无法纠正的DKA,让人苦恼
飞跃迷雾1 达人已点赞病例信息
引言:当你排除了一切不可能的,剩下的无论多么难以置信,那就是真相。
患者,年轻女性,20多岁
主诉:腹痛、腹胀2天。
现病史:患者2天前出现腹痛、腹胀症状,伴恶心、无明显呕吐、发热、腹泻等症状,往***医院就诊,考虑“胰腺炎”,给予对症治疗,无明显好转,今日出现口干、胸闷气促加重,120来来我院。
查体:神清,呼吸促,血压160/103 mmHg,SP02 90%,神清,呼吸平稳,双肺呼吸音粗,未闻及干湿性罗音,心率 140次/分,律齐,腹软,脐上压痛,无麦氏点压痛,四肢活动可,肌力肌张力正常,病理征阴性。
既往史:有高血压、糖尿病病史,血糖控制不佳
否认药物过敏史。
诊断:1,急性胰腺炎 2,糖尿病 3,呼吸衰竭 4,高血压
处理:心电图,吸氧,心电监护
检验 血细胞分析,C-反应蛋白测定(CRP),血清淀粉样蛋白测定,凝血试验一套,急诊肝功能,急诊肾功能,血糖,K Na C1 HC03,无机离子,胰腺套餐,心肌酶2项,心肌标志物,纤溶系统检测,肝素结合蛋白测定(荧光免疫法),尿常规,检查 128CT平扫 头颅,128CT平扫 胸部,128CT平扫 上腹部,128CT平扫 下腹部
辅助检查:血气分析(抢救室内):
PH:7.093,PC02:13.1mmHg,P02:152.9mmHg,HC03:3.9mmol/L,HC03st:6.9mmol/L,BE-23.62mmol/L,BEecf:25.86mmol/L,802%:99.6%,AG:32.4mmol/L,glu:12.3mmol/。

尿常规

CT报告

血常规

肝肾电


血脂

D2聚体

心肌标志物

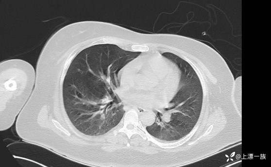
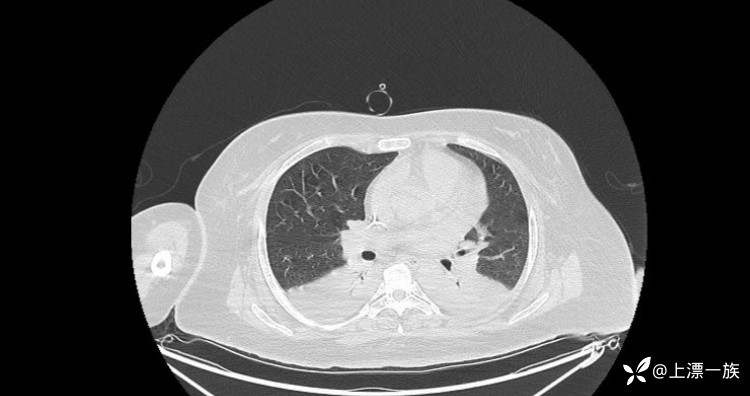
当天胸部CT

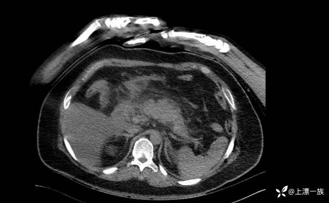
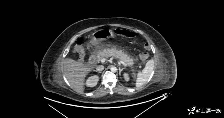
当天腹部CT
好,诊断很明确:DKA+AP
治疗上:1.GICU护理常规,告病危,心电监护,监测心率、血压、脉氧、体温等生命体征变化监测血糖、尿量、出入量变化;留置右锁骨下深静脉穿刺置管。
2.补液,乌司他丁抗炎症,生长抑素抑制胰腺分泌,依诺肝素钠抗凝,雷尼替丁抑酸护胃,左氧氟沙星抗感染,维持水电解质平衡等对症处理,气管插管接呼吸机改善氧分压,CRRT清除炎症介质。
3.拟完善相关辅助检查,如血常规、凝血、CRP、肝肾功能、血脂、电解质、尿粪常规、乙肝两对半、梅毒、HIV、甲功、肿瘤标记物、心肌标记物、BNP、D-二聚体、FDF腹部超声等指标,进一步评估患者病情。
治疗上没有什么特殊:
- 补液:这是纠正失水、恢复血容量和肾灌注的关键措施。开始时输液速度较快,在 1 - 2 小时内输入 0.9%氯化钠 1000 - 2000 毫升,前 4 小时输入所计算失水量 1/3 的液体,以后根据血压、心率、每小时尿量及周围循环状况决定输液量和速度。24 小时输液总量约 4000 - 6000 毫升,严重失水者可达 6000 - 8000 毫升。
- 胰岛素治疗:一般采用小剂量(短效)胰岛素治疗方案,即每小时给予 0.1U/kg 胰岛素。可先给予首次负荷量 10 - 20U 静脉注射。当血糖降至 13.9mmol/L 时,可将生理盐水改为 5%葡萄糖液,并按比例加入胰岛素,使血糖维持在 10mmol/L 左右。
- 纠正电解质及酸碱平衡失调:在补液和胰岛素治疗的同时,要注意监测血钾、钠、氯、钙等电解质水平。DKA 患者有不同程度的失钾,见尿补钾。当血 pH<7.1,HCO₃⁻<5mmol/L 时,应给予适量碳酸氢钠溶液纠正酸中毒,但补碱不宜过多、过快。
- 处理诱因和防治并发症:积极寻找和消除诱因,如感染等。同时要注意防治脑水肿、心力衰竭、肾衰竭等并发症。
Day1

(患者体型较为肥胖,故液体放的比较宽泛)

Day2


似乎好了点,但酸中毒仍未纠正?阴离子间隙仍较大,怎么回事?液体不够?患者开始出现腰背部水肿,呼吸机参数仍较高,呼吸频率大于35次/分,心率110bpm,开始出现液体潴留了,血糖控制的还可以。然后老医生开始慌乱了,是有别的地方感染未控制吗?继续补?还是利尿?向左走,向右侧?
Day3


治疗原则是扩容补液,继续扩容补液,准备再观察一天,同时CRRT不再是清除炎症因子,开始每小时脱水100ml。我们开始注意到一个问题,开始尝试治疗。
Day4



复查CT腹部

复查CT胸部
开始减少补液,因胸水开始出现了,开始拉水。
Day5


好转。
下午准备脱机拔管。

Day6


继续好转。
分析处理
亲爱的战友们,“我们开始注意到一个问题,开始尝试治疗”,到底是什么?大家猜猜看。















































