左眼视盘鼻侧占位性病变,渗出性视网膜脱离
病人男29岁,1月前眼痛后出现视物模糊,双眼视力0.05矫正能到1.0。眼压正常。b超提示左眼眼球壁实质性占位。眼底情况如图。各位老师看看应该考虑什么疾病,接下来做何检查。
左眼的FFA

ICGA

SLO

补充资料
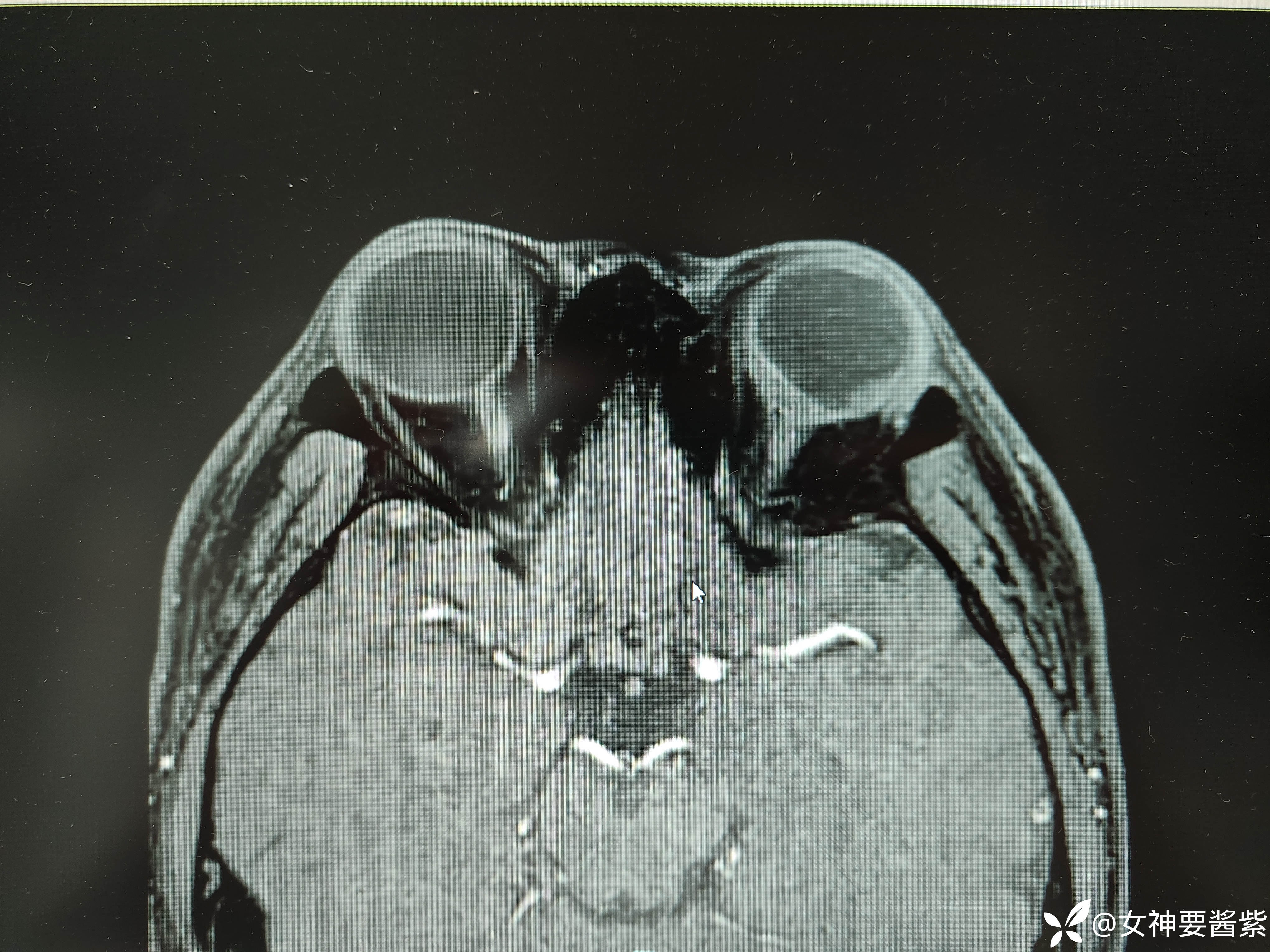
MR



OCT


补充黑白b超和多普勒b超


2023-11-08
患者细胞因子也排除了淋巴瘤,眼内液宏基因检测也排除了感染。所以更考虑是自身免疫性疾病,予糖皮质激素80mg qd。等患者过几天回来复查再看看视力情况吧。患者在我们这花了很多钱,最后啥病因都没明确。


不过好在排除了恶性疾病。欢迎大家讨论留言
















































