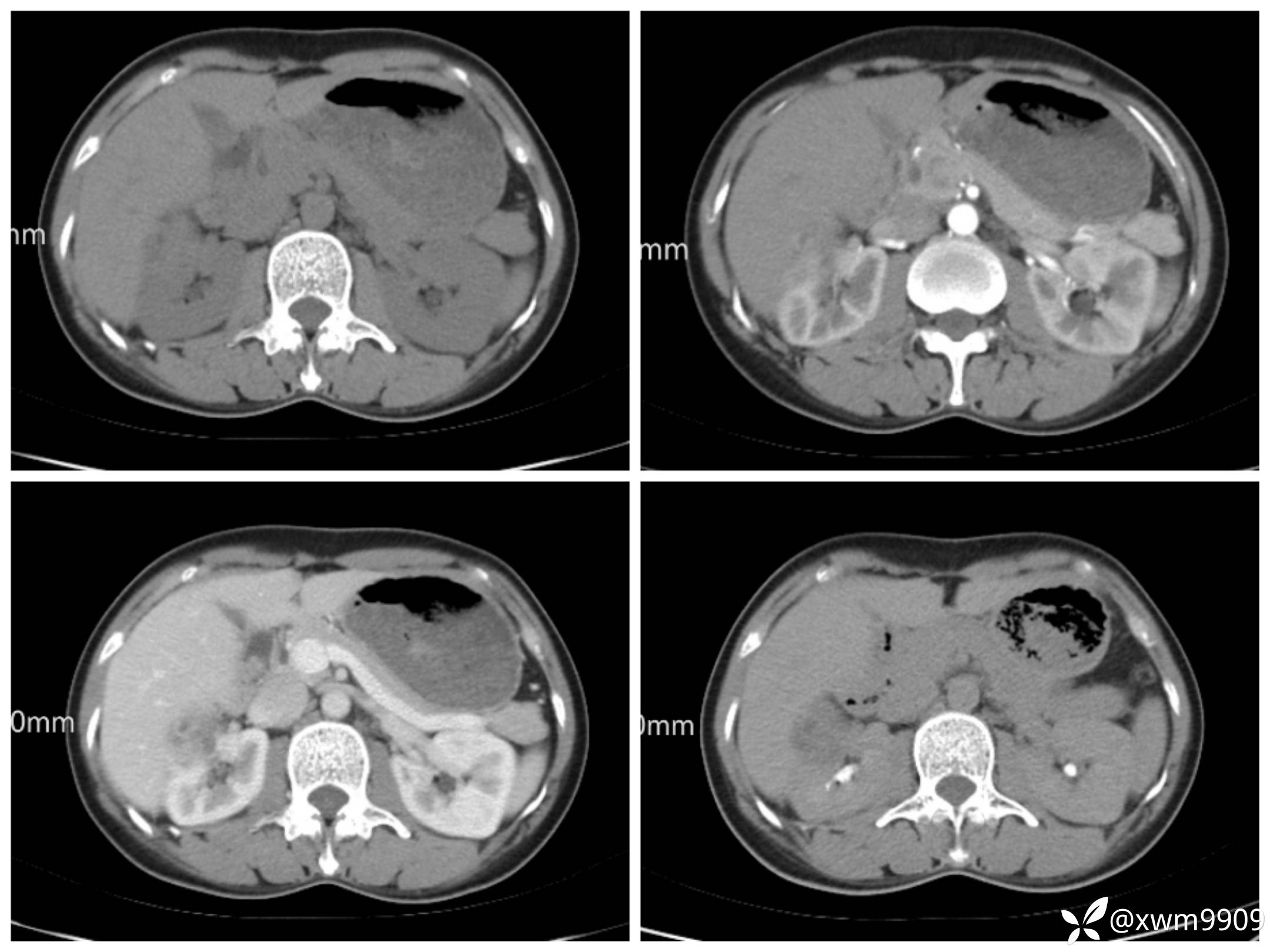
肾脏肿瘤知多少?请你慧诊!
