dxy logo
首页丁香园病例库全部版块
搜索
登录

病例男性腹腔内一条形似肠管的病变,是什么?

影像核医学版版主 · 发布于 2024-06-04 · IP 广东广东
2351 浏览
推荐、达人点赞 2 项荣誉
这个帖子发布于 1 年零 172 天前,其中的信息可能已发生改变或有所发展。

病例信息

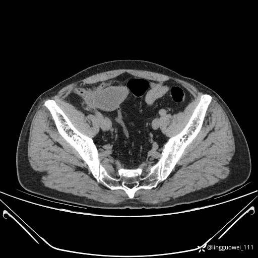
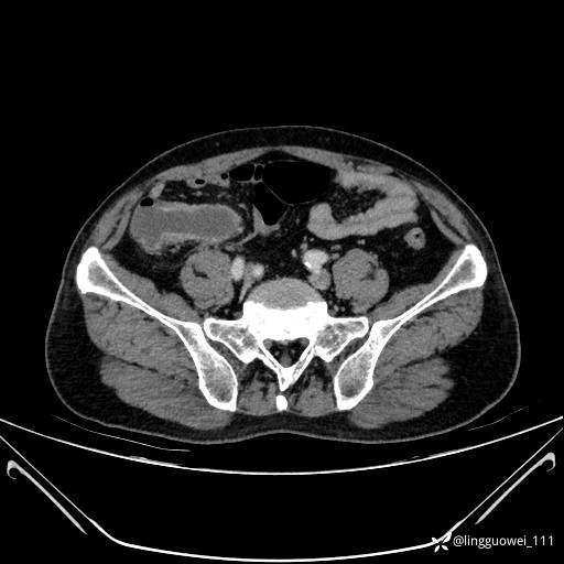
62岁,男,2天前无明显诱因出现下腹部疼痛不适,呈持续性,程度稍剧,同时伴有尿频、尿急及尿不尽感,无畏寒、发热。

