dxy logo
首页丁香园病例库全部版块
搜索
登录

求助(手术结果已出、病史已补充):寻找后纵隔、腹膜后、腹腔内这些气体的来源?

CT室医师 · 发布于 2023-10-31 · IP 安徽安徽
716 浏览
这个帖子发布于 2 年零 24 天前,其中的信息可能已发生改变或有所发展。

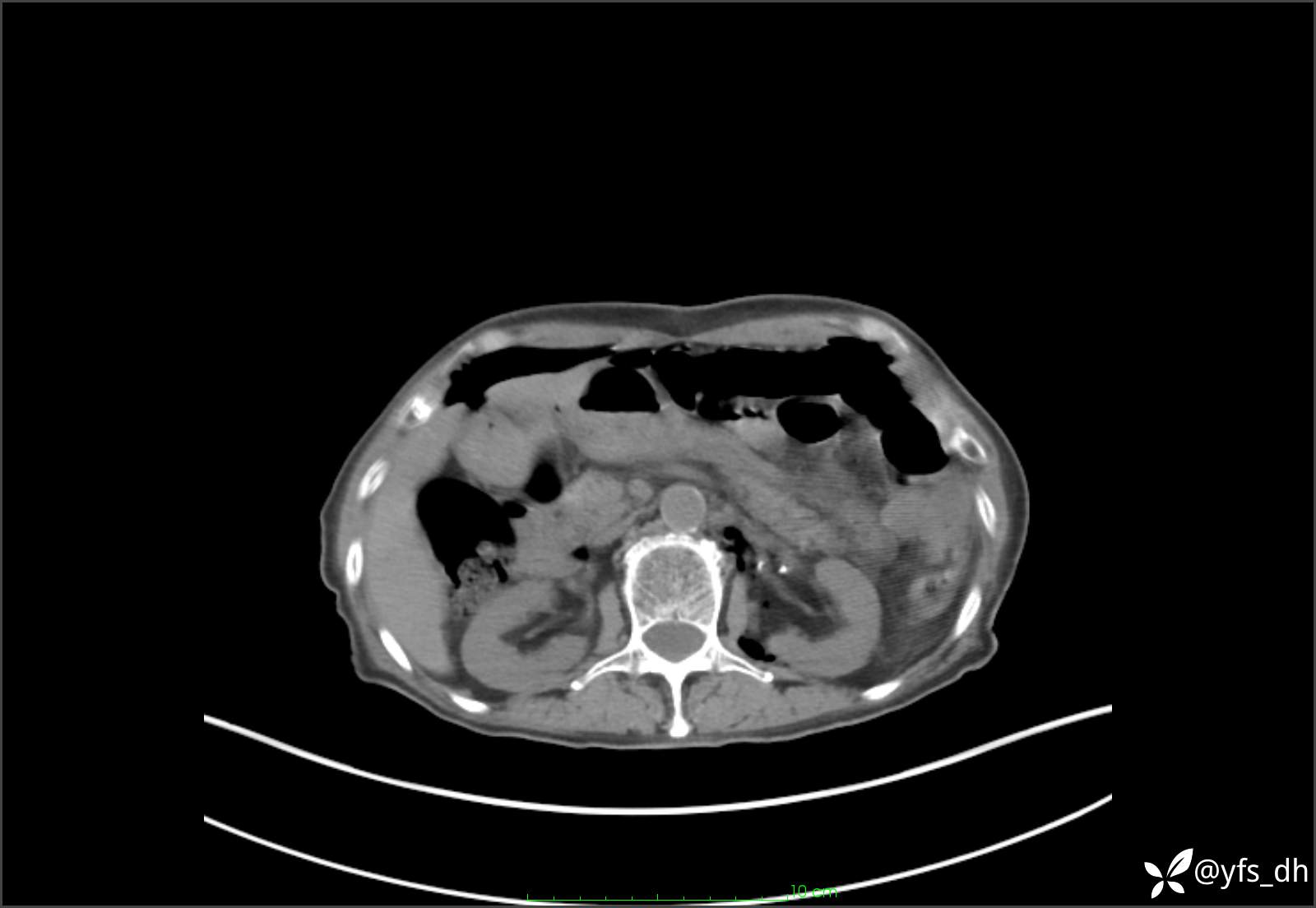
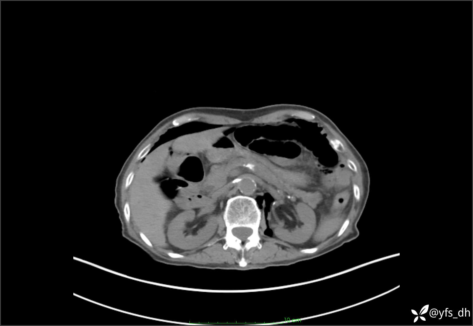
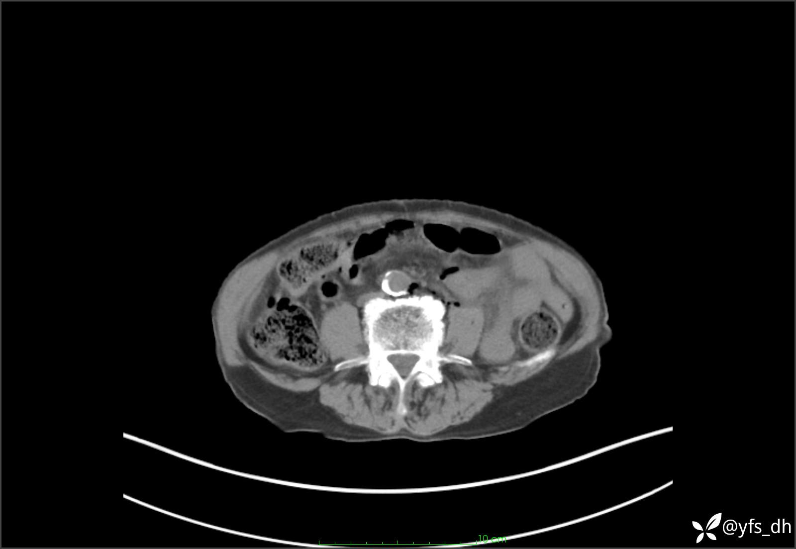
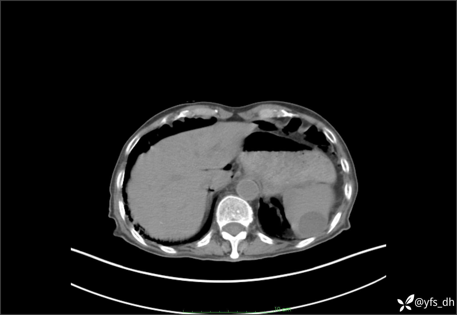
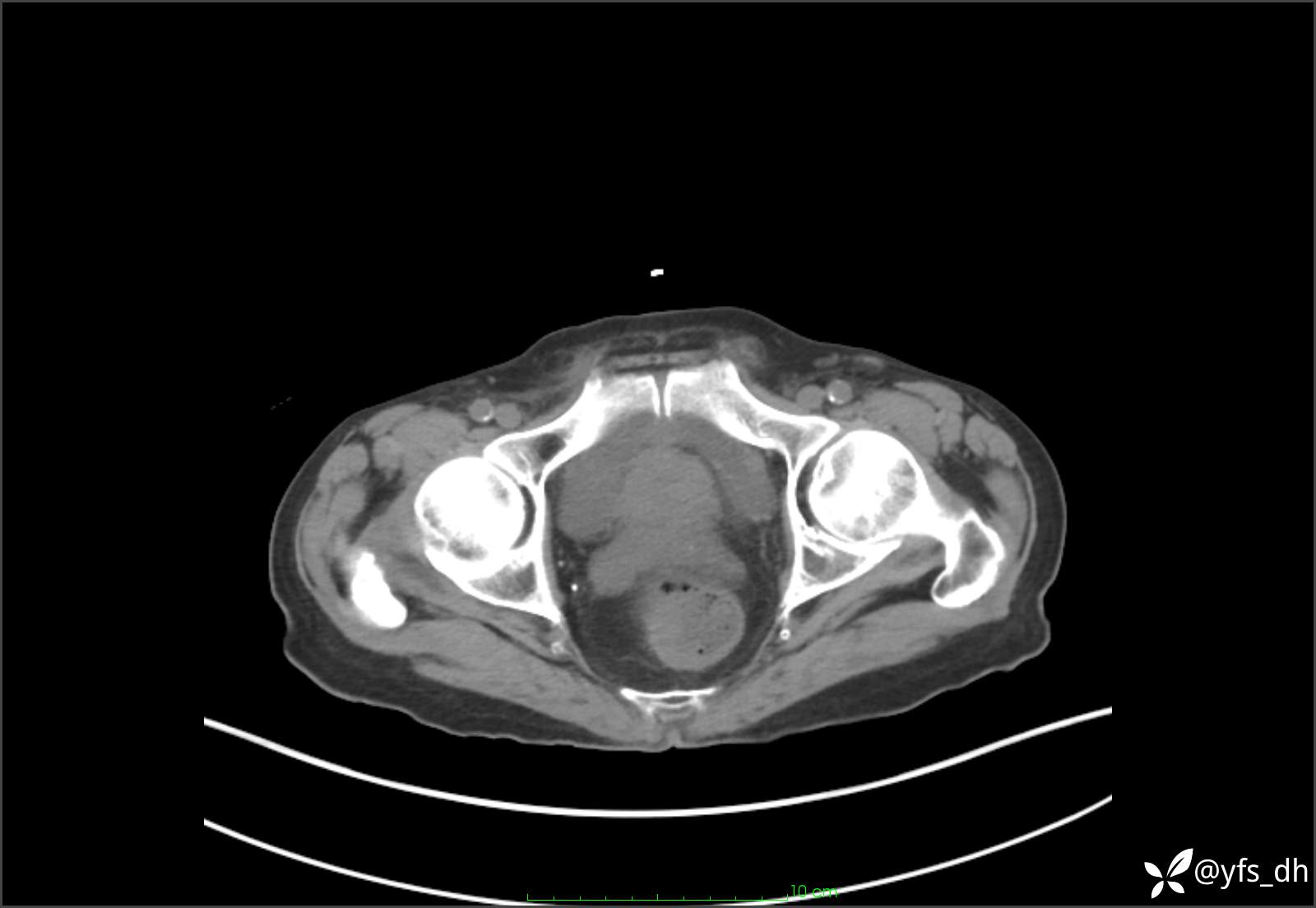
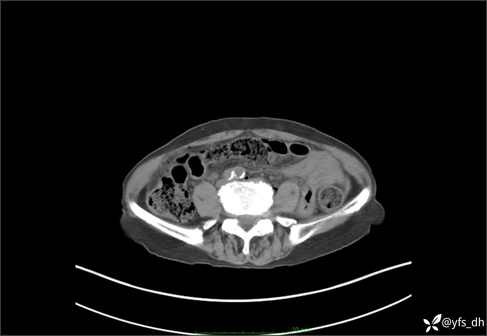
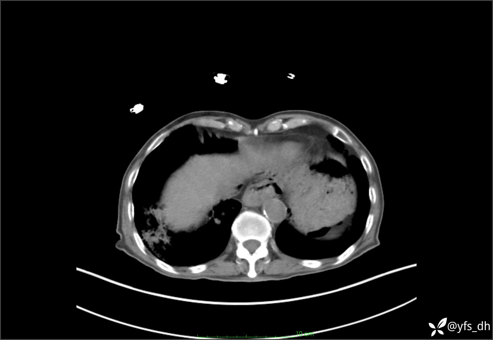
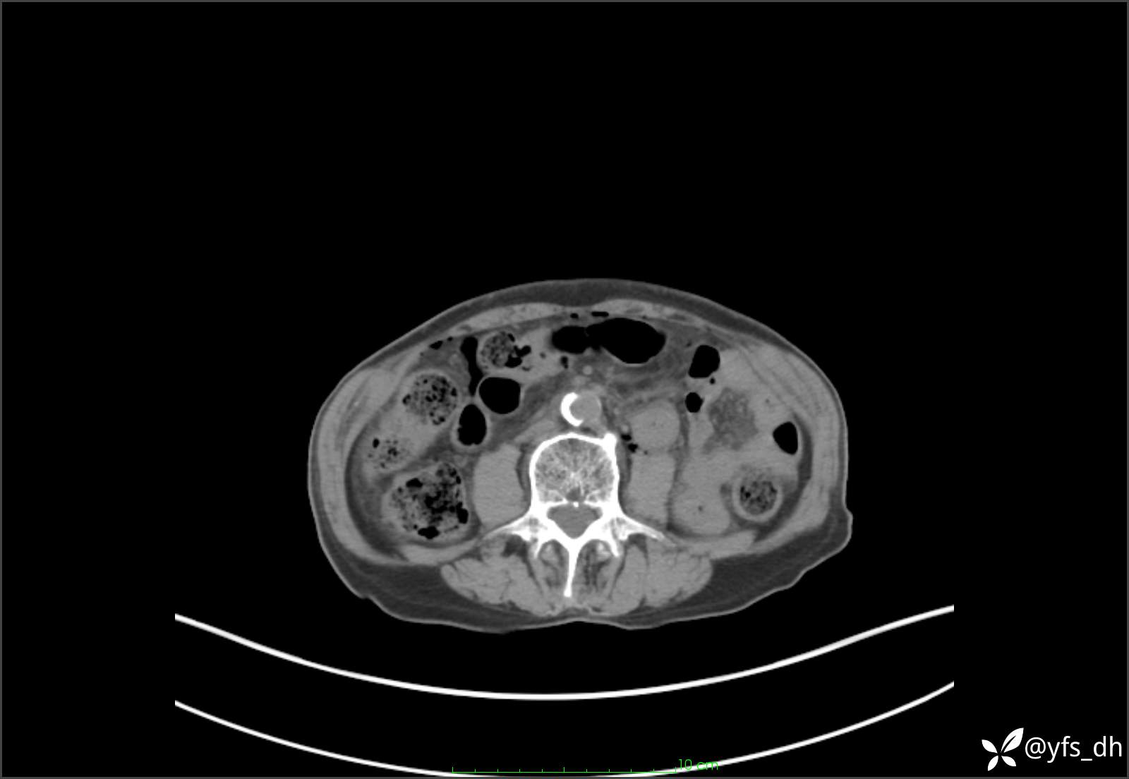
