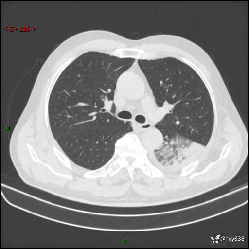
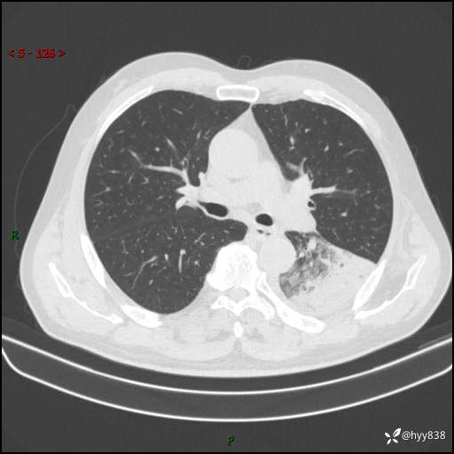
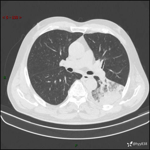
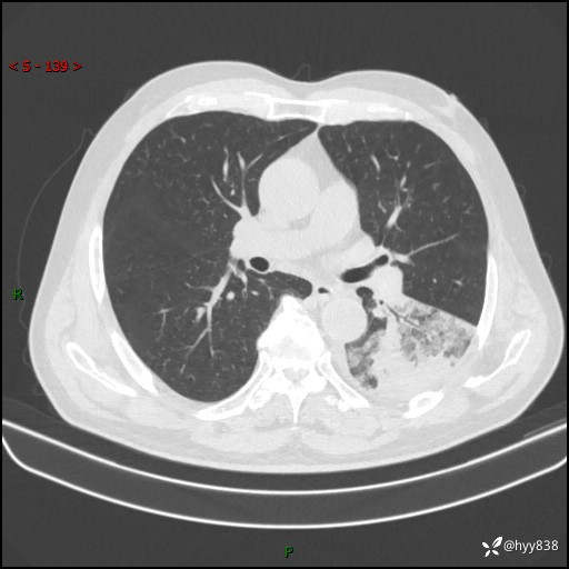
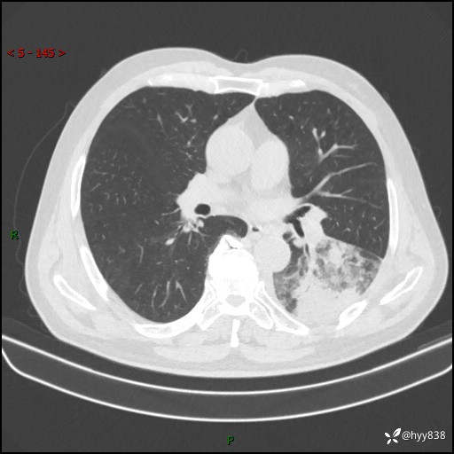
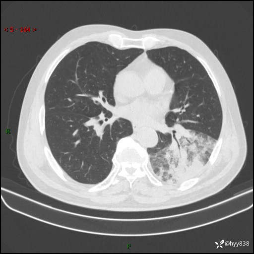
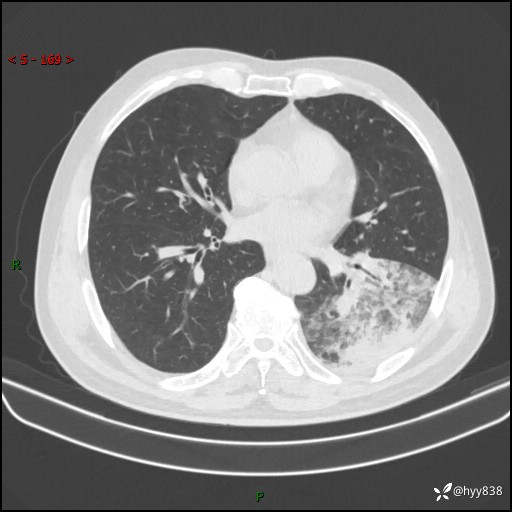
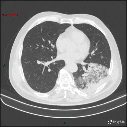
59岁/男,发热伴咳嗽3天。白班偶遇,“大叶性肺炎”,病原体挑战---结果公布~
胡志勇HZY 达人已点赞病例信息
【患者信息】:59岁/男
【主诉】:发热伴咳嗽3天
【现病史及既往史】:患者3天前无明显诱因出现发热,体温最高达38.6℃,伴有咳嗽,干咳为主,感乏力、肌肉酸痛,无明显头晕头痛、鼻塞、流涕、呼吸困难、胸痛、恶心呕吐、腹痛腹泻、尿频尿急等不适,于当地诊所输液治疗3天感症状无好转,仍有间断发热、咳嗽,现为求进一步诊治,于我院门诊就诊,门诊以“发热待查”收入我科进一步诊治。 