【腹部】看病史就知道答案,看CT找不到,众里寻他千百度....(有答案)
hyy838 等 2 位达人已点赞病例信息
【患者信息】:患者,女,83岁
【主诉】:反复行为异常2年,加重4月
【现病史及既往史】:现病史:患者2年前无明显诱因下出现行为异常,在晨起时发作,早餐进食后好转,好转后患者否认自己有异常行为现象,数月发作1次,其家属未在意;1年前上述行为异常发作频率增加,为1-2周发作1次,家属于行为异常时用血糖仪测血糖示2mmol/L左右,遂开始予以患者夜间加餐,加餐后上述症状好转,2024年1月在外院行胆囊切除手术,住院期间发作时测血糖为2mmol/L左右,多于夜间3点至早上7点之间发作,表现为在床上翻滚,四肢摆动,双眼无神,呼之不应,无四肢抽搐、双眼上翻、呕吐、大小便失禁等症状,出院后患者家属给患者多次自测血糖在2-3mmol/L之间(包括夜间或早上均低),最低血糖1.4mmol/L,给予补糖后缓解,发作频率为每天1次或间隔2-3天1次;10余天前患者开始出现嗜睡、呼之能醒;今晨再次发作,患者家属予以口服糖水后来我院急诊就诊,查血见血清-急诊八项:葡萄糖测定 4.68mmol/L;肌酐测定 106.5umol/L;为求进一步诊治,急诊拟“低血糖”收住入科。入院随机血糖7.2mmol/L。患者病程中无胸闷气促,无发热咳嗽,无恶心呕吐,无腹痛腹泻,平时精神正常,大便、饮食无异常,睡眠差,体重无明显改变。
既往史:高血压,湿疹,服用西尼地平降压,氯雷他定治疗湿疹,复发氨肽素片。自诉有风湿性关节炎,有时服用塞来昔布治疗。2024年1月曾行胆囊手术,有胆管结石。
【检查】:一、急诊入院前检查:
急诊实验室检查:[血常规]:中性粒细胞百分比 77.0 % 偏高(40--75), 淋巴细胞百分比 13.8 % 偏低(20--50), 淋巴细胞绝对数 0.6 10^9/L 偏低(1.1--3.2), 血红蛋白 85 g/L 偏低(115--150), 红细胞压积 0.274偏低(0.35--0.45), 平均红细胞体积 68.6 fL 偏低(82--100), 平均血红蛋白含量 21.3 pg 偏低(27--34), 平均血红蛋白浓度 311 g/L 偏低(316--354);[凝血常规]:纤维蛋白原降解物 5.94 ug/ml 偏高(0--5), D-二聚体 1.00 ug/ml 偏高(0--0.5)。[生化]:尿素氮测定 7.0 mmol/L 偏高(2.5--6.1), 肌酐测定 106.5 umol/L 偏高(46--92), 肌酸激酶测定 360 U/L 偏高(30--150)
急诊影像检查: 头颅CT平扫+全腹部CT平扫 1、双肾囊性灶;2、双侧放射冠区多发腔隙性脑梗塞;3、脑萎缩。
一、入院
入院后常规实验室检查(异常指标及重要提示意义阴性指标):
空腹胰岛素 26.42 uIU/mL 偏高(3--25)
糖化血红蛋白a 0.4 % (0--3), 糖化血红蛋白b 0.6 % (0--2), 糖化血红蛋白c 4.2 % (4.2--6)
游离三碘甲状腺原氨酸测定(内分泌) 3.49 pmol/L (2.76--6.6), 游离四碘甲状腺原氨酸测定(内分泌) 12.43 pmol/L (9.65--20.6), 促甲状腺激素测定(内分泌) 5.461 mIU/mL 偏高(0.27--4.3)
