左眼继发性复发性角膜上皮糜烂
farica 推荐病例信息
24岁,男,左眼眼红异物感2天就诊;
2天前无明显诱因出现眼红,异物感不适;既往10年内月每年1次类似症状,双眼均发病,左眼发病次数较多;没有 记忆深刻的外伤史;
双眼检查:
右眼0.5,左眼0.06;眼压右眼20,左眼指测Tn;
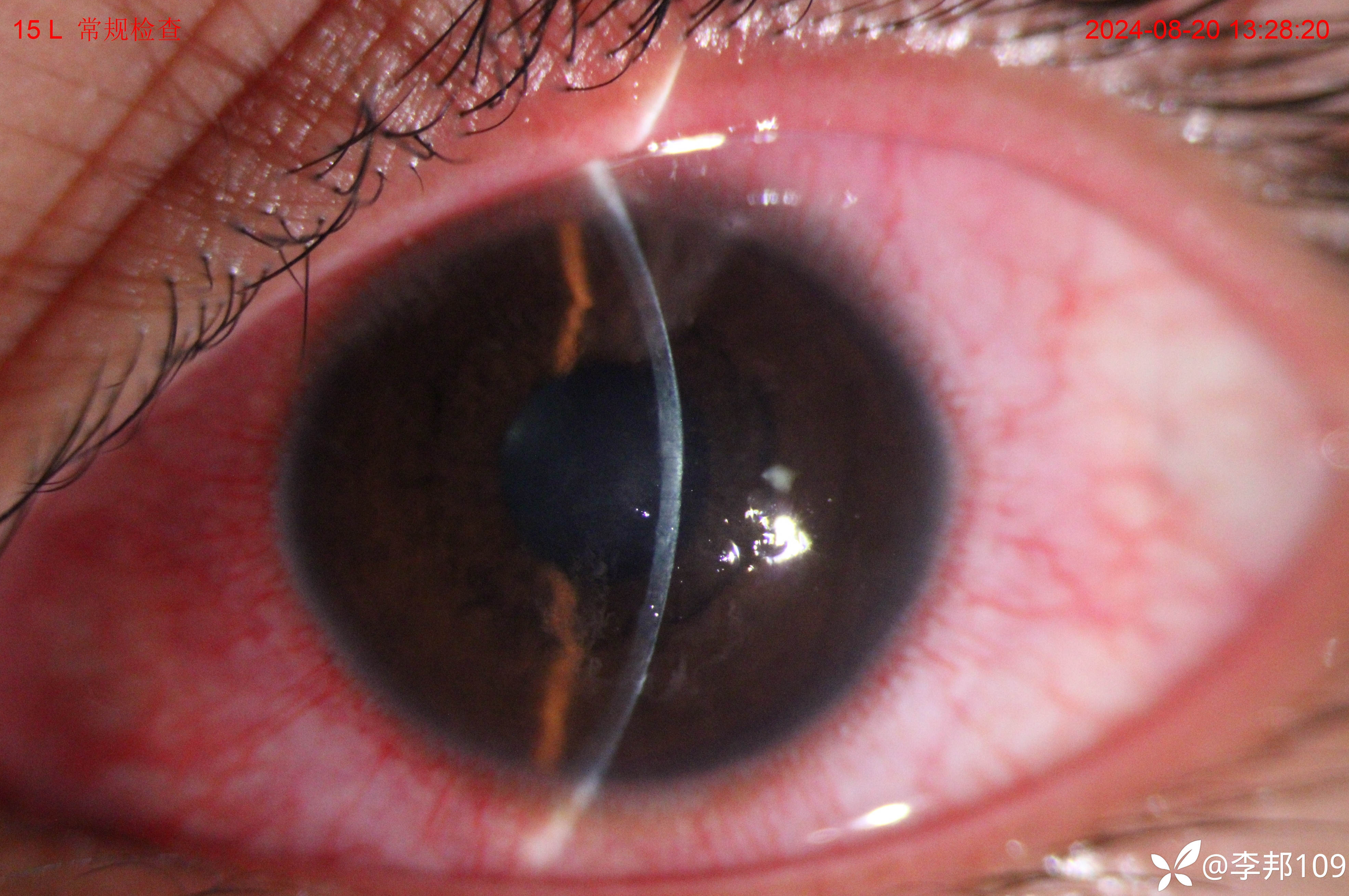
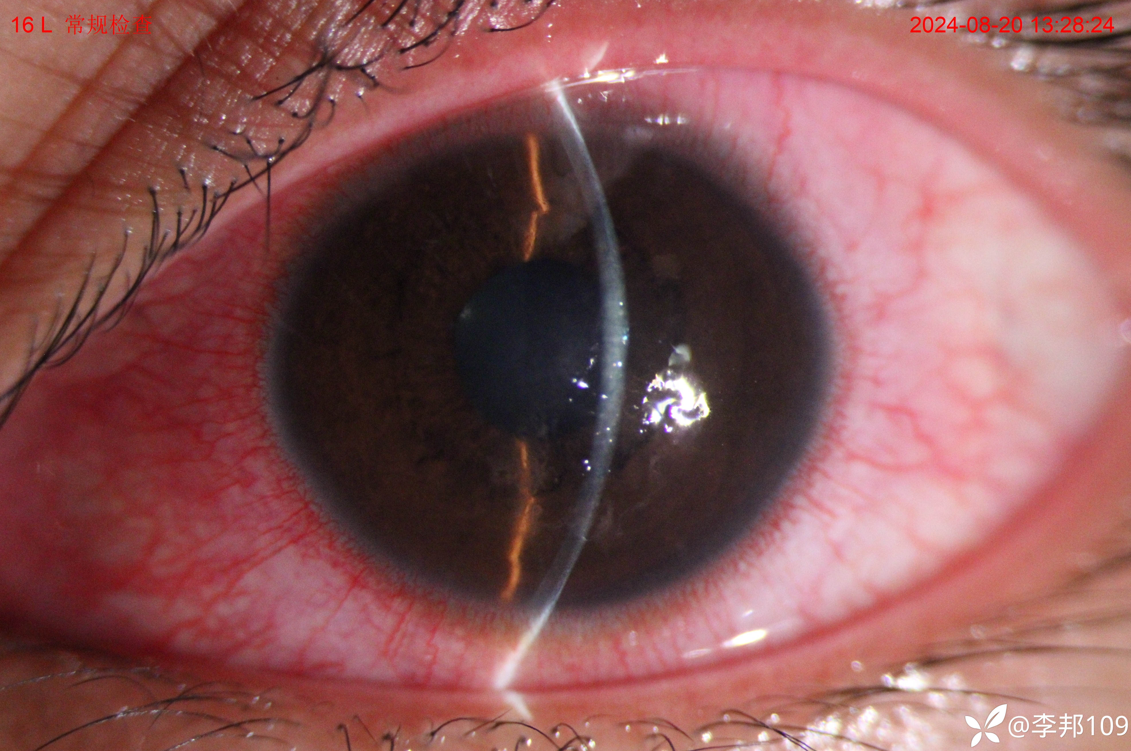
双眼角膜中央灰白色混浊,角膜中央可见粗细线条纹;
左眼结膜混合充血,角膜上皮糜烂缺损


















右眼

左眼








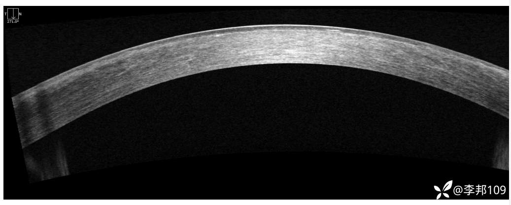
复测三遍的内皮计数,内皮计数结果未见明显异常
分析处理
考虑双眼角膜营养不良(格子状),左眼复发性角膜上皮糜烂;
处理:绷带镜+左氧氟沙星滴眼液每日4次+小牛血2次/日,随诊
总结与讨论
双眼检查均异常,本次发作无明显外伤史,根据询问病史,其母亲兄弟姐妹眼睛不好,具体不详,高度怀疑遗传性疾病,让其母亲来院检查,果然结果一样,病情也是反复发展,而且其姐妹都是反复类似症状;
























































