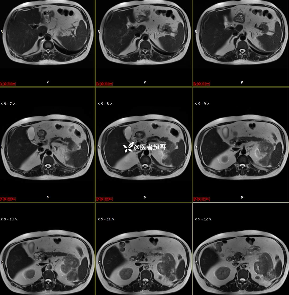
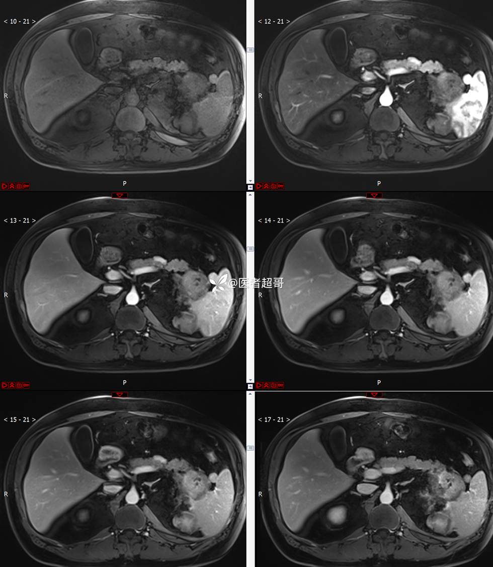
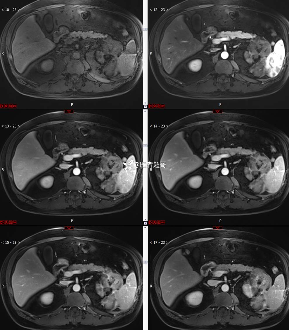
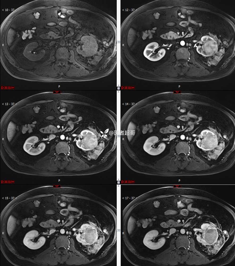
这个类型肾脏肿瘤真是少见!请诊断分析,有结果!
hyy838 推荐男,48岁 0200720 03