hyy838 等 2 位达人已点赞主诉:体检发现右肾肿瘤1年。
1、入院症见:右侧腰部无明显胀痛,未见肉眼血尿,无尿频、尿急、尿痛,无恶寒、发热,无心慌、胸闷,无头晕、头痛,无腹痛、腹泻,纳寐可。大便正常,近期体重无明显变化。
2、专科检查:双肾区无畸形,双肾区无叩痛,双侧输尿管行程无压痛,膀胱区无隆起,无压痛,舌红、苔白腻、脉滑。
3、AFP、CEA、CA72 -4、CA50、CAl9-9。




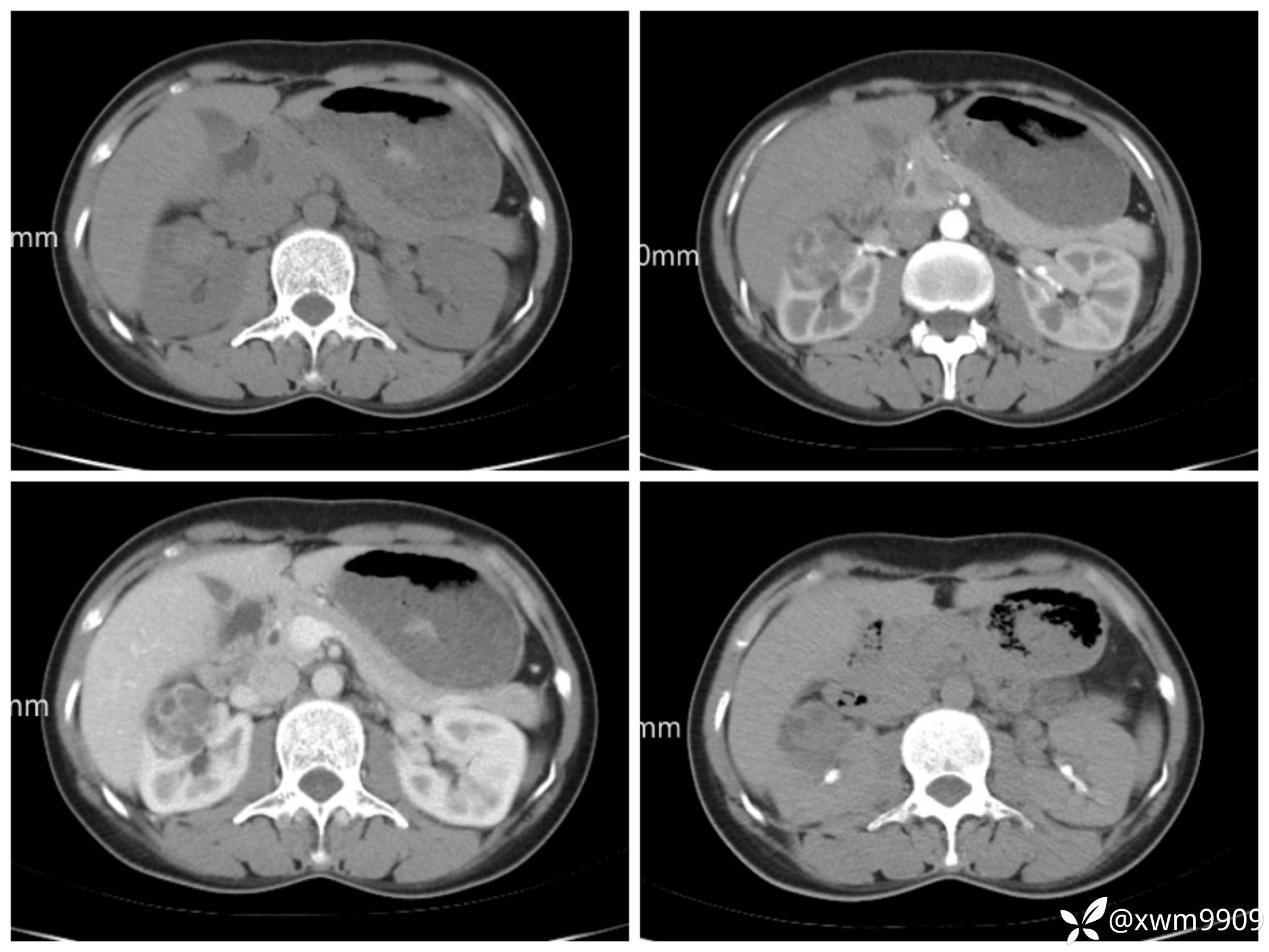
