小年特别精彩病例|外伤检查发现颅底占位,期待您的精彩分析
呱呱叫了 等 2 位达人已点赞腊月二十四:掸尘扫房子,扫除日。
掸尘扫房子,这日是约定俗成的扫除日。除旧迎新不可不做哦。
扫尘就是年终大扫除,北方称“扫房”,南方叫“掸尘”。家家户户都要打扫环境,清洗各种器具,拆洗被褥窗帘,洒扫六闾庭院,掸拂尘垢蛛网,疏浚明渠暗沟。

----------------------------------------我是快乐读片的分割线----------------------------------------
患者性别:女
患者年龄:63岁
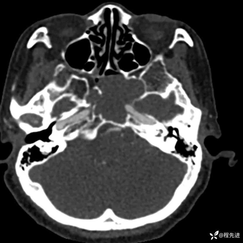
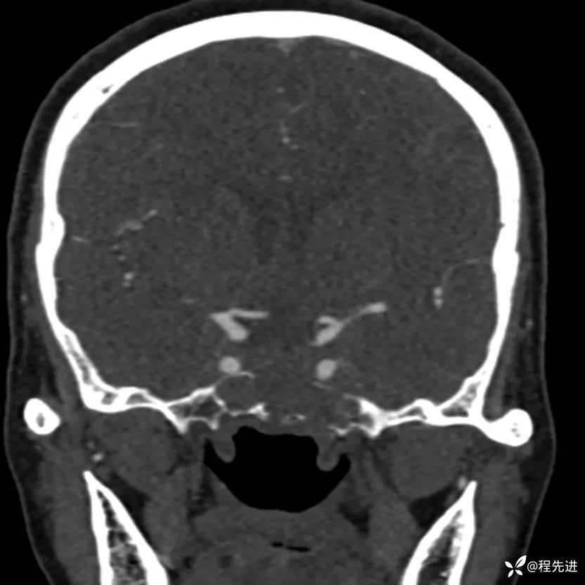
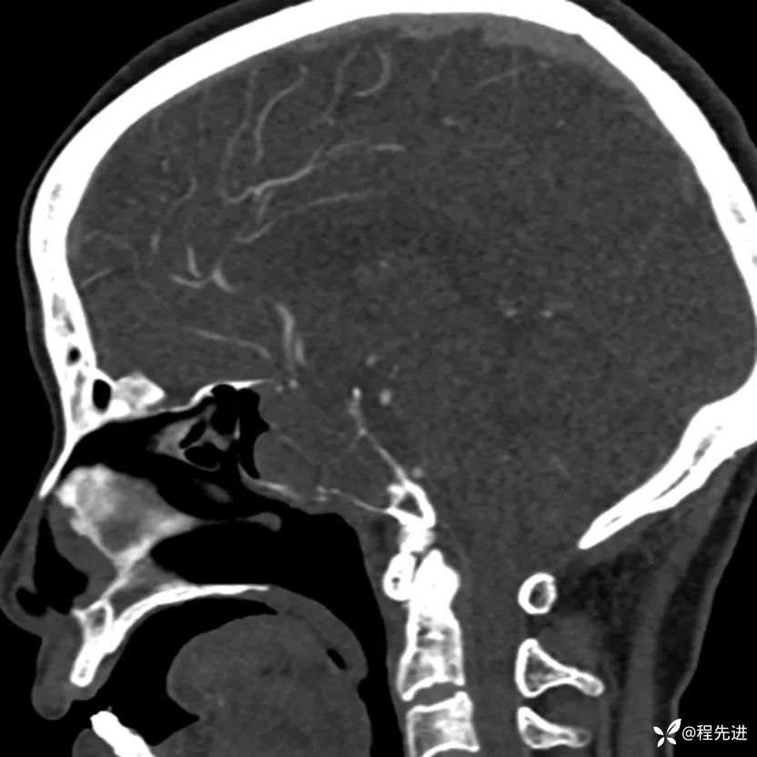
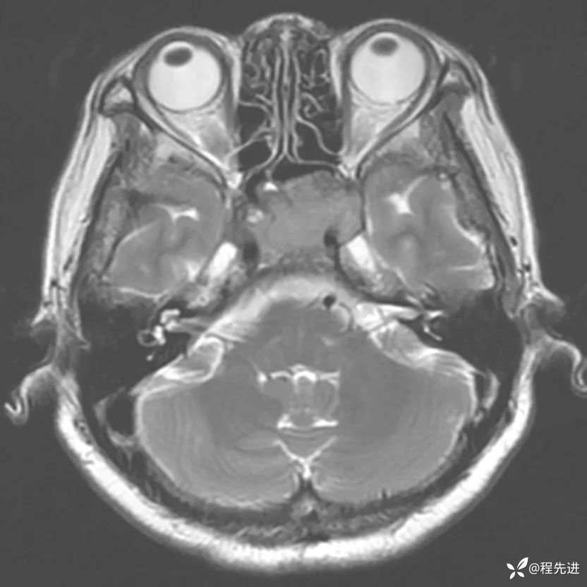
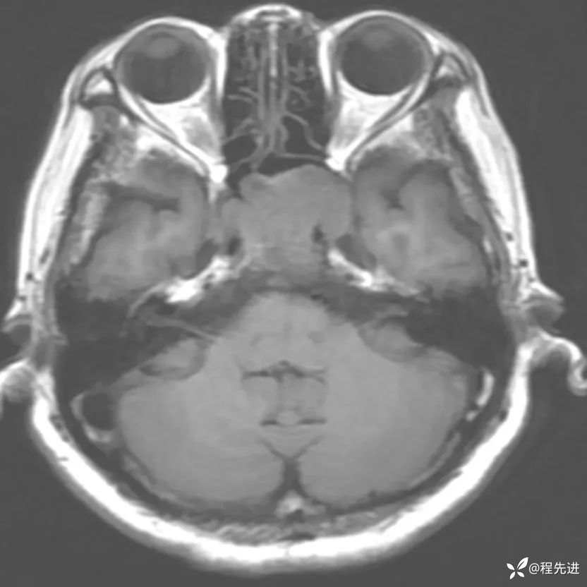
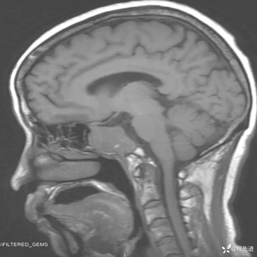
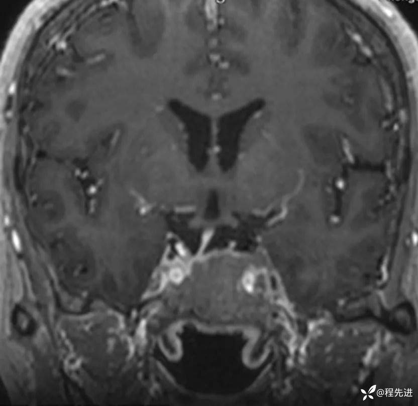
简要病史:外伤检查发现颅底占位
体格检查:无殊
辅助检查:无殊
CT增强:



MRI平扫+增强:






期待您的精彩解读!















































