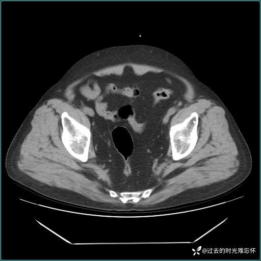
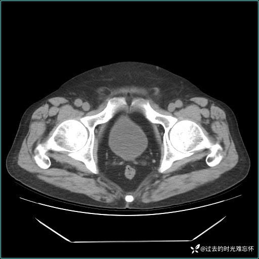
男子肚子大如孕晚期,一看腹腔竟被脂肪填满了...
病例信息
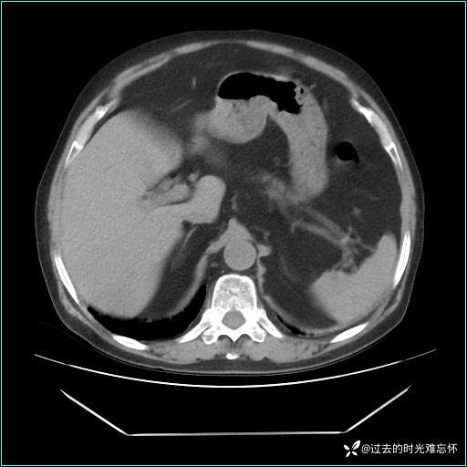
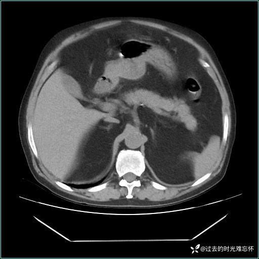
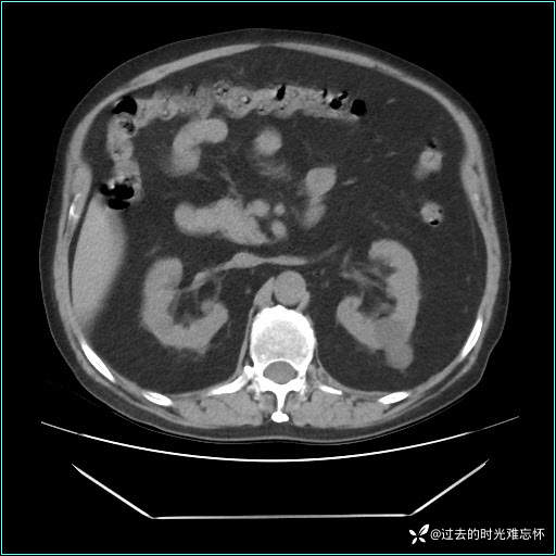
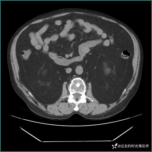
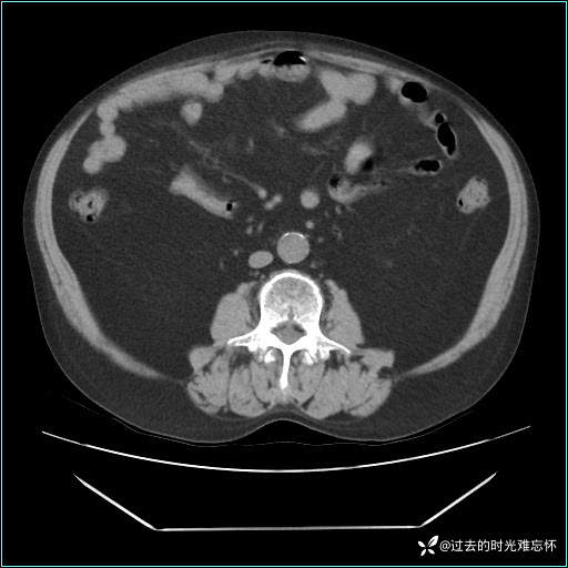
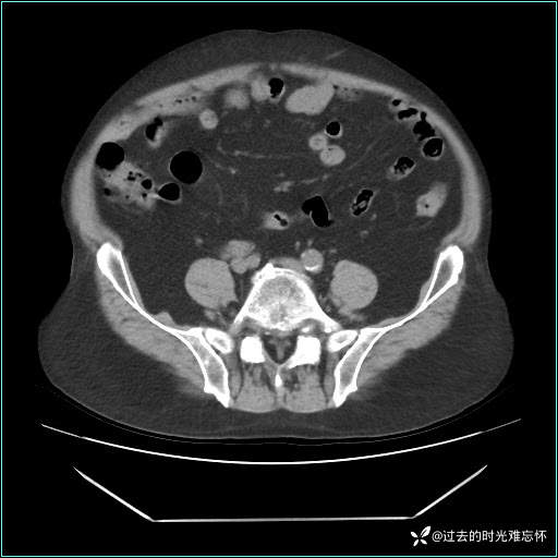
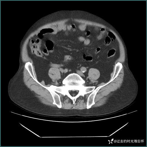
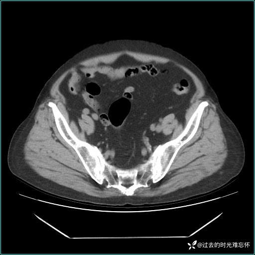
患者男,71 岁,因「反复腹痛腹胀 1 月」入院。
现病史:患者 1 月前无明显诱因下出现腹痛腹胀症状,腹痛呈隐痛,当时未予以重视,后症状有所加重,常在进食辛辣刺激油腻等食物后出现腹痛,口服药物治疗症状能得到控制,病情控制一般。现为求诊治来我院,拟“腹痛”入院。病程中患者神志清楚,精神一般,无咳嗽咳痰,无恶心呕吐,近期体重无明显变化。
既往史:平素健康状况一般;有高血压病史5年;其余无特殊。













病例信息
患者男,71 岁,因「反复腹痛腹胀 1 月」入院。
现病史:患者 1 月前无明显诱因下出现腹痛腹胀症状,腹痛呈隐痛,当时未予以重视,后症状有所加重,常在进食辛辣刺激油腻等食物后出现腹痛,口服药物治疗症状能得到控制,病情控制一般。现为求诊治来我院,拟“腹痛”入院。病程中患者神志清楚,精神一般,无咳嗽咳痰,无恶心呕吐,近期体重无明显变化。
既往史:平素健康状况一般;有高血压病史5年;其余无特殊。