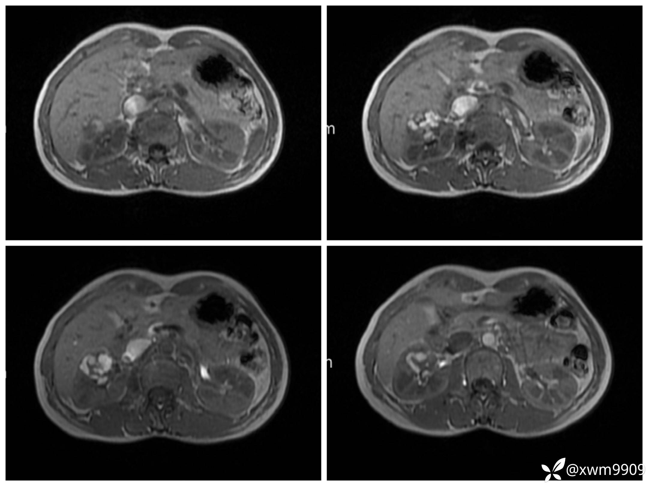
T2:

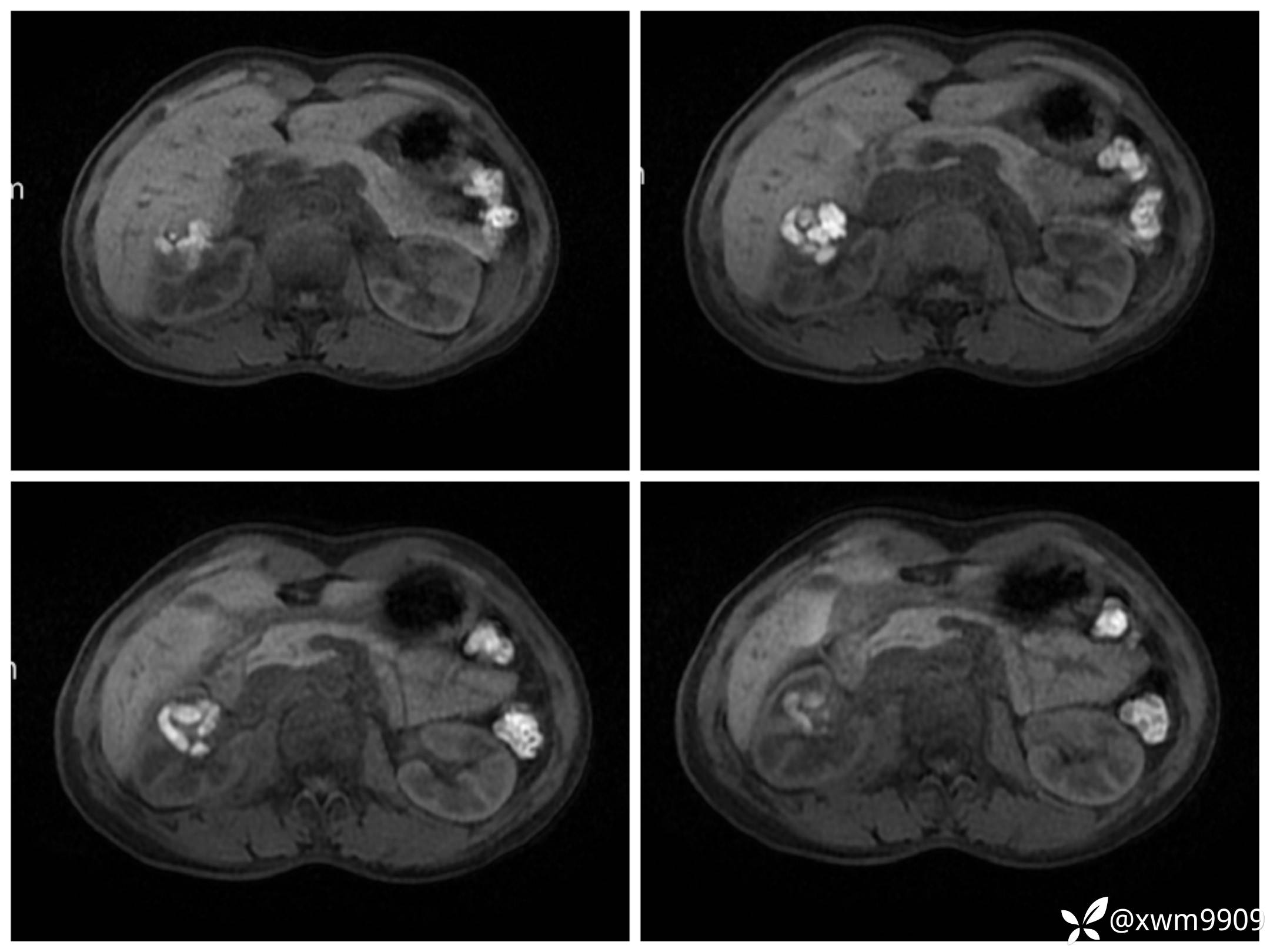
反相位:

同相位:

