躲在肚子里的“妖怪”——畸胎瘤
病例信息
患者:女,22岁
病史:突发下腹痛8小时,呈持续性绞痛,进行性加重,疼痛时感恶心,无呕吐,无下坠感,门诊以“卵巢囊肿蒂扭转?”收入院。患者平素月经不规律,5-6天/3-4个月,量中等。
总结与讨论
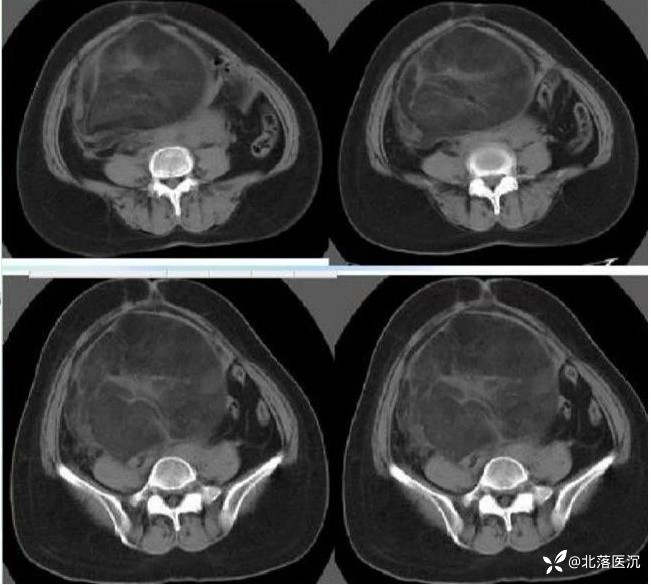
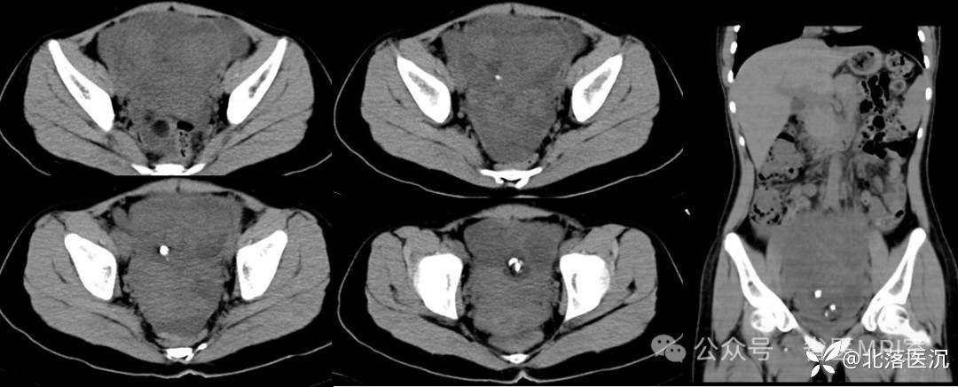
影像学表现:
双侧附件区可见巨大囊性包块影,最大截面大小约203X119mm,98x95mm,囊液密度均匀,未见明显分隔,病变左侧可见斑片状脂肪密度影及结节状钙化影,边界清楚,下方小病变内见脂液平面,周围肠管及子宫受压移位。腹膜后主动脉旁及升结肠周围脂肪间隙内见多发肿大淋巴结,较大者短径约10mm。
脾脏体积增大,下缘达肝缘下,实质内未见明显异常密度影;其余脏器未见明显异常。
影像学诊断:
1、双侧附件区占位,考虑囊性畸胎瘤可能,畸胎瘤继发浆液性囊腺瘤待除外,建议MRI增强检查;
2、脾大,请结合临床。
病理学诊断:成熟性囊性畸胎瘤