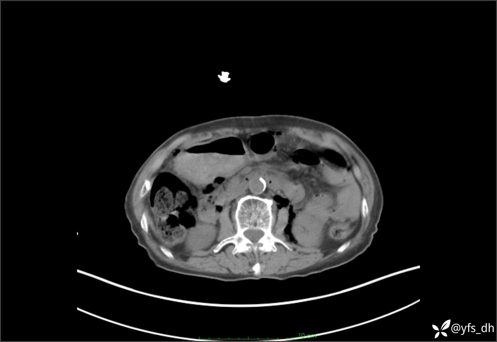
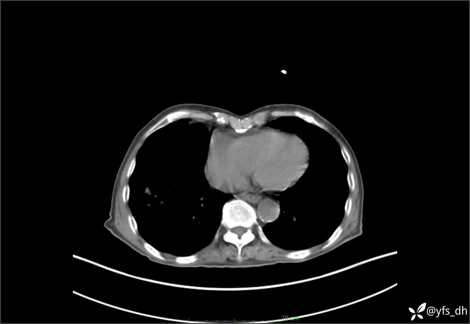
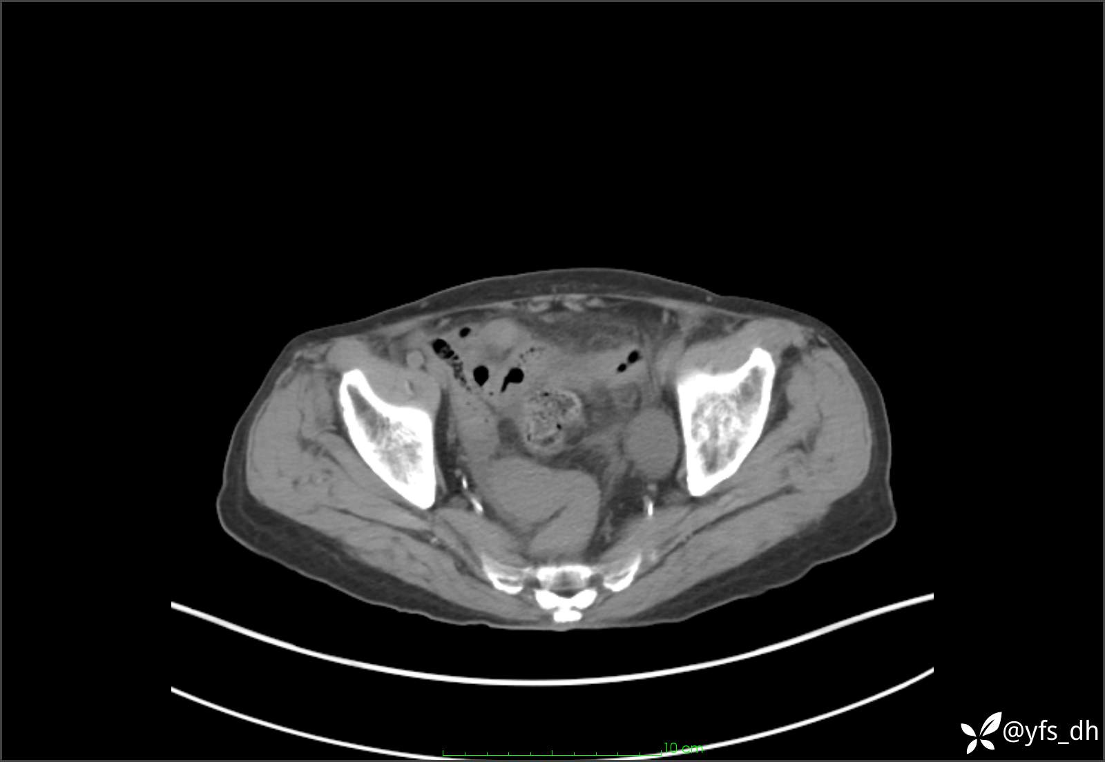
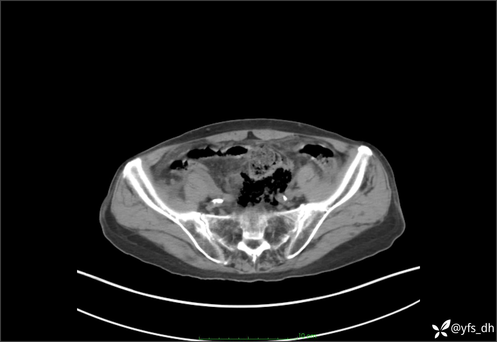
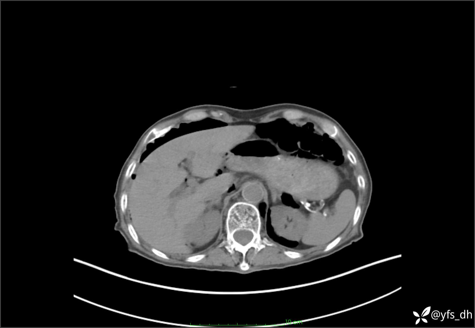
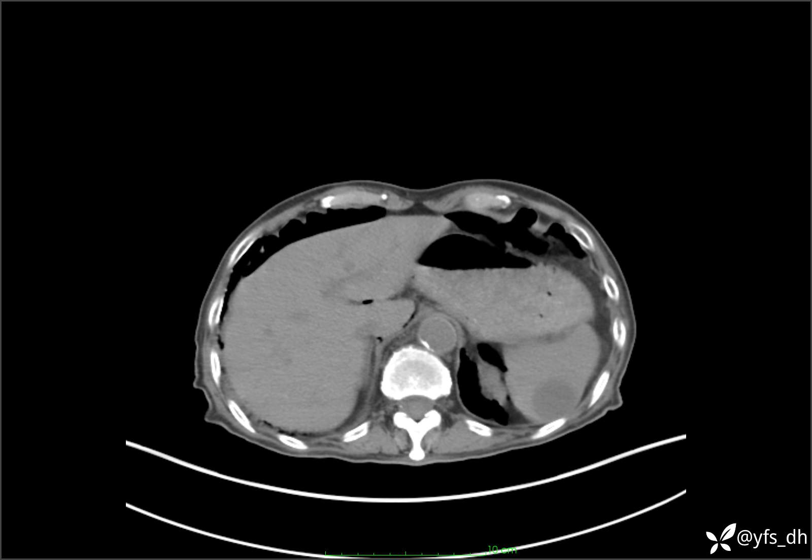
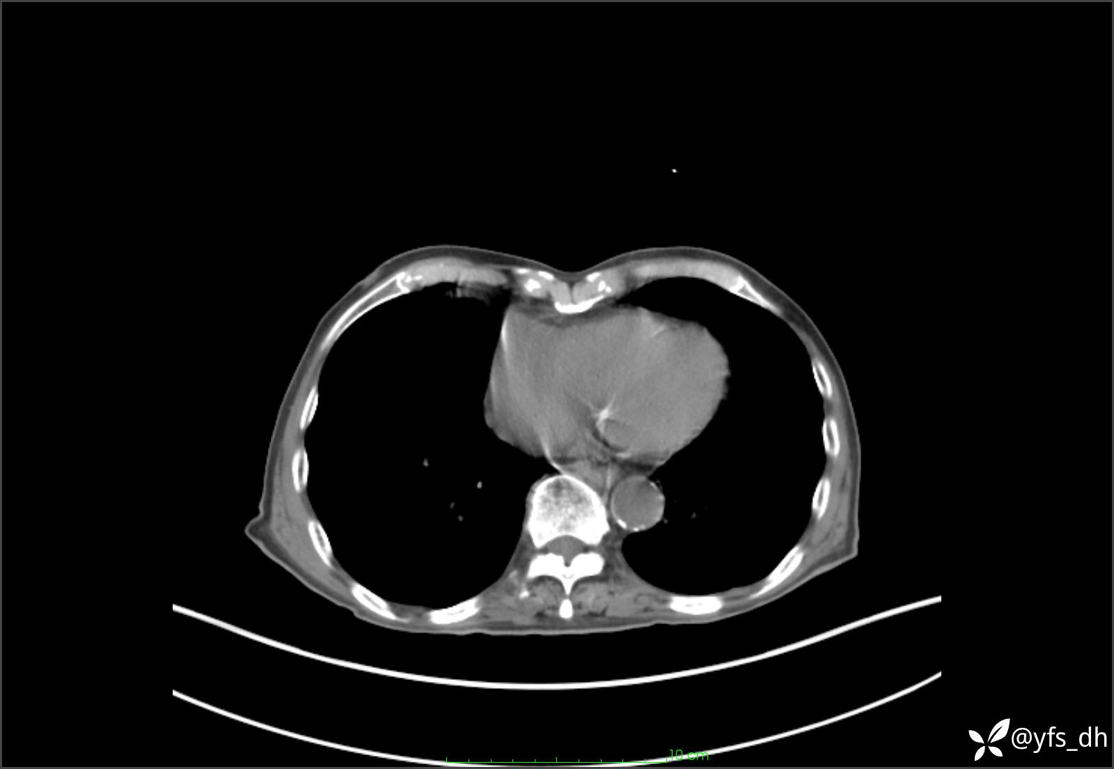
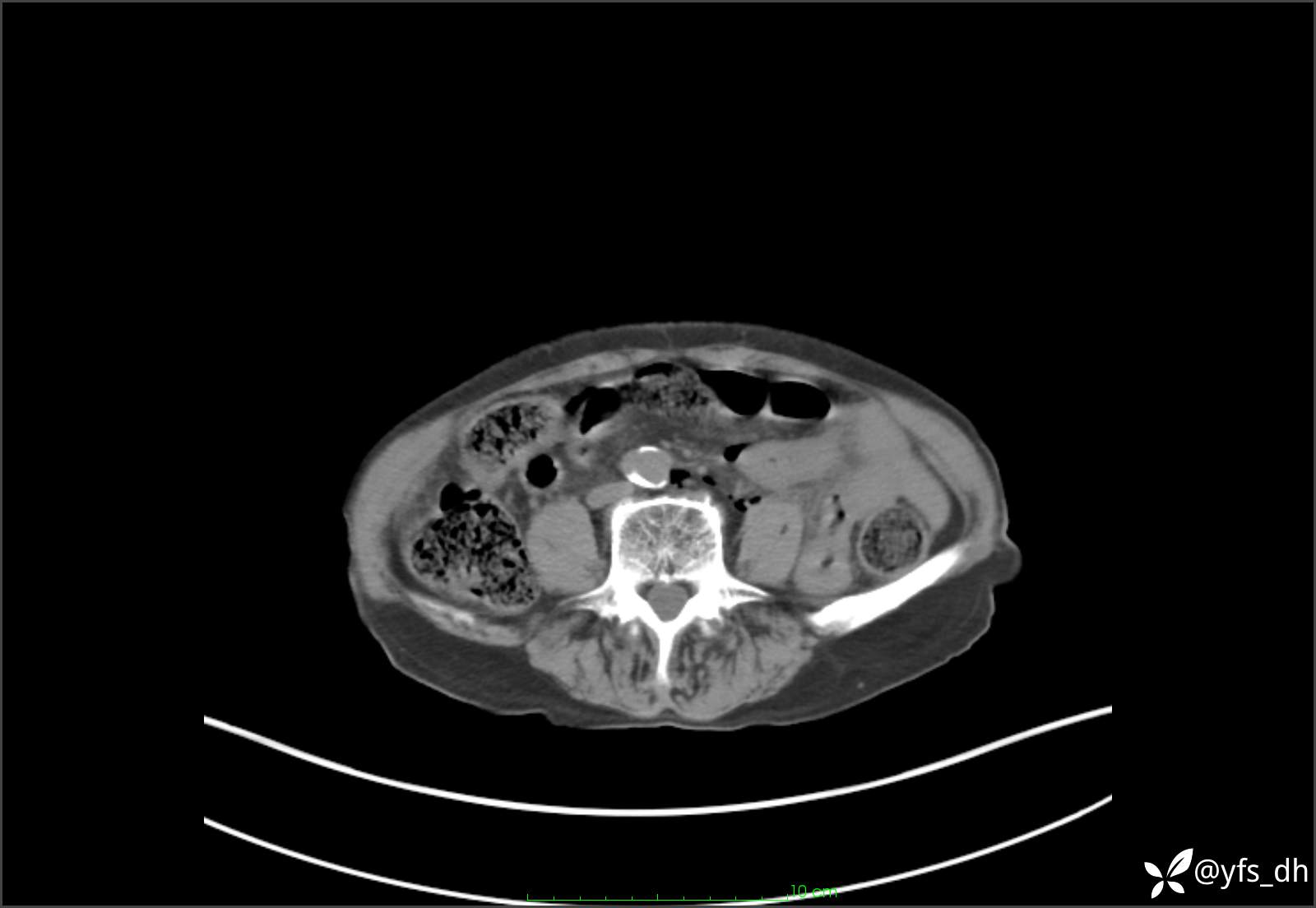
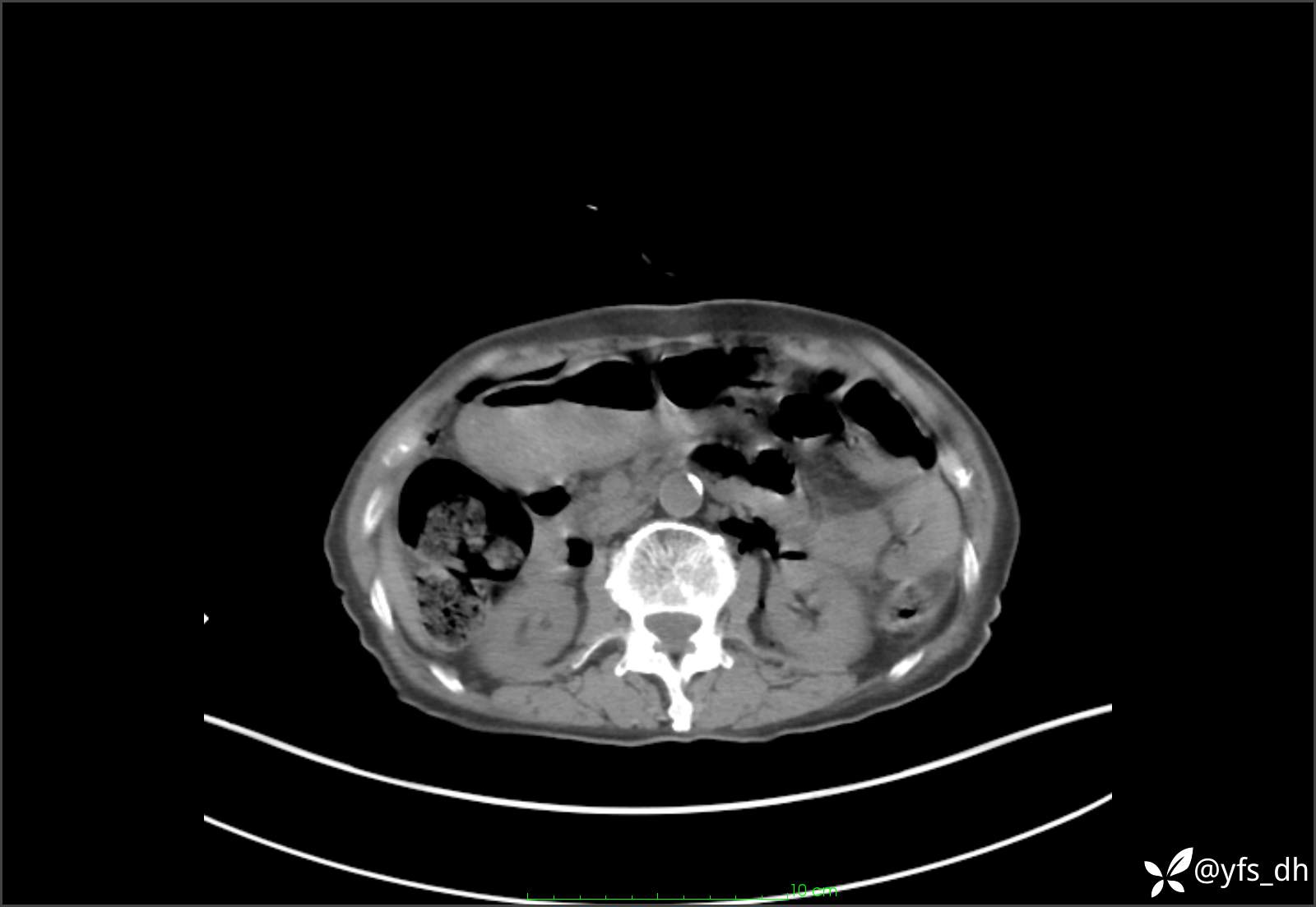
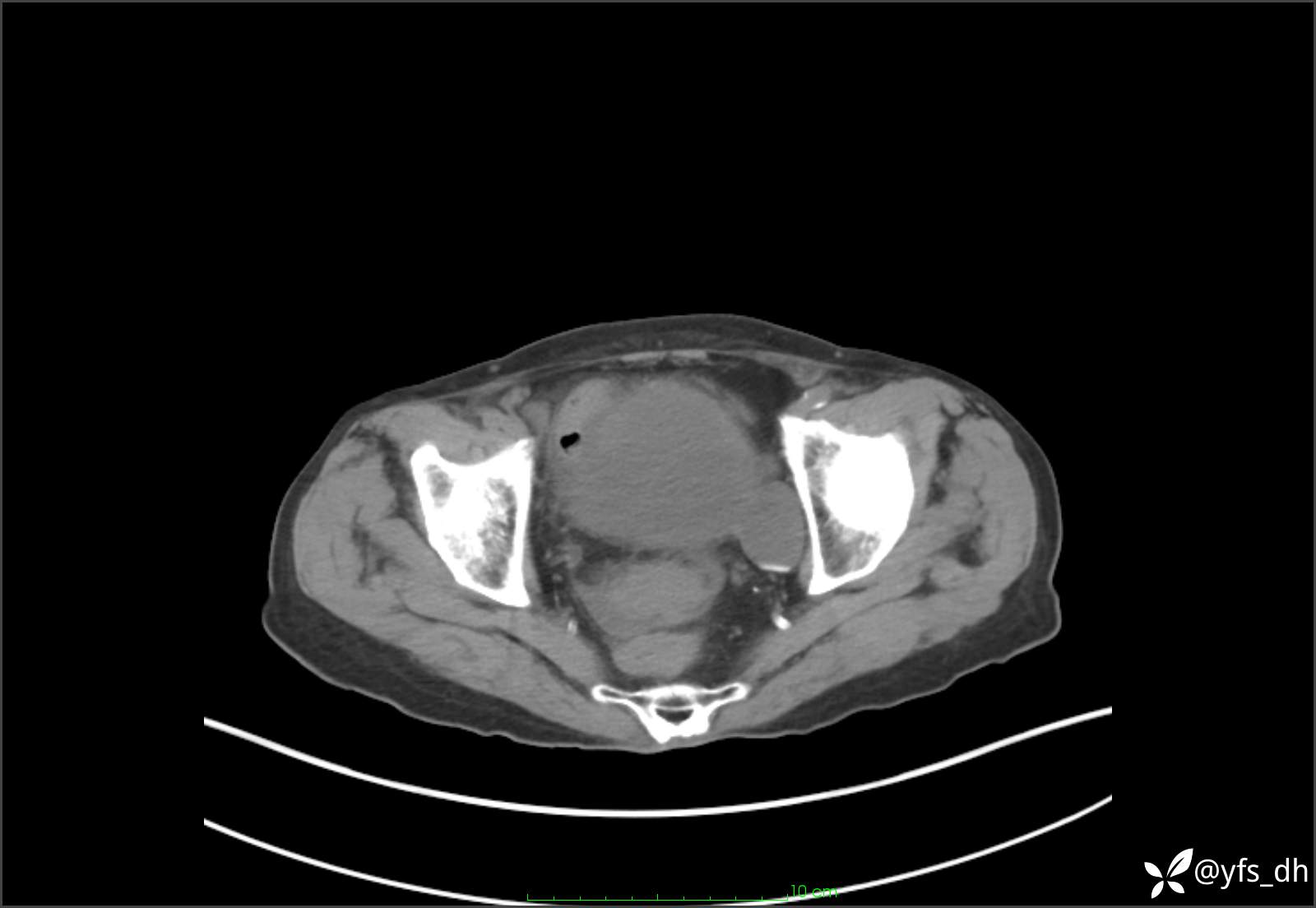
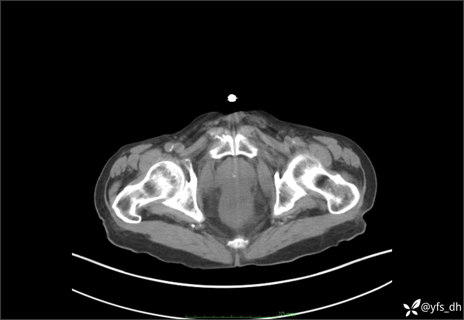
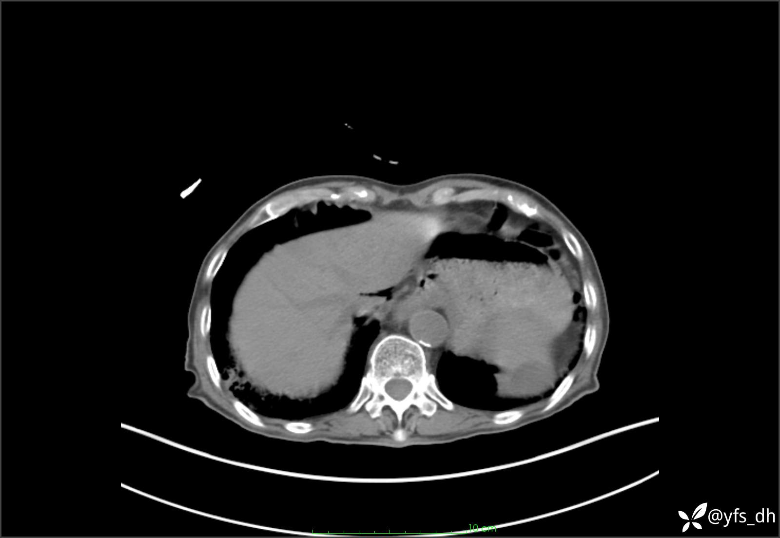
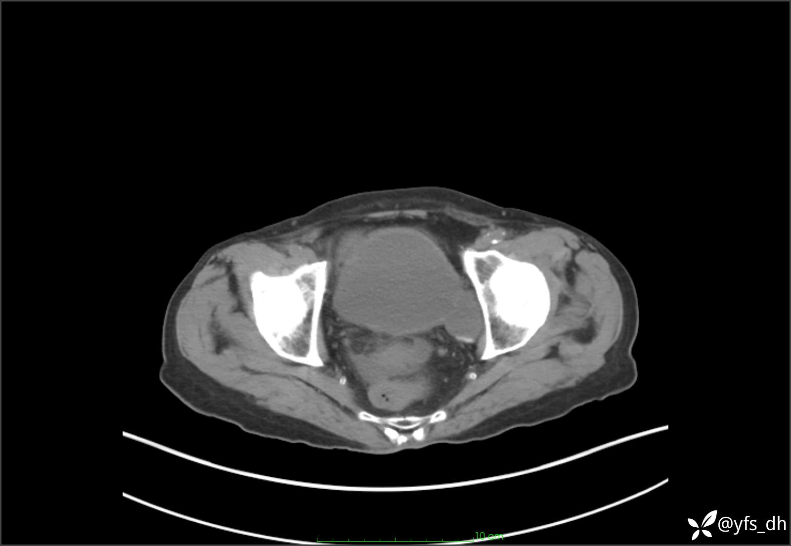
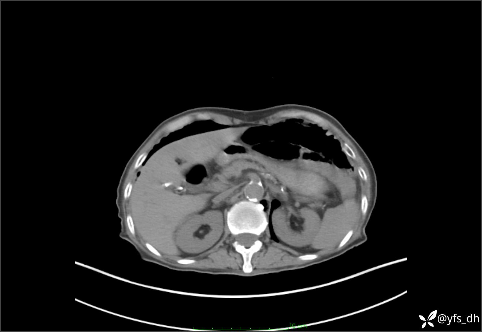
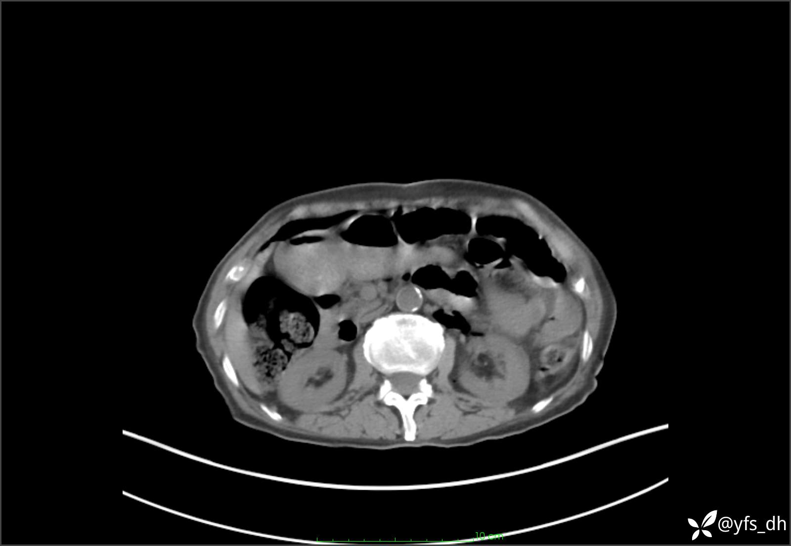
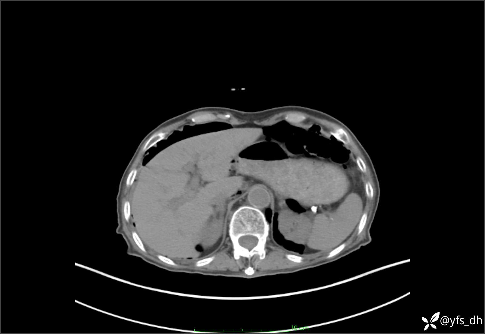
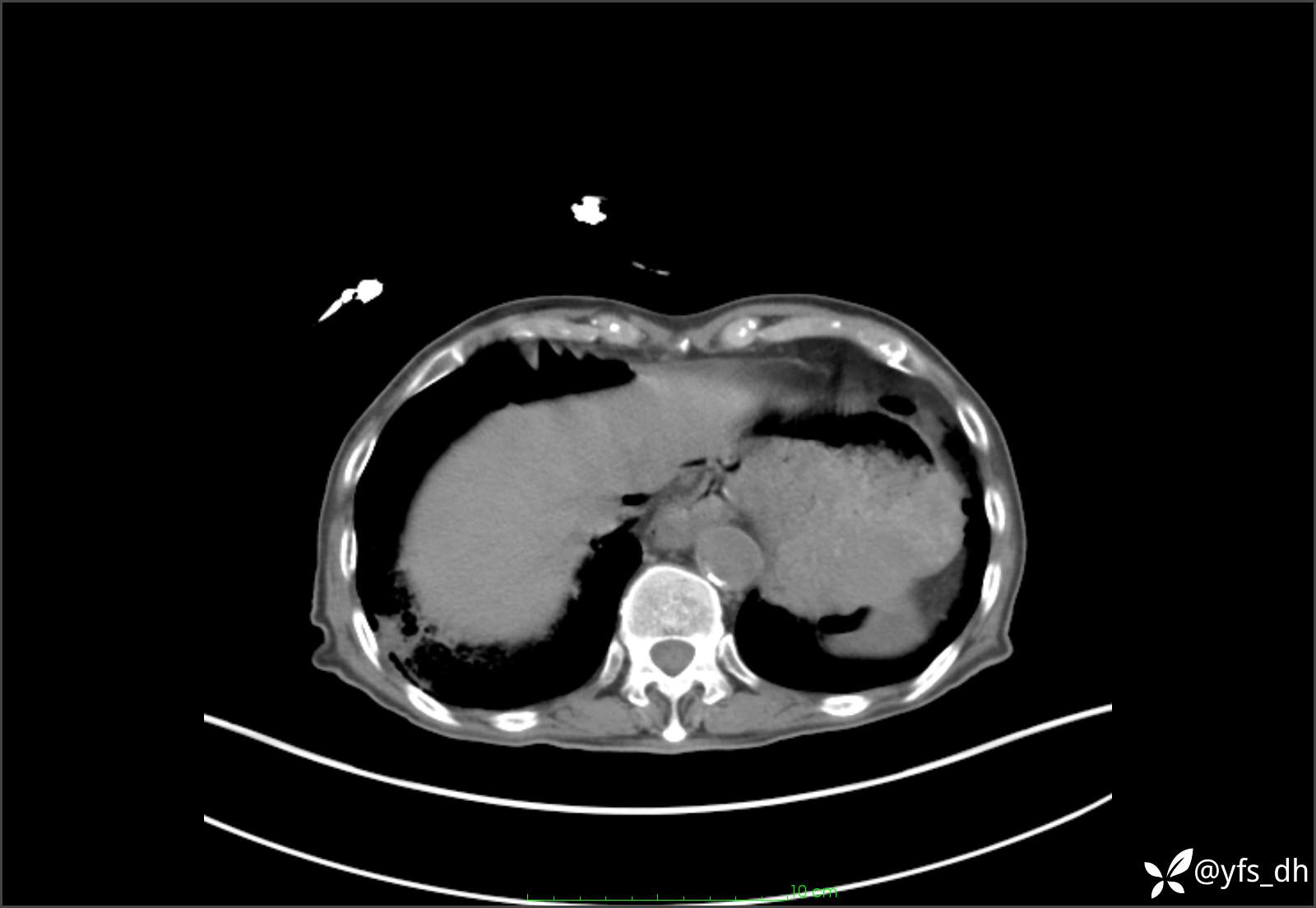
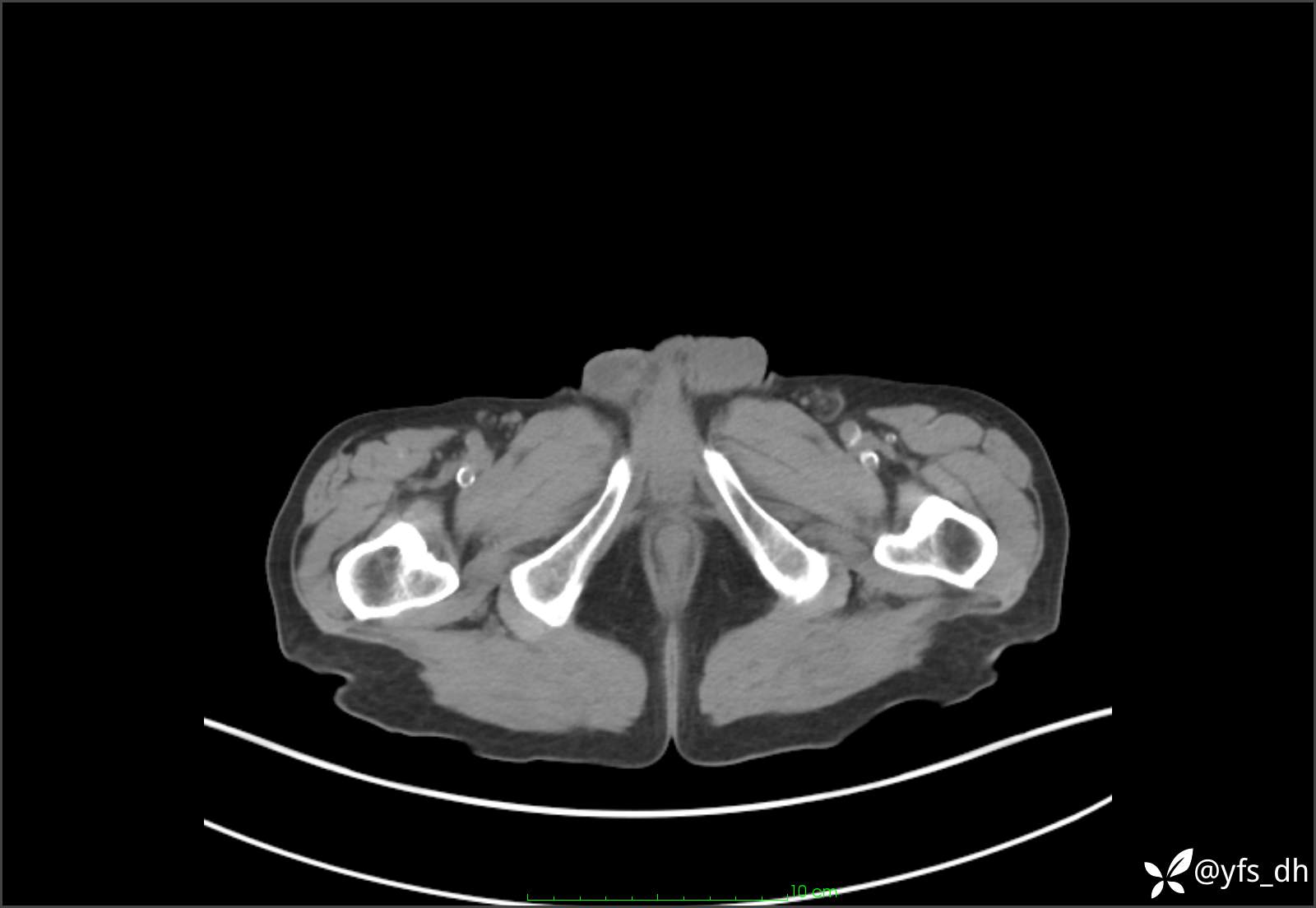
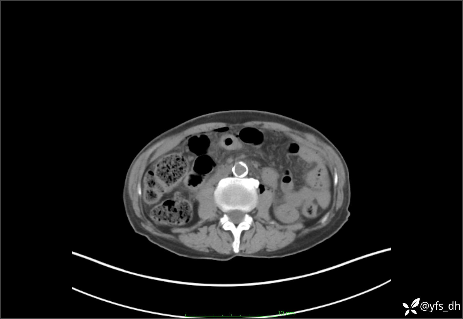
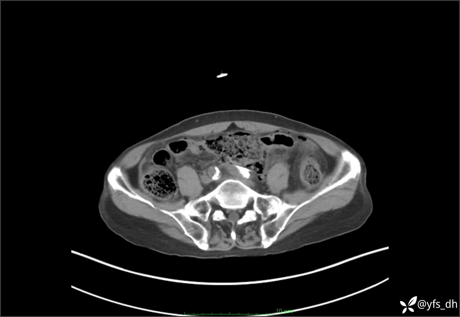
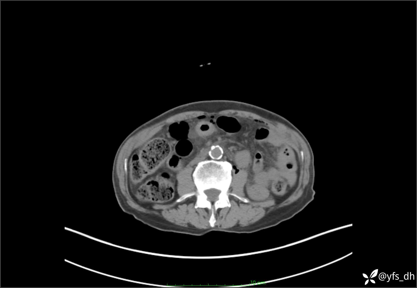
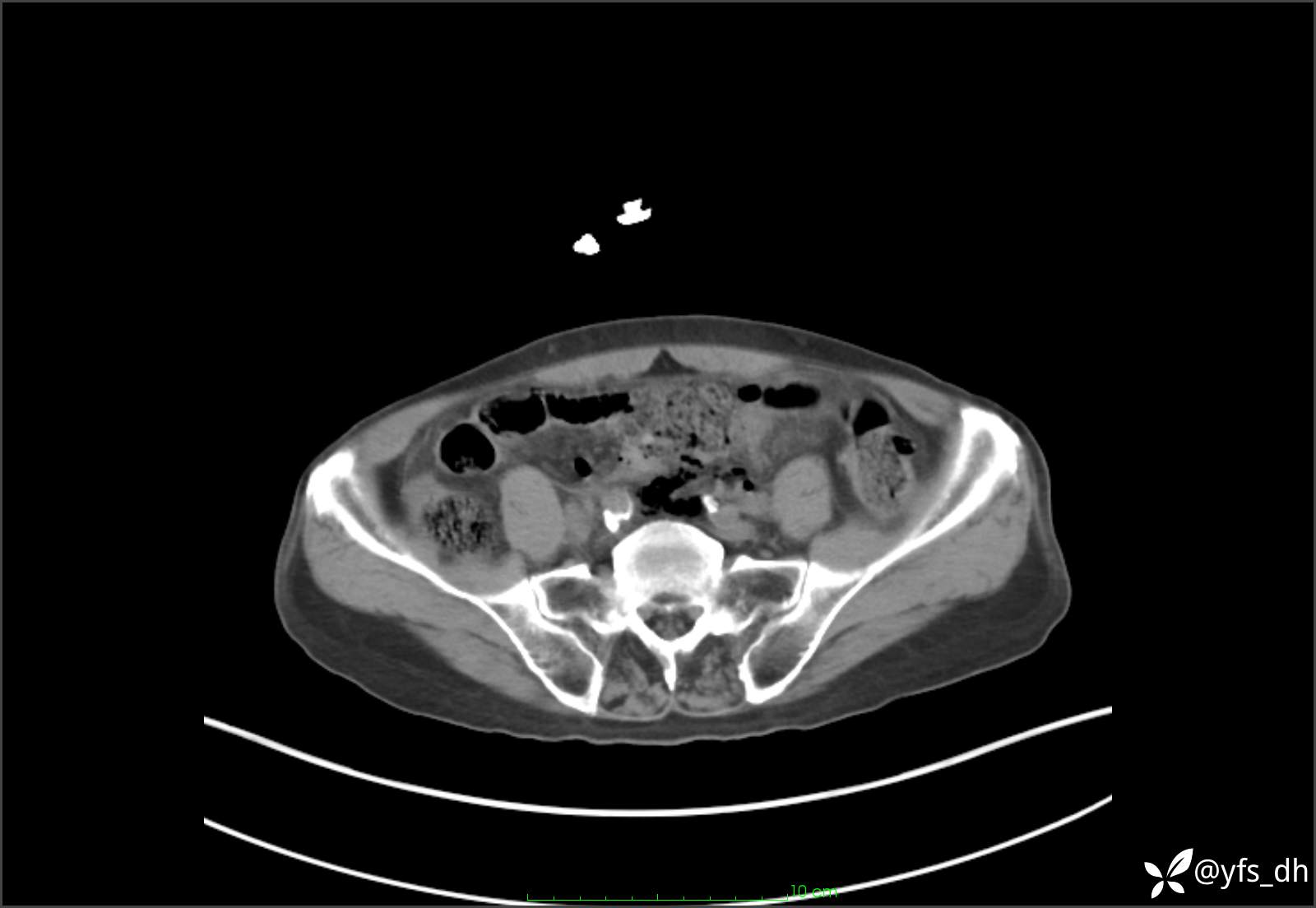