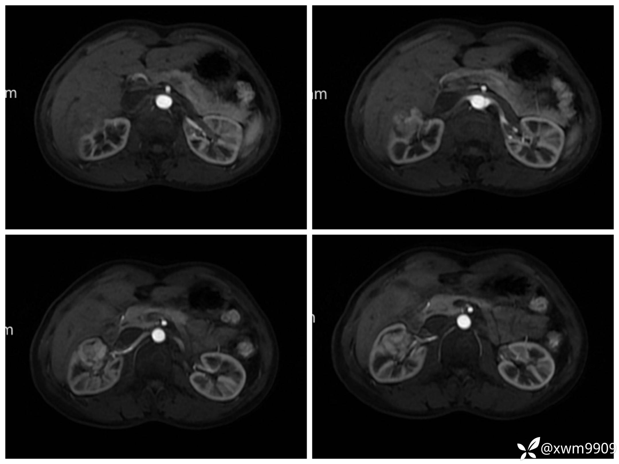
LAvA:

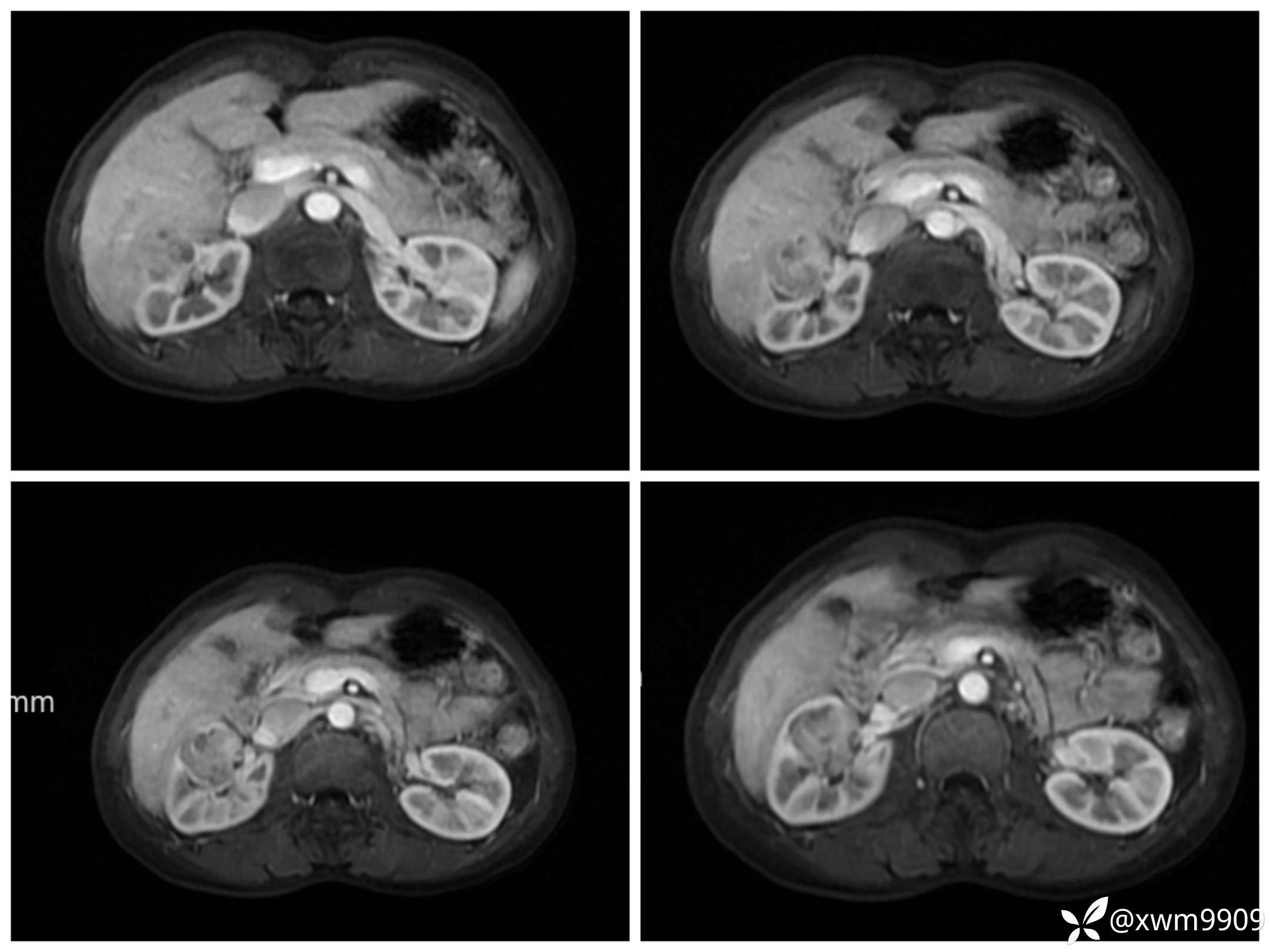
A:

v:

平衡期:

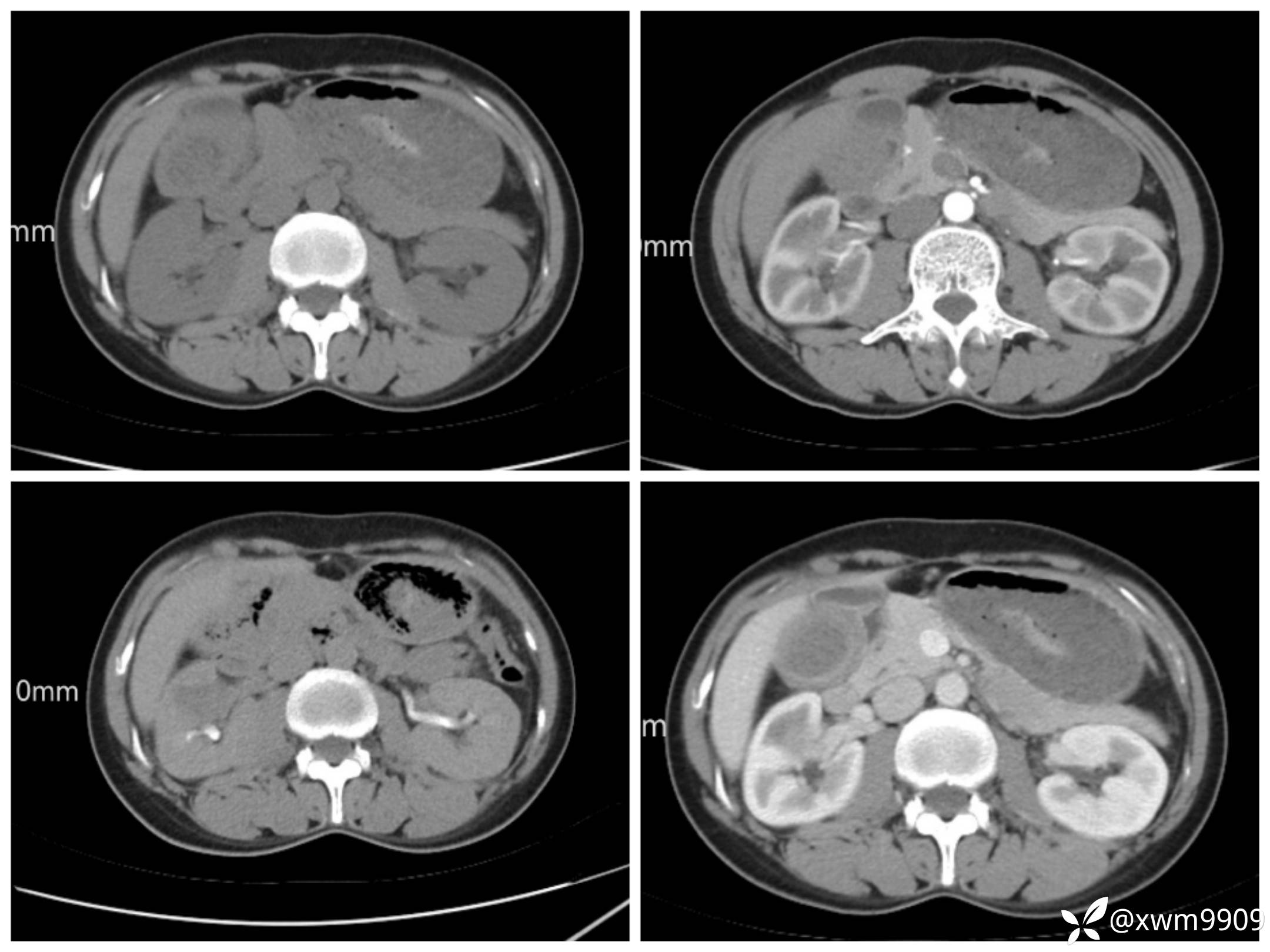
