dxy logo
首页丁香园病例库全部版块
搜索
登录

病例六岁女童“行路难”,病理结果必然带个“母”字!

医学影像学医学生 · 发布于 2023-11-11 · 来自 iOS · IP 山东山东
1623 浏览
iconlingguowei_111 等 2 位达人已点赞
这个帖子发布于 2 年零 14 天前,其中的信息可能已发生改变或有所发展。

性别:女

年龄:6岁

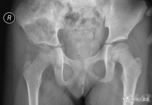
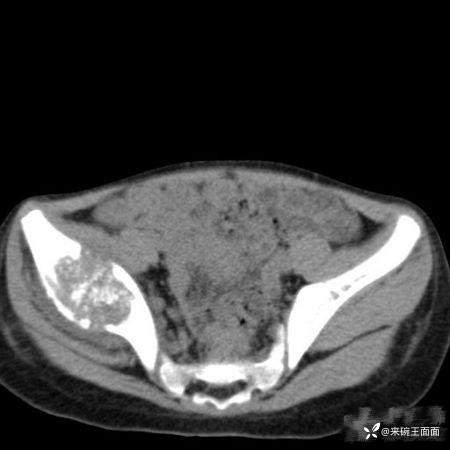
主诉:跛行3年,右髋活动受限4月。

详情:右侧髂骨膨胀性骨质破坏,边缘有硬化,骨皮质不完整,有骨膜反应,可见边缘不清、形态不规则钙化、骨化影。

img


img


img
该帖还没有疾病标签去添加
32 5 8
同行评议(0)
已评议
不开通精选
开通精选
精选已授权,待上线
评议结果暂未公布
参与评议
去邀请
NaN
病例完整NaN
临床实用NaN
诊疗科学NaN
学术价值NaN

全部讨论(0)

默认最新
avatar
32
分享帖子
share-weibo分享到微博
share-weibo分享到微信
认证
返回顶部