新手的100个问题
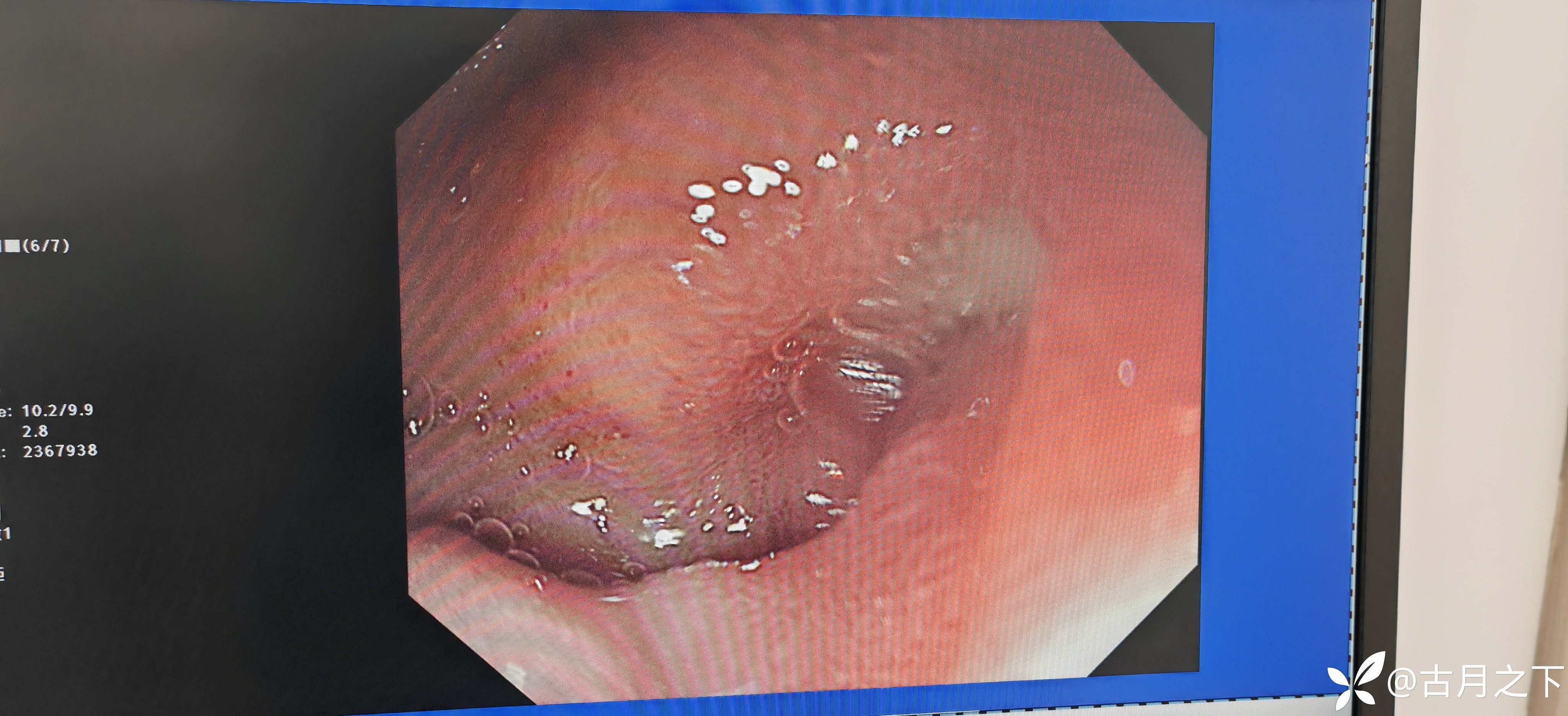
病人十二指肠球部溃疡,球部水肿,变形,狭窄。有些老师说就不要继续进降部了,以免出血。也有些老师说尽量直视下进降部。这个如何把握?
另外就是胃多发息肉,门诊检查患者,一一钳除不可能。如何选择活检?风险高的,大的活检,还是不活检建议直接住院治疗?
二图是个增生性息肉吧?(患者有长期间断口服奥美拉唑的病史)


病人十二指肠球部溃疡,球部水肿,变形,狭窄。有些老师说就不要继续进降部了,以免出血。也有些老师说尽量直视下进降部。这个如何把握?
另外就是胃多发息肉,门诊检查患者,一一钳除不可能。如何选择活检?风险高的,大的活检,还是不活检建议直接住院治疗?
二图是个增生性息肉吧?(患者有长期间断口服奥美拉唑的病史)


