消化系统少见病(一百三十六):胃窦占位
西兰花饺子 推荐患者男性,45岁,因上腹胀2周就诊,间断轻度上腹痛。既往史无特殊。
查体:体温正常,无黄疸,无外周淋巴结肿大。腹部无反跳痛。
辅助检查:WBC显著升高,转氨酶、胆红素、碱性磷酸酶均正常。
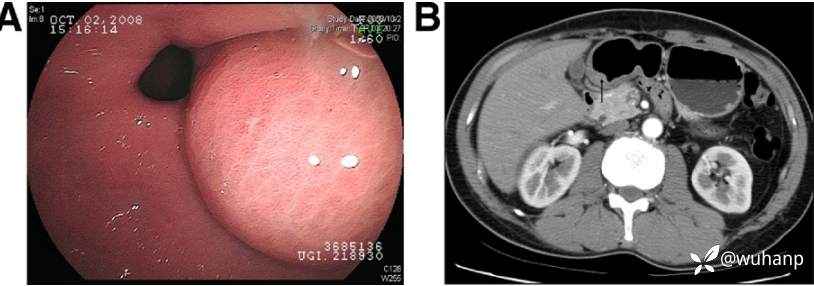
胃镜所见如下图(图A),腹部增强CT如下图(图B)。
请问:诊断是什么?
A 胃壁脓肿 B 胃囊肿 C 胃窦间质瘤 D 胃NET E 胆囊外压

(Gastro,11-Feb)
西兰花饺子 推荐患者男性,45岁,因上腹胀2周就诊,间断轻度上腹痛。既往史无特殊。
查体:体温正常,无黄疸,无外周淋巴结肿大。腹部无反跳痛。
辅助检查:WBC显著升高,转氨酶、胆红素、碱性磷酸酶均正常。
胃镜所见如下图(图A),腹部增强CT如下图(图B)。
请问:诊断是什么?
A 胃壁脓肿 B 胃囊肿 C 胃窦间质瘤 D 胃NET E 胆囊外压

(Gastro,11-Feb)