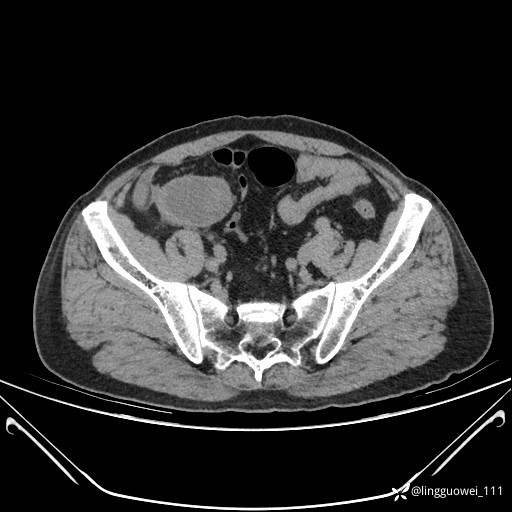
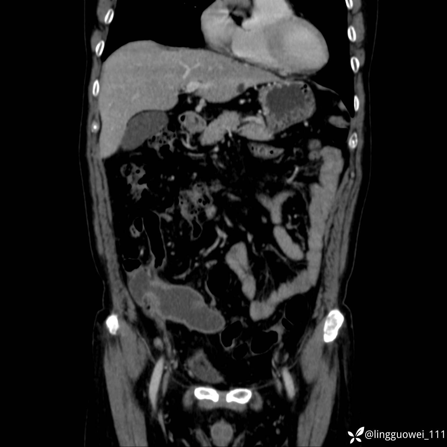
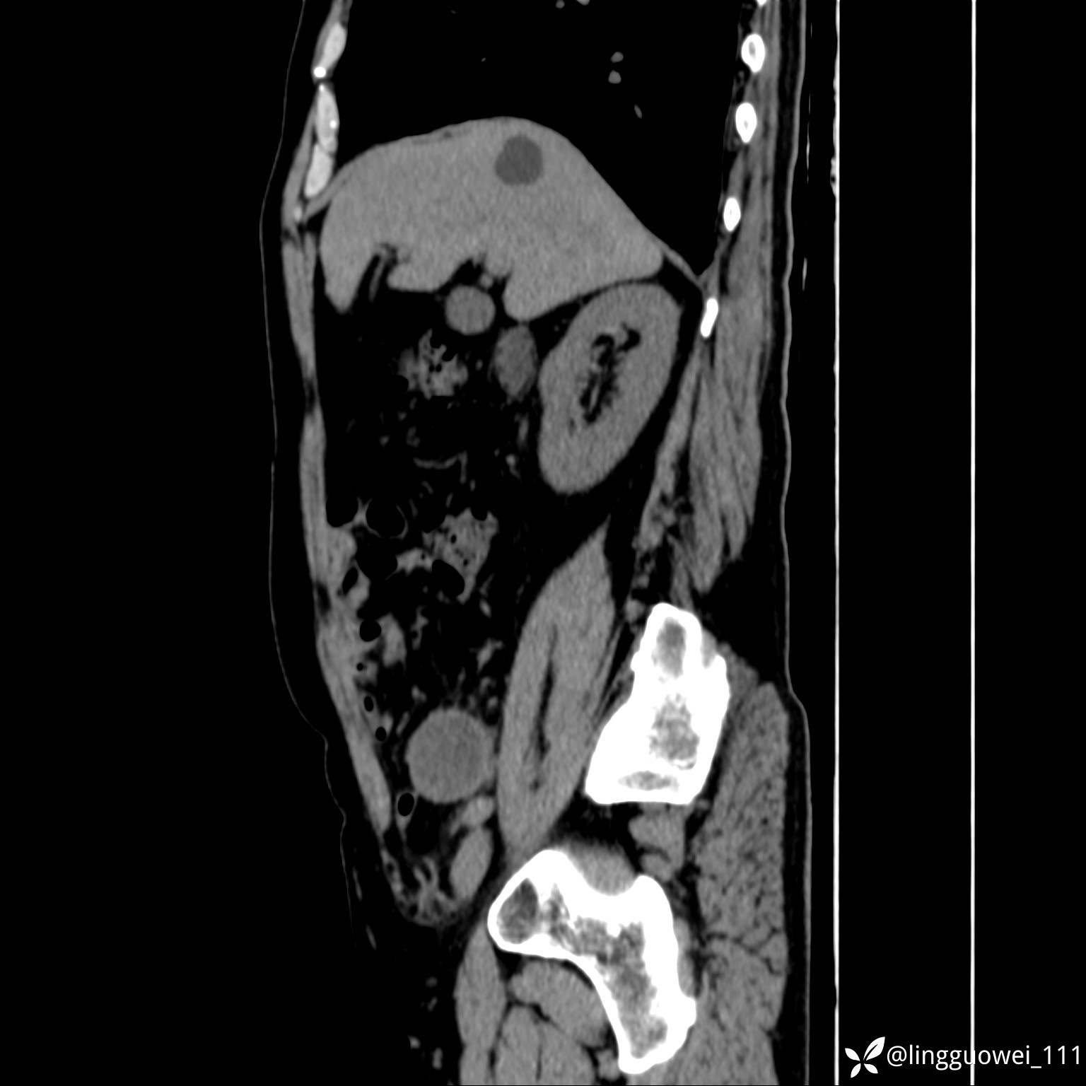
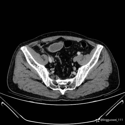
平扫:

img
img
img
img
img

增强动脉期:

img
img
img

静脉期:

img
img
img
img
img
img
img
img
img
img
img
该帖还没有疾病标签去添加
21 4 46
同行评议(0)
已评议
不开通精选
开通精选
精选已授权,待上线
评议结果暂未公布
参与评议
去邀请
NaN
病例完整NaN
临床实用NaN
诊疗科学NaN
学术价值NaN

全部讨论(0)

默认最新
avatar
21
分享帖子
share-weibo分享到微博
share-weibo分享到微信
认证
返回顶部