4岁女童 吃饭越来越少,肚子却越来越大?究竟是怎么回事?投票讨论。
性别:女
年龄:4岁
主诉:左上腹肿物1月余。
详情:[有结果]
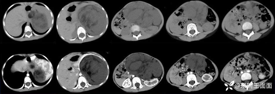
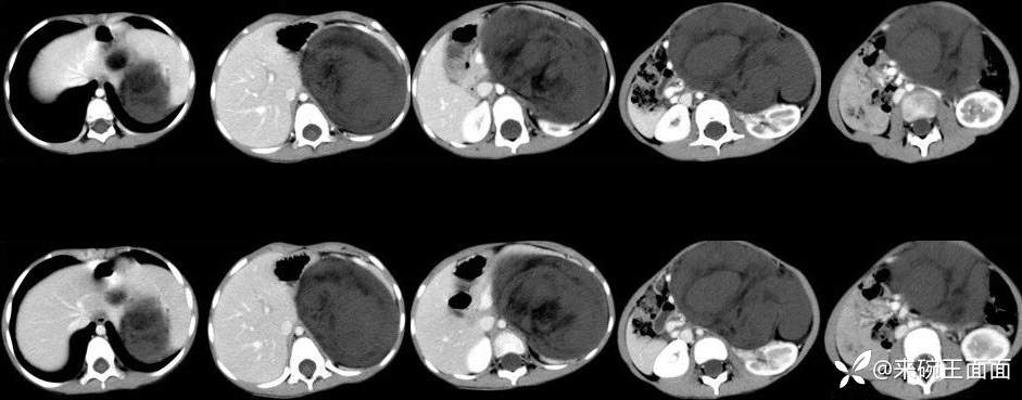
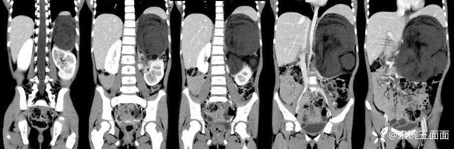
[现病史]1月余前无明显诱因发现左上腹肿物,无发热,无呕吐,无腹痛、腹泻、排便困难及其他不适,无尿频尿急,至当地医院CT示左上腹巨大占位性病变。【体格检查]腹膨隆,未及胃肠型及蠕动波,未及腹壁静脉曲张,腹软,左上腹可及大小约10*10cm肿物,质中,位置固定,无压痛、反跳痛,肝脾肋下未及,移动性浊音阴性,肠鸣音4-5次/分。
左上腹巨大软组织肿块影,密度混杂,边界清楚,其内可见脂肪密度,增强扫描未见强化。






















































