
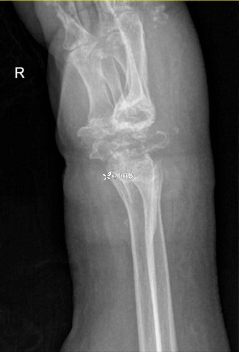
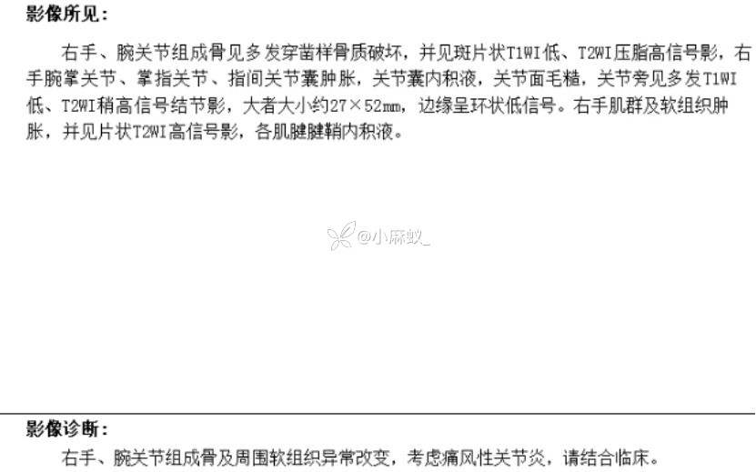
x线检查如下





除了像秋水仙碱等传统药物治疗,饮食控制以外,也可以选择手术剔除痛风石。
这次做了踝的痛风结石清除。
病理结果也提示了

















