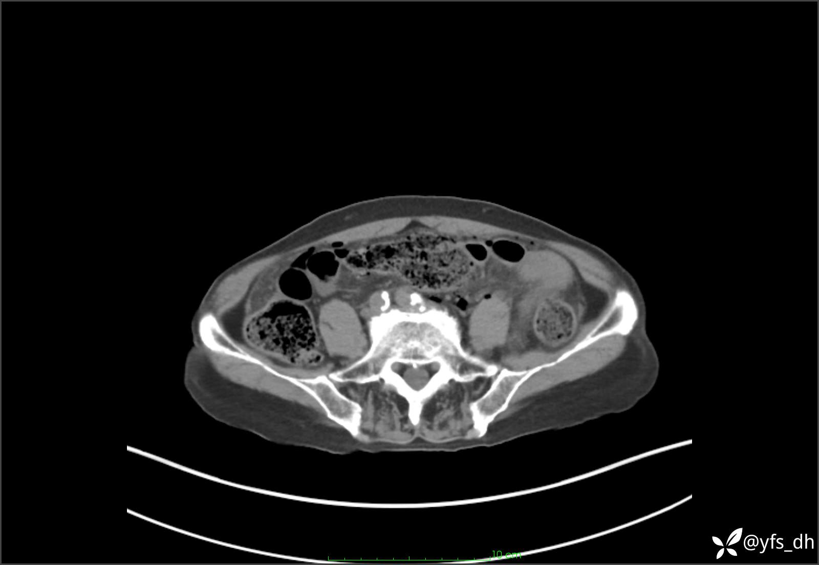
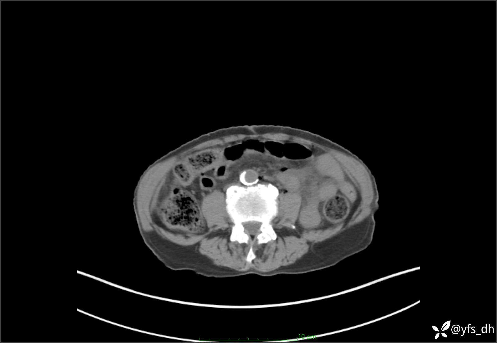
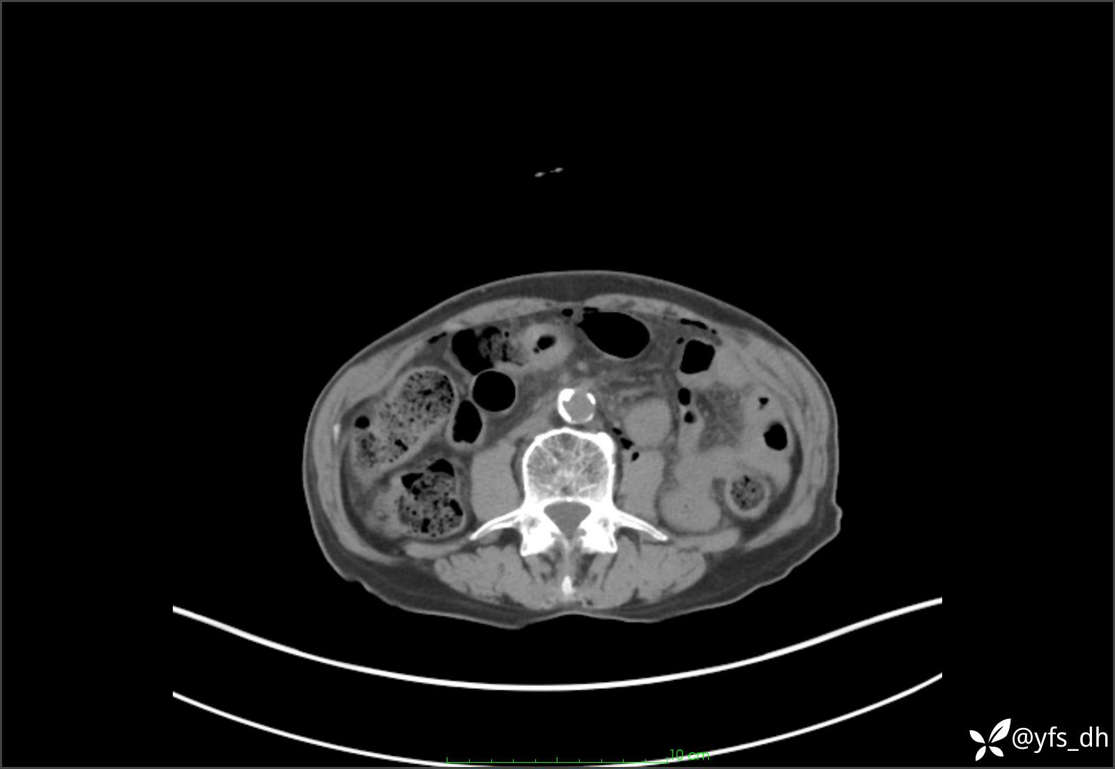
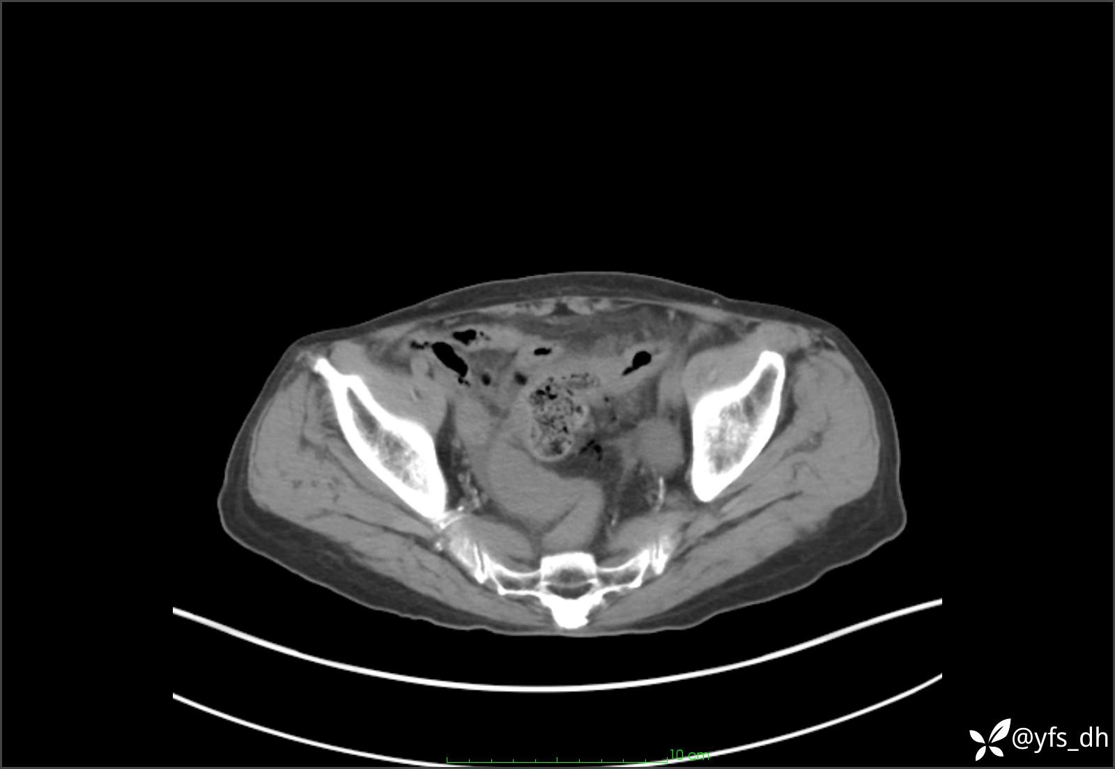
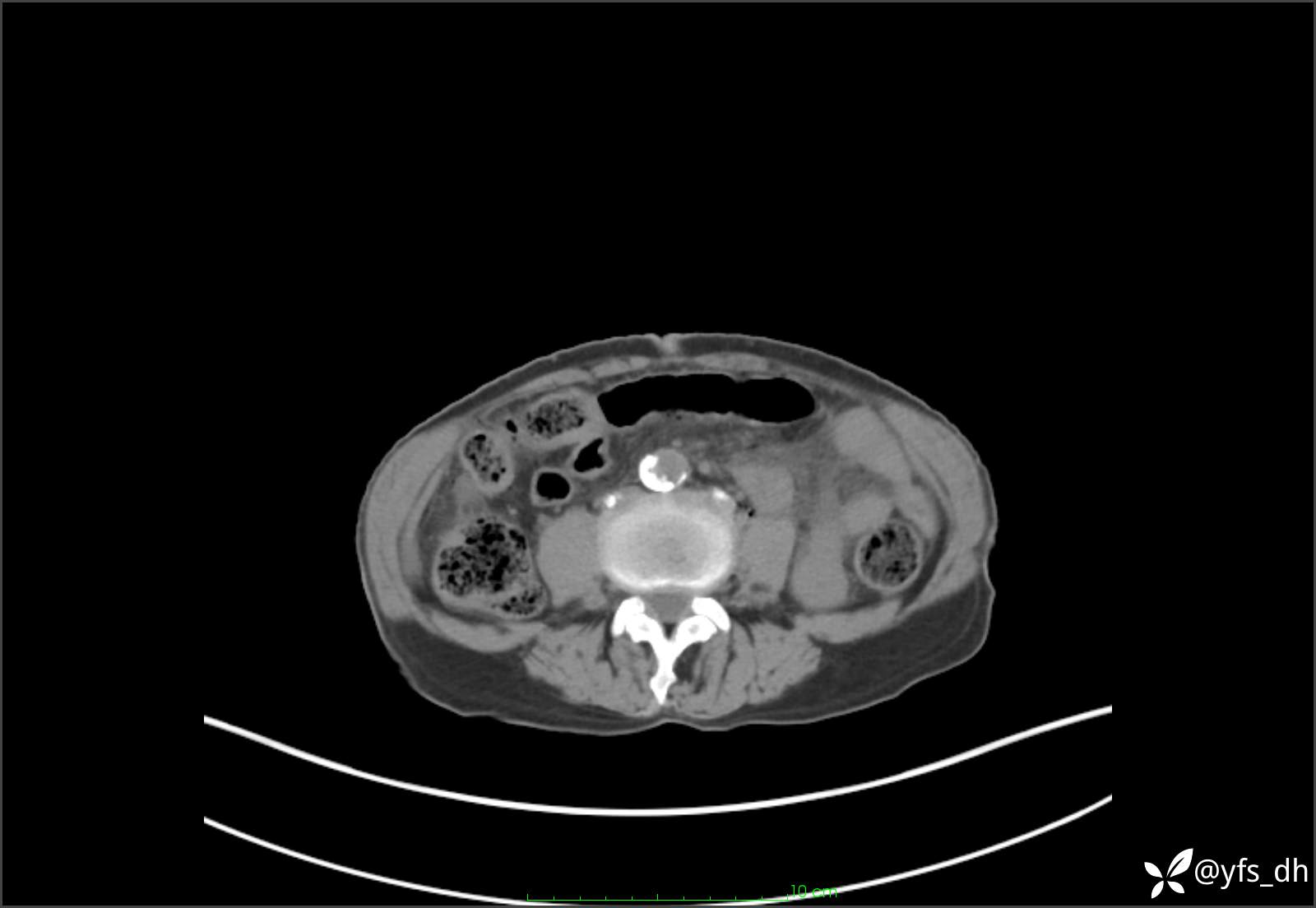
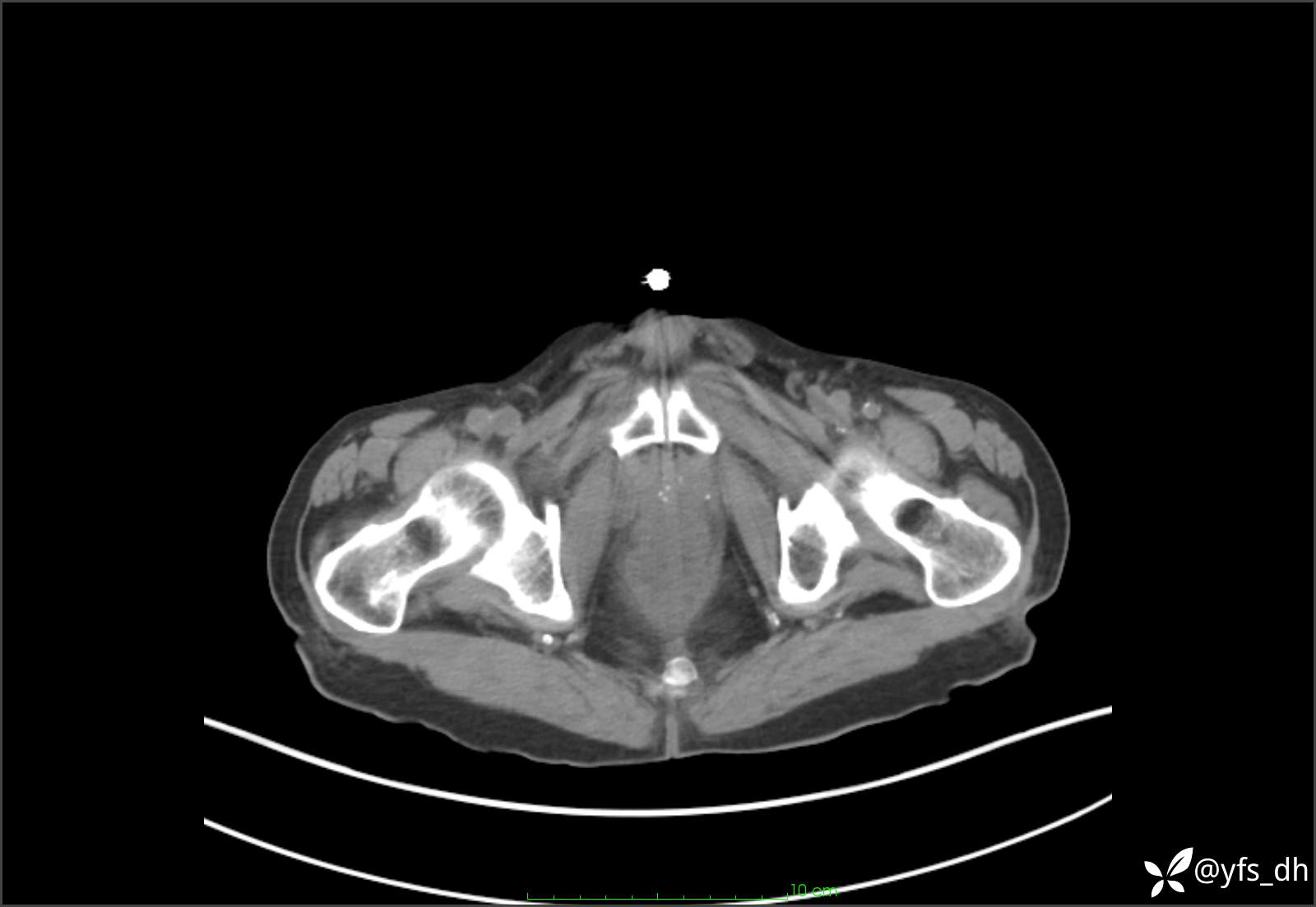
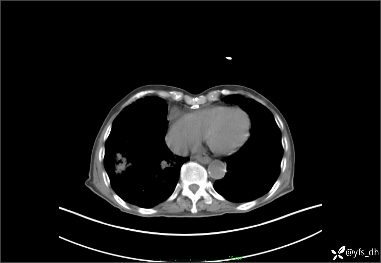
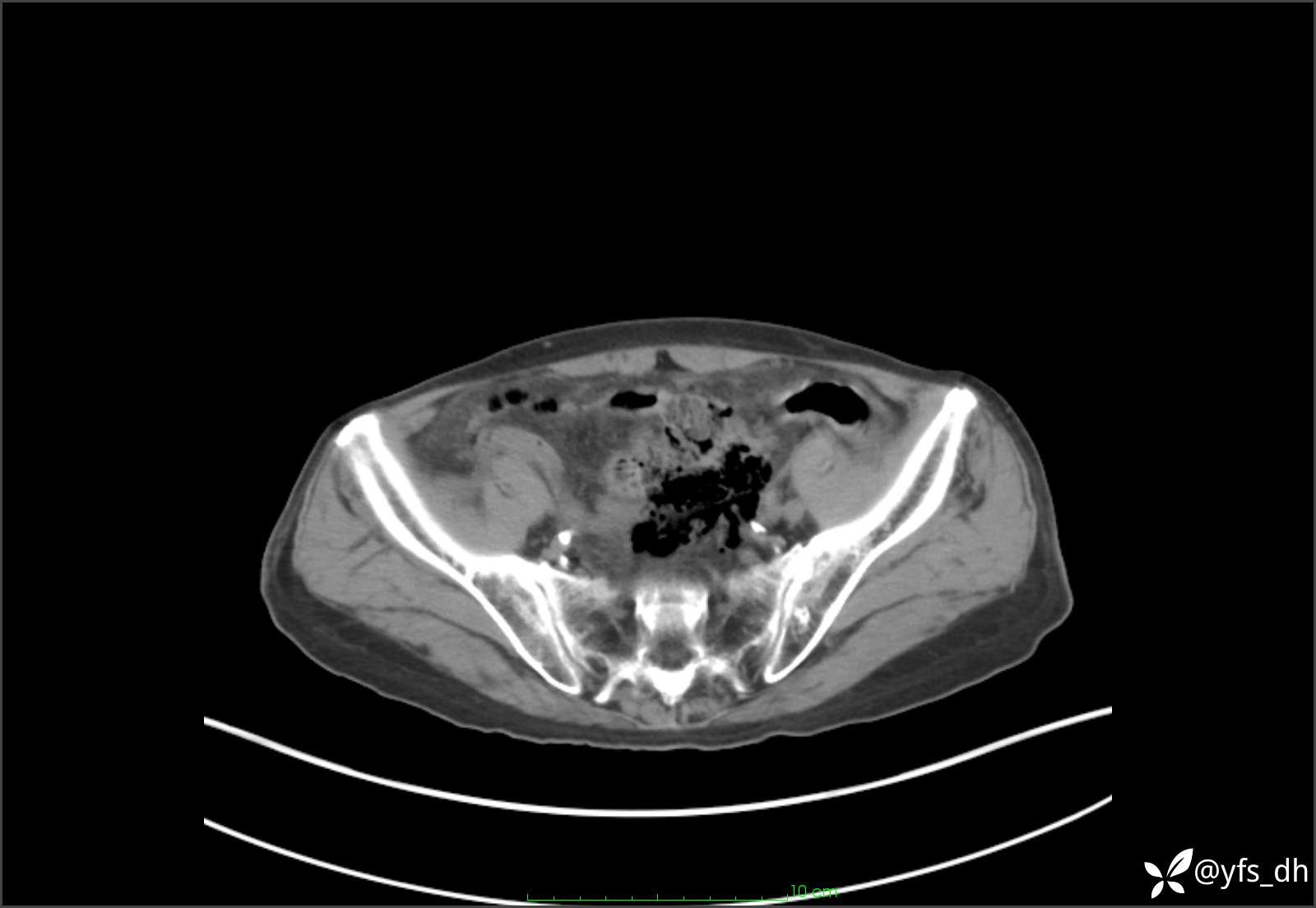
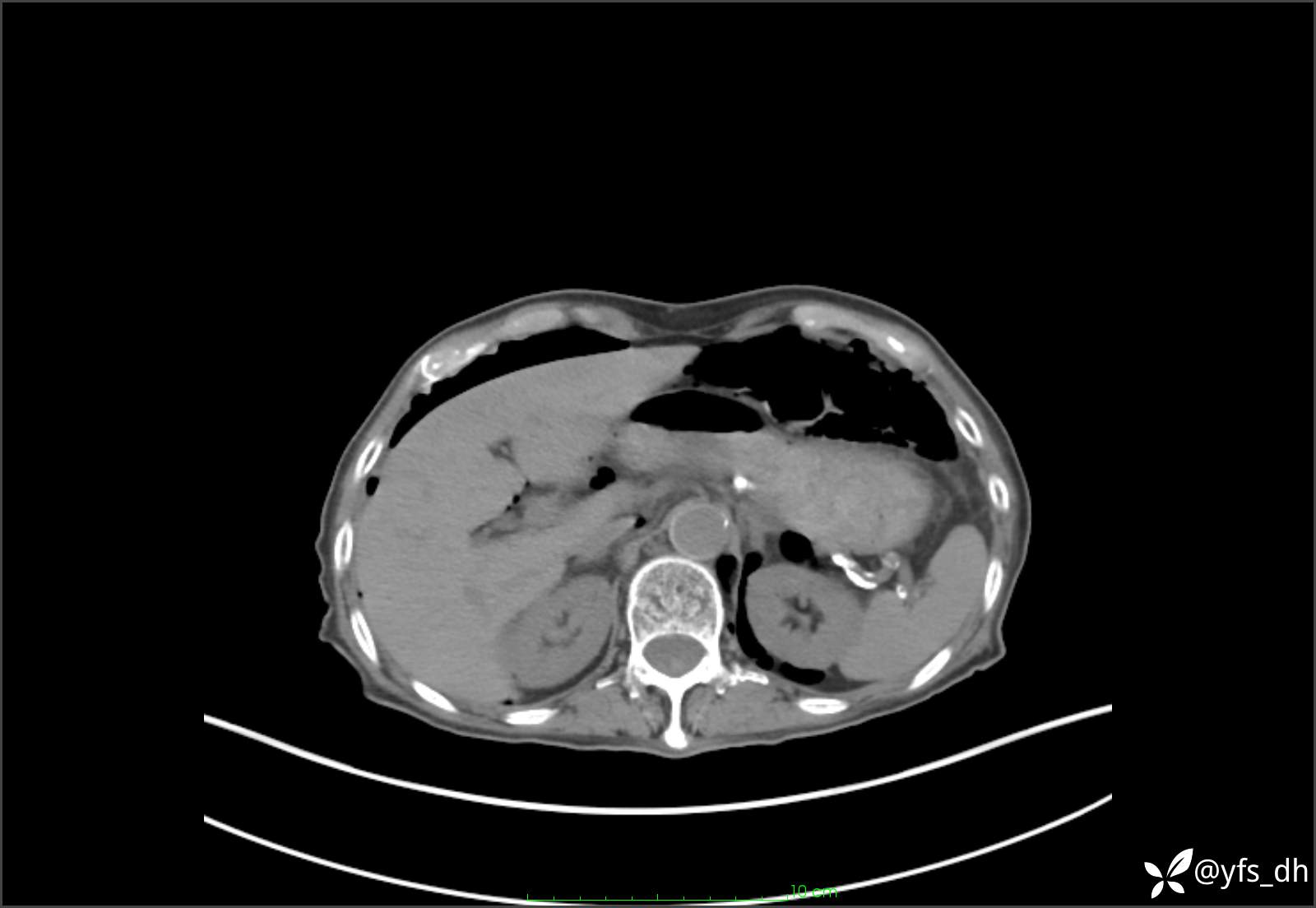
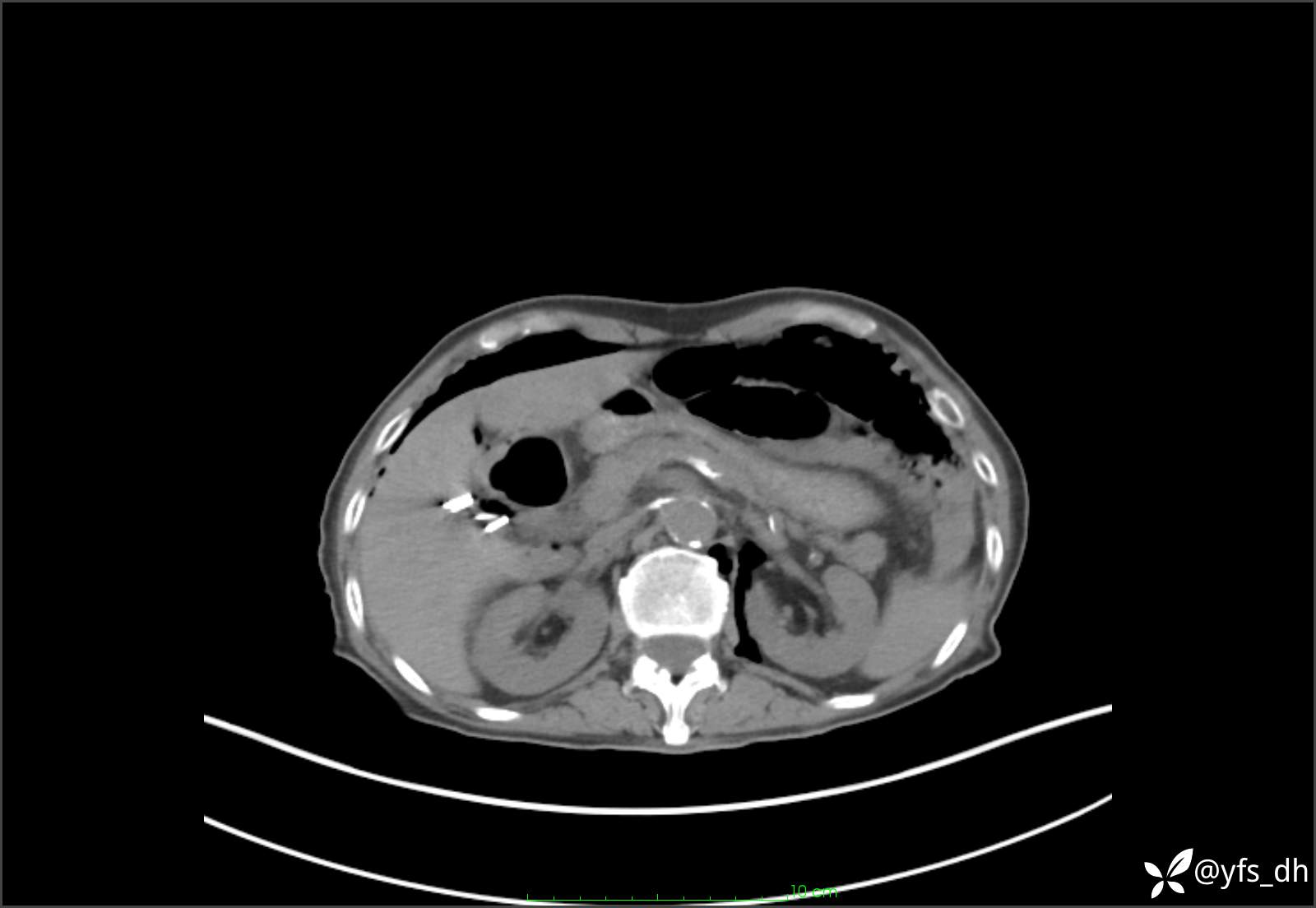
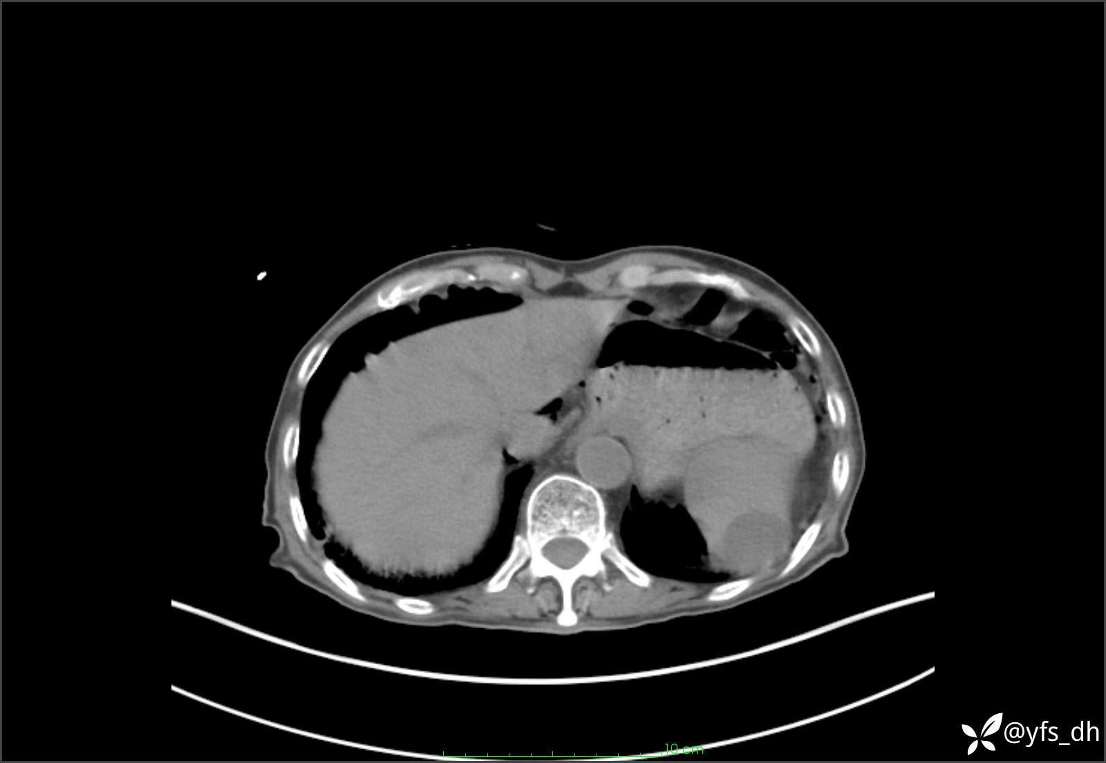
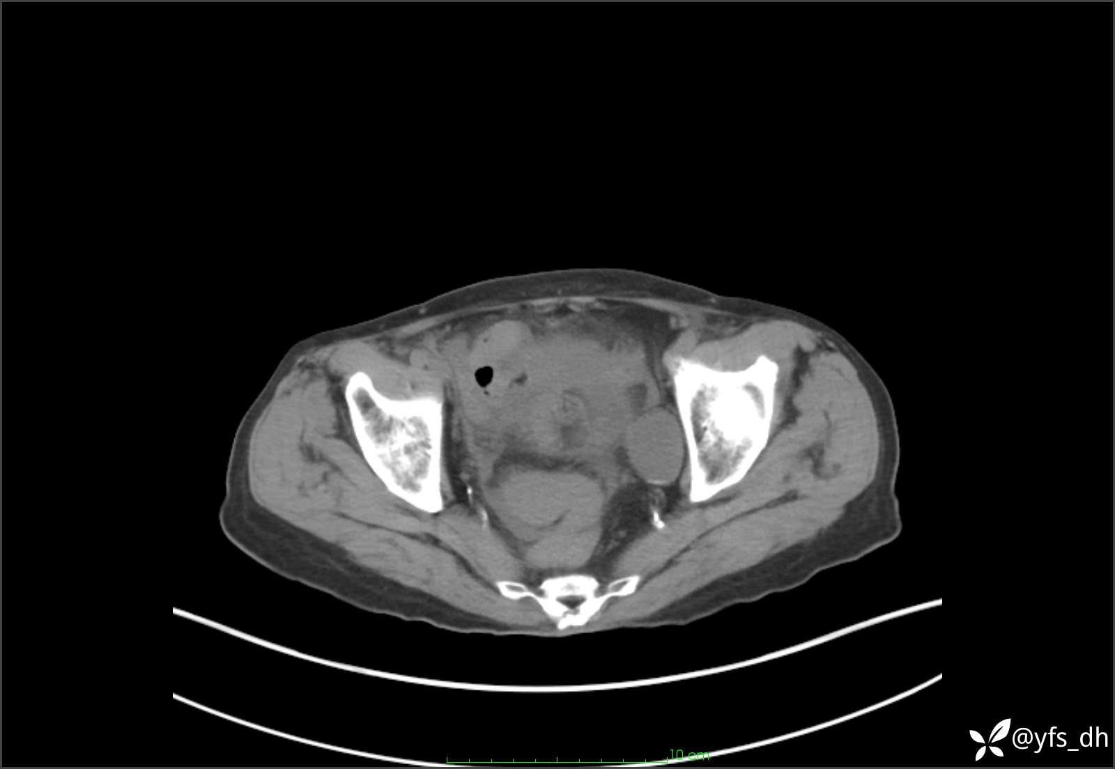
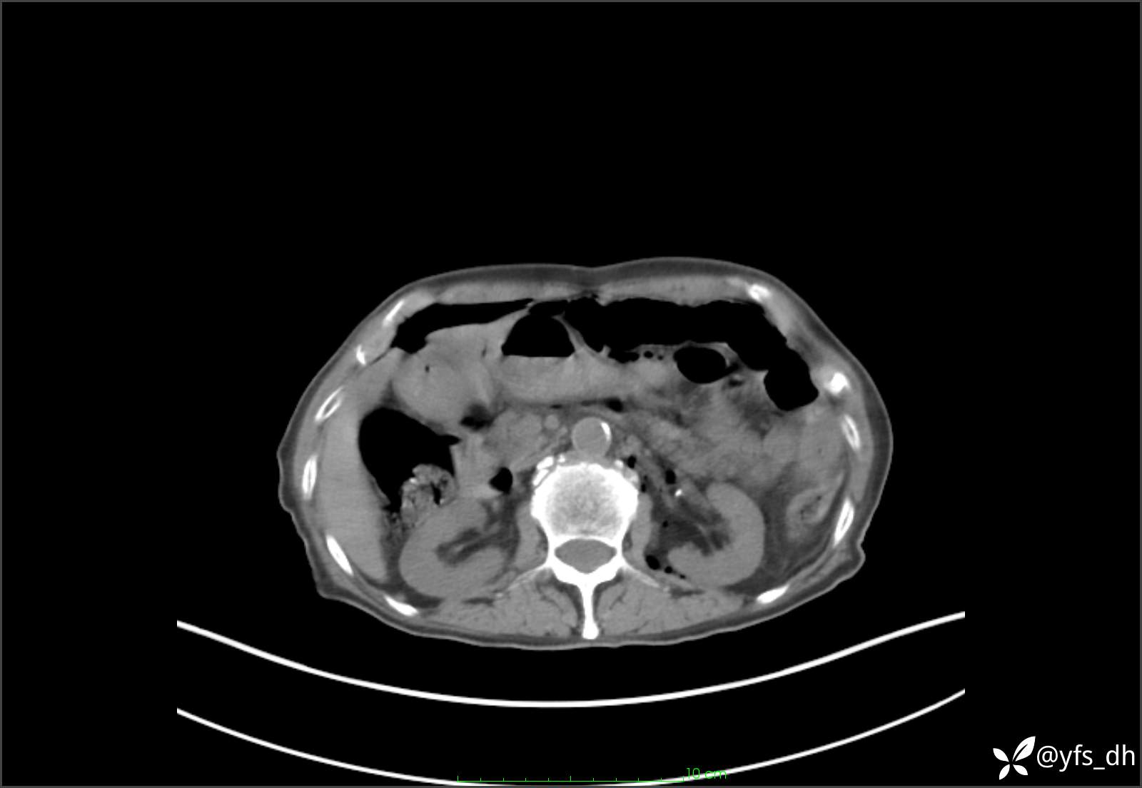
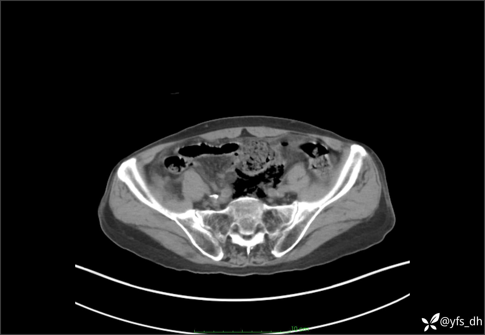
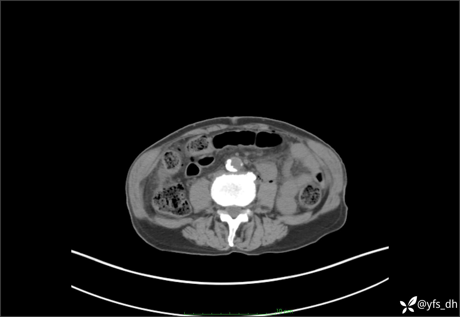
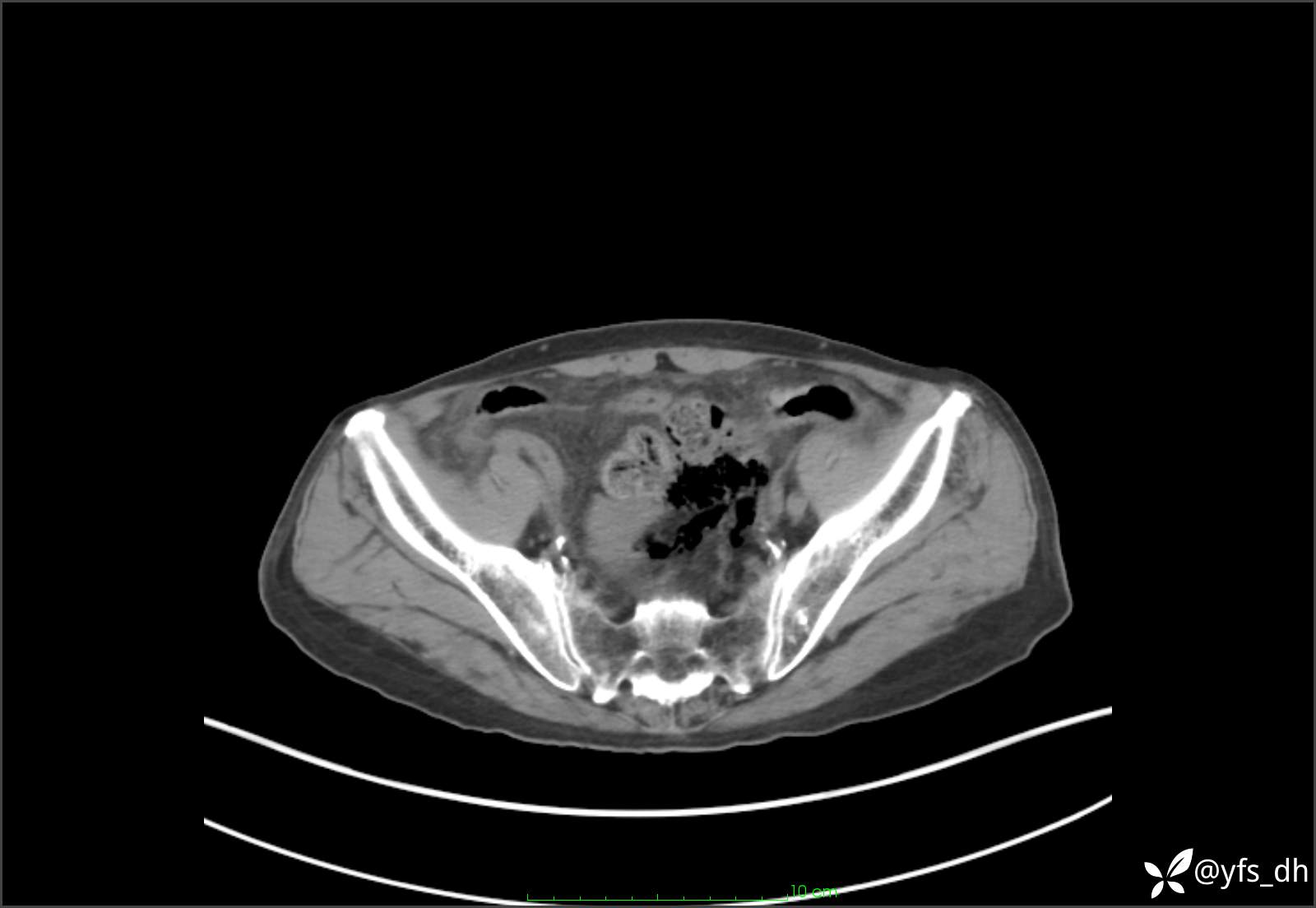
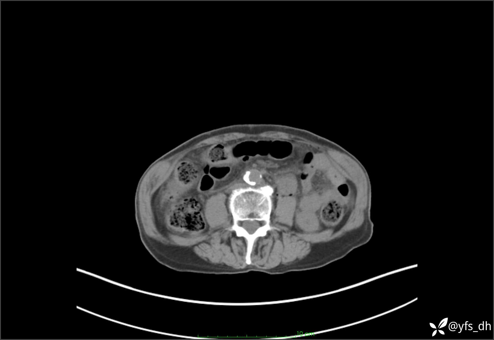
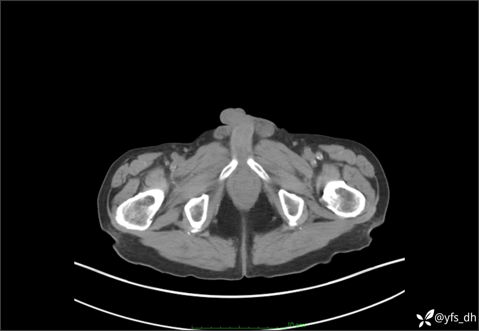
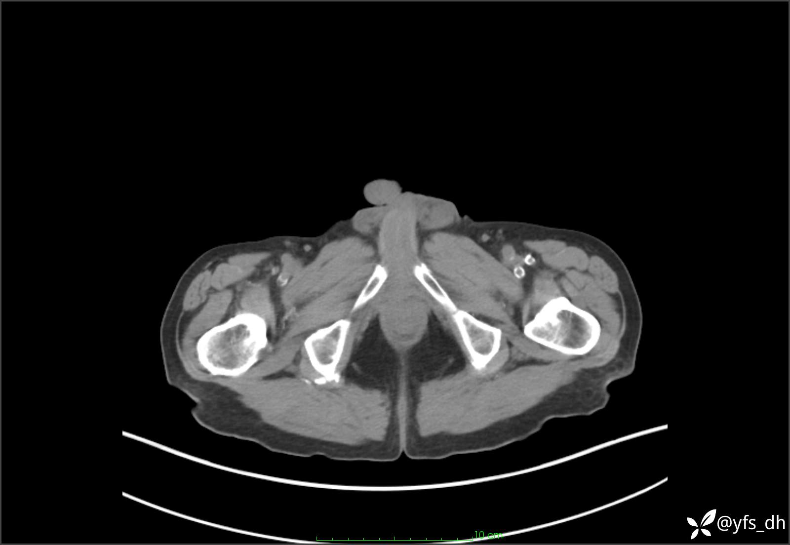
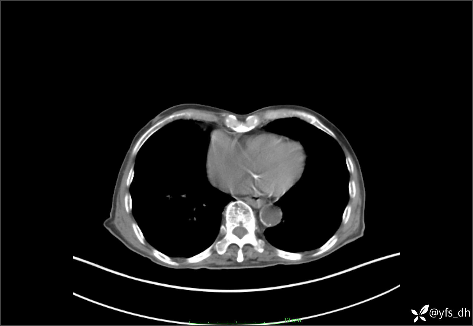
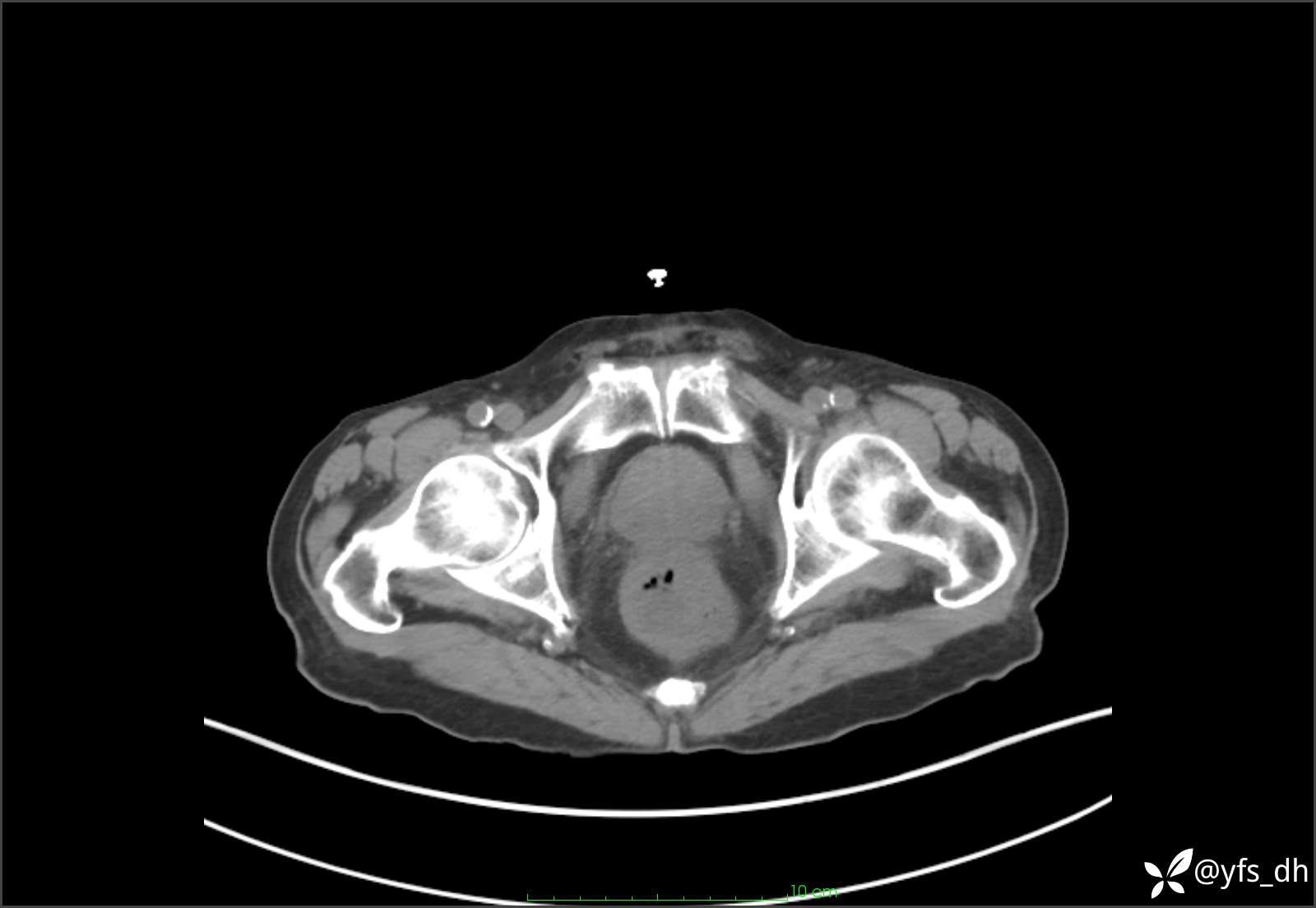
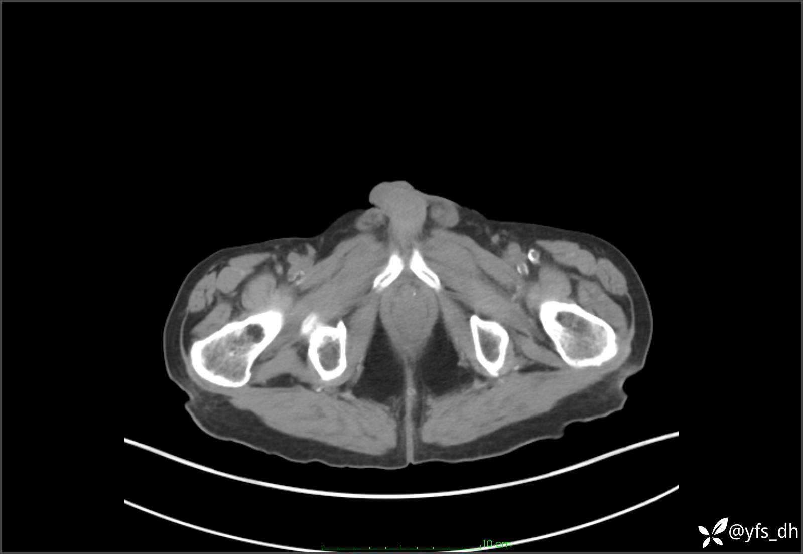
