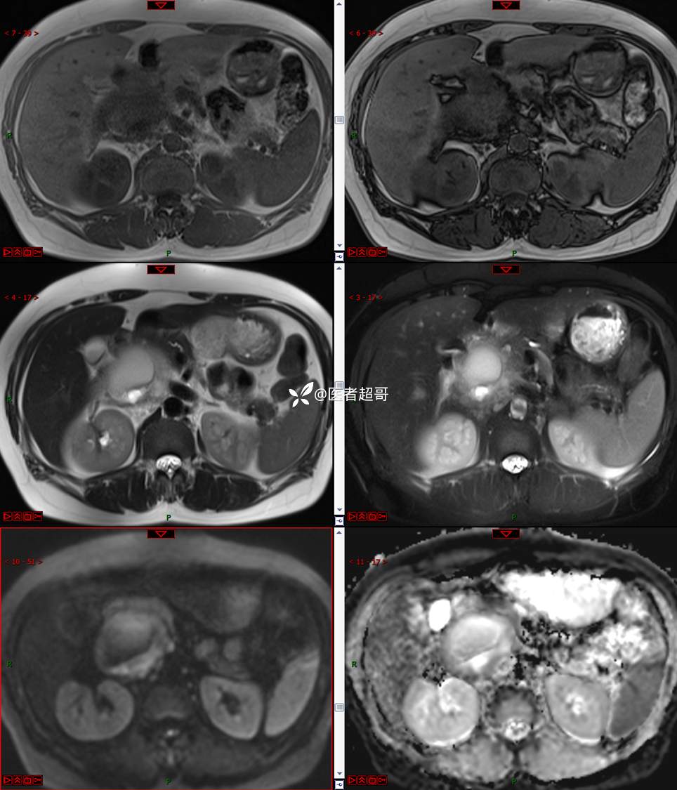
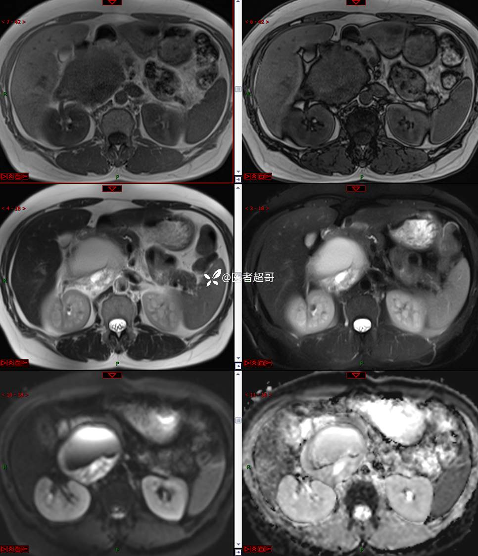
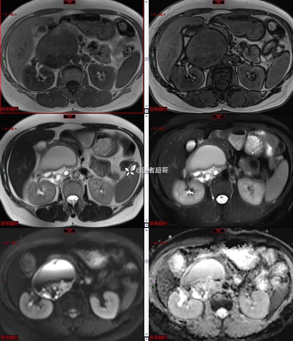
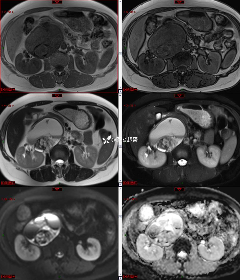
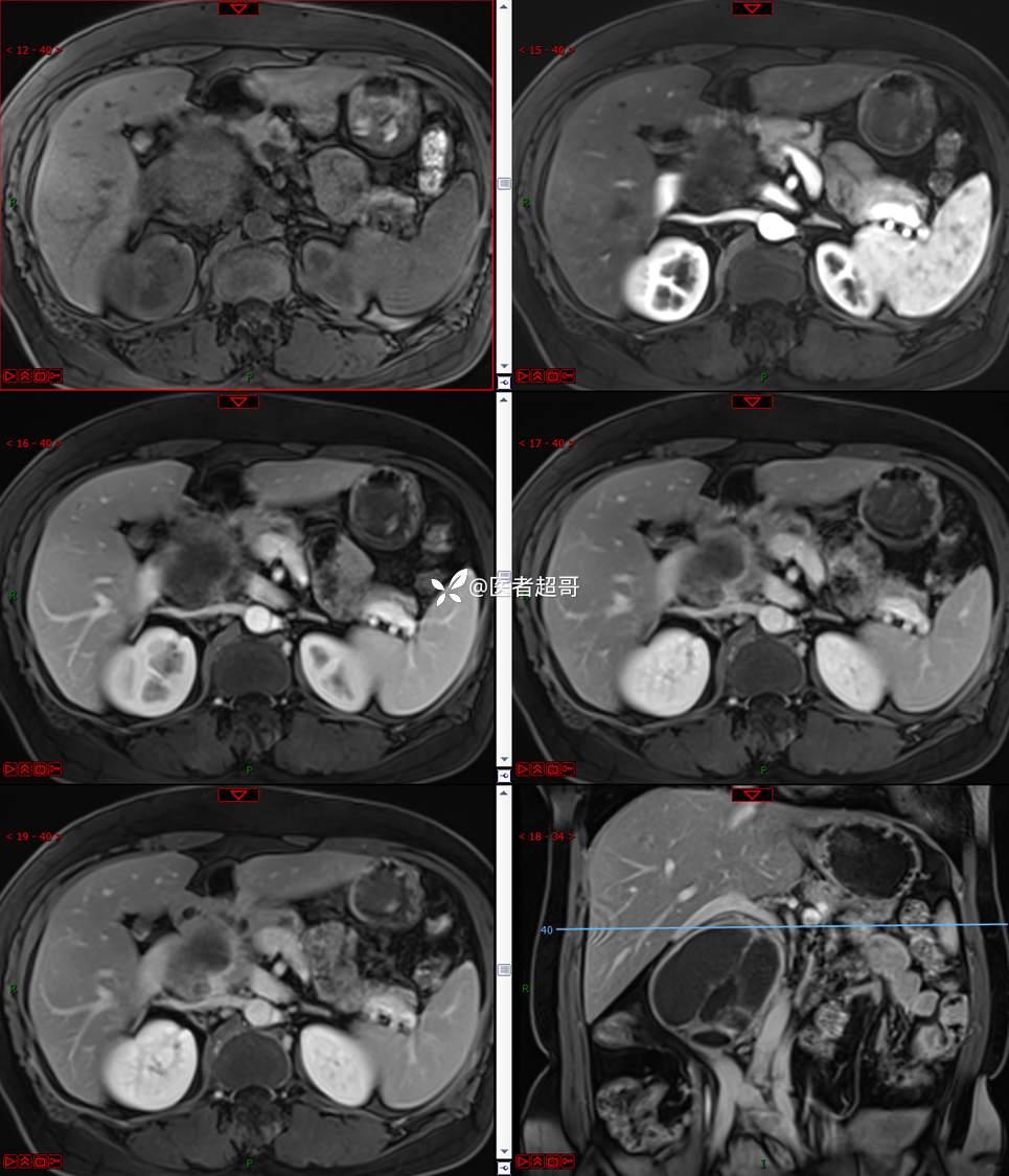
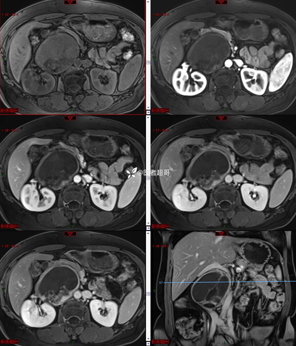
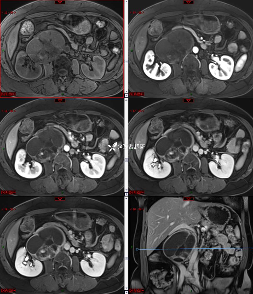
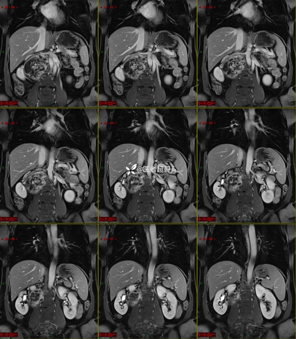
【影诊笔记671】定位有难度,究竟是腹腔内or腹膜后,请先定位,再定性!有结果~~~
hyy838 推荐女,52岁
主诉:查体发现腹部肿物1周。
现病史:患者1周前于我院查体发现右侧腹部肿物,无腹痛、腹泻、便血,无恶心、呕吐,患者为求进一步治疗,遂就诊于我院,门诊以“腹部肿物”收入院。患者自患病以来睡眠可,精神可,饮食可,小便无明显异常,体重无明显变化。
专科检查:腹部平坦,腹肌软,无压痛及反跳痛,无包块,肝脾无肿大,Murphy征阴性,腹部叩鼓,肝脾双肾无叩痛,移动性浊音阴性,肠鸣音正常。我院 肝胆胰脾肾彩超提示:脂肪肝、腹腔内囊实性团块,建议进一步检查。




























