患者自发病以来,精神、饮食、睡眠欠佳,大小便正常,体力、体重无明显变化。
实验室检查:


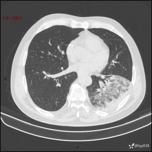
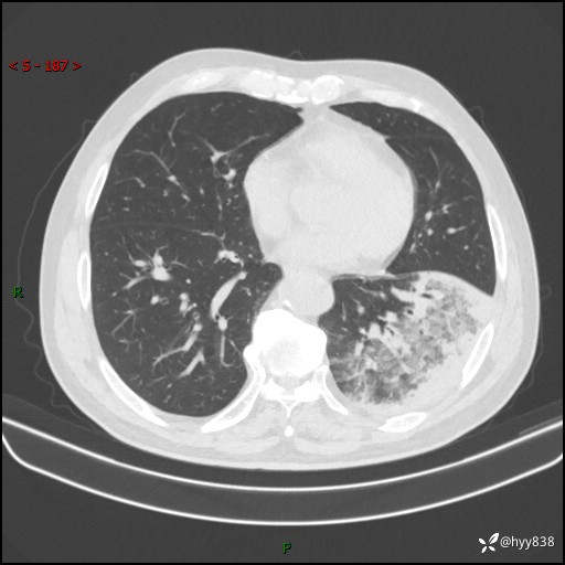
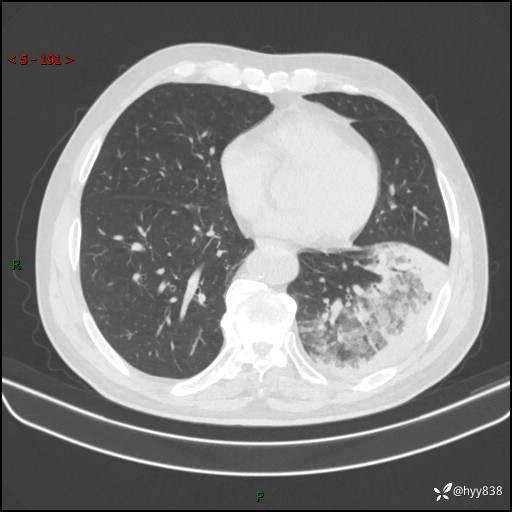
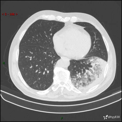
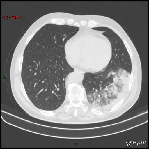
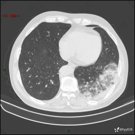
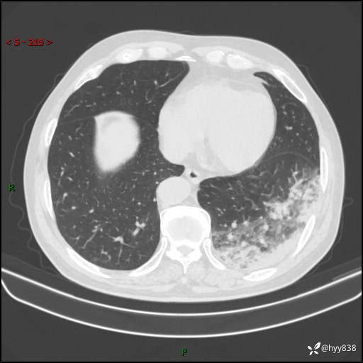
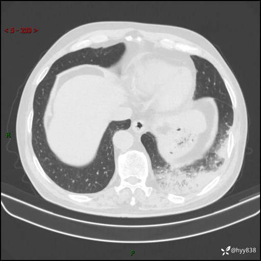
【检查】:胸部CT平扫






















【临床诊断】:
【治疗经过及结果】:















