卵巢畸胎瘤是最常见的卵巢肿瘤之一,来源于卵巢生殖细胞。发病率约占卵巢肿瘤的20%,占儿童卵巢肿瘤的一半,单侧多见,以成熟性畸胎瘤居多,约占97%,右侧多见,12%为双侧发病。发病年龄随不同病理类型而有侧重,如成熟畸胎瘤以育龄妇女为主;未成熟畸胎瘤多见于年轻患者。而成熟畸胎瘤恶变多见于绝经后妇女。多数患者无特殊症状,肿瘤巨大时,可产生腹胀、腹部隐痛和压迫症状如尿频尿急等,可引起各种并发症,如扭转(卵巢畸胎瘤16%)、破裂(1%-4%)、恶性转化(1%-2%)、感染(1%)和自身免疫性溶血性贫血(<1%)。20-30%有家族病史。
成熟畸胎瘤
1.由多胚层组织构成,因肿瘤成分以外胚层为主,故又称卵巢皮样囊肿。
最常见,可发生于任何年龄,以育龄妇女为主,可为单侧或双侧
2.肿瘤以单囊为主,亦可为多囊,囊内含毛发和皮脂样物,囊壁内常有一个或数个乳头状突起(头结节),表面有毛发和牙齿长出,头结节切面可见骨、软骨及脂肪组织。

3.根据瘤内脂肪组织的含量,其分为以液性为主型、液脂型、头节型、脂肪瘤型和囊肿型。
4.脂肪为其特征性的影像表现,大于90%的畸胎瘤含脂肪组织。
5.头结节:通常单个,呈类圆形,与囊壁成锐角相交;头结节中可见脂肪、钙化或有毛发附着;头结节是恶变的好发部位,如果直径>5cm的实性头结节、有明显强化并于囊壁成钝角相交的征象要考虑恶变。

影像学表现:
CT表现:呈囊性,外形一般为圆形或类圆形,其内可见特征性脂肪密度影、头结节、钙化灶、牙齿等
MRI表现:单囊或多囊的含脂肿块,大多包膜完整,病变内脂肪成分表现为T1WI、T2WI高信号影,脂肪抑制序列呈低信号改变;头发、牙齿及骨骼在各序列均为低信号改变;头结节信号表现多样,与头结节内含有多胚层结构有关
增强扫描:实性部分多无明显强化

未成熟性畸胎瘤:
体积较大、边缘分叶但境界清楚的囊实性肿块,其中实性部分较多且均表现为多发小囊样结构,脂肪成分少,钙化粗糙且不清晰,而囊性成分多均匀,几乎均为水样液体信号/密度 ;增强扫描后病灶内软组织成分显著强化。26% 未成熟畸胎瘤患者存在同侧的典型成熟囊性畸胎瘤。

鉴别诊断
1.脂肪成分较少的畸胎瘤需与卵巢浆液性/粘液性肿瘤鉴别
卵巢浆/粘液性囊腺瘤多为单房囊性,壁薄而光滑,囊壁可见乳头状突起,囊内多为稀薄的液体,在MRI 上表现为长T1长T2信号,这与脂质成分不明显的囊性畸胎瘤较难区分,但囊腺瘤囊壁强化多以轻中度为主,有一定鉴别价值;
囊腺癌 :MRI 信号特征大体与囊腺瘤相似,但囊壁常常厚薄不均,可见乳头状或菜花状突起,增强后突起常呈明显强化,这与卵巢畸胎瘤实质部分多无或轻度强化有所区别。

(浆液性囊腺瘤)
2.脂肪成分为主恶畸胎瘤需与盆腔内含脂性病变鉴别
腹膜后脂肪瘤,需与脂肪成分明显的良性畸胎瘤相鉴别,两者虽然都以含脂肪信号为特征性MRI表现,但脂肪瘤的信号更趋均匀;边界不清的卵巢畸胎瘤有时需与腹膜后脂肪肉瘤鉴别,后者体积多较大,其脂肪以外成分强化多强于畸胎瘤,且钙化少见,一般可与鉴别。

(脂肪肉瘤)
3.卵巢混合性生殖细胞瘤(OMGCT)
是由两种或两种以上原始生殖细胞成分构成的肿瘤,其中无性细胞瘤和卵黄囊瘤最多见。其他肿瘤性成分包括未成熟或成熟性畸胎瘤、胚胎性癌、多胚瘤和/或绒毛膜癌也可出现。在诊断时应注明混合性生殖细胞瘤所有的成分及其比例。根据其成分可有AFP、HCG、CA125、雌激素等不同程度的升高。



(卵黄囊瘤合并畸胎瘤)
部分病例图片来源于文献及公众号,特此感谢。
















