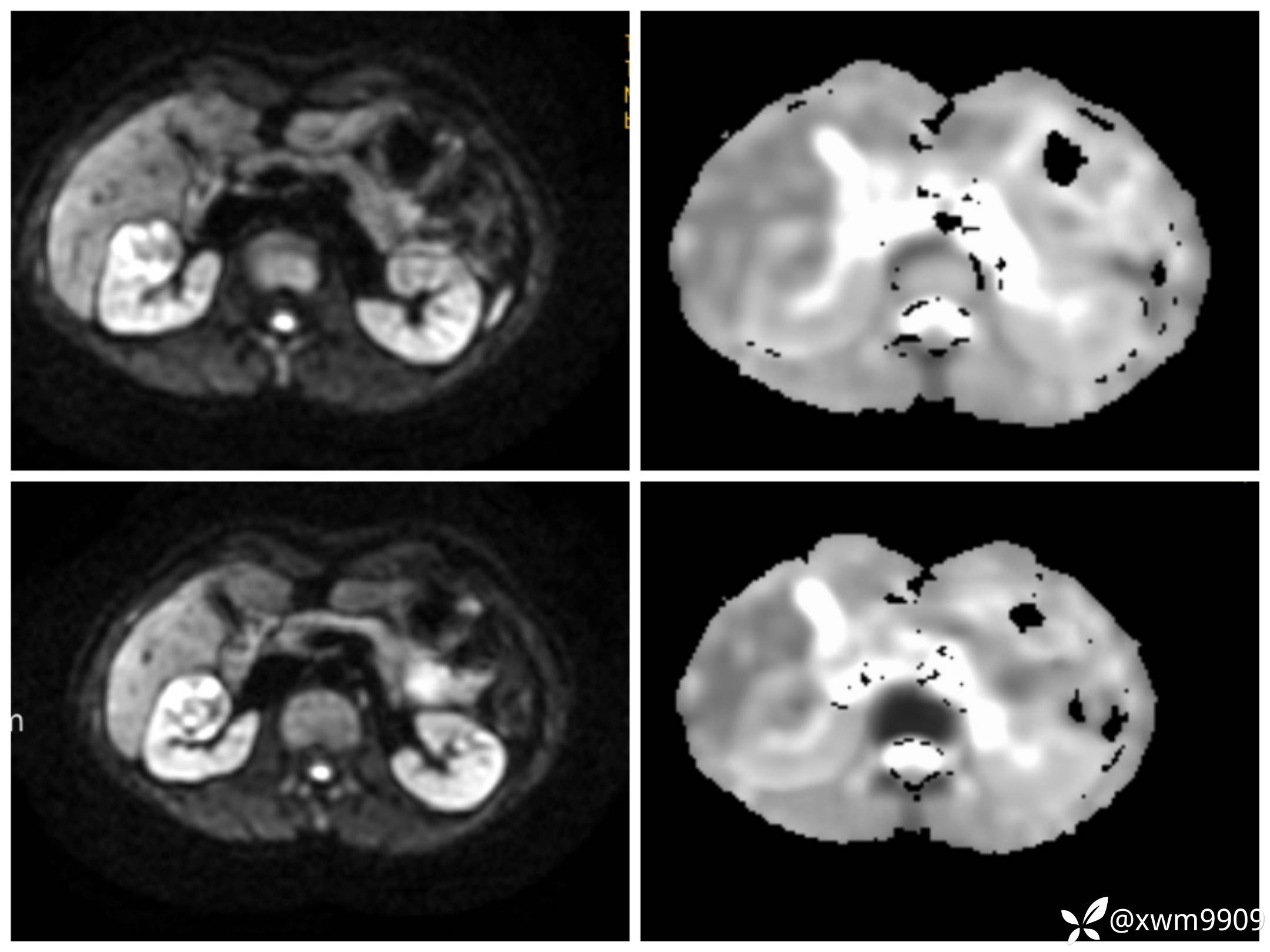
DwI丶ADC:

女性,41岁。
















