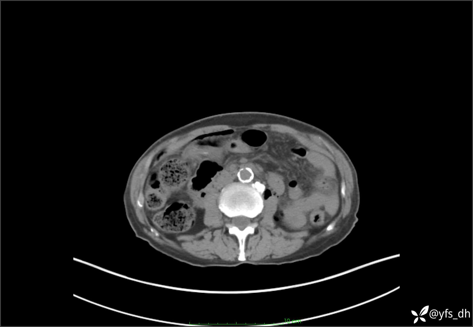
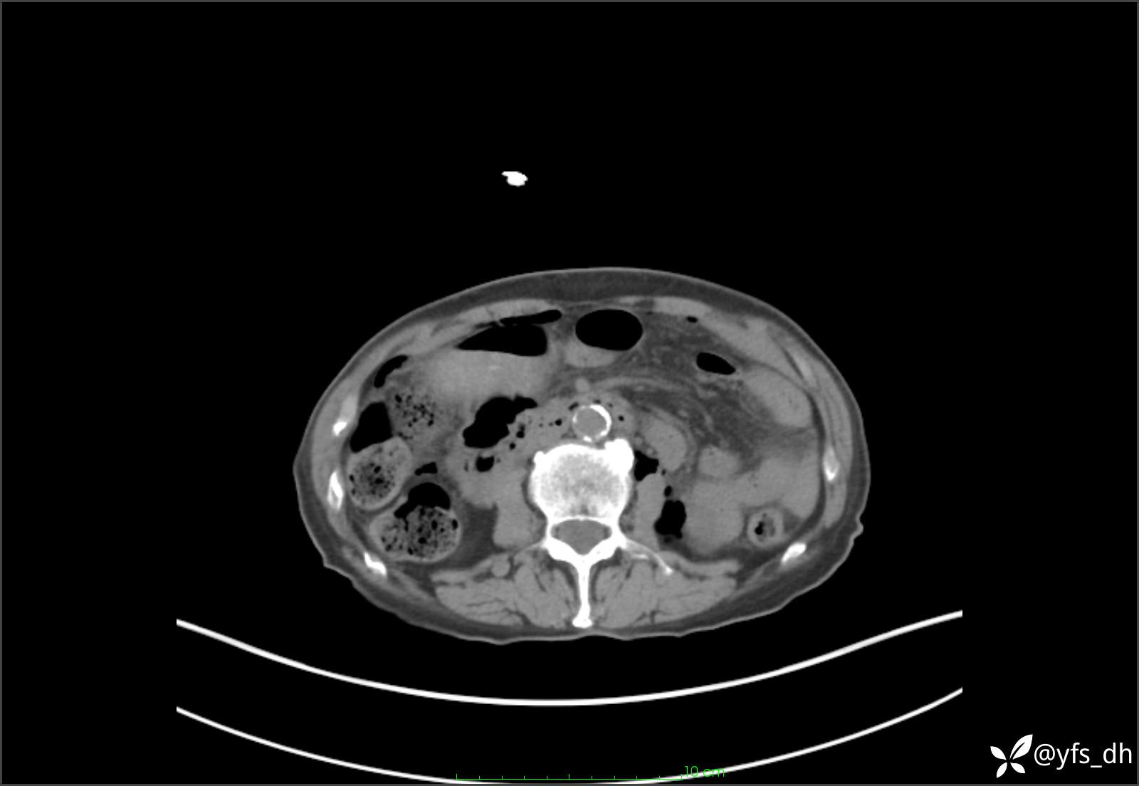
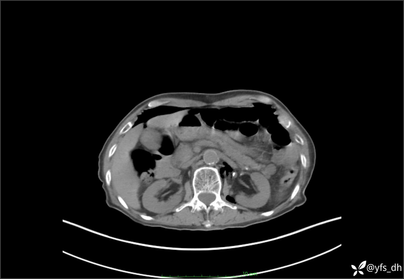
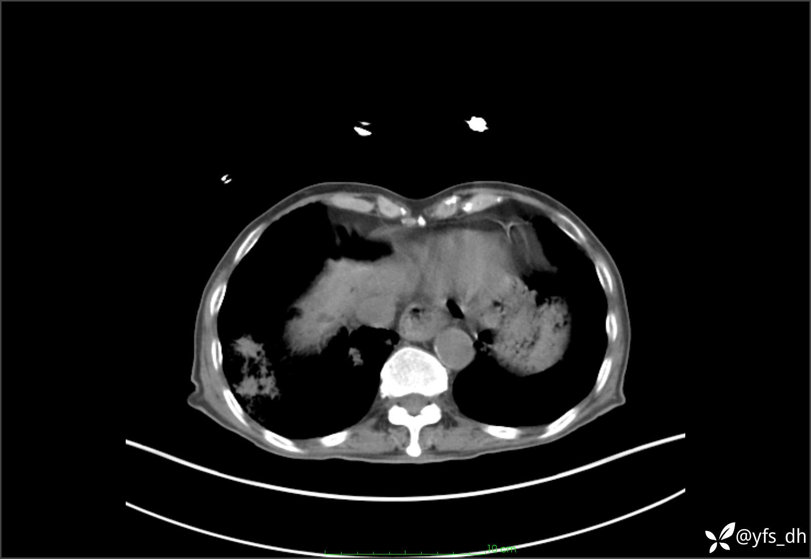
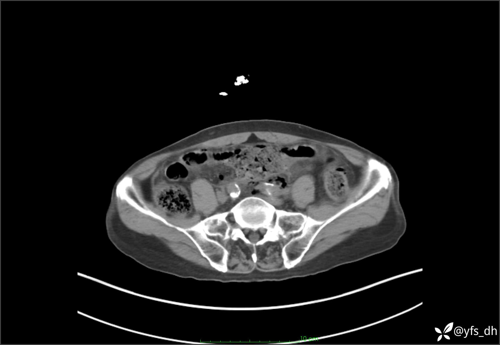
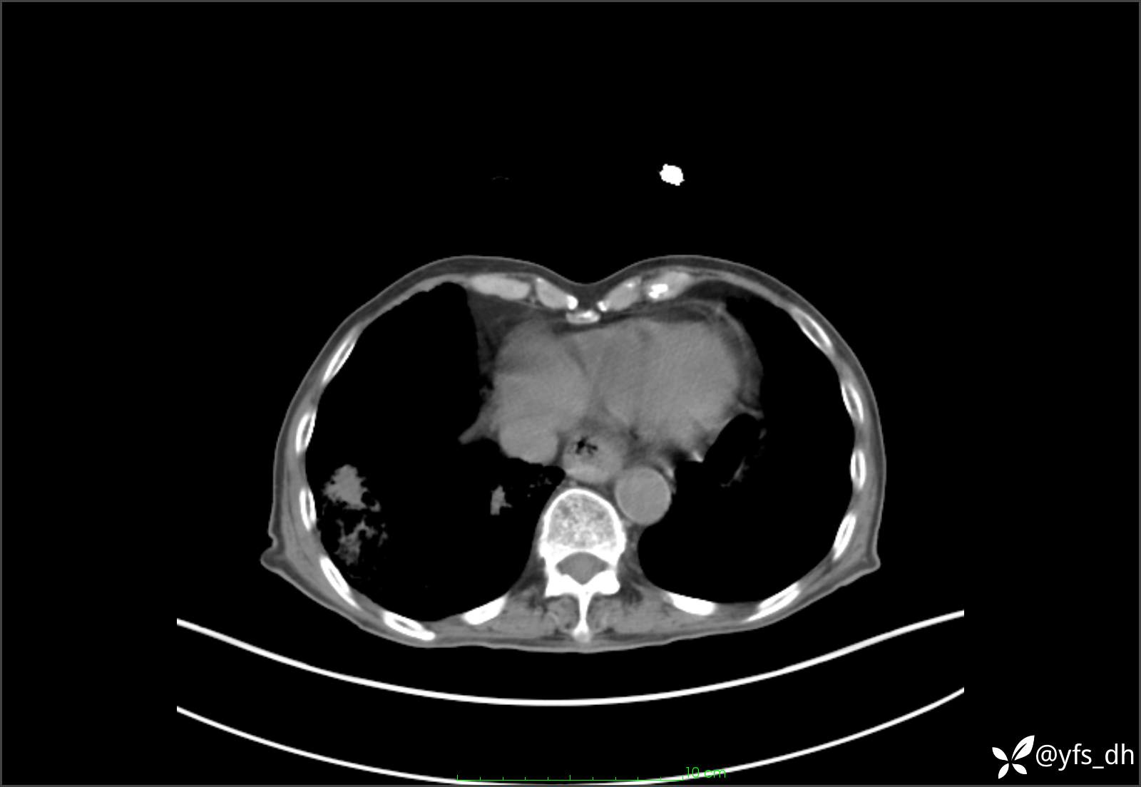
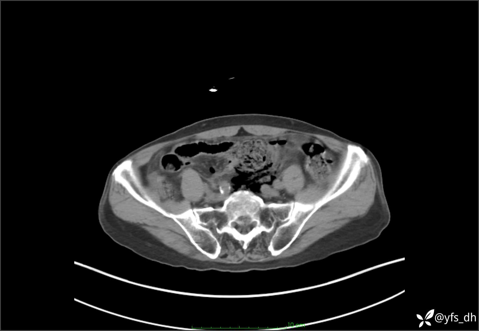
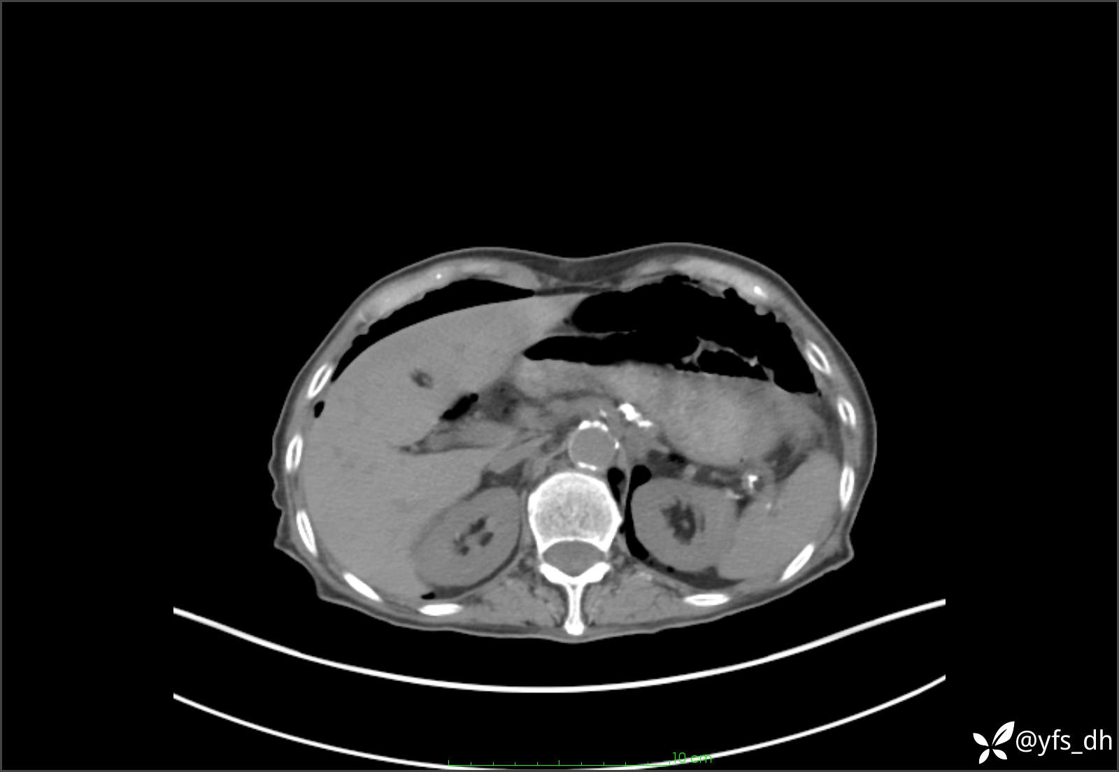
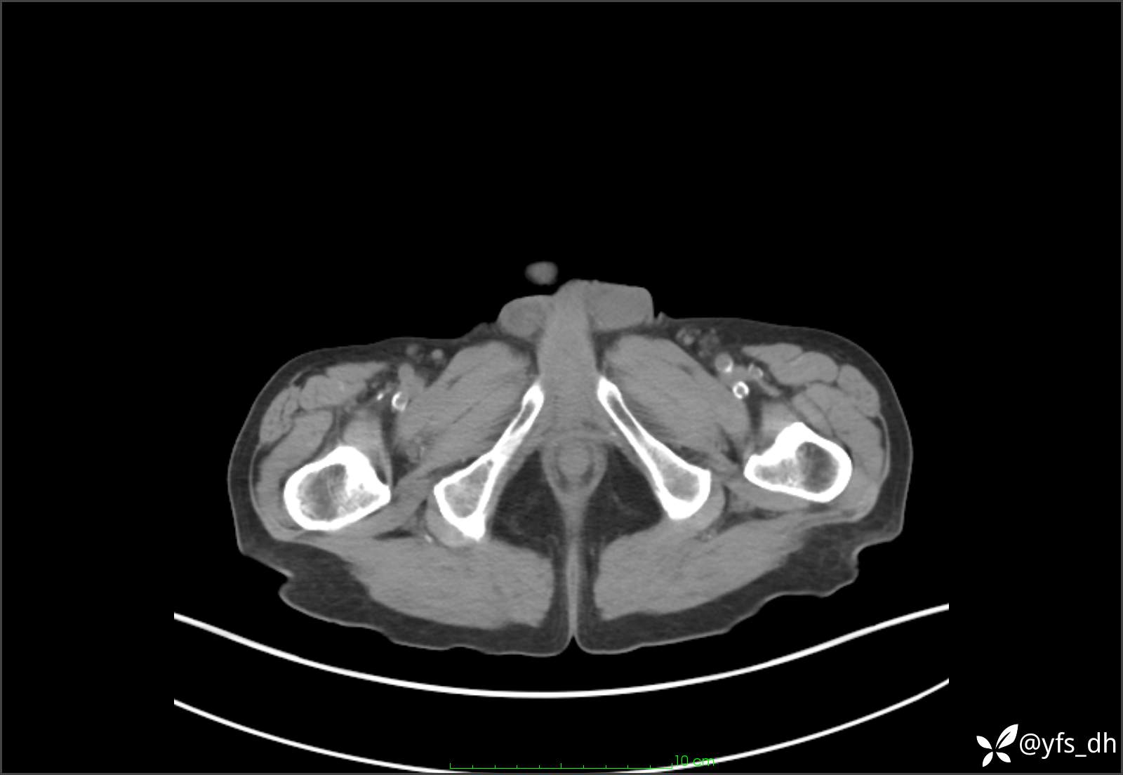
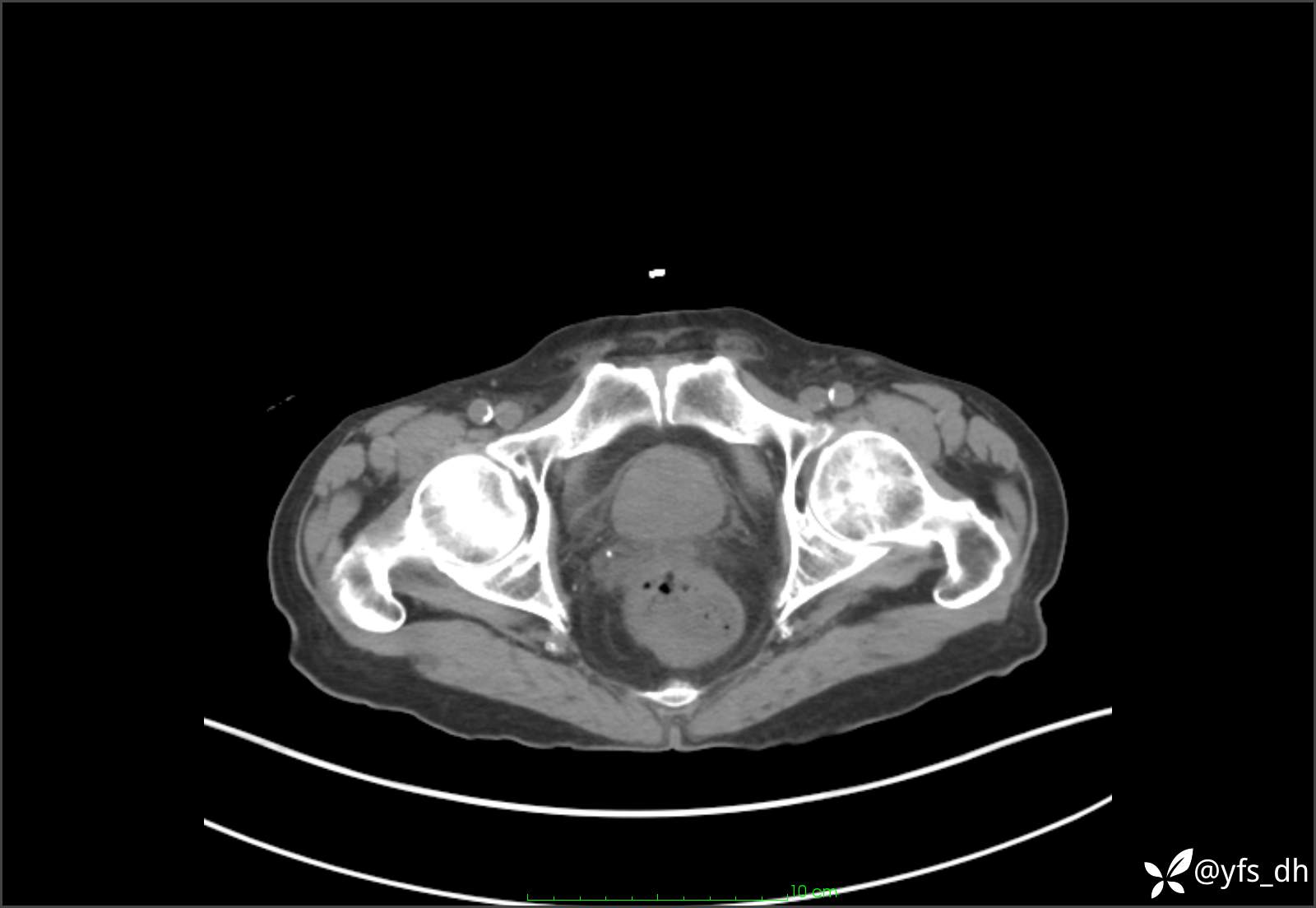
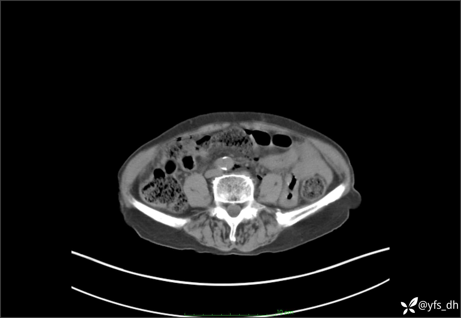