空腹C肽(内分泌) 8.40 ng/mL 偏高(1--4.5)
促肾上腺皮质激素 58.40 pg/ml 偏高(0--46)
皮质醇(上午7-9时) 54.60 nmol/L 偏低(138--690)
(危)葡萄糖 1.21 mmol/L 偏低(3.9--6.1)
维生素B12 331.72 pg/ml (200--900), 叶酸 14.4 ng/ml (6--21)
钙 1.99 mmol/L 偏低(2.11--2.52)
垂体泌乳素 48.65 ng/ml 偏高(5.18--26.53)
针对自身免疫相关疾病实验室检查:
抗谷氨酸脱羧酶 <0.5 IU/mL (<10), 抗酪氨酸磷酸酶 <0.5 IU/mL (<10), 抗胰岛素抗体 5.21 IU/mL (0--20), 抗胰岛细胞抗体 2.91 IU/mL (0--20), 锌转运蛋白8 <1 IU/mL (<10),肌酐 110.5 umol/L 偏高(41--81), 胱抑素-C 1.66 mg/L 偏高(0.63--1.25), 钙 2.02 mmol/L 偏低(2.11--2.52), 肾小球滤过率 44.47 mL/(min·1.73 m2) 偏低(63.89--148.25),抗ds-DNA抗体 阴性(-)(阴性), 抗核小体抗体 阴性(-)(阴性), 抗组蛋白抗体 阴性(-)(阴性), 抗Sm抗体 阴性(-)(阴性), 抗增值性细胞核抗原抗体 阴性(-)(阴性), 抗核糖体P蛋白抗体 阴性(-)(阴性), 抗SSA-60KD 阴性(-)(阴性), 抗SSA-52KD 阴性(-)(阴性), 抗SSB抗体 阴性(-)(阴性), 抗CENP-B抗体 阴性(-)(阴性), 抗Scl-70抗体 阴性(-)(阴性), 抗U1-RNP抗体 阴性(-)(阴性), 抗线粒体抗体 阴性(-)(阴性), 抗Jo-1抗体 阴性(-)(阴性), 抗PM-Scl抗体 阴性(-)(阴性), 抗Mi-2抗体 阴性(-)(阴性), 抗Ku抗体 阴性(-)(阴性), 抗核抗体 临介阳性弱阳性(阴性) 免疫球蛋白G4 555 ug/mL (36--2090)
【临床诊断】:低血糖症
【影像资料】:
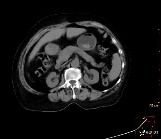
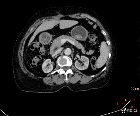
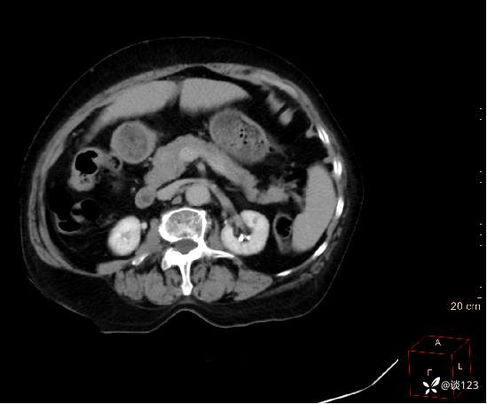
先做的CT:

C-

A

V

D
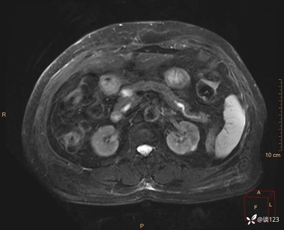
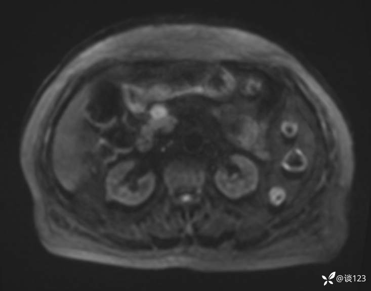
再做MRI

fsT2WI

fsT2WI

cor T2WI

DWI

多期增强
重新针对CT进行多参数后处理




总结与讨论
这类病变不结合病史的情况,即使在CT静脉期有所异常也容易忽略;同时针对该类疾病使用胰腺增强方案应该更佳,好的诊断先决条件还是技术,技术不够CT新技术来凑。















