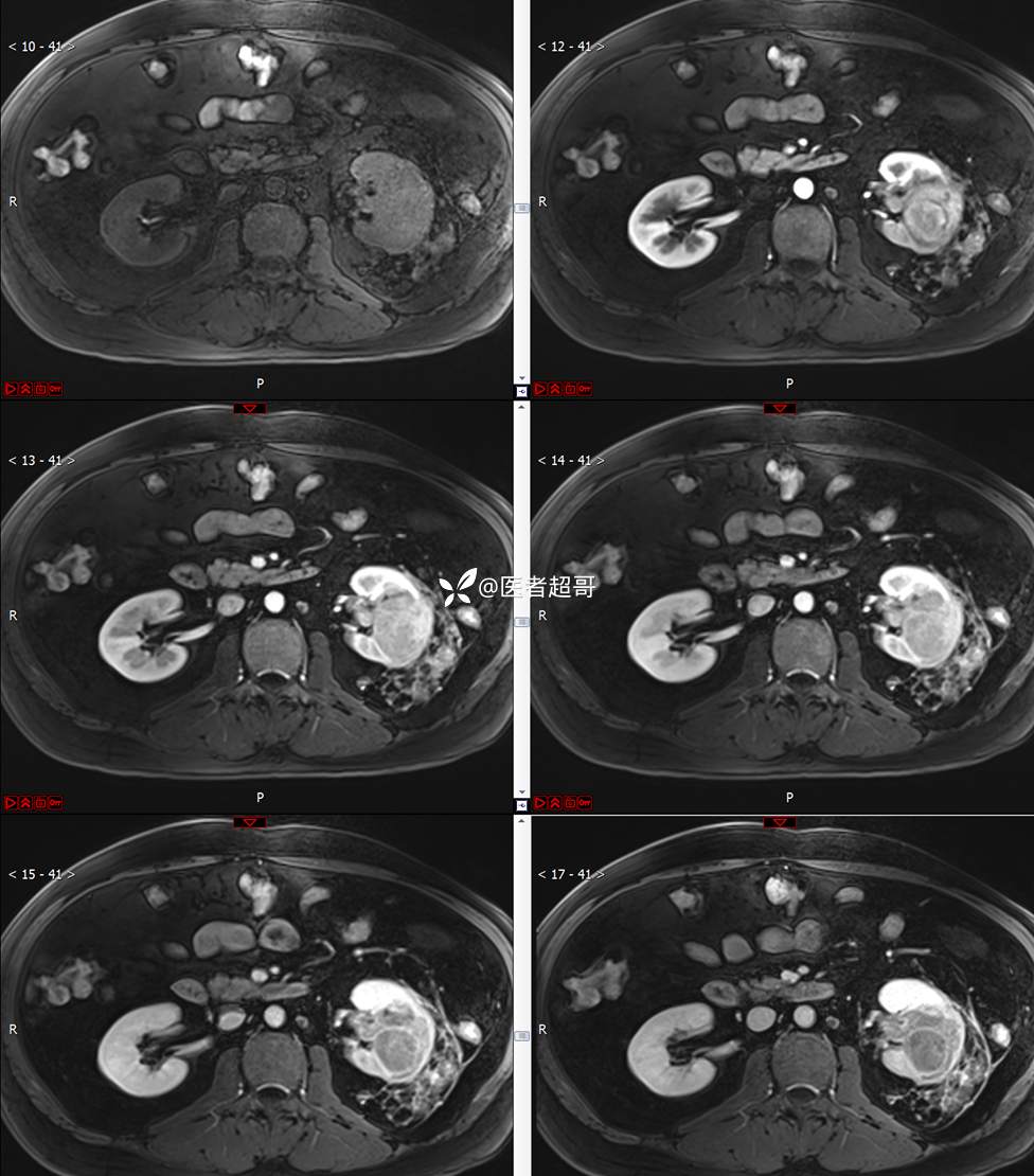
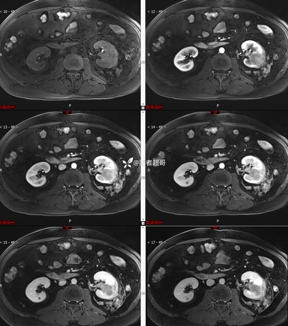
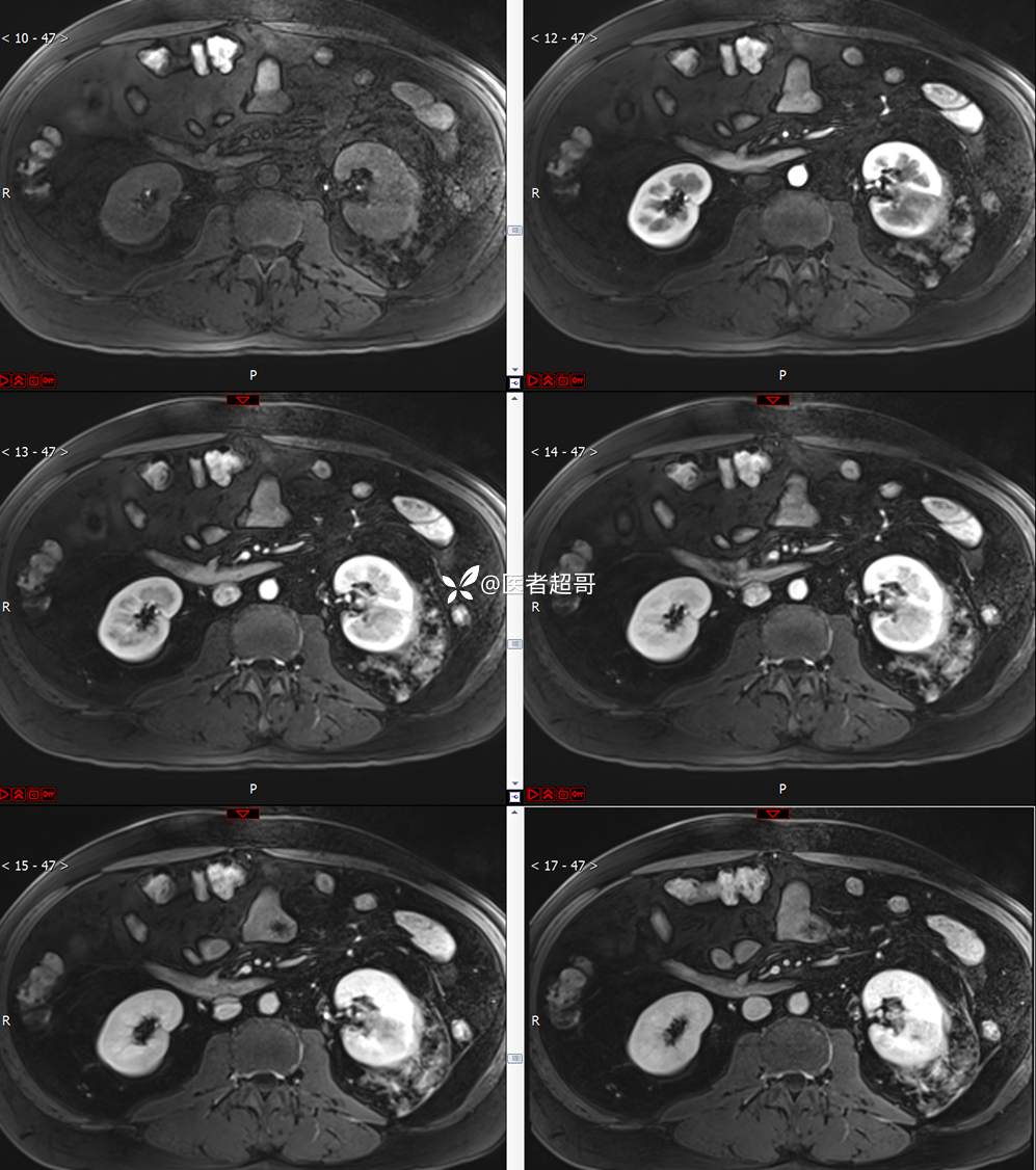
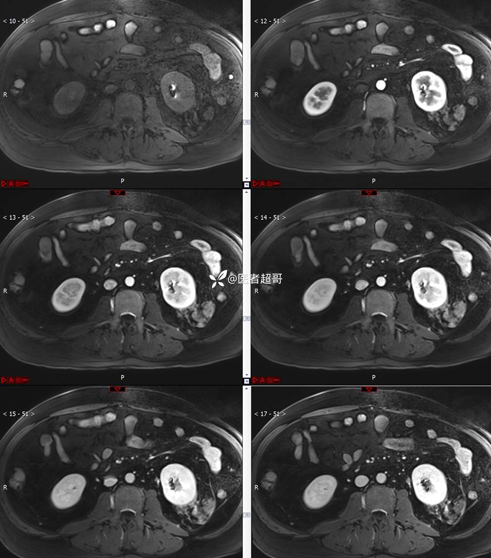
主 诉:查体发现左肾肿物9天。
现病史:患者9天前于附属医院行常规腹部CT检查时,发现左肾占位性病变并肾周脂间隙软组织增多,自述无明显腰腹部不适,无尿频、尿急、尿痛及肉眼血尿,未予特殊治疗,患者近期无头晕头迷,胸闷气急,腹胀腹泻及其他部位明显不适,遂至我院就诊,门诊以“肾肿物”收入院,患者自发病以来,精神可,睡眠饮食可,大便正常,体重无明显减轻。
既往史:既往高血压病史10年余,最高达160/110mmHg,数年前于附属医院行腹腔镜下阑尾切除术











































