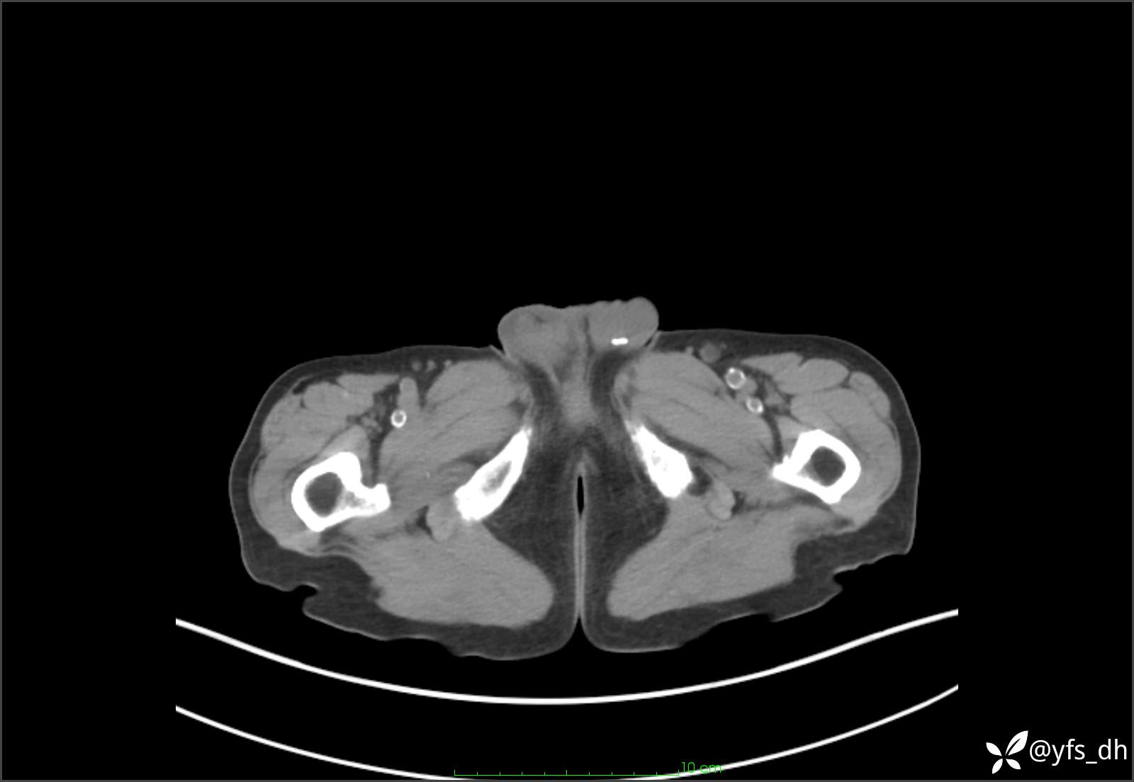
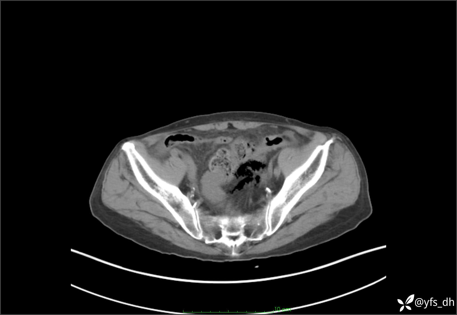
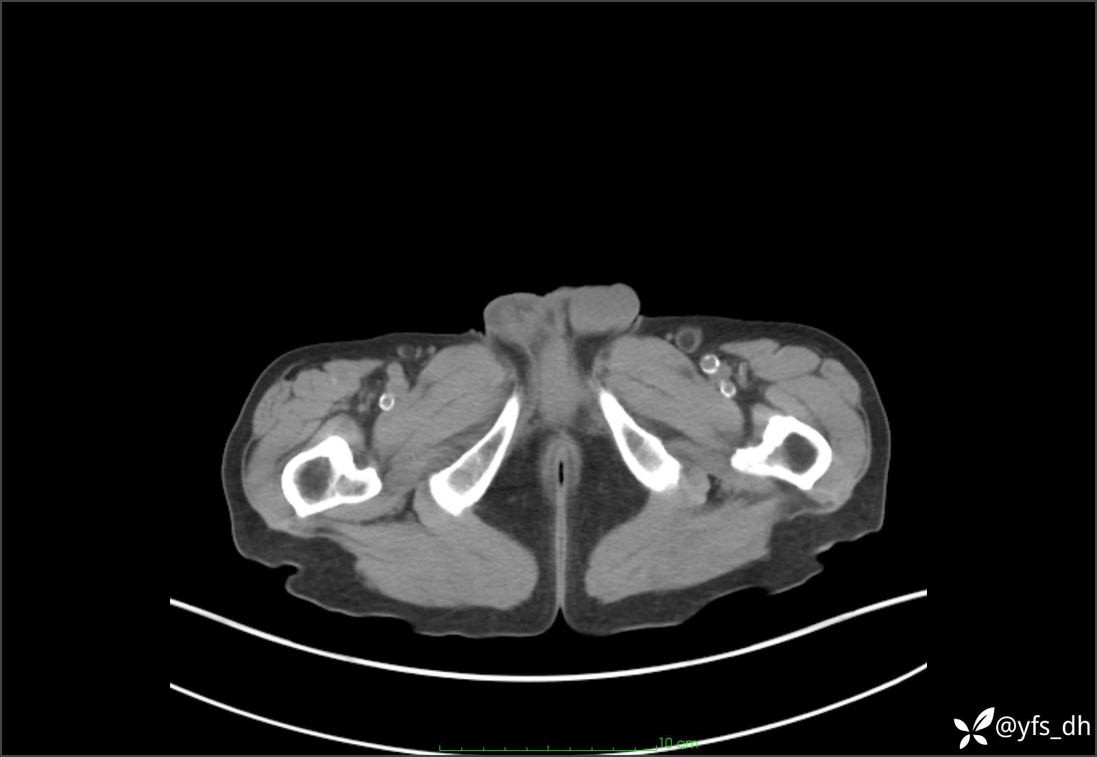
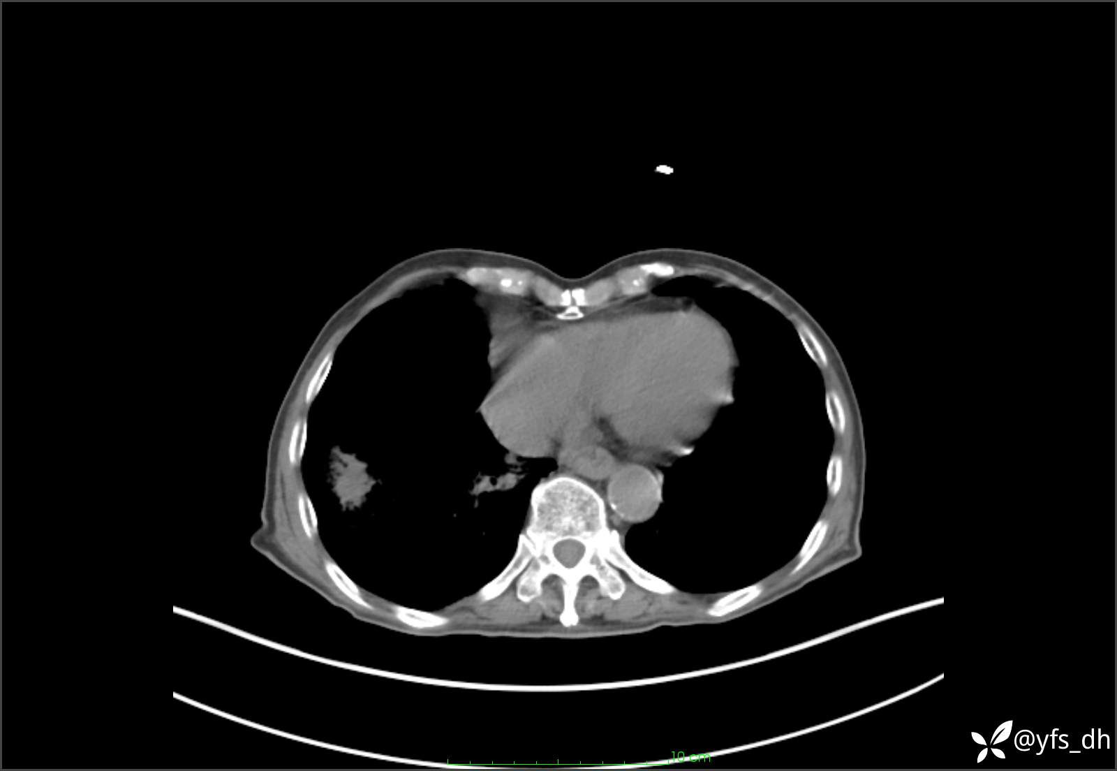
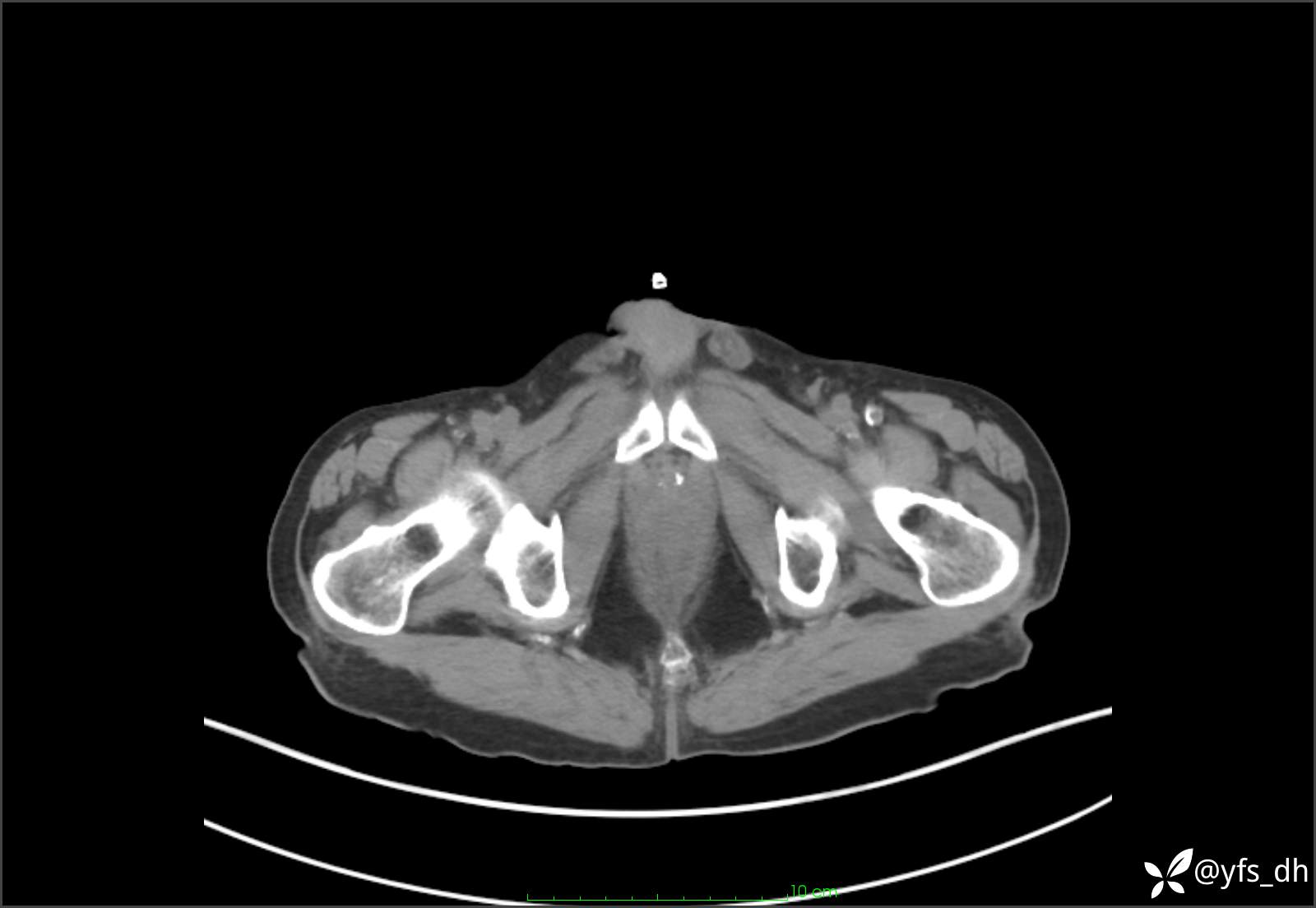
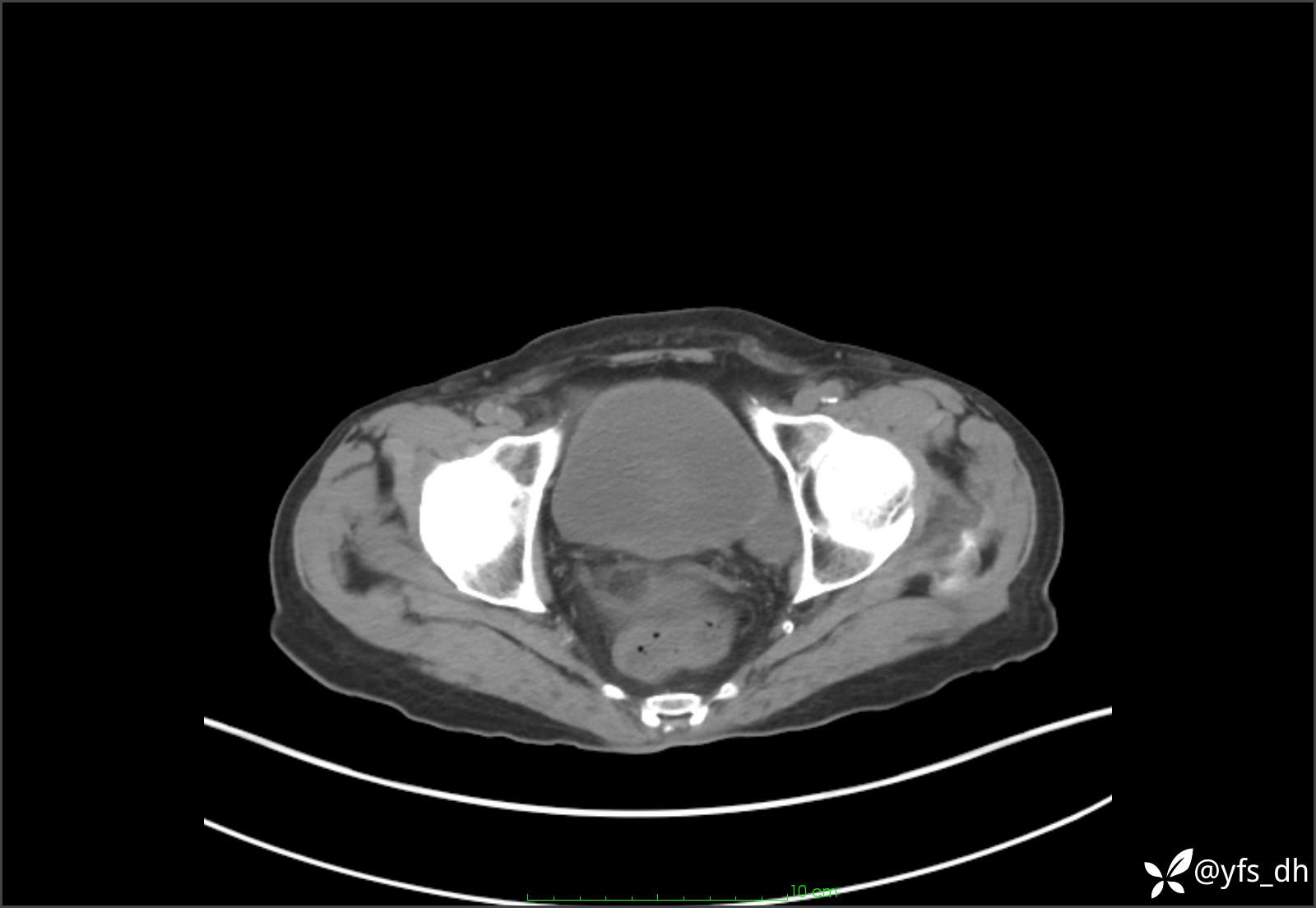
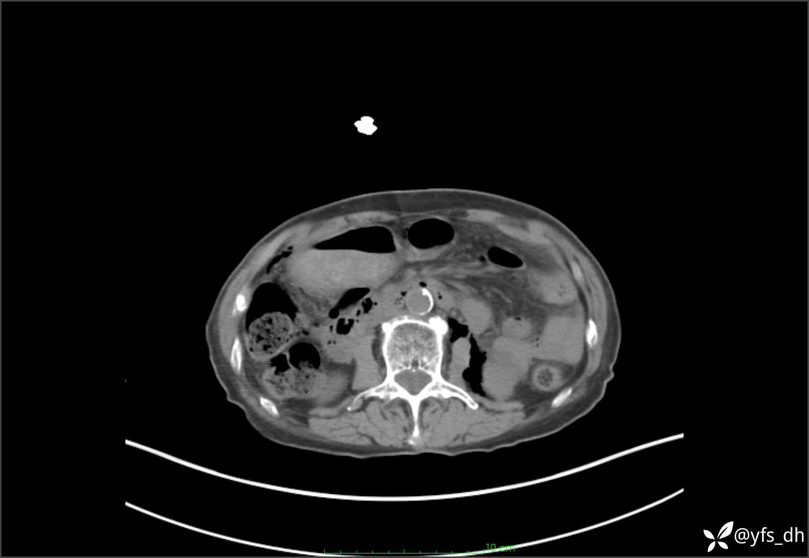
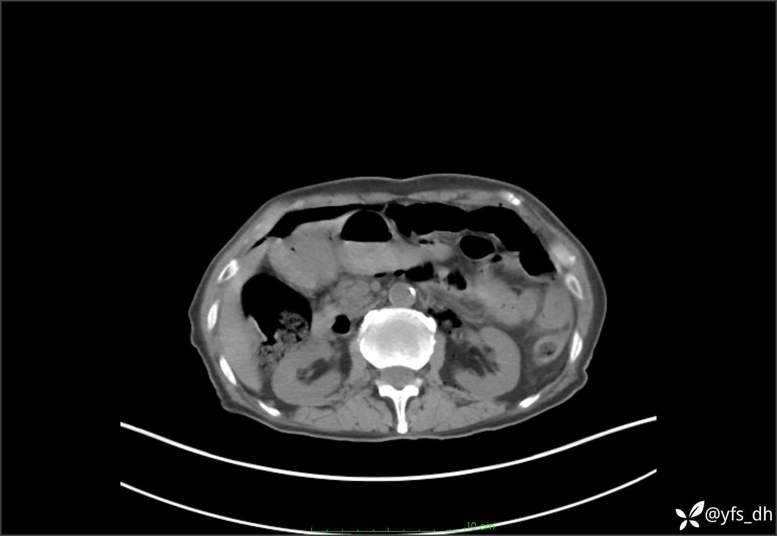
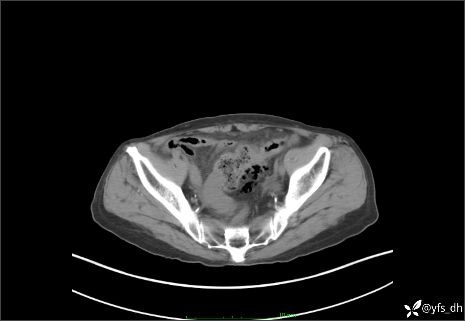
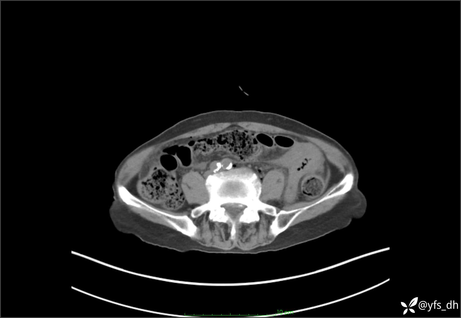
1.简要病史:患者4天前突发上腹部疼痛不适,但可以忍受。3小时前饭后突然加重,不能忍受后就诊。

2.简要手术记录:术中见腹盆腔大量肠液及粪便,乙状结肠中下段见一约3cm的破口。

img
img
img
img
img
img
img
img
img
img
img
img
img
img
img
img
img
img
img
img
img
img
img
img
img
img
img
img
img
img
img
img
img
img
img
img
img
img
img
img
img
img
img
img
img
img
img
img
img
img
img
img
img
img
img
img
img
img
img
img
img
img
img
img
img
img
img
img
img
img
img
img
img
img
img
img
img
img
previewplay video

原始图像请点击此链接

4 收藏点赞

全部讨论(0)

默认最新
avatar
4
分享帖子
share-weibo分享到微博
share-weibo分享到微信
认证
返回顶部