胸闷气急来院,治疗过程中却突发失语、偏瘫,虽诡异,却又如教科书般经典
情Ca晚期等 2人推荐病例信息
【病历摘要】:
患者,女,63岁,因“反复胸闷气急7年,再发10天,加重1天”来院急诊。
7年前起出现反复胸闷气急,症状较轻,活动后明显,休息后可好转,未规范诊治。10天前外出旅游,自述旅途劳顿,胸闷再发,伴乏力不适,无胸痛,无呼吸困难。
1天前症状急性加重,伴胸痛、心悸、冷汗,呼吸困难明显,不能平卧,自述有“濒死感”,救护车来院急诊。
既往史:甲状腺良性结节切除术后15年,否认高血压、糖尿病、冠心病等基础疾病,无长期药物服用。
【体格检查】:
T 36.8℃,P 112bpm,R 24次/分,Bp 116/69mmHg,SpO2 79%,体重54kg。
半坐卧位,神志清,呼吸浅快,无三凹征。口唇轻度紫绀。双肺呼吸音粗,未及啰音。心律齐,各瓣膜听诊区未及显著杂音。腹部查体无殊,双下肢无水肿,神经系统查体无殊。
【治疗经过及结果】:
急诊完善相应辅助检查:
- 心电图提示窦性心动过速,前壁(V4~V6)非特异性ST-T改变。
- 血气分析:(吸入氧浓度81%)PaO2 75.4mmHg,PaCO2 30.9mmHg,BE -6.9mmol/L,血乳酸 4.1 mmol/L,P/F值 93。
- 肌酸激酶(CK)、肌酸激酶同工酶(CK-MB)、肌钙蛋白I(TnI)无升高,NT-proBNP 1751pg/ml,D-Di 9.72μg/ml(参考范围0.00~0.50μg/ml)。
- 床旁超声心动图提示右房增大(50.6×50.5mm),重度三尖瓣反流伴重度肺动脉高压(Vmax 4.15m/s,右室收缩压78mmHg)。

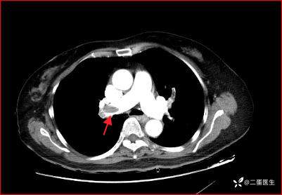
结合患者症状、体征及辅助检查结果,诊断考虑急性肺栓塞,急诊肺动脉CT血管造影(CTPA)提示右肺主干、双肺叶及段动脉内多发充盈缺损,肺栓塞诊断明确。


右肺主干、双肺叶及段动脉内多发充盈缺损
患者来院时血流动力学尚稳定,但合并严重呼吸衰竭、右心功能不全,加之影像学检查提示栓塞面积较大,综合判断,急诊予经外周静脉低剂量溶栓治疗,方案阿替普酶50mg,时间2h。
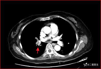
患者溶栓治疗21min时,出现意识改变,Glasgow昏迷评分(GCS)3+4+5,伴失语、左侧偏瘫,左侧上下肢肌力0级,左侧病理征阳性。考虑急性脑卒中,完善头颅CT未见脑出血征象,进一步行头颅CTA提示右侧颈内动脉颈段至大脑中动脉M1段闭塞,缺血性脑卒中诊断明确。

右侧颈内动脉至大脑中动脉闭塞
继续阿替普酶静脉溶栓治疗,并急诊行全麻下脑血管造影+超选择颅内血管腔内取栓术。术中见右侧颈内动脉C4段及以远闭塞(mTICI 0级),取出共5cm黑红色血栓,取栓后右侧颈内动脉完全复流(mTICI 3级)。
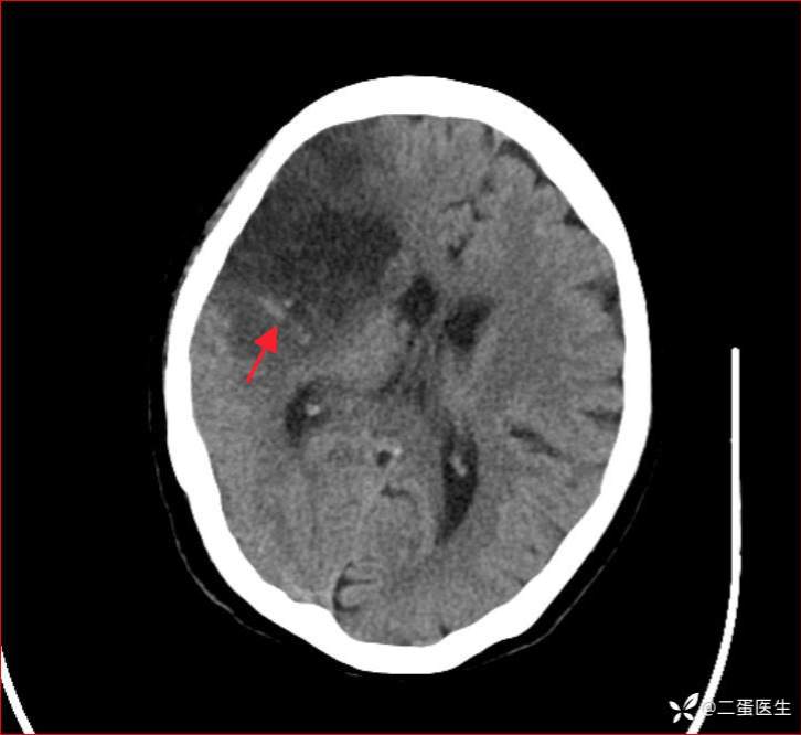
术后患者转ICU监护治疗。术后第一天复查头颅CT提示右侧脑梗死伴少许出血转化,在与患者家属充分风险告知后,予依诺肝素0.2ml sc q12h序贯抗凝治疗。

术后第二天行病因相关性检查,如下:


ICU治疗期间,患者并发肺部感染,并因颅内出血增多暂停抗凝治疗3天,病情稳定后恢复抗凝治疗。最终经积极抗感染、康复理疗、营养支持等治疗,患者意识水平逐渐好转,咳嗽、咳痰能力恢复,顺利脱机拔管。转病房继续治疗,后病情稳定好转出院,转当地医院行脑梗后功能康复。
总结与讨论
患者主诉“胸闷”就诊,心脏、主动脉、肺、食管、纵隔甚至腹腔内脏器的疾病都有可能导致胸部不适,急诊科的重点是立即识别和排除那些具有潜在的危及生命的病因。
一般来讲,这些病因包括急性冠脉综合征、主动脉夹层、急性肺栓塞、张力性气胸、心包填塞以及纵隔炎。该患者存在呼吸衰竭、肺动脉高压表现,结合D-Di显著升高,都将诊断引向了“肺栓塞”,在生命体征稳定的前提下,经肺CTPA明确诊断。
值得一提的是,病因判断过程中,床旁超声心动图检查作为一项有用的工具,为鉴别诊断提供了很多的有效信息。
可患者在治疗过程中却合并了急性脑梗死,头颅CTA提示右侧颈内动脉、大脑中动脉急性栓塞。肺栓塞的血栓性栓子几乎全部来源于下肢静脉,而颈内动脉的栓子却是来源于体循环。
该患者肺循环和体循环同时发生血栓栓塞事件,为何会出现这种诡异的表现?潜在的病因又是什么呢?你猜到了吗?
















































